Рентген котейки :3
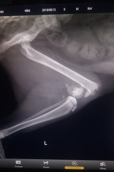
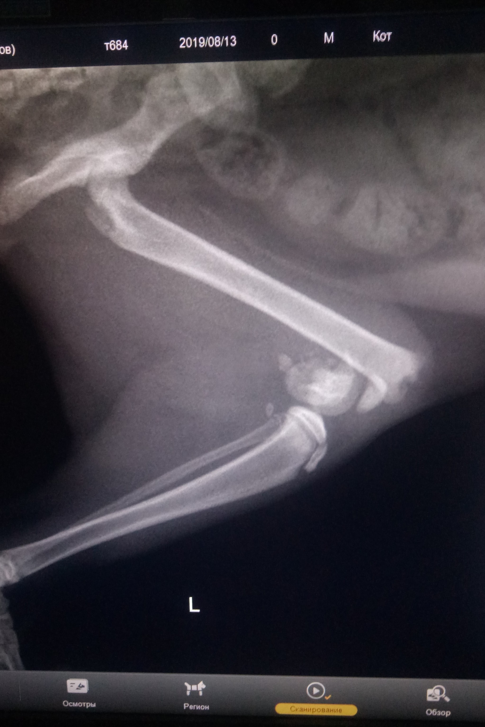
Вот как-то так выглядит кот напросвет. Теплоты там особо не видно, зато есть целый комплект косточек и перелом четвертой пястной кости.
Пока люди отвернулись, Линукс порвал сетку, вышел погулять на карниз и превратился в ракету класса "окно-асфальт". Жив, цел, орёл, месяц ходил со спицей в лапе, и всё равно умудрялся буянить по ночам.
В общем. Любите своих котеек и ставьте сетки покрепче.










Котомафия
132K постов35.6K подписчика
Правила сообщества
В сообществе категорически запрещено:
✔Оскорблять других пользователей. Запрещено использование нецензурных выражений и ругательств. Замена части букв значками "@", "#", "$" и т. д. при вычислимости исходного слова не избавляет от ответственности. Категорически не рекомендуется использование грубо-просторечной лексики, а также упоминания физиологических отклонений;
✔ Сообщения не по теме. Публикуемые сообщения должны соответствовать заявленной теме сообщества;
✔Размещение постов о помощи животным в сообществе без обязательных тегов: #вдобрыеруки #помощь #без рейтинга
Так же напоминаем, что на Пикабу существует специальное сообщество ."Айболит. Помощь животным"
Дорогие друзья, которым не нравятся посты с просьбами о помощи животным, очень просим Вас добавить теги: #помощь #вдобрыеруки и др. в черный список.
✔Плагиат! Не присваивай себе чужие идеи, записи и другой авторский контент.
✔Некорректные комментарии в комментариях, откровенный флуд, провокации, пропаганду жестокого и безответственного отношения к животным и пр. участники заносятся в черный список без дополнительных пояснений и предупреждений!
✔Нарушать правила Пикабу.
Заметили нарушение правил: напишите ,
Не забывайте ставить тег "моё", "кот", "котомафия" если выкладываете своих любимцев.
Мы есть в VK: _fan, отмечайте нас на Ваших фото.