22 здоровых зуба.
Все говны в Петербурге бурлят историей про 22 удаленных здоровых зуба, все ахают, врачи-рвачи ну и прочее. Уже тут было несколько постов, где все как один ко-ко-ко, нам тут по новостям сказали...
Вам сказали фигню! Вот снимок этой пациентки до лечения.
Как стоматолог, поясняю - здесь проводится ортодонтическое лечение. Явно не просто так, у пациентки были проблемы прикуса, которые привели к снижению межальвеолярной высоты. Это означает, что нижняя челюсть вывернута вверх и кпереди от своего нормального положения, что приводит к перенепряжению групп мышц вплоть до нарушения кровоснабжения головы и шеи. Кто не видит логики - постоянный гипертонус мышц пережимает сосуды. Попробуйте выдвинуть нижнюю челюсть вперед и кверху - через несколько минут заболит голова. При снижении высоты прикуса это становится хроническим, организм начинает рефлекторно сбрасывать это напряжение задействуя другие группы мышц.
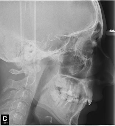
Но мы отвлеклись. Вот снимок пациентки после лечения.
Кроме зубов "мудрости" не удалено ничего. Тут проведено лечение корневых каналов, вкладки, коронки. Какие удаленные 22 зуба? Это бред СМИ, нацеленный на непонятную травлю. Конечно, кого заинтересует новость "пациентке не понравился результат лечения и она подала в суд", фу, уныло. А вот "шок!!врачи-убийцы рядом!! Схватили, выдрали 22 здоровых зуба!!и вкатали счет на миллион!!не допустим врачебного произвола!!!111" - вот это уже вызывает подрыв у очень многих.
Как говорит врач, у которого эта пациентка тоже была, клинико-экспертная комиссия не выявила некачественного лечения. Был факт комплексного лечения, которое не устроило пациентку и та решила наказать доктора, дав делу широкую огласку с вывернутыми наизнанку фактами. Это уже действуют личные мотивы. Неясно чем все это закончится. Речь идет уже якобы о том, что врач скрывается, но это ложь.









