Небезопасный контент (18+)
Авторизуйтесь или зарегистрируйтесь для просмотра
Пожиратели плоти: от сепсиса до газовой гангрены.
Наше любопытство завораживают хищники... Мы любим шоу о дикой природе, об акулах, больших кошках, мы всегда с упоением наблюдаем противостояние убийцы и его жертвы. Мы переживаем за антилопу, пришедшую на водопой, и нильского крокодила, сосредоточенно ждущего её под мутными водами древней реки, чтобы в нужный момент, выверенный эволюцией, сам естественный отбор свершился и сравнил, кто из них всё же сильнее, быстрее, проворнее, кто будет жить, а кто будет съеден. С таким же гипнотическим интересом мы завороженно читаем о болезнях и эпидемиях, унесших жизни людей или угрожающих им сейчас. Эбола, Марбург, лихорадка Зикка, Дэнге, малярия, сотни смертельных патогенов... нам интересно – кто же самый опасный из них?
Мы боимся. Мы смотрим сериалы про зомби и пандемии, проецируя возможные последствия глобальных катастроф на нашу реальность. Мы боимся. Но мы обманываем себя каждый божий день. Мы врем себе, делая вид, что не замечаем войны, которая идёт каждую секунду. Войны нашего тела с миллионами хищников, готовых нас сожрать. И они не прячутся где-то под водой или в далеких джунглях, они – повсюду. Они прямо на вашей коже. Всегда. С самого рождения они ждут, когда вы ослабнете и позволите им войти. И они всегда побеждают, даже если ждать придется всю вашу жизнь. Потому что они – гнилостные бактерии, микромир гниения, тлена и разложения. А мы – всего лишь часть этой экосистемы.
Сегодня о бактериях – пожирателях плоти рассказывает ваш непопулярный ScientaeVulgaris.
Некроз и пингвиний суп
“Давайте разделимся”, – скажу я любимую в фильмах ужасов фразу, но я имею в виду не нас с вами лично, а заболевания и патологические процессы. Лично я, когда слышу слова некроз или сепсис, то представляю себе полярника 19-го века, в ушанке, почерневшими пальцами сжимающего алюминиевую кружку с пингвиньим супом, или викинга, нюхающего рану собрата и со словами «Она плохо пахнет», отправляющего друга из палатки интенсивной терапии прямо к Одину. Но если мы хотим углубиться в дебри гнойной хирургии и дойти до некротического фасциита, снимающего мясо с костей заживо, придется начать с начала. Хотя бы с гангрен.
Гангрена – это, прежде всего, некроз. Где-то что-то в организме начало умирать - пока не вы лично, но ваше тело. Чаще всего это связано с тем, что доступ крови к участку вашей тушки прекратился. Клетки лишились кислорода, питательных веществ и стали массово откидывать клеточные копытки и отходить к клеточным божкам. Это может быть обморожение, сильный ожог, атеросклероз, тромбоз или ещё какая неприятность, в результате которой какая-то часть вашего тела внезапно стала холодеть, обрела бледный, а затем и мраморно-синий цвет, и в итоге с жуткими болями и запахом тухлого мяса потемнела.
Характерный пример – "траншейная стопа", когда солдаты успевают намокнуть в около-нулевую температуру, но не успевают просушить портянки.
И вот, перед вами – та самая киношная картинка с черными пальцами. Знакомьтесь – это сухая гангрена, и она представляет собой медленно растущий некроз. Обескровленный участок продолжает чернеть и усыхать. Напоминает он по цвету вяленое мясо. Это, собственно, и есть процесс мумификации, но только частично и на ещё живом теле. Дальше умирающие клетки выделяют токсины, отравляющие соседние ткани, и черная иссохшая плоть расползается, медленно поглощая остальное тело, превращая его в почерневшую мумию.
Смерть наступает, когда гангрена доходит до внутренних органов или заражение переходит на другой, более активный уровень. Изредка она двигается настолько медленно, что организм успевает её изолировать, и сам отсекает гниющую плоть, и тогда вы как гигантская ящерица просто теряете конечность, а культя медленно заживает. Но сухая гангрена – это практически невозможный вариант... Если бы всё было так просто, то и Людовик XIV и Юлия Началова были бы живы... Реальность несколько сложнее.
Некроз – это ведь, как правило, следствие травмы, болезни или других проблем. Не важно, что вызвало его – закупорка сосуда в стопе диабетика или тромб. Важно то, что любой некроз, как и обычный порез, укус мухи, царапина, ссадина, или игла шприца, катетер в вене... любое лишнее отверстие в вашем тельце – да хотя бы банальное пулевое ранение – открывают двери настоящим хищникам. В ткани попадает инфекция. И если ваша иммунная система не справится, развивается сепсис, а время для вас начинает лихорадочно ускоряться. При сепсисе смерть может наступить в течение 24 часов. То же происходит и с гангреной: как правило, организм не успевает её изолировать, к мумификации присоединяются патогены, а заражение становится системным.
Продолжим разделяться – сепсис не болезнь. Это воспаление, ответ вашего организма на вброс в него огромного количества токсинов и продуктов жизнедеятельности гноеродных бактерий. И именно сепсис – одна из самых частых причин смерти при экстренной госпитализации, и бич систем здравоохранения многих стран. Только США потратили за 2013 год 23,6 млрд. долларов на 1,3 миллиона пациентов с диагнозом “сепсис”. Тяжелый сепсис может привести к летальному исходу примерно у 20–35% людей, а септический шок – к летальному исходу у 30–70% людей. Это выше, чем у некоторых штаммов Эболы. И вызывает его не вирус из джунглей, а банальное население поверхностей вашей кожи и ваших слизистых.
Сам термин σήψις (сепсис) был введен Гиппократом, и в 4-ом веке обозначал просто разложение. В 11-ом веке Авиценна конкретизировал его до состояния «гнилая кровь». Ключевым в развитии сепсиса является именно комбо входных ворот и отсутствия там охраны, другими словами – падение иммунитета и повреждения. Это может как совпадать: тяжелая операция, большая кровопотеря, тяжелое сопутствующее заболевание, так и быть продолжением имеющихся нагноений – фурункулы, флегмоны, карбункулы. А вот возбудителей и участников гнилостных процессов действительно миллион. Например голод/истощение вместе с перфорацией кишечника быстро приведет к сепсису на основе кишечной палочки. Сепсису со своими собственными запахом и цветом. И так – для каждого сантиметра ваших внутренних и внешних поверхностей, везде – свои кандидаты. Но иногда сепсис идет по совершенно особенному пути.
Лицо бедности
К примеру, Prevotella intermedia – население биопленки полости рта – вызывает пародонтоз. При наличии гемина (смесь соляной кислоты с гемоглобином), метадиона и некоторых гормонов начинает бурно расти. Иначе говоря, если ваша ротовая полость, населенная биопленкой с десятками разных видов бактерий, выбросит игральные кости химического состава отрыжек, остатков еды, полового созревания и ферментов в пользу P. intermedia – начнётся пародонтоз. Можно, конечно, просто чаще чистить зубы или использовать агрессивную зубную пасту с фтором, и избежать его развития, но это слишком просто. Сегодня исследования зависимости пародонтоза и роста разных биопленок – настоящий темный лес: с одной стороны отмечен рост P. intermedia в период беременности, с другой – аналогичное действо происходит при недостаточном/скудном питании у беднейших слоев населения в Африке.
Но что нужно, чтобы обычный пародонтоз превратился в фильм ужасов? Компания.
Добавьте к парондотозной падле (Prevotella intermediа) Fusobacterium necrophorum – этого обычного обитателя желудочно кишечного тракта, ответственного за 10% всех случаев ангин. Потом ещё немного Fusobacterium nucleatum, живущего в составе зубного налета. И тот, и другой – жесткие веретенообразные прилипалы, они собирают вокруг себя всё, что только можно, создавая бляшки-поселения из микроорганизмов. В итоге получите что-то вроде отдельной экосистемы, куда при отсутствии контроля и наличии доступа к вашей плоти на огонек собираются все остальные злодеи, что есть в округе: родственник боррелиоза или болезни Лайма - Borrelia vincentii (процветает при дефиците витаминов, длительном отсутствии чистки зубов и формирует мощные биопленки, вызывающие гингивит и воспаление дёсен); Porphyromonas gingivalis (специалист по проникновению в соединительную ткань десны, разваливает молекулы коллагена и устойчив к антибиотикам); и, например, золотистый стафилококк, вездесущий, всеобъемлющий, всегниющий. К ним присоединяется ещё с десяток бактерий, каждая из которых берёт на себя одну из функций. И все вместе они, наконец, справляются со своей главной задачей – выходом на новый уровень роста: размножение не на поверхности вашей кожи, а под ней.
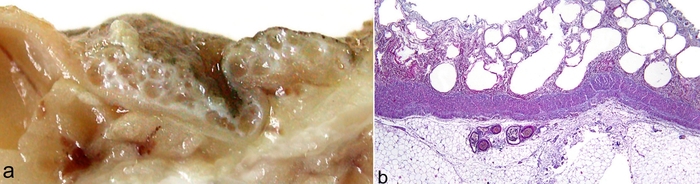
В медицине конкретно эта картина заболевания получила название Нома. Для вас всё выглядит гораздо проще – у вас просто жрут лицо. Вся эта братия микроорганизмов переварят кожу, мышцы, нервы, оголятся кости. Глазные яблоки сначала утратят поддержку, затем включатся в процесс и, превратившись в гной, вытекут. Выпадут зубы. Растворится язык.
Смертность почти 100%. В некоторых источниках вы встретите указание на 80-85%, однако это статистика тех, кто попал в больницу и получил помощь. Но ведь речь идет о беднейшем населении планеты - какая, к черту, помощь? И какая, к черту, больница? Нома – это настоящее лицо бедности, самое дикое и самое страшное из всех, что только бывают. А ведь всего лишь простая регулярная гигиена полости рта и достаточное питание ставят эту болезнь в категорию исчезнувших. В Европе в 1649 году Арнольд Бутия описал в своем Observationes Medicae de Affectibus Omissis (медицинский обзор вымерших болезней) Ному как исчезнувшую редкую болезнь региона Сахары. Но прошло почти 400 лет, а она вполне себе жива, и всё там же. От 40 000 до 140 000 человек заболевают Номой каждый год. При этом общее количество выживших после Номы на сегодня оценивается в 210 000. И это несмотря на статистику смертности и социальную стигматизацию - когда детей с таким заболеванием изолируют, приписывая болезни мистические или религиозные свойства.
Пожиратели плоти
«Nam et si ambulavero in Valle umbrae Mortis, non timebo mala...» “И отправившись долиной смертной тени, не убоюсь я зла” (лат). Так звучит всем известный отрывок из Ветхого Завета. Но Тьма даже в библейском понимании всегда была чем-то абстрактным. Тьма невежества, тьма безверия, тьма без света… Я бы вспомнил её применительно и к иммунитету. Без него нам тоже есть чего бояться. Нома – лишь вершина этого айсберга. Под объемными и сложными медицинскими названиями – некротизирующие инфекции мягких тканей, некротический фасциит – скрываются патологические состояния, суть которых до ужаса проста: вас едят. И это не огромный мохнатый хищник, которого можно увидеть и отпугнуть горящей головней или застрелить из ружья. Это – невидимый нашему взгляду противник, чей выбор жертвы не всегда очевиден, а избавиться от него не так просто.
Модные заголовки вроде «Бактерии, пожирающие плоть – новая угроза человечества» – всего лишь бурная фантазия маркетологов и горе-блогеров, не чета SV. О некротическом фасциите ещё в 1994 году в Ланцете была интересная статья, где авторы разумно обращали внимание, что он не является ни новой, ни тем более угрозой в глобальном масштабе, и приводили цитату Гиппократа о, как он считал, осложнении рожи (стрептококковое поражение мягких тканей). Вот она:
«Многие подвергались заболеванию рожей по всему телу, первоначальной причиной видимо была травма или небольшая рана... Многие страдали от воспаления даже во время лечения, оно быстро распространялось по телу, плоть, сухожилия и кости начинали отпадать в большом количестве. Образующийся поток не был похож на гной, но скорее на разнородные и обильные гниения... ... В некоторых случаях болезнь обнажала всё бедро или кость голени, или всю ногу, но самые опасные были поражения лобка и половых органов...».
Этому описанию – две с половиной тысячи лет! Так что говорить, что “некротический фасциит – новая угроза” – дело неблагодарное. Но Гиппократ называл её рожей, а это не то, скажете вы. Поражения лобка и половых органов вообще выделены в отдельный тип гангрен - гангрены Фурье. Быстро разрастающиеся, они требуют операций по вскрытию ран, установке дренажа для оттока гноя. Открытые половые органы и иссеченная гниющая брюшная полость с вкраплениями подкожного жира – визитная карточка жуткого состояния, из-за близости к жизненно-важным органам весьма опасного и нередко ведущего к смерти.
Но старина Гиппо не был так уж не прав на счет патогена. Так что продолжим разделяться! Мухи налево, котлеты направо, кетчуп прямо, а SV за добавкой. Прежде чем сразу пугать вас жуткими фотографиями разложившихся мышц и плоти, сползающей лоскутами с костей, давайте вспомним более популярные и частые формы инфекций мягких тканей. Это рожа, упомянутая Гиппократом, и целлюлит. На последнем слове, боюсь, многие подпрыгнули. Но не надо путать аппетитные апельсиновые попки на пляжах “ол инклюзив” с их липодистрофией (целлюлитом) и cellulitis – гнойное воспаление клетчатки. И рожа, и cellulitis могут со временем перерасти в полномасштабный фасциит. И те и другие вызываются стрептококками группы А. Кто есть кто?
Рожа – поражение верхней дермы стрептококками группы А – будет похоже на обычную сыпь, появляющуюся на пальцах ног и рук, лице. То, что по-русски – непривлекательное рожистое воспаление, по-гречески – ἐρυσίπελας (рисипелас) – красная кожа. Стать краснокожим может любой человек с подавленным иммунитетом и/или нарушенным оттоком лимфы. Cellulitis – та же проблема, только – глубже. Это бактериальная инфекция, но уже внутренних слоев кожи, вплоть до подкожного жира. Не каждый хороший дерматолог отличит Рожу от Целлюлита. Но и то, и другое – признак вторжения и проигранная вами первая битва. Из-за укуса насекомого, ссадины, или «эээ, а вроде ничего такого не было, а это плохо, доктор?»... При роже и cellulitis не будет струй гноя в лицо дерматолога и отмирания конечностей. Но будут воспаление и сыпь, вызванные экзотоксинами, которые вырабатывают бактерии. Но если ничего не предпринять, и ваша иммунная система продолжит безучастно смотреть на сложившуюся картину, то начнутся осложнения – и бактерий станет больше.
Справа cellulitis, слева Рожа:
Большинство из тех, кто перешел черту – от обычной сыпи к ужасам фасциита, имели хронические системные заболевания, страдали алкоголизмом, наркоманией, диабетом, у них был подавлен иммунитет бесконечными таблетками от аллергии или ВИЧ. Но при этом каждый третий из заболевших был абсолютно здоров, – в их случае так совпало, что в одном месте оказался нужный набор случайностей. Судьба микромира бросила кости и под кожу попала смертельная комбинация патогенов. Одновременно.
Кто они? В первую очередь стрептококки группы А. Почему А? Классификация создана на основании полисахаридов, по характерным молекулам в оболочке стрептококков. Стрептококки группы А – коренные паразиты слизистых путей, особенно носа и рта. Возглавляет их S.pyogenes, ответственный за многие ваш ЛОР болезни - от фарингитов до скарлатины. Лечится мощными дозами пенициллина. Случаи резистентности пока не подтверждались. Иногда к нему присоединяется S. aureus – золотистый стафилококк, живущий на кожных покровах и в верхних дыхательных путях. Он отвечает за десятки инфекций и заболеваний – от гнойных прыщей до пневмонии и остеомиелита. Но в отличии от pyogenes, aureus лечат со времен открытия пенициллина, и он успешно мутировал, научившись производить пенициллиназу (фермент) для переваривания оного. Та же история повторяется для более современных антибиотиков метициллина и ванкомицина.
Остальные попутчики фасциита зависят от конкретных обстоятельств. Если, например, сожрать сырую морскую мидию, можно познакомиться с Vibrio vulnificus – обитателем морей и океанов, вызывающим гастроэнтерит. Но если жрать сырых мидий вместе с раковинами или иметь в анамнезе язву желудка, можно получить внутреннюю некротическую инфекцию, которая развиваться будет с невероятной скоростью и с бешеными последствиями. Некроз, перфорация - и с десяток сопутствующих штаммов бактерий из пищеварительной системы будет следовать сквозь вас как сепсис-бронепоезд по маршруту пляж – крематорий.
Но даже не строя из себя идиота и не пожирая сырые мидии, добытые с волнорезов на спор, а банально загорая в стационаре, имея ослабленный иммунитет и неуемные загребущие руки, можно легко встретить возбудителя вентилятор-ассоциированной пневмонии Pseudomonas aeruginosa, занести его с расчесыванием катетера в микро-ранку и получить абсцесс, сепсис и – сползающее с костей мясо. Что, с учетом невероятной живучести патогена против большинства антибиотиков, вылечить будет очень сложно.
Газ под кожей
Безусловно, самые удачливые из нас могут встретить не абы кого, а славный род клостридий. В нем есть совершенно особенный чемпион, Clostridium perfringens. Обитает бактерия везде, вплоть до почвы, умеет формировать споры, анаэробна (не требует кислорода), толстокожа (грамположительна) – имеет самое быстрое время репродуцирования из всех организмов на планете - 6,3 минуты, растет даже в присутствии формальдегида и в ходе размножения производит крайне интересный альфа-токсин. Интересен он в первую очередь тем, что проникает в плазматическую мембрану клеток, провоцирует разрывы в мембранах и вызывает газовую гангрену.
Лично я не знаком ни с одним человеком, кто её наблюдал бы вживую. Но одного описания хватает, чтобы обойтись без ужина. За 6 часов вы переходите от царапины до лихорадки и кожных покровов серо-синего цвета вчерашнего зомби. При надавливания на края первичной раны из тканей и слизистой массы выделяются мелкие пузырьки газа с неприятным, сладковато-гнилостным запахом. При прощупывании конечности и пораженных участков определяется крепитация (похрустывание пузырьков газа, разрывающих клеточные мембраны). Дополняется это всё разрушением сосудов, заполнением полостей кровью и появлением фиолетовых пузырей, напоминающих обратные ожоги... Из лечения – дозы антибиотиков на грани смертельных и экстренная ампутация пораженных конечностей гильотинным типом (это не присказка, а способ экстренного отрезания конечности по кругу и за один раз).
Что же мы имеем в итоге? Бесконечный список бактерий вокруг нас? Быстрое устаревание лекарств? Жуткие болезни, снимающие мясо и кожу с костей? Неотвратимость вымирания? И единственную преграду между ними - нашу иммунную систему.
З.с. гуглить фотографии по запросам газовая гангрена, гангрена Фурнье, Нома и некротический фасциит не советую даже самым крепким духом.










Все о медицине
14.2K поста41.7K подписчиков
Правила сообщества
1)Не оскорбляйте друг друга
2) Ув. коллеги, при возникновении спора относитесь с уважением
3) спрашивая совета и рекомендации готовьтесь к тому что вы получите критику в свой адрес (интернет, пикабу в частности, не является медицинским сайтом).