Кариес и с чем его едят.
Так как первый мой пост на пикабу неожиданно вышел в горячее, как и обещал продолжаю серию статей на стоматологическую тематику. В комментариях выразили интерес к теме кариеса как таковой. Что ж, приступим. Особо терминами постараюсь не грузить и изложить максимально доступным языком.
В статье хотелось бы дать доступные ответы на такие вопросы как:
1) Почему зуб разрушился, а не болит (на примере строения)?
2) Почему в зубе вроде и дырки нет и боли нет, а мне его стоматолог рассверлил и пломбу поставил.
3) Простенькие советы по сохранению здоровья зубов.
Строение зубов:
Собственно эмаль - самая твердая ткань в человеческом организме, состоит из минеральных веществ (96-97%) и незначительного количества органических компонентов. В ней нет нервных окончаний и она не регенерирует.
Дентин - опять же бесклеточная ткань, определяющая форму и строение зуба, содержание минеральных веществ уже меньше чем в эмали (70%), 20% органики (преимущественно коллаген), 10% воды.
Пульпа зуба (т.н. нерв) - сосудисто-нервный пучок, обеспечивающий множество функций, в том числе питание, защиту (иммунитет), чувствительность (рецепторная).
Цемент зуба - ткань, напоминающая по структуре кость, только без сосудов. Состоит на 70% из минеральных веществ и на 30% из органики. Осуществляет связь зуба с костью челюсти за счет периодонтальных связок, осуществляющих рецепторную функцию (восприятие жевательного давления: многие помнят то чувство, когда в порыве жевания между зубами попадает какой-нибудь твердый кусочек/косточка и челюсти мгновенно разжимаются от неприятного ощущения) и амортизирующую (у зуба имеется небольшая подвижность в пределах лунки, коей, кстати, не обладают импланты).
Собственно, за счет того, что эмаль не болит, а в дентине так же нет нервных окончаний, зуб может не болеть вплоть до пульпита.
Кариес начинается с того, что на зубе фиксируется конгломерат бактерий, которые перерабатывая углеводы из пищи выделяют кислоты. Кислоты вступают в реакцию с минеральными веществами эмали зуба, она ослабляется, а затем и разрушается, так начинается кариес; кислоты из соков, газировок и т.п. отлично помогают бактериям в их нелегком деле. При кариесе зуб может не давать о себе знать или иногда побаливать от кислого, сладкого и температурных раздражителей. Дальше процесс усугубляется по мере проникновения бактерий все глубже.
При пульпите зуб начинает болеть от холодного и горячего (боль проходит в течение 15-30 минут и более после устранения раздражителя), так же характерный признак - наличие самопроизвольных болей в вечернее и ночное время. За счет того, что при воспалении нерва он увеличивается в размере(отекает), и при условии того, что находится он в замкнутом пространстве возникает боль от сдавления нерва. Если переждать некоторое время (неделя, две - месяц) нерв погибает, боль проходит. В каналах остается распад ("гной"), постепенно инфекция доходит до верхушки корня зуба (на картинках снизу) и благополучно выходит за его пределы, начиная расплавлять кость, в которой находится зуб(периодонтит).
При периодонтите боли (дискомфорт) возникают при жевании, может наблюдаться подвижность, свищ ("прыщик") на десне в области причинного зуба. Хронический процесс может не давать о себе знать довольно длительное время (месяцы - годы), но в один прекрасный момент (простыл, продуло, искупался в море/озере) он может дать обострение и нешуточно разболеться.А дальше уже периостит (флюс) - воспаление кости с отеком и асимметрией лица. Если думаете, что дальше уже некуда, то вы ошибаетесь. Дальше хуже, но не будем об этом пока что.
Почему зачастую зуб вроде здоров и не болит и дырки нет, а стоматолог настаивает на его лечении?
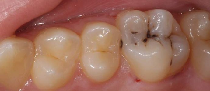
На данном фото видно, что полости как таковой нет, но сквозь эмаль просвечивает чернота - дентин, пропитанный пигментами и бактериями, которые в тепличных условиях благополучно бурят зуб в направлении нерва. Дентин в таком случае становится как масло и снимается пластами, так что приходится довольно сильно иссекать пораженные ткани, что приводит к сильной потере тканей зуба.
В какой-то момент, в эмали зуба появилась небольшая щель, в эту щель благополучно попали бактерии из полости рта (в коей их огромное множество). Затем человек начал хорошо чистить зубы, щель в эмали не увеличивалась, а благодаря фтору из зубной пасты/воды/продуктов эмаль еще и укрепилась и дальше не захотела разрушаться. Но т.к. бактерии уже попали в закрытые условия (для самых агрессивных микроорганизмов необходимо отсутствие кислорода) без доступа кислорода, с наличием органики и воды, да еще и температура 36.6С, они благополучно "плодились и размножались" попутно подъедая дентин, окрашивая его в неприглядный коричнево-черный цвет.
При более активном течении кариеса, когда эмаль разрушена больше и имеется доступ в кариозную полость могут быть болевые ощущения от сладкого, холодного, кислого и просто за счет того, что пища попадает в кариозную полость. Так же присоединяется и неприятный запах изо рта - в этом случае человек обычно идет к врачу и лечит кариес.
Так же довольно коварным является кариес между зубами: застревает пища, подгнивает, бактерии ее кушают и попутно разрушают эмаль зуба.
На снимке отчетливо видно, что справа ткани зуба гораздо плотнее, чем слева (обведено), т.к. слева имеется уже кариес, но на жевательной поверхности все нормально и зуб вроде как и здоров, но конкретно на этом снимке с вероятностью 90% нерв уже погиб и беспокоит пациента вероятнее всего либо дискомфорт в области зуба, либо неприятный запах изо рта.
Советы по сохранению здоровья зубов:
Первое и всем известное - чистка зубов. Если с гигиеной все плохо, можно начать хотя бы с чистки раз в неделю (не шучу) и потихоньку дойти хотя бы до 1 раза в день. Поначалу десна могут сильно кровить, болеть, не пугайтесь. В 99% случает это результат длительного нахождения налета на деснах, что привело к их воспалению и кровоточивости. Буквально за 3-4 дня без налета десны восстановятся (если конечно там налет, а не массивные отложения назубного камня).
Второе: полоскания. Обычные полоскания после приема пищи/соков/газировок/сладкого. После приема пищи прополощите рот водой/чаем без сахара, это удалит остатки пищи и нейтрализует различные кислоты.
Третье: если с гигиеной дело налаживается плохо, ограничьте количество углеводов, особенно липких конфет, леденцов, сладких газированных напитков, они являются излюбленной пищей для кариесогенных бактерий.
Четвертое: больше твердой пищи(овощи, фрукты, яблоки, морковка). Она способствует как дополнительному удалению налета с зубов, так и укреплению десен. А в детском возрасте еще и правильному формированию и росту челюсти ребенка.
Пятое: молочное. Наиболее хорошо кальций усваивается из молочных продуктов: творог, сметана, сыр. Что дополнительно увеличивает сопротивляемость эмали зубов к кариесу.
И шестое: профилактические осмотры и профессиональная чистка зубов. Ни в коей мере не собираюсь рекламировать какие-либо услуги в стоматологии, но тезис "проще предотвратить, чем лечить" никто не отменял. Узнайте в своей поликлинике по месту жительства, возможно вам положено проведение бесплатной проф. гигиены 1-2 раза в год (у нас в гос поликлинике детям проводится бесплатная проф чистка 2 раза в год). Как только вы вылечили все зубы (или у вас все итак нормально) не скупитесь и проводите себе два раза в год (кому-то можно и чаще, кому-то реже) проф. чистку. В эту процедуру входит: снятие мягкого налета, назубных отложений (камень) и покрытие кальций- и фтор-содержащими препаратами. Дополнительно укрепляются зубы, десны, дыхание свежее и меньше шансов развиться кариесу. Плюс в процессе чистки можно обнаружить начальные кариесы, которые лечатся безболезненно даже без анестезии, быстро и с минимальной потерей здоровых тканей.
Длинновасто вышло, где-то немного кривовато, так что пока закругляюсь.
Так же могу рассказать про подготовку к беременности в стоматологическом аспекте (сам читал лекции беременным в форме вопрос-ответ). Кариес у детей и уход за зубами у деток. Сам я врач-стоматолог детский, так что не во всех вопросах я компетентен (сложное протезирование, ортодонтия), но на что смогу - отвечу.
З.Ы. Если есть какие-либо замечания по форме статьи, может надо более детально на чем-то остановиться или наоборот попроще все рассказывать - пишите, учту ваши пожелания.
З.Ы. не знаю, ставить ли тег "мое", фотки с интернета, информация из книг, вольный пересказ и рекомендации - мои :)
Ну и напоследок.





