Сага о стоматологии. Глава 118. Почему зуб стал розовым после лечения?
Представьте: приходите вы к стоматологу, а он смотрит на ваш зуб и говорит: «Ну, тут всё непросто…» Именно так было с одним из наших пациентов.
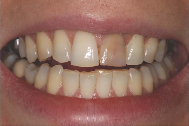
У него было воспаление на корне зуба. Сам зуб скрывался под пломбой — та уже изрядно покололась.
Когда мы её убрали, картина стала яснее:
-стенки зуба — розоватого оттенка;
-дно — тёмно‑коричневое;
-ткани корня-твердые
Мы обсудили с пациентом все нюансы и приступили к лечению. Но тут у многих закономерно возник вопрос: что вообще происходило с этим зубом? Почему он такого цвета? И почему не гнилой?
Ответ прост: виной всему — устаревший резорцин‑формалиновый метод пломбирования каналов. Да‑да, тот самый, который до сих пор кое‑где применяют.
Что это вообще такое?
В начале прошлого века сумрачный немецкий доктор Альбрехт задумался: как бы избавить пациентов от зубной боли без щипцов? И придумал смесь из трёх компонентов:
-резорцина (двухатомный фенол), который является основой для многих смол, лаков, клеев.
-40 % формальдегида(формалин). Это консервант, в котором хранят трупный материал.
-катализатора, чтобы два вышеуказанных компонента затвердели
Смесь запихивают в корень зуба — и она затвердевает, образуя нечто вроде эпоксидной смолы. Метод прост, как дверь от сарая, особенно когда нормальных инструментов для обработки корней ещё нет.
Как это делают?
Раскрываем полость зуба, где располагается нерв.
Удаляем нерв — насколько получается.
Сушим и изолируем ваткой.
Смешиваем компоненты.
Заталкиваем смесь в зуб.
Закрываем пломбой.
Иногда растягиваем процедуру на 2–3 визита, но чаще укладываемся в один.
????
PROFIT!!!
Вариантов исполнения было много, но суть всегда оставалась одной.
Казалось бы, всё идеально, пришел пациент, че-то поковыряли, залепили и отпустили, но в это в идеале.
Какие плюсы у этого метода?
1 ) Просто! Не требуется высокая квалификация или хорошее оснащение. Справится даже студент или гастарбайтер-самоучка: зуб раскрывается бором, нерв поверхностно выковыривается, а смесь вносят любым куском металла. WIN!
Короче, материал для пломбирования корней из пост-апокалипсиса. Именно его после ядерной войны будут заказывать сталкерам, которые будут ходить в населенную мутантами пустошь за хабаром.
2 ) Относительно эффективно! Смесь дезинфицирует и высушивает остатки нерва.
Так как у нас полость в которой находится нерв, не такая идеально красивая и ровная как в учебнике, а имеет хренову тучу поднутрений и ответвлений, то вымыть всё как следует сложно. А кривыми руками, за 15 минут и в плохих условиях почти невозможно!
Резорцин-формалин, кое-как, проникает в эти веточки, высушивает органику, а потом превращаясь в смолу все это герметизирует. Ключевое слово-«кое-как».
3 ) Дешево! Пачка этого зелья стоит рублей 200-700, а хватает на целую толпу. Именно это стало ключевым аргументом в СССР.
Но минусы… Их куда больше
1 ) Вред для организма в целом. Резорцин и формалин — токсичны, мутагенны и канцерогенны. Формалин может выходить через верхушку корня и разноситься кровью по всему организму (его находили в печени, почках, лёгких и мышцах). Именно поэтому метод во многих странах запрещен.
2 ) Плохая герметичность. Смесь мумифицирует нерв, но плохо закупоривает верхушку корня. В процессе затвердевания смесь дает усадку и образовывает пустоты. Поэтому инфекция часто выживает, проникает за верхушку и образовывает кисты.
3 ) Сложно удалить зуб. Высушивание затрагивает не только нерв, но и ткани зуба, и связку, за которую он держится. Зуб становится хрупким, как стекло, и плотно срастается с костью. Удаление превращается в мучение: корень крошится и не хочет выходить целиком. Именно поэтому некоторые коллеги называют резорцин «слеза хирурга».
Чтобы нормально удалить такой зуб, его корень надо долго и упорно выпиливать.
Будучи хирургом, я отношусь к коллегам-резорцинщикам неравнодушно. Во момент удаления таких зубов сильно жалею, что уголовный кодекс запрещает применять к ним средневековые пытки.
К сожалению, в городских поликлиниках, а также во всяких дворовых забегаловках сортирного типа с выпиливанием не заморачиваются и выламывают корень вместе с костной стенкой. Остается огромная дыра, которая заживает не одну неделю, а установить потом туда имплант без колдунства с наращиванием кости бывает крайне трудно. Глава 9
4 ) Хрупкость. Высушенные зубы плохо выдерживают нагрузки. В идеале их нужно сразу покрывать коронками, но, к сожалению, восстанавливают тупо пломбой со штифтом — и они ломаются достаточно часто. И если у тебя такой стоит 10 лет, то это не значит, что все хорошо. Подробнее глава 17
5 ) Сложно перелечить. Каналы, не до конца пройденные изначально, закупориваются ещё сильнее. Перелечивание повышает риск перфораций корня или облома инструмента.
6 ) Проблемы с восстановлением. Из‑за пропитки тканей смесью адгезия современных композитных материалов снижалась. Часто приходится дополнительно укреплять зуб штифтами или вкладками перед установкой коронки. А это в свою очередь повышает нагрузку на корень.
7 ) Плохая эстетика. Зуб окрашивается в розовато-коричневатый оттенок. На задних зубах это не так заметно, но передние выглядят… своеобразно. Резорцин плотно въедается в ткани, даже отбеливание не всегда работает. Часто прибегают к винирам или коронкам.
Именно поэтому резорцин стал визитной карточной советской карательной стоматологии на Западе, где от этого метода отошли намного раньше. Называют они такие зубы red russian teeth («красные русские зубы»). Из-за них спалилось немало советских разведчиков!
Именно поэтому в поликлиниках КГБ часто применялись западные материалы и методики. Перед забросом на задание такие зубы сотрудникам удаляли. Все пломбы и коронки менялись на каноничные западные, а стоматологи десятилетиями были невыездными.
Резюме.
Метод однозначно устарел!
Если ты стоматолог и до сих пор фанатеешь от резорцина — не брызгай слюной в комментариях. Лучше глянь, пришла ли пенсия, прими таблетки и посмотри, что по телевизору крутят.
А если ты пациент и тебе вдруг предлагают этот метод — сразу говори «нет» и ищи врача, который в курсе, что на дворе XXI век.
Ну а если тебе уже запломбировали зуб этим «красным русским цементом» — не очкуй и никого не иди избивать. Особенно если это сделали давно. В конце концов, даже у старых методов бывают положительные результаты. Если было бы все действительно так плохо, то он не использовался в практике стоматологов больше 100 лет.
Если провести аналог с оружием, то резорцин-формалиновая паста- это старый мушкет.
Можно ли из него убить человека? Запросто! Со 100 метров он прошьет твою тушку навылет! Это делали не одно столетие! А вот взять его на современную войну может быть чревато, так как стреляет слабо, редко, не особо метко и дает осечку на каждые 3-4 выстрела.
Но раз уж тебе «выдали мушкет» и все пока хорошо, то просто держи руку на пульсе: наблюдай за зубом, прислушивайся к ощущениям и не пропускай плановые визиты к стоматологу. Если не будет никаких проблем через год после лечения, то смело покрывай зуб коронкой и живи счастливо. Да, с такими зубами иногда ходят и по 20-30 лет.
Ну, а на сегодня всё! Сохраняем обязательно пост себе, чтобы не потерять! Обязательно подписываемся и ставим лайк!
По этой теме:
Если вы тут недавно, то читаем все главы, уверен, много нового для себя узнаете.
Если есть какие-то вопросы, то смело задавайте в комментариях.
Если что-то персональное, то пишите в ЛИЧНО в телеграм https://t.me/vadbel1310, отвечу всем! Консультация БЕСПЛАТНАЯ, мне не жалко.
Если что-то срочное, то звоните +79057685253 (телеги на номере нет) с 8 до 22 по Москве. Также по этому номер вы можете написать мне в WhatsApp или Max. Если не отвечаю, то значит работаю, пишите!
Если вдруг кому удобнее читать всё это в телеграме, то у меня есть паблик https://t.me/vadbel1310public Там дублируются все посты и удобнее навигация по главам.
Никаких ПЛАТНЫХ медицинских услуг в интернете или по телефону не оказываю! Также у меня нет никаких "представителей" и "учеников", консультирую только лично!
Так как вас много, то СРАЗУ ПО ДЕЛУ! Не надо прелюдий "а можно вопрос, удобно ли вам?" и т.д. Сразу пишем по форме. Следующий абзац можете прям скопировать и заполнить.
___________________________
Здравствуйте, я с Пикабу, меня зовут:
Регион:
Это очень важно, чтобы смог сразу понять, к кому можно будет вас направить, если что!
Задаём вопрос. Если вопрос связан с заболеванием, то заполняем форму:
Жалобы: что болит, когда появилось, когда началось… и т.д.
История болезни: когда началось, что, где, когда лечили, и т.д. Соблюдаем хронологию. Стараемся рассказывать покороче. Если возможно, то присылаем фотографию на телефон.
Какие сопутствующие патологии: обмен веществ, инфекционные заболевания, какие препараты принимаем.
Кидаем снимки, если есть. Если есть КТ, то пишем "Есть КТ"
Что бы вы хотели получить от консультации: Совет, направление, лечение?
___________________________
Пишите, пожалуйста, текстом и по форме, мне проще читать. Отвечать буду голосовыми, так как строчить ответ десяткам людей в день тяжело. Без обид, я стараюсь помочь всем! Отвечаю, по возможности, быстро, но так как я практикующий врач и прием у меня достаточно интенсивный, то могу реагировать не сразу. Если вдруг не отвечаю, не стесняемся, через день-другой напоминаем.
И не забываем вступать в Лигу плохих зубов!






















