Лечим десны, профилактируем кариес, экономим килотонны деняк за стоматологах. ч2. Что покупаем, что делаем?
Для ленивых : покупаем Индикатор зубного налета (МАСТ ХЕВ! На нём все и базируется!!!), щетку средней жесткости (или мягкую, но это уже для умелых), ирригатор , флос (для не ленивых).
Первое с чего начинаем (дабы не быть из любителей самолечения) придется потратиться - посещаем стоматолога, проводим профессиональную гигиену полости рта, получаем консультацию. По необходимости работаем с врачом пародонтологом (который будет уже заниматься лечением вашего пародонтита и может индивидуально скорректировать методы для домашней гигиены)
Если явных проблем нет, то переходим к следующему шагу
Открываем маркет плейс (или яндекс карты с аптеками, или вообще покупаем все в клинике из прошлого шага. Тут на усмотрение и желание сэкономить). Вбиваем в поисковике в первую очередь такую штуку как ИНДИКАТОР ЗУБНОГО НАЛЕТА. Далее Вбиваем ИРРИГАТОР. Если уже давно жуете щетку и превратили её в щетку из мема "моя щетка \ а это щетка моего мужа", то тогда и новую покупаете. Для начала СРЕДНЕЙ жесткости. ЖЁСТКИЕ брать НЕ надо. СРЕД- НЕЙ ЖЕСТ-КОС-ТИ. А если дальше будет не лень и поверите в себя, то купите мягкую ( я хезе зачем вам эти сложности и геморой). Если верите в свои силы, то можете купить и зубную нить. Но это уже для эстетов и прям молодцов. (Покупать надо вощёную, которая пушится и увеличивается в объёме. Она топ).
По маркам ничего не подскажу, т.к. не вижу смысла в рекламе и промокодов тоже не будет.
1-Индикатор зубного налета
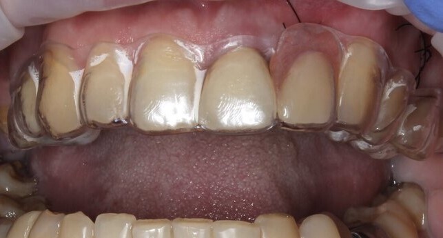
На первом фото зубки до окрашивания. Внимание на верхние резцы. Кажется вроде они то норм, а теперь смотрим на фото после покраски. И оказывается даже на них есть участки с налетом. (само собой у пациента присутствовал запах изо рта)
То ради чего все задумано, то что даст нам картинку выше (фотка сделана мной, рот не мой. Я в брекетах Ы). Что из себя представляет - краситель. Бывает в виде таблеток или растворов. Раствор мне кажется поприкольнее. Крашу им пациентов. Суть в чем - даже глядя в зеркало, обзор не очень хороший, часть зубов прикрыта губами, щеками. Освещение, если фонариком целенаправленно не светить, так себе + все смочено слюной + налет не сильно отличается от цвета зубов. Как итог - все это сливается и "в глаза не бросается". Для этого нам и нужен индикатор зубного налета. Что делаем: Вечером (можно и утром, но имейте в виду, может не полностью смыться с губ, десен, языка) прокрашиваем зубы индикатором. Если таблетка, то её обычно надо пожевать. Если раствор, то мне нравится взять ватный шарик, смочить немножко и размазать по зубам (ватные палочки мне не оч нравится из-за плохого впитывания. Больше по нраву шарик и пинцетиком аккуратно. Но каждому своё) снаружи и изнутри. Чуть подержали на зубах. Сполоснули, сплюнули. В итоге весь налипший налет впитает краситель. И вы наглядно увидите реальную ситуацию. После этого чистите зубы и СНОВА КРАСИТЕ. Второй раз - это контроль. И сравниваете что было и что стало. Если также - много чего окрасилось, то повторяете чистку. Понятное дело, что все прочистить щеткой невозможно, но в пределах разумного результат должны получить хороший. Задача - не перечистить рот 100500 раз, а "поставить руку", чтобы в каждой зоне щеткой нормально прочищать, в том числе избавиться от привычки недочищать около десны. Продолжаем это все веселье пару недель каждый вечер. Дальше раз в неделю можно себя контролить.
Вообще вся эта котовасия предлагается для детей, чтобы приучить их чистить зубы, а не просто жевать щетку в ванной медитируя на струю воды из под крана, наслаждаясь вкусом зубной пасты (ох, как здорово в детстве было) . Но как показала практика - взрослые не лучше детей.
2 ИРРИГАТОР
Выбираем на свой вкус, цвет, кошелек и место в ванной. Важно! Поскольку мы тут учимся гигиене для ленивых, то и быть он должен всегда под рукой. Опыт моих пациентов показывает, что если его надо достать-убрать даже в шкафчик, то порой становится лень или периодически на него забивают, потому что "чет забыл, ладно в след раз тогда". Что из себя представляет? Аппарат, который стреляет водичкой пульсирующей струей и вымывает остатки пищи из под десен и между зубов. Есть специальные для него растворы, но меня жаба душит и лень . Был пробник, я его тупо отдал. Пользуюсь тупо водой из под крана и норм. Главное уяснить, что Ирригатор это ВСПОМОГАТЕЛЬНОЕ средство гигиены. Сначала щетка, потом ирригатор. Если максимально лень и выбор между щеткой и ирригатором, то выбираем щетку. Воду наливаем комфортной температуры. Мощность выставляем - чтобы не было больно. Здоровые десна при использовании ирригатора не должны ощущать болезненности, не должны разбиваться и начинать активно кровить. Даже выставляя на максималку свой стационарный, то в руку бьет он ощутимо и даже в какойто мере "больно". По деснам - вообще норм. Разве что в карман если попадаю , то может быть болезненность (и то больше если подвоспалится). Но вот так делать не надо. У стационарного мощности на 6-7 хватает, хотите, можно побольше. Но главное - боли быть не должно. Промываете ВСЕ зубы снаружи и внутри. Основная задача - как на рисунке между зубами около десны домыть. Много времени это занимать не должно. Думаю удивитесь, когда увидите, что много мелких кусочков еды после чистки щеткой вымывается, хотя казалось что все чистенько и хорошо. Бонусом - ощущение свежести полости рта, причем не из-за отдушек как в случае зубной пасты.
В целом на этом можно сказать, что на этом минимальной гигиены для самых ленивых достаточно. Лично я пользуюсь связкой щетка+ ирригатор. При том, что ношу брекеты несколько лет.
Если есть желание Можете осилить и зубную нить. (есть еще и ершики, но это для упоротых и уже скорее с пародонтологом надо подбирать).
3- зубная нить
Чем она хороша - она как и щетка "физически" защищает зубы. Поэтому лучше и брать "вощеную", которая распушится. Чем плоха - требуется приноровиться и требует времени. Но умельцы утверждают, что времени много не нужно (продаются кстати разные многоразовые ручки для ниток, что упрощает их применение). Как правильно чистить - намотали на пальцы, натянули как струну, пропихнули между зубов до десны, ПРИЖАЛИ к одному зубу и полирующими(пилящими) движениями вытаскиваем как и засунули. Повторяем все тоже самое, но прижимаем уже к соседнему зубу. Таким образом зачищаем у каждого зуба поверхности на стыках. Просто засунуть-вытащить - хуже по эффективности и не приводит в полной мере к нашей цели. Если вы носите брекеты, то есть специальные зубные нити, но я лично ими не пользовался, а пациентка, которая ими пользовалась сказала следующее "а эти суперфлоссы я вообще прокляла! Орудие сатаны для пыток!" ©
Про зубные щетки мне писать честно говоря лень, потому что "в умелых руках и Х** балалайка" :) Сам пользуюсь дешманскими по рублей 50-70 (купил себе сразу кучу и норм). Да и в целом надраивание зубов не хочу делать смыслом жизни, так что и так норм
И последнее - если вы максимально ленивы или занятой человек, то после приема пищи хотябы прополоскать рот водой. Можно пожевать жвачку (после сигарет аналогично). Вечером перед сном обязательно все надраиваем (получается минимум 1 раз в день зубы почистить должны). И вечер перед сном, потому что ближайшие 1-3-5-8-12 часов вы проведете во сне, а в это время слюна выделяется хуже. В итоге все что накушали и осели на зубах - будет их "портить".
Подведем итоги
1- профилактика лучше и дешевле лечения
2- если проблема уже есть, то её надо сначала решать с врачом в первую очередь, а во вторую уже поддерживать результат на достойном уровне
3- Чтобы добиться результата - надо видеть, что вы делаете. А увидеть получится с помощью индикатора
4- Техник чистки зубов великое множество. Можете погуглить, выбрать удобное для себя (хоть просто щетку жуйте) - главное результат. Но щетки жесткие не берите. Мягкие для тех кто постиг дзен или назначил врач (и то как правило это на небольшой промежуток времени)
5- обучение на стомате не способствует тому, что сидишь потом и учишься правильно чистить зубы. И резист к кариесу и прочему не дает. Так что все в ваших руках.
6- Основная причина запаха изо рта это неудовлетворительная гигиена полости рта и пародонтит. В первую очередь посетите стоматолога.
Пробуйте, дерзайте. Если будут вопросы по теме, то могу пояснить. Полноценные консультации по интернету не провожу, подскажу, дам общие рекомендации (СХОДИТЕ К СТОМАТОЛОГУ АХАХАХАХАХАХА!).
З.Ы. если кому-то будет не лень и сможет на себе провести эксперимент - проверить насколько эффективно ирригатор снимает налет (покрасили, ирригатором постреляли, снова покрасили) и запилить фоточки или видос, то буду оч признателен. На себе такое провернуть не удалось. Мб когданибудь


































