Новинки и интересные релизы #29
Привет! После краткого перерыва возобновляю регулярные выпуски новинок и хороших записей музыки в стилях эмбиент, дроун и различной другой невероятно вкусной музыки, которая нас заставляет задуматься или просто выпустить пар.
Статья доступна также здесь:
Если Вам интересны мои опусы, то прошу полистать предыдущие тексты: (https://teletype.in/@corneyplodt/07oyhpEtlOe), (https://teletype.in/@corneyplodt/BSq8SxWTNcL), (https://teletype.in/@corneyplodt/xQCNvByHq6q).
1. CYCLES II - Cyclic Law's 20th Anniversary Label Sampler by Cyclic Law
В конце декабря, уже прошлого 2022 года, в честь 20-летия, культового, французского лейбла дарк эмбиент, индастриал, оккультной и эзотерической музыки Cyclic Law, выпустил альбом компиляцию составленную из различных исполнителей лейбла, среди них: Ajna , он же Крис Ф, саунд дизайнер, композитор из Нью-Йорка, экспериментирующий с различными жанрами электронной музыки с 14 лет. Ajna затрагивает такие жанры, как ambient, drone, dark ambient и experimental. Идея проекта Ajna - запечатлеть присутствие подсознательного разума, сюрреалистические качества природы, постоянный спектр эмоций и красоту изоляционизма. Также на сборнике отметились: Kammarheit, это известный шведский композитор Пэр Бострём с его по скандинавски холодные и темные произведения, отечественные оккультные ритуальщики Corona Barathri совместно с также российским проектом New Risen Throne, Desiderii Marginis, безусловно известный вам Йохан Левин шведский творец темных звуковых ландшафтов и мистических хоралов. И также множество других не менее известных и любимых исполнителей.
2. Themes and Atmospheres for Adam Curtis's Russia 1985-1999 TraumaZone by Lawrence English
Лоуренц Инглиш весьма известный композитор, художник живущий в Австралии. Звуковое пространство которое он создает на протяжении уже 39 студийных альбомов простирается от впечатляющего дарк эмбиента с индустриальными мотивами, до различных экспериментальных произведений. Инглиш использует различные подходы, включая живые выступления и инсталляции, создавая работы, которые приглашают зрителей задуматься о своем отношении к восприятию, месту и воплощению. В последнее десятилетие он работает со звуком как средством воплощения опыта и намерен поделиться своими интересами в области трансформационных и сенсорных трансгрессивных возможностей звука.
Выше представленный релиз от октября 2022 года короткий, атмосферный саундтрек для фильма британского кинематографиста Адама Кёртиса. Фильм вышел в 2022 и по названию понятно о чем он: Россия 1985-1999: TraumaZone.
На релизе Инглиш, дает аннотацию, дам ему слово:
"Мой друг Адам Кертис был для меня источником интенсивного и продолжительного вдохновения. Особенно в последнее десятилетие его работы помогли спровоцировать и расстроить способы подхода к миру, который становится все более сложным и непрозрачным. Его методы визуального монтажа, звукового оформления и структуры, как кинорежиссера, - это то, из чего я тоже многое почерпнул. Поэтому было очень приятно работать с ним над фильмом Россия 1985-1999: TraumaZone. Хотя это не первое наше сотрудничество, оно, безусловно, самое прямое и, по крайней мере, с моей стороны, самое удовлетворительное. Another Ending - это работа, которая перекликается с фильмом Адама и основными, иногда скрытыми, влияниями, которые влияют на него и одновременно на меня. Черновики фильмов, которые я видел вначале, еще не были завершены, и только недавно я узнал название серии - Россия 1985-1999: TraumaZone. Это вызвало у меня сильный резонанс, поскольку в последние три года я был несколько озабочен Зоной - она запечатлена непосредственно в таких альбомах, как Field Recordings From The Zone, а также в нашем дуэте с Merzbow Eternal Stalker, не говоря уже о Approach, который по умолчанию находится в очень реляционной местности. Изображение на обложке этого издания я запечатлел в Санкт-Петербурге. Снимок был сделан примерно через десять лет после завершения фильма Адама, но для меня он каким-то образом отображает часть зыбких и пустых обещаний, характерных для этой серии фильмов.''
3. Xenoplanetary by Ruptured World
Британец Алистер Ренни личность неординарная, он совмещает как писательскую деятельность, создавая и публикуя произведения в стилях фэнтези и хоррор, так и возглавляя аудио проект Ruptured World, своего рода музыкальную интерпретацию своей литературы.
Всего у него 5 альбомов и вот 10 января 2023 года вышел шестой, под названием Xenoplanetary и это уже 4 альбом в серии Planetary. И все это выходит на чудесном, темном, конечно весьма известному вам лейбле Cryo Chamber (https://cryochamber.bandcamp.com/music)
"Причудливый темный космический эмбиент-альбом с разговорной речью и странным инопланетным электро-джазом.
Альбомы серии Planetary достигают потрясающего и ужасающего завершения, когда поисково-спасательная миссия Феникса Макрэя по спасению своего отца подходит к драматическому концу.
Потусторонняя атмосфера космического джаза сочетается с жуткими мелодиями, космическими риффами и завораживающими гипнотическими ритмами.
Войдите в область предельной странности - инопланетную экосистему лесистых вершин и уступов, которые скрывают множество секретов в потайных долинах, расположенных между ними.''
Это из аннотации к альбому. Также, выше я прилагаю записи с других альбомов Планетарной серии.
4. Disappeared by Pepo Galán & David Cordero
Еще ноябрьский, совместный релиз музыкантов, испанца Пепо Галана из Андалусии и испанца Дэвида Кордеро под названием Disappeared. Музыканты часто сотрудничают вместе и это последняя на данный момент работа. Альбом создавался без спешки, постепенно. Их терпеливый подход медленно превратился в окончательные аранжировки, которые можно услышать на этой созерцательной записи. Дэвид говорит:
"Мы с Пепо посылали друг другу небольшие фрагменты звуков для дальнейшего совершенствования, развития и трансформации, пока не достигли определенного звучания, которое нам нравилось. Нашей целью в этом конкретном наборе аранжировок было позволить смеси наших стилей плавно сойтись в наиболее деликатной манере. Мы хотели, чтобы эта работа стала примером и подчеркиванием спокойной природы наших продюсерских стилей.''
Альбом в полной мере сочетает в себе все вышеперечисленные качества и характеристики. Релиз вышел на одном из лейблов господина Zakè, Past Inside the Present. (https://pitp.bandcamp.com/music), настоятельно рекомендую, как и другой его лейбл Zakè Drone Recordings (https://zakedrone.bandcamp.com/).
5. The Garden of Eternal Echoes by Emmanuel Witzthum
Прошлогодний релиз лета 2022 года, музыканта, Эммануэля Витцтума под названием Сад вечного эха. Это уже пятая работа музыканта и он всегда уделял большое внимание своим работам в стиле эмбиент.
Сад вечного эха - это мирное святилище ботанического мира, и его пропитанная нефритом эмбиентная музыка склоняется к свету. Происходит постепенное цветение, и сад засеян успокаивающими эмбиентными интерлюдиями и более длинными произведениями, которые растут более устойчиво.
Приглушенные, рожденные землей ноты растут, как жаждущие щупальца, составляющие ползучие лианы, обвивая атмосферу эмбиента, медленно захватывая ее сад.
Альбом вышел на французском лейбле Facture (https://facture.bandcamp.com/music)
6. The Sphere of the Enlightened by Torus Dome
Веселый, жизнерадостный проект Torus Dome из города Турку, Финляндия, осчастливил нас очередным релизом, 3 января 2023 года. Восьмитрековый альбом называется The Sphere of the Enlightened (Сфера просветленных) и он продолжает исследование темных, мрачных и гнетущих ландшафтов подобно Lustmord, Raison D'être, Atrium Carceri, Kammarheit.
Интенсивный пульсирующий Dark Ambient с потрясающе гипнотической атмосферой.
Глубокие звуковые ландшафты, управляемые дронами, ведут слушателя через порталы к вершинам земли, для окончательного просветления.
7. Fridged-Frozen/Forgotten? by Mike Benoit
"Зима - холодное и уединенное время года, она действительно весьма метафорична и напоминает тех, кто стоит в одиночестве и изолирует себя... это антисоциальное время года. Я чувствую сходство с ним... как это ни парадоксально, я ненавижу зиму.''
Написал на альбоме Fridged-Frozen/Forgotten?, января 2023 года американский эмбиент музыкант Майк Бенуа. Я не был бы так категоричен, зима несет свои определенные прелести, но это его мнение, а музыка у него хороша, послушайте обязательно и другие его работы, коих полно! (https://mikebenoit.bandcamp.com/music)
8. Extradimension by Sphäre Sechs
В начале января отметился очередным альбомом немецкий проект Sphäre Sechs. За проектом стоят господа, Мартин Штюрцер (https://phelios.bandcamp.com/) и Кристиан Штритцель .
Это вызывающее путешествие через темное пространство и потусторонние звуковые ландшафты. Записанный вживую с использованием Терменвокса, наряду с коллекцией аналоговых и цифровых инструментов, Альбом Extradimension передает сырую и выразительную энергию, соединяя дух исполнения и творчества этих двух музыкантов, которые работают вместе с 2001 года.
9. Story of Yama-Uba 山姥物語 by Goryō
Замечательный релиз весны 2022 года, Story of Yama-Uba 山姥物語, от французского проекта Goryō специализирующегося на данджен синте, дарк эмбиенте, с уклоном в японскую культуру. К альбому есть примечание-история:
"Эта гора населена привидениями. И дело не в шуме ветра на скалах или струйке воды из ручья. Здесь живет ведьма. Говорят, что никто не видел ее истинного лица. На прошлой неделе были убиты несколько заблудших купцов. Одинокий выживший говорит, что за лесами, на единственной тропе, ведущей к вершине, они встретили только женщину. Ее лицо отличалось непревзойденной чистотой..."
10. the night is in my mouth by Lyndsie Alguire
Закончу на сегодня обзор канадской исполнительницей Линдси Алгуайр и ее последним на сегодня альбомом 2021 года the night is in my mouth.
Ее работы содержат сквозные линии неподвижности, уязвимости и тоски. Используя фортепиано, синтезатор, полевые записи и голос, ее работы вызывают меланхоличные образы и текстуры.
Выросшая на классическом фортепиано, она продолжила изучать аудиотехнику и кино фотографию, вплетая эти средства в свое ремесло.
Касательно альбома the night is in my mouth, автор оставила пояснение:
"Записано летом 2020 года на Tascam 424, перемежаясь с полевыми записями полуночных прогулок по заводам и промышленным зонам. the night is in my mouth - это любовное письмо ко всем ночным вечеринкам, разрыву акустической системы, незаконному проникновению, поездке на велосипеде домой в 3 часа ночи и жесткому падению. Эти 8 пыльных, грязных треков, которые лучше всего слушать на сломанном плеере, отправят вас в психоделическое путешествие по бесконечной летней ночи, где далекие звуки слышны сквозь холодный бетон.''
Очень красиво.
И бонус трек Rebirth образца 2020 года от композитора Роберто Джаффорелли, насладитесь покоем:
На сегодня все, желаю всем Вам светлого, доброго дня! Спасибо за Ваше внимание! Силы и удачи! До свидания!
При подготовке текста использовались следующие источники: wikipedia.org, bandcamp.com, last.fm и многие другие. Иллюстрация используемая к статье является работой нейросети Midjourney.
Прионы – смертельная диета Ганнибала Лектера
Автор: Игорь Телятников.
Сегодня мы поговорим о самых необычных вкусовых предпочтениях Homo sapiens – о каннибализме. К счастью, употребление людей в пищу встречается только в диких племенах аборигенов, оторванных от цивилизации, и в художественных произведениях. Самым ярким примером последнегоявляется фильм «Молчание ягнят» благодаря актерскому мастерству Энтони Хопкинса, сыгравшего Ганнибала Лектера.
Но несмотря на столь редкие явления каннибализма в современном мире, он может представлять угрозу для человечества, и не только с точки зрения несчастных, попавших под нож людоеда. Проблема намного серьёзнее. И сегодня я расскажу, как каннибализм создал самую опасную болезнь в мире со 100% летальностью, от которой не существует лечения.
Обратим своё внимание на кулинарные предпочтения Ганнибала Лектера, в особенности на жареные мозги. И из всех возможных блюд, я предлагаю остановиться именно на них, потому что на протяжении всех фильмов Ганнибал никогда сам не ел человеческий мозг, а только угощал им людей, разделивших с ним трапезу. И в его отказе от употребления содержимого черепной коробки есть смысл, так как головной мозг может быть источником смертельного заболевания – губчатой энцефалопатии или прионной болезни.
Молчание ягнят
История изучения заболевания началась в 1954 году, когда профессор Рейкьявикского института экспериментальной патологии (Исландия) Бьёрн Сигурдсон прочитал свои знаменитые лекции в Лондонском университете, посвящённые медленным инфекциям (МИ), – группе смертельных трансмиссивных губкообразных энцефалопатий, принятых обозначать прионными болезнями.
Задолго до официального представления о МИ публике Б. Сигурдсон был приглашен исландскими фермерами для выяснения причин возникновения массовых заболеваний среди овец на различных фермах острова. Он столкнулся с весьма разнообразными клиническими проявлениями действительно разных заболеваний, среди которых были и признаки поражения ЦНС у животных, и нарушения со стороны дыхательных органов. Однако, несмотря на различия симптоматики, Б. Сигурдсон обнаружил между этими болезнями и определенные черты сходства: необычно продолжительный инкубационный период (годы), медленно прогрессирующий характер течения процесса, необычность поражения органов и тканей и неизбежный летальный исход. Именно эти четыре признака и легли в основу наименования таких заболеваний, как МИ.
«Куру» – «смеющаяся смерть»
Спустя три года американский педиатр и вирусолог Даниел Карлтон Гайдузек и медицинский работник подрайона Кайнанту в Папуа-Новой Гвинее Винсент Зигас опубликовали результаты своих исследований на острове Новая Гвинея, где среди папуасов-каннибалов племени Форе широко распространилось заболевание – «куру» со 100% летальностью.
Даниел Карлтон Гайдузек
В ходе своей работы в племени Форе Д. Гайдузек столкнулся с новой болезнью, поражающей в основном женщин и детей.
Все начиналось с головной боли и слабости, в дальнейшем присоединялись судороги, и, вследствие поражения мозжечка, походка становилась шаткой. Прогрессирующий паралич лишал человека возможности передвигаться.
Газетчики дали ей название "смеющаяся смерть" за характерную "улыбку" – результат спазма лицевых мышц. Последние дни жизни уже обездвиженное тело больного сотрясала характерная "подкидывающая" дрожь (отсюда название болезни, «куру» = дрожь). Несмотря на попытки лечения, каждый случай заканчивался неминуемым летальным исходом.
Больные «куру» с характерной «улыбкой»
Выделить возбудителя из биоматериала больных также не удавалось. При вскрытии черепной коробки у всех умерших обнаруживались характерные изменения мозгового вещества - оно приобретало губчатую структуру. Главный же вопрос оставался не решенным: каким образом болезнь передавалась от человека к человеку?
Выдвигалась теория наследственности. Однако, сопоставив генеалогические древа погибших, Д. Гайдузек понял, что заболевшие зачастую не были родственниками. Пониманию природы заболевания поспособствовало более детальное изучение традиций племени. Аборигены употребляли в пищу своих сородичей исходя из религиозных побуждений: они верили, что этот ритуал помогает умершему остаться со своими соплеменниками уже в качестве духа.
Больной, пораженный «куру».
Оказалось, что при проведении ритуала каннибализма, мужчинам доставались все мышцы, а женщины и дети ели оставшиеся внутренние органы. Особо ценным продуктом считался мозг умершего.
Соотнеся все факты, исследователь пришел к выводу, что недуг передавался от человека к человеку вследствие поедания аборигенами мозга больного соплеменника. В ходе научных исследований Д. Гайдузек сумел передать «куру» шимпанзе, а впоследствии и низшим обезьянам, чем и доказал инфекционную природу «куру». Он выдвинул предположение, что причиной болезни является некий вирус. К слову, он до конца жизни был верен этой гипотезе. Но все оказалось значительно интересней.
Злой белок
Открыть возбудитель болезни удалось доктору медицины, профессору неврологии Университета Калифорнии в Сан-Франциско Стенли Прузинеру, который изучал мозговую ткань умерших от «куру». В ходе исследований учёный обнаружил абсолютно новый вид возбудителей, которых он назвал прионами (prion от protein «белок» + infection «инфекция»). Они не были похожи ни на каких ранее известные возбудители.
(A) Normal prion structure (PrPC) (B) Abnormal prion (PrPSc)
Прионы представляют собой молекулы белка с измененной структурой, которые удивительным образом при попадании в организм "заставляют" наши нормальные белки изменяться в себе подобные. Такие метаморфозы необратимы и со временем все больше протеинов вовлекаются в процесс, превращаются в патологические и перестают выполнять свои функции. Это ведет к неминуемой гибели клеток мозга.
Расположение гена PRNP в 20-й хромосоме человека.
Патогенез начинается с гена PRNP, отвечающего за создание прионного белка (PrPC), который особенно активен в клетках нервной системы. Точно функция данного белка в организме не ясна, но известно, что он располагается в клеточной мембране и, возможно, отвечает за транспортировку в них ионов меди.
В результате мутации гена появляется прион (PrPSc), который находит правильные прионные белки и "заставляет" их изменяться в себе подобные.
Структура «здорового» белка PrPC содержит участок из трех α-спиралей и двухцепочечного антипараллельного β-слоя. У «больной» формы PrPSc этот домен образован преимущественно β-слоями. Такую структуру можно назвать «заразной»: ее появление стимулирует нормальные молекулы PrPC переходить в такую же аномальную форму PrPSc. Поодиночке мономеры PrPSc не существуют и складываются в весьма устойчивые амилоидные образования из десятков, сотен и тысяч частиц. Расщепляясь на фрагменты, эти образования распространяются и «инфицируют» новые молекулы PrPC
Со временем все прионные белки внутри пораженной нервной клетки превращаются в прионы. На этот случай внутри клетки заложена программа самоуничтожения, в ходе которой клетка погибает со всеми белками, но кроме прионов. В результате чего они оказываются снаружи нейрона, откуда имеют возможность проникнуть в другие клетки и повторить всё уже внутри них.
Смерть нейрона
Весь этот процесс локализуется в основном в головном мозге, в котором со временем появляются полости на месте погибших нейронов. Этот процесс называется трансмиссивной губчатой энцефалопатией, в ходе которой человек испытывает личностные изменения и психиатрические проблемы.
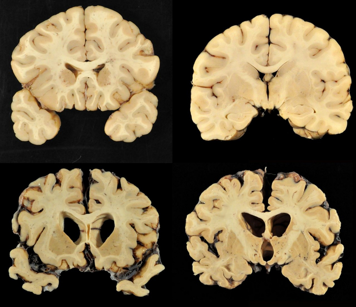
Срез здорового мозга (сверху), срез мозга с губчатой энцефалопатией (снизу)
Продолжительность инкубационного периода составляет в среднем 5-10 лет, однако может продолжаться 25-30 и даже до 50 лет, если заражение происходит в юности или раннем детском возрасте.
Больной теряет интерес к хобби, начинает сторониться самых близких людей, поддается депрессии. Среди симптомов отмечают развитие тревожного состояния, бессонницу, хорею (нерегулярные, отрывистые, беспорядочные, хаотичные, иногда размашистые, бесцельные движения, возникающие преимущественно в конечностях), миоклонус (кратковременное быстрое сокращение мышцы или группы мышц) и прогрессирующую атаксию (нарушение согласованности движений различных мышц при условии отсутствия мышечной слабости). Больной не может сам себя обслуживать, теряет способность самостоятельно принимать пищу. Поздно наступает слабоумие, и пациент осознает свое ухудшающееся положение.
Ягнята заговорили
В последние годы особый интерес к проблеме прионов и прионных заболеваний вызван разразившейся с 1986 года в Великобритании эпизоотией (широким распространением инфекционной болезни среди одного или многих видов животных на значительной территории) трансмиссивной губчатой энцефалопатии крупного рогатого скота (ТГЭ КРС).
Заболевание было обусловлено массовым заражением молодняка, при выкармливании которого использовали зараженную инфекционным прионным белком мясокостную муку.
Мясокостная мука
Ранее мясокостную муку широко использовали во многих странах при выкармливании телят. Сырьем для мясокостной муки служили скелеты крупного и мелкого рогатого скота и другие, не идущие в пищу человека части туш коров и овец. В технологию получения такой муки после процессов тщательного измельчения исходного сырья включалась также обработка активными жирорастворителями и термообработка при температуре 130°С. Однако в конце 1970-х годов в Великобритании предприниматели, решив повысить питательную ценность мясокостной муки, снизили режим термообработки до 110°С, а также уменьшили количество жирорастворителей. Именно эти изменения технологии и сыграли роковую роль в развитии эпизоотии КРС. Болезнь охватила все графства, число заболевших коров постоянно увеличивалось и в 1992 году достигло пика - до 1000 в неделю.
Корова с трансмиссивной губчатой энцефалопатии крупного рогатого скота (ТГЭ КРС).
Клинически болезнь проявлялась, как выражались ветеринары, в «потере животным кондиции», они стали особо чувствительными к прикосновению и звуку, были подмечены нарушения психики: появился страх и приступы бешенства («болезнь бешеной коровы»). При вскрытии в головном и иногда в спинном мозге обнаруживали гибель нейронов, формирование губкообразного состояния мозговой ткани. На гистологических срезах ткани головного мозга выявляли присутствие инфекционного прионного белка.
Прионные болезни КРС помимо Великобритании были зарегистрированы во Франции, Германии, Швейцарии, Италии, Португалии, Ирландии, Нидерландах, Дании, США, Омане, Китае и на Фолклендских островах, что было связано либо с импортом уже зараженных животных, либо с использованием в этих странах инфицированнной мясокостной муки.
С июля 1988 года в странах был введен запрет на кормление жвачных животных белковосодержащими кормами, приготовленными из органов и тканей жвачных животных, и начиная с 1993 года эпизоотия пошла на убыль.
Столь широкое распространение этой прионной болезни КРС естественно вызывало беспокойство по поводу возможности передачи заболевания от животных человеку.
Прямых доказательств возможности заражения человека от коров при употреблении в пищу молочных или мясных продуктов не получено, как и нет данных, опровергающих это предположение.
Заключение
За открытия, касающиеся новых механизмов происхождения и распространения инфекционных заболеваний, Д. Гайдузек был удостоен в 1976 году Нобелевской премии и пожертвовал все деньги племени Форе. Доктор С. Прузинер в 1997 году также был удостоен Нобелевской премии по физиологии и медицине.
На сегодняшний день случаев заболевания «куру» уже давно не было зафиксировано. Это прежде всего связано с окончательным искоренением древнего ритуала каннибализма. Помимо «куру», существуют еще болезни, которые вызывают прионы: фатальная семейная бессонница, Синдром Герстманна-Штреусслера-Шайнкера и болезнь Крецфейльда-Якоба. Эти заболевания не связаны с какими-либо ритуалами, основную роль в их возникновении играет наследственность.
Изучение прионов и связанных с ними заболеваний является новой быстро развивающейся областью биомедицинских исследований, результаты которых могут быть использованы для выяснения причин более распространенных нейродегенаративных заболеваний, таких как паркинсонизм, болезнь Альцгеймера, боковой амиотрофический склероз.
Список литературы
Г. М. Авдей Поражение нервной системы при прионовых заболеваниях (обзор литературы)// Журнал ГГМУ. 2003. - № 1
В.А. Зуев. Медленные вирусные инфекции человека и животных. - М.: Медицина, 1988. - С. 151 - 202.
В.А. Зуев, И.А. Завалишин, В.М. Ройхель. Прионные болезни человека и животных //Руководство для врачей. - М., 1999.
А ещё вы можете поддержать нас рублём, за что мы будем вам благодарны.
Значок рубля под постом или по ссылке, если вы с приложения.
Подробный список пришедших нам донатов вот тут.
Подпишись, чтобы не пропустить новые интересные посты!
О чем мы будем вспоминать с ностальгией буквально через несколько десятилетий?
Материал был взят и переведен с Рэддита. Приятного прочтения!
1. Наличные деньги. Даже не беря во внимание, что часто удобнее иметь дело с наличкой, этот вид денег настоящее искусство. Купюры и монеты это продукт работы мастеров. Среди них встречаются очень красивые экземпляры.
2. Вождение автомобиля. Хотя, возможно, и останутся треки или закрытые площадки, на которых можно будет погонять на автомобиле со старым добрым бензиновым двигателем. В будущем вождение автомобиля будет, как сейчас верховая езда – дорогое хобби для богатых.
3. Я лишь не хочу жить в мире, в котором будут говорить: «А ты не скучаешь по 2020-му? Помнишь, какие классные были времена? Как же тогда хорошо жилось».
4. Скорее всего, современный ютуб. Он очень быстро меняется. Я сейчас скучаю по тому, каким он был 10 лет назад. Думаю, лет через 20-30 он вообще изменится до неузнаваемости.
5. Конфиденциальность. Если правительства будут действовать грамотно, то они будут постепенно, но постоянно нарушать права людей на частную жизнь. Лишь немногие будут замечать это, и говорить об этом. В общем, все это делается уже и сейчас. Конгресс продлил действие «Патриотического акта», а Сенат проголосовал, чтобы дать право ЦРУ и ФБР просматривать историю браузера граждан США без разрешения суда. А вы помните, чтобы эти события освещались в крупных СМИ? Помните общественный резонанс по этому поводу? Вот и я не помню.
6. Интернет. Я уже сейчас скучаю по интернету, который был до ютуба и соцсетей, когда можно было наткнуться на всякие дикие сайты. Когда мы зависали на форумах, и никто не знал, как в интернете делать деньги. Любой заход в сеть был тогда маленьким приключением, а не возможностью убить время или инструментом для работы.
7. Наверное, пропадут напитки с огромным количеством сахара, продукты с огромным количеством соли и антибиотики, которые еще работают.
8. Лазерные диски с фильмами. Учитывая, что все направлено в сторону цифровой индустрии, компании скоро перестанут выпускать диски с фильмами. Они их будут показывать на своих стриминговых платформах или продадут Нэтфликсу. Я вот сегодня купил диск с музыкой. Друзья говорят, что я поехавший. А я люблю компакты. Понимаю, что цифра удобнее, но мне хочется подержать покупку в руках. Ее потом можно сохранить себе на комп и поделиться с друзьями.
9. А я думаю, что многие вещи, по которым люди будут ностальгировать через 20-30-40 лет, сейчас еще и не придумали.
10. У нас выросло целое поколение, которое воспитывалось на случайных каналах на ютубе, и процесс только усугубляется. Мне представить страшно, какая дичь будет твориться в нашем обществе через 1-2 поколения.
11. 40 лет назад я был подростком. И если бы тогда у меня спросили, о чем я буду ностальгировать через 40 лет, то ответы были бы примерно такие. Чистый воздух, вода, земля. Виды животных, которые вымрут к тому времени. Мы тогда опасались, что компьютеры захватят на планете власть. Помните фильм «Газонокосильщик»? Может, не самый лучший пример, но все же. И ядерный конфликт мы считали вполне возможным. И вот мы в настоящем времени. В чем-то мы оказались правы с прогнозами, а где-то не угадали. Очевидно, что 2020-й не самый лучший год, но люди в целом оптимисты и умеют приспосабливаться. Вот и через 40 лет мы будем смотреть на наши сегодняшние страхи с небольшим недопониманием и легкой улыбкой.
Похожие подборки без цензуры и купюр ежедневно выходят на моем канале https://t.me/realhistorys
Всем здоровья и добра!
Пребывание в психушке, Винзили. Тюмень
Приветствую всех тех несчастных кто готовится к поступлению в психиатриескую больницу и сейчас ищет хоть какую то информацию о том что нужно взять с собой, как себя вести и тд и тп.
Начну чудесный рассказ с вещей которые стоит взять с собой.
Туалетная бумага и влажные салфетки (серьезно, самая важная вещь).
Нижнее белье и носки.
Большой шампунь или же несколько.
Зубную щетку, футляр для нее и пасту. Жидкое мыло, гель для душа.
Мочалку.
Мыло для стирки.
Тапочки.
Полотенце.
Расческу.
Телефон, зарядку.
Пакет (в который вы сложите все ваше добро)
Хороший, жирный крем (не знаю почему, но там очень сухо)
Заранее собирите для себя передачки или же составьте список того что вы предпочитаете
То что вы можете взять в качестве развлечения.
Книги, комиксы и тд.
Пазлы.
Нитки ( для плетения фенечек)
Бумагу, блокнот и то чем вы будете писать/рисовать.
Настольные игры без мелких деталей (карты у вас могут забрать, но в
основном персоналу все равно)
Далее пойдет информация о пребывании.
Первым делом после скорее всего долгого ожидания вас отправят в приемник, где дадут подписать кучу бумаг.
После чего все ваши вещи попросят переложить в пакет.
Далее мы начинам самую веселую часть. Санитарка проведет вас в комнату где у вас возьмут различные анализы. Так же вам предстоит помыться жидким мылом каждый день с лимоном, и омолвить ваши волосы шаманом фруктис под сотрогим наблюдением санитарки. Первый унизительный этап мы закончили, но не расслабляйтесь, их впереди еще много. После чего переодевают в больничную одежду и с полотенчиком заводят в комнату где вы проведете минимум сутки. Без каких либо вещей. Но можно попытаться выпросить книгу. Тут начинается русская рулетка, ведь положить могут вас одних, или же с 7 людьми. Чуть позже отведут на небольшой разговор с психологом о том что вы тут забыли и что беспокоит. Нормального туалета там нет, есть горшок. Да ходить в горшок, да при всех кто в палате, ничего чем можно было бы закрыться нет, ну если только не завернуться в простыню или попросить кого то ее подержать. Раковины тоже нет, встает логичный вопрос, как мыть руки? Только прополоскать водой из бутылки с питьевой водой, что добродушно вам выдают, но ругаются что вы из нее пьете. Да, то что вы оказывается пьете из бутылки для этого и предназначеной. После приемника вас помоют, да опять под надзором, переоденут, и в огромной, старой, зашарканой и грязной уличной одежде поведут собственно в карантин.
Там уже вам выдадут ваши вещи и после ужина будут выдавать передачки. По понедельникам, средам и пятницам можно звонитьродственникам.
Там вы проведете неделю если ни у кого не обнаружат температуру, и три если такое все же случится. В карантине раковина уже есть, но старый друг горшок будет там с вами. Правда вы можете отпроситься в
вечно воняющий и засраный туалет с без унитазов, да дырки в полу. ДА ИХ КАК ТО УМУДРЯЮТСЯ ОБОСРАТЬ. Извините, накипело.
После вас переведут в отделение, дальше рассказ пойдет только детском и женском, к сожалению побывать в мужском не удалось.
Рассказ о детском отделении будет все так же от меня, о женском от моей прекрасной сопалатчицы из карантина.
И так детское отделение.
Начнем с распорядка дня
Подъем.
Водные процедуры.
Завтрак.
Таблетки.
Обход по будням.
Занятия в школе и занятия с врачами по будням.
Прогулка если тепло и два санитара.
Обед.
Таблетки.
Сон час.
Полдник.
Передачки.
Звонки родственникам.
Ужин.
Душ.
Таблетки.
Сонник.
Все ваше нахождение в психушке будут проводиться различные обследования. В карантине будут приходить к вам, из отделений вас приводят санитары.
Продолжим разбором местной иерархии. Парней в ней сильно дискриминируют. На самом деле на это есть причины, из всех девочек с проблемами в развитии было 3, из парней 15. Как видите разница значительная, собственно это и есть причина. Делиться или не делиться не вопрос, потому что есть только один ответ, делиться. Начиная от шампуня, собственно по этому его и нужно много, заканчивая трусами. На самом деле про трусы это 50% шутка, тк одежду там выдают включая трусы, но трусы в отличии от одежды можно иметь свои. Одежду меняют раз в неделю, но можно попростить сменить если вас что то не устроило. Одежда....ну.... нет, как бы я не старалась я не смогу сказать что терпимо, магазин "Ирина" в какой нибудь глубинке обзавидовался бы.
Поведение, за любое непослушание вас могут описать (оставить еще на неделю-две), буквально, это не шутка. Слушаемся, говорим спасибо, кушаем кашу (если конечно не ходите есть через зонд) Все время если вам не повезло находиться в 7 палате вы проводите в игровой, воняющей и вечно орущей игровой, на жестких стульях-диванах, смотря телевизор. И там даже не сериалы по домашнему про любовь, а неясные фильмы которые включают санитары и мультики по типу лунтка и барбоскиных.
Ну вот и все, все основные моменты закончились, пора прощаться, передаю хлеб 🍞
Женское отделение:
В палате от 4 до 12 человек, много буйных. Еду разносят в палаты, в туалет ходишь свободно. 4 унитаза без перегородок или кабинок, там часто втихаря курят. Ужин в 5, обед а час, завтрак в 8:30. Можно спать сколько угодно, на тихом часе необязательно, можно блокноты, канцелярию, книги спокойно. Обследований не было, утром измеряют температуру.
Не стесняйтесь задавать вопросы, на все отвечу😋🍞





















