ЭКО - когда, кому и как? Самая полная и информативная версия
Я врач-репродуктолог, лицензирован, аккредитован и меня легко загуглить. Лечу бесплодие, провожу программы ЭКО, отложенного материнства (Пост о заморозке яйцеклеток на будущее на пикабу) и помогаю забеременеть. Каждый день рассказываю пациентам о том, что нам предстоит и решил поделиться с вами. Это обновленный пост с дополнениями.
Люди считают, что ЭКО - это крайняя мера и часто боятся, окружают процедуру страхами и ритуалами.
Расскажу, как это происходит на самом деле. Это не страшно.
Для начала - что такое бесплодие? Бесплодие это отсутствие беременности в течении 1 года половой жизни без предохранения (до 35 лет, после - 6 месяцев). И все.
Настоятельно рекомендую обратится за медицинской помощью, если у вас не получается и вы преодолели эти сроки.
Почему срок для беременности именно год?
Дело в том, что за год, при регулярной половой жизни, забеременеет 85% пар.
Факторов приводящих к бесплодию не так уж и много.
Для успешной беременности нам нужны несколько составляющих:
- Регулярный цикл и овуляция у женщины (При отсутствии овуляции - бесплодие, если остальное в порядке - можно её "запустить" и ЭКО не потребуется)
- Способная к зачатию сперма (Мужской фактор встречается в 40% случаев. Первым делом, если нет беременности - отправляю мужчину на спермограмму)
- Проходимые маточные трубы (При непроходимости или удаленных маточных трубах поможет только ЭКО, без вариантов)
- Готовый к имплантации эндометрий. (Эндометрий это слой выстилающий матку изнутри, который отторгается с менструацией. Внутриматочная патология, например миомы, полипы, синехии - мешают имплантации эмбриона и беременность не наступает).
Отдельным столпом стоит эндометриоз (Пост про эндометриоз в этом посте на пикабу), тема огромная, упомяну, что эндометриоз тоже приводит к бесплодию.
Если все в норме, но при этом беременность не наступает - мы говорим о бесплодии неясного генеза (Примерно 10-15% случаев)
Подробнее о причинах бесплодия в этом посте
ЭКО - это лишь метод преодоления бесплодия. Если другие не помогут.
Суть кроется в названии. Экстракорпоральное оплодотворение - extra - вне, corpus - тела.
Берутся половые клетки женщины, они же яйцеклетки, они же ооциты и оплодотворяются спермой партнера или супруга. В условиях, имитирующих естественные условия в теле женщины, растет эмбрион. Эмбрион переносится в матку. Дело сделано.
А теперь подробнее.
Для того, чтобы понимать смысл дальнейшего повествования пару слов о менструальном цикле.
Как вы видите - один фолликул растет, в нем яйцеклетка. Происходит овуляция и яйцеклетка выходит к маточной трубе. А фолликул превращается в желтое тело, которое вырабатывает прогестерон. Если произошла беременность, то прогестерон её поддерживает. Если нет - прогестерон падает и наступают месячные.
Но в картинке неточность. На самом деле яичник выглядит так:
Эти черные кружки - фолликулы. И за один менструальный цикл тратится не один фолликул. А десятки и сотни. Один фолликул, самый чувствительный - становится доминантным, остальные уменьшаются и исчезают. Образование новых фолликулов и исчезновение не доминантных - постоянный процесс. Не останавливающийся даже во время беременности.
Все процессы регулируются гормонально. Для роста и созревания фолликула важны 2 - Фолликулостимулирующий гормон (ФСГ) и лютеинизирующий гормон (он же ЛГ). Они вырабатываются гипофизом в мозге. ФСГ воздействует на самый чувствительный фолликул и тот начинает расти - это начало цикла. Далее, в середину цикла, на выросший фолликул действует ЛГ и он овулирует, превращаясь в желтое тело.
Теперь перейдем к сути
Если упростить, у стимуляции в протоколах всего 3 задачи:
1) Вызвать рост множества фолликулов
2) В нужное время ввести финальный укол, он же триггер, чтобы вызвать управляемую овуляцию (оно же дозревание яйцеклеток) и пунктировать выросшие фолликулы
3) Заблокировать пик лютеинизирующего гормона, чтобы растущие фолликулы не овулировали раньше времени.
В первом пункте не сложно.
ФСГ воздействует на самый чувствительный фолликул и он растет. Что мы делаем?
Правильно
Даем больше ФСГ!
Те самые укольчики - это как раз препараты ФСГ. Доза выше - фолликулы с меньшей чувствительностью реагируют - рост множества фолликулов.
Доза рассчитывается индивидуально исходя из целей и задач. Идеальное попадание 12-14 фолликулов. Если замораживаем яйцеклетки - 18-20.
В конце концов все определяется уровнем АМГ и овариальным резервом. Если фолликул 1 - то хоть ведро ФСГ влей, больше 1 не вырастет.
Яичник во время стимуляции выглядит примерно так:
Стимуляция занимает в среднем 10 дней. В конце ставится финальный укол, который приводит к созреванию ооцитов (яйцеклеток) и через 35-37 часов нужно провести пункцию.
Пункция выполняется под УЗИ контролем, с помощью очень тонкой иглы. Женщина под наркозом. По времени - минут 15. Это безопасно, осложнения - уж крайне редко, меньше 1%.
Видео с аппарата УЗИ во время пункции
Собранные яйцеклетки передаются эмбриологу и он их оплодотворяет. Вопреки стереотипу, оплодотворение происходит не в пробирке, а в чашке.
Про эмбриологию рассказывать не буду, это целая волшебная вселенная. Упомяну лишь, что условия оптимальные и приближены к естественным.
Развитие эмбриона происходит так:
Обычно на 5 сутки мы видим бластоцисту. Можно оценить её внешнее качество. Можно провести генетическое тестирование.
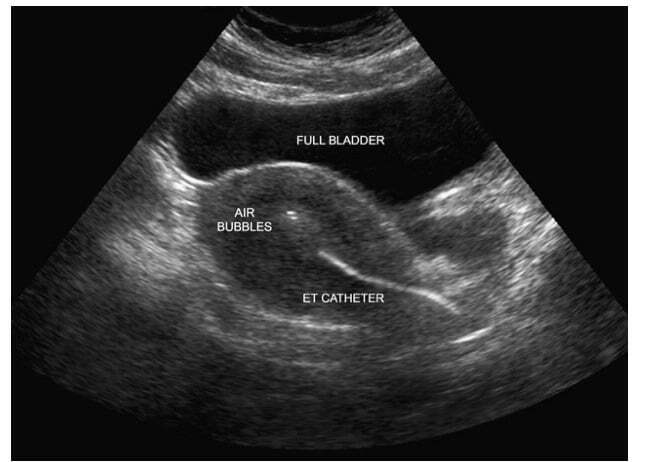
На 5 сутки ( а можно и на 3, и на 2) происходит перенос эмбриона в полость матки с помощью специального катетера. Безболезненно и быстро.
Пузырьки воздуха вводятся в катетер перед и после жидкости с эмбрионом, это нужно, чтобы видеть место переноса на УЗИ. Эмбрион плавает в жидкости между пузырьками и в дальнейшем имплантируется (Или не имплантируется) в ткань эндометрия и развивается беременность.
После пункции назначаются препараты прогестерона для поддержки. Оставшиеся эмбрионы криоконсервируются, то есть сверхбыстро замораживаются. Дело сделано. Ждем беременность.
Звучит просто. Если не углубляться. Можно обойтись и без стимуляции. Можно проводить стимуляцию без уколов. Проводить во 2 фазу цикла. Двойные стимуляции. Но это уже компетенция врача, не будем усложнять.
Почему же у кого-то получается ЭКО, а у кого-то нет?
Дьявол кроется в деталях.
Программа ЭКО это математика, вероятности и естественный отбор.
Начнем с естественного отбора и дальше подойдем к сути. После получения ооцитов происходит их оплодотворение. Небольшой процент не оплодотворится. Из оплодотворенных - часть не дорастет до 5 суток и остановится в развитии. Из полученных бластоцист - часть будет с неправильным хромосомным набором. И из эмбрионов с правильным хромосомным набором часть не имплантируется и беременности не будет. Так работает природа и с этим никто не в силах ничего сделать. Если вам говорят про 90% эффективность в клинике - вам нагло врут.
Что можно сделать?
Есть вещи которые увеличивают вероятность беременности, есть которые снижают.
Факторы на которые мы можем повлиять, например:
-Курение (курящим нужно в 2 раза больше попыток)
-Вес (Индекс массы тела больше 30 и ниже 18 снижает вероятность забеременеть на 30%)
-Алкоголь
-Хронический эндометрит, гиперплазия эндометрия и маточные факторы.
И так далее.
Факторы на которые мы не можем повлиять:
-Генетические особенности
-Количество фолликулов и уровень АМГ.
-Возраст
На возрасте остановлюсь подробнее и завершу свой рассказ.
Качество и % эмбрионов с правильным хромосомным набором напрямую зависят от возраста.
Репродуктологи всего мира, в том числе и я, кричат во весь голос - не затягивайте! Чем старше, тем труднее!
В качестве примера - Исследования оценивающие вероятность получения эмбриона с правильным хромосомным набором в зависимости от возраста:
А вот результаты исследования о наступлении беременности на 1 перенесенный, генетически не проверенный эмбрион в зависимости от возраста:
1) до 35 лет – от 30,5 % до 40%
2) 35-37 лет – от 24.6% до 31.6%
3) 38-40 лет – от 17.8% до 21.5%
4) 41-42 года – от 10% до 11%
5) Старше 42 лет – 4%
МИФЫ И ФАКТЫ
Самый популярный миф - ЭКО вызывает рак.
А вот и неть, не вызывает. Мы по сути даем препараты ФСГ, которые воздействуют только на фолликулы. Фолликулы выделяют эстрогены. Эстрогены воздействуют на матку и грудь. Мы их проверяем перед протоколом. Далее желтые тела выделяют прогестерон. Там тоже самое.
Более того - я занимаюсь программами онкофертильности, то есть получаю половые клетки у пациенток прямо во время рака, перед химиотерапией, чтобы они могли забеременеть в будущем.ЭКО поможет - инфа сотка, результат гарантирован. Не все так гладко. Даже имея идеальный эмбрион и эндометрий беременность наступает в 55-60% случаев. Почему не имплантируются остальные - загадка и ответ никто не знает.
Можно по желанию сделать двойню - если врач в здравом уме, намеренно переносить 2 эмбриона он не будет. Это беременность более высокого риска. И бывают ситуации, когда один эмбрион делится, а это тройня. С этим лучше не играть.
Можно выбрать пол - нельзя, законом запрещено, врача посадят. Суррогатное материнство без строгих показаний так же под запретом.
Меня зовут Дворцов Кирилл Олегович, гинеколог-репродуктолог.










