Ответ на пост «Как вы по глупости получили травму?»65
Это было чудесное лето. Ничто не предвещало бед и несчастий на мою голову. Ноооо...
Второй курс университета увенчался практикой в детском лагере.
Как и в любой бюрократической структуре мне требовалось собрать уйму справок и бумажек для участия в данном мероприятии. И вы знаете, я их собрал и с чувством выполненного долга направился к своему работодателю, дабы отпроситься на месяц другой. И даже там мне ничего не помешало продолжить свой путь, к светлому преподавательскому будущему.
Однако, дурная голова рукам-ногам покоя не даёт...
Рядом с домом моего тогдашнего начальника находится замечательный пандус для съезда колясок. Красивый, новый дом оборудовали большим двускатным съездом с разноуровневыми перилами на разной высоте. Почти вот такой:
Я взглянул на него, на себя, а потом искра, буря безумие и мне в голову приходит гениальная в своей простоте мысль - что если пройти по перилам пандуса, можно серьёзно сократить расстояние до остановки (около 5м.). Реально прикинув свои тщедушные силы и взяв волю в кулак, я таки на них забрался и начал своё шествие. И вот, пройдя без малого целых две трубы, моя нога цепляется в пробел между трубами и я всем своим немалым весом лечу вниз...
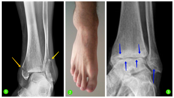
Когда я более-менее пришёл в себя, то заметил что сбоку на голеностопе начинает вздуваться основательный по своим размерам шишак. По глупости своей подумав что это всего лишь вывих, стиснув зубы, я заковылял до остановки. Лишь там, просидев минут десять, я понял что мне несколько хреново... Здраво оценив свои силы, я вызвал скорую помощь и поехал в больницу, где мне поставили диагноз: закрытый перелом со смещением.Почти вот такой)):
В лиге тупых я вроде уже состою. Так что просто подтверждаю своё членство)


















