Сага о стоматологии. Глава 88. Как устанавливают коронку на зубной имплант?
Здравствуй, дорогой читатель. Если ты открыл эту главу, то скорее всего тебе установили зубной имплант, или только собираются это сделать. Если ни то, не другое, то всё равно добро пожаловать на огонек, много интересного узнаешь! Авось пригодится!
В главе 40 мы узнали, как устанавливают зубные импланты, в главе 51 какие эти импланты бывают, а теперь поговорим, как зубной имплант «превращается» в «зуб», которым можно жевать.
Вернемся к схемке из главы 40.
Напомню кратко, что после установки импланта ставят либо заглушку, либо формирователь десны (такая цилиндрическая хрень, которая создает контур будущей коронки) и отправляют гулять на 3-6 месяцев, пока этот имплант не срастется с костью.
Спустя это время, ты с радостью приходишь к доктору за «зубом» и тебе либо ставят этот самый формирователь, либо сразу делают слепок, если таковой уже есть.
Допустим формирователь тебе уже установили.
В этой статье мы рассмотрим максимально простой пример-снятие слепка методом закрытой ложки и изготовление коронки из диоксида циркония на винтовой фиксации (которая прикручивается к импланту отверткой).
Что теперь?
Сперва тебе его открутят. В идеале, в десне должна сформировать аккуратная дырочка, где виднеется соединение импланта.
Всё это, как правило, делается без анестезии, так как никой боли это не причиняет. Самое болезненное было позади, тут, по сути, игра в конструктор.
Далее доктор прикручивает к импланту трансфер- специальная запчасть, которая позволит передать зубному технику максимально точное положение импланта.
Кто-то так.
После фиксации трансфера тебе снимают слепки. В идеале нужно их 3.
1 . Рабочий, на котором делают коронку должен быть максимально четкий. Он передает технику данные о положении имплантата, о десне, а также о соседних зубах
2 . Вспомогательный- слепок противоположной челюсти, который позволяет изготовить коронку нужного размера и подогнать под противоположную челюсть. Если на противоположной челюсти параллельно делаем тоже какие-то конструкции, то он тоже становится рабочим.
3 . Прикусной- слепок двух челюстей в естественном сомкнутом положении. Он позволяет передать зубному технику позицию смыкания, дабы коронка не мешала при жевании.
Тут многое зависит от тебя, товарищ пациент! Если в этот момент ты не просто закроешь рот, а сместишь челюсть хрен пойми как, то и коронка твоя будет сделана соответствующе. Будь внимателен!
После снятия слепков, мы выкручиваем трансфер из имплантата и прикручиваем к аналогу имплантата( эта запчасть играет роль импланта на гипсовой модели у зубного техника) и вставляем в слепок.
Тут очень важный момент, на который забивают многие врачи. Дело в том, что прикручивать аналог импланта и вставлять трасфер в слепок должен ТОЛЬКО ВРАЧ, потому что, во-первых, техник не видел, как это стояло во рту, и не сможет обнаружить погрешности. Ну а, во-вторых, в лабораториях эту работу вместе с отливкой моделей поручают стажерам, которые делают это на автомате. Такое практикуется часто в дешманских лабораториях и клиниках, которые жопят держать большой запас запчастей.
И если косяк в отливке модели заметен сразу, то с запчастями сложнее. Тут тебе и кривая установка трансфера, и фиксация запчастей от других систем, и слабая фиксация. В итоге у пациента эта коронка не садится\болтается\давит(ненужное вычеркнуть). В лучшем случае это потеря времени и денег, а в худшем и поломка импланта.
Не знаю, как вы коллеги, я не хочу, чтобы успех лечения моих пациентов зависел от 18-летнего долбонавта, который врубив в наушниках рэпчик, выполнит МОЮ работу от балды.
Если всё хорошо, то получается это.
После всего этого нужно определить цвет. Иногда сделать фото и переслать технику.
Заполняем заказ наряд в зуботехническую лабораторию, где указываем кому, кто, что, когда надо изготовить. Пишем обязательно цвет коронки, название имплантов, тип фиксации и так далее.
Пациенту обязательно прикручиваем формирователь обратно
Через некоторое время приходит вот такая конструкция. Она включает в себя 2 гипсовые модели, которые называются(внезапно!) рабочая и вспомогательная. К рабочей у нас прикручена коронка.
Теперь вооружаемся отверткой и динамометрическим ключом.
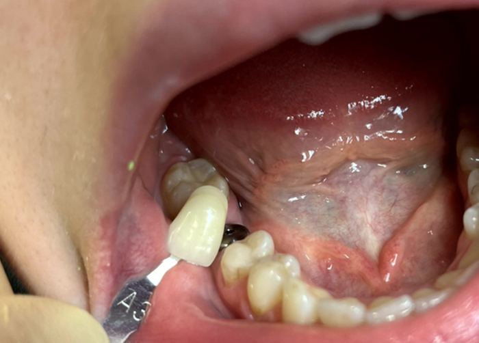
Откручиваем снова формирователь и припасовываем коронку к импланту. Её изначально иногда делают с некоторыми завышениями, дабы было можно потом подогнать, потому что спилить материл, гораздо проще, чем его добавить. Если твоя коронка сразу не села, то не надо бузить на врача. Врач с помощью специальной «копирки» проверит контакты с соседними и противоположными зубами, и подпилит где надо. Коронка не должна мешать по прикусу, а также сильно давить на соседние зубы. Между соседним зубом и коронкой зубная нить должна проходить с легким щелчком. Также врач проверяет насколько сильно коронка давит на десну.
В процессе припасовки коронки могут быть неприятные ощущения из-за давления, но они быстро проходят. А если не проходят, то тебе всегда можно сделать небольшую анестезию.
После того, как коронка припасована мы оцениваем цвет, форму, десну. Пациенту ничего не должно мешать. Непривычно может быть, но не дискомфортно.
Далее коронку фиксируют динамометрическим ключом с крутящим моментом(торком), который указан в инструкции от производителя. У всех он разный. Главное не фигачить от руки, дабы не сорвать резьбу.
После того, как мы всё установили наша задача закрыть шахту винта. Сперва её закрывают временной пломбой и назначают пациента на контрольный осмотр через 1-4 недели. Если всё хорошо, то ставят уже постоянную.
Ну, а на сегодня всё! Сохраняем обязательно пост себе, чтобы не потерять! Обязательно подписываемся и ставим лайк!
Если вы тут недавно, то читаем предыдущие главы, уверен, много нового для себя узнаете.
Если есть какие-то вопросы, то смело задавайте в комментариях.
Не надо обижаться, если я вас отсылаю к какой-то главе, так как вопросов становится много, а разжевывать каждому одно и тоже по несколько раз тяжело.
Если что-то персональное, то пишите в ЛС в телеграм https://t.me/vadbel1310, отвечу всем. Консультация БЕСПЛАТНАЯ, мне не жалко.
И ещё! Если что-то срочное, то звоните +79057685253(телеги на номере нет) в 8 до 22 по Москве. Если не отвечаю, то значит работаю, пишите в телегу.
Если вдруг кому удобнее читать всё это в телеграме, то у меня есть паблик https://t.me/vadbel1310public Там дублируются все посты. Там удобнее навигация по главам.
Так как, вас становится нереально много, то СРАЗУ ПО ДЕЛУ! Не надо всяких прелюдий, а можно вопрос, удобно ли вам? и т.д. Пишем по пунктам.
Здравствуйте,
меня зовут ....,
я с Пикабу… или откуда-то ещё.
Из такого-то города\региона ( это важно чтобы смог сразу найти того, к кому можно будет вас направить, если что).
Задаем вопрос.
Если вопрос связан с заболеванием, то заполняем форму
Жалобы: что болит, когда выпало, когда появилось… и т.д.
История болезни: когда началось, где и когда пробовали лечить, когда удалили зуб и т.д. Соблюдаем хронологию. Стараемся рассказывать покороче.
Какие сопутствующие патологии: обмен веществ, инфекционные заболевания, какие препараты принимаем
Если возможно, то присылаем фотографию на телефон.
Кидаем снимки, если есть.
Если есть КТ, то кидаем на почту vadbel1310kt@yandex.ru В теме письма указываем ваш никнейм телеграме, чтобы я мог понять кто это прислал, посмотреть и ответить.
Что бы вы хотели получить от консультации? Совет? Направление? Лечение?
Пишите, пожалуйста, текстом, так как мне проще читать. Отвечать буду голосовыми, так как строчить ответ десяткам людей в день достаточно тяжело. Без обид, я стараюсь помочь всем.
Если хотите приехать на консультацию, то пишите в Телеграм. Если что работаю только в одном месте. Территориально станция метро Филевский парк! На то, что написано в поисковиках не смотрим!
Если не отвечаю, то могу быть загружен, позже напишу. Если вдруг забыл про вас, не стесняемся, через день-другой напоминаем. Живу в очень интенсивном ритме.
И не забываем вступать в Лигу плохих зубов!

























