Стресс-перелом мыщелка большеберцовой кости
Стресс-перелом – это трещина в кости, вызванная повторяющимися нагрузками, а не единичным травматическим воздействием.
Основные причины:
Хронические микротравмы (бег, прыжки, маршировка)
Остеопороз (снижение плотности костей)
Резкое увеличение физической активности
Недостаток питательных веществ (дефицит кальция, витамина D)
Неправильная техника движений (в спорте)
Частые локализации:
Кости стопы (плюсневые кости, особенно у бегунов – "маршевый перелом")
Большеберцовая кость
Бедренная кость
Кости таза
Симптомы:
Ноющая боль, усиливающаяся при нагрузке
Отечность в области перелома
Болезненность при надавливании
Уменьшение боли в покое
Диагностика:
Рентген (на ранних стадиях может не показать перелом)
МРТ или КТ (более точные методы)
Лечение:
Покой – исключение нагрузок на 4–8 недель.
Фиксация (гипс, ортез, костыли при необходимости).
Обезболивание (НПВС)
Физиотерапия (магнитотерапия, ультразвук).
Постепенное возвращение к нагрузкам после заживления.
Коррекция питания (кальций, витамин D).
Косая линия просветления костной ткани в медиальном мыщелке левой б/б кости, сужение рентгенологической щели левого коленного сустава в медиальных отделах до 3.7,краевые остеофиты, субхондральный склероз суставной поверхности, заострение, деформация межмыщелковых возвышений. Заключение: Стресс-перелом медиального мыщелка левой большеберцовой. Гонартроз слева 2 ст.
Категория годности по ст.85(Временные функциональные расстройства костно-мышечной системы, соединительной ткани, кожи и подкожной клетчатки после лечения болезней, ранений, травм, отравлений и других воздействий внешних факторов) Г-временно не годен к военной службе сроком на 3 мес., с последующим оформление с диагнозом гонартроз 2 ст. по ст.65в-В(ограниченно годен к в/сл).
Компрессионный перелом позвонка
В анамнезе падение с дерева, появление болей в нижнем грудном отделе позвоночника, медикаментозное лечение с не выраженным временным положительным эффектом.
Снижение высоты передних отделов тела Th11 позвонка в пределах 25% относительно высоты задних отделов. Дегенеративно-дистрофические изменения.S-образное искривление оси позвоночника. Клиновидная деформация тела Th11 позвонка 1ст. как следствие компрессионного перелома.
Категория годности по ст.85(Временные функциональные расстройства костно-мышечной системы, соединительной ткани, кожи и подкожной клетчатки после лечения болезней, ранений, травм, отравлений и других воздействий внешних факторов)- Г -временно не годен к военной службе, с последующим оформлением по ст.81(Последствия переломов позвоночника, костей туловища, верхних и нижних конечностей)(последствия стабильных переломов тел одного или нескольких позвонков с клиновидной деформацией I степени, незначительным болевым синдромом и кифотической деформацией позвоночника I степени;)в - В(ограниченно годен к военной службе)
Учусь ходить по-новому, йохохо
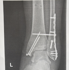
Отпуск пошёл не по плану и завершился двойным переломом лодыжки с подвыпердом подвывихом и смещением. Спасибо врачам больницы им. Юдина за то, что собрали ногу обратно и аккуратные швы! В ноге теперь редкоземельные металлы и мерзопакостная штука под названием фиксирующий винт (для восстановления разрыва синдесмоза), из-за которого на 2,5 месяца на ногу наступать категорически нельзя.
Морально еще не прошел все стадии принятия неизбежного (об ограничении подвижности на 2,5 месяца), нахожусь сразу на стадии злость и депрессия. Особенно, когда узнал, что вместо болта могут ставить своего рода кнопки, между которыми натягиваются нити и не нужно ждать 2,5 месяца.
Но, т.к. за окном лето и прекрасная погода, дома сидеть желания мало, начался поиск решения проблемы. На костылях долго не проходишь, на каталке совсем печально, не выходить всё лето из дома не вариант. В результате поиска наткнулся на чудо-чудное, диво-дивное - подколенный костыль. Суть в том, что нога сгибается на 90 градусов в колене и костыль заменяет её собой (своего рода протез lite версии).
Вчера устроил тест-драйв в парке.
Из плюсов:
Можно относительно нормально идти, хоть и со скоростью бабки, переходящей пешеходный переход.
Свободные руки (иногда одной рукой держу ручку на костыле, но это больше для чувства безопасности), получилось на ходу съесть мороженое
При использовании дома можно почистить зубы, налить кофе, донести ноутбук и другие предметы в руках
Если купить попугая и повязку на глаз, то на детских праздниках можно подзаработать.
Из минусов:
Нога на подставки преет и вдавливается (решается покупкой пенки)
Система ремней - для устойчивости системы ремни должны быть плотно затянуты, поэтому есть сомнения в нормальной циркуляции крови (в интернете не нашел отзывов врачей про этот костыль, но травматолог, который собирал ногу, сказал, что противопоказаний нет)
На неровной дороге можно спотыкнуться. Упасть шансов мало, т.к. вес на здоровой ноге, но немного отдает страхом в таких случаях.
Дома нужно смотреть по сторонам когда поворачиваешься, чтобы травмированной ногой не задеть стены / стулья / кота.
Кот не понимает, что это за штука и постоянно на нее охотится.
По итогу:
Подколенный костыль облегчает решение бытовых задач в период ограничения мобильности. Не 100% панацея, но лучше, чем на одних костылях. При прогулке выбрал следующий алгоритм - 20-30 минут прошелся, 10 минут посидел на лавке без него. Дома всё-таки стараюсь больше на простых костылях, но если умыться / покушать, то на подколенном костыле.
Ответ на пост «Полицейские сломали ребро случайному прохожему, приняв его за преступника»1
Напомнило одно очень старое событие:
#зашакалено
Мотайте на 40 сек.
Переломная неделя
На этой неделе был очевидцем двух переломов. А еще два перелом случилось у близких. Но обо всем по порядку.
Друг присылает кружочек в телеге, где вижу его лицо почерневшее на треть.
Шел по улице, споткнулся и упал головой о поребрик. Потерял сознание, весь в крови. Увезли на скорой. Вердикт: перелом основания черепа, воздух попал в черепную коробку. Впереди долгое лечение, т.к. начался из-за воздуха менингит.
Коллега проводил монтаж СКС в серверной. Стоял на табуретке, что-то там монтировал. Немного потерял равновесие и грохнулся. Подхожу к нему, а он хрипит, кровавые пузыри пошли. Увозят на скорой. Вердикт: перелом ребра, ребро пробило легкое.
Отмечали день рождения, решили продолжить у меня дома. Сначала девчата решили потанцевать на барной стойке. Потом друг решил попробовать тоже. Потанцевал и решил спрыгнуть с нее. Приземлился с лютым криком. Травма. Вердикт: перелом пятки.
Мать почистила зубы в ванной, разворачивается, подворачивается ступня и она падает с диким криком. В травме выяснилось, перелом какой-то косточки в ступне на ровном месте (прямо сейчас все еще где-то в травме).
Вселенная как бы намекает, что жизнь вообще не предсказуема. В общем, берегите себя!
Полицейские сломали ребро случайному прохожему, приняв его за преступника1
Двое оперов Крюков и Каблуков в Кирове занимались розыском преступника, находящегося в федеральном розыске. Увидев выходящего из «Пятерочки» на улице Анжелия Михеева около семи вечера 39-летнего мужчину, переглянулись и решили, что это их «клиент» они приступили к задержанию, но всё перепутали.
Испытывая приступ упорной, но бездумной оперативной работы, они необоснованно применили к мужчине физическую силу и заковали в наручники. Результатом жесткого задержания стал перелом ребра. Причем во время задержания несудимый и добропорядочный мужчина Евгений кричал о помощи и просил вызвать полицию. Позже, надев наручники, опера поняли, что ищут другого и отпустили избитого задержанного.
Пострадавший обратился в больницу. 12 мая на старшего лейтенанта Крюкова и лейтенанта Каблукова возбудили уголовное дело по статье о превышении должностных полномочий.










