Чем отбеливание зубов отличается от профессиональной чистки полости рта?
Если вы тут недавно, то читайте Сагу о стоматологии, уверен, много нового для себя узнаете.
Если есть какие-то вопросы, то смело задавайте в комментариях.
Обязательно подписываемся и ставим лайк!
Не надо обижаться, если я вас отсылаю к какой-то главе, так как вопросов становится много, а разжевывать каждому одно и тоже по несколько раз тяжело.
Если что-то персональное, то пишите в ЛС в телеграм https://t.me/vadbel1310, отвечу всем. Консультация БЕСПЛАТНАЯ, мне не жалко.
И ещё! Если что-то срочное, то звоните +79057685253(телеги на номере нет) в 8 до 22 по Москве. Если не отвечаю, то значит работаю, пишите в телегу.
Если вдруг кому удобнее читать всё это в телеграме, то у меня есть паблик https://t.me/vadbel1310public Там дублируются все посты. Там удобнее навигация по главам.
Так как, вас становится нереально много, то СРАЗУ ПО ДЕЛУ! Не надо всяких прелюдий, а можно вопрос, удобно ли вам? и т.д. Пишем по пунктам.
Здравствуйте,
меня зовут ....,
я с Пикабу… или откуда-то ещё.
Из такого-то города\региона ( это важно чтобы смог сразу найти того, к кому можно будет вас направить, если что).
Задаем вопрос.
Если вопрос связан с заболеванием, то заполняем форму
Жалобы: что болит, когда выпало, когда появилось… и т.д.
История болезни: когда началось, где и когда пробовали лечить, когда удалили зуб и т.д. Соблюдаем хронологию. Стараемся рассказывать покороче.
Какие сопутствующие патологии: обмен веществ, инфекционные заболевания, какие препараты принимаем
Если возможно, то присылаем фотографию на телефон.
Кидаем снимки, если есть.
Если есть КТ, то кидаем на почту vadbel1310kt@yandex.ru В теме письма указываем ваш никнейм телеграме, чтобы я мог понять кто это прислал, посмотреть и ответить.
Что бы вы хотели получить от консультации? Совет? Направление? Лечение?
Пишите, пожалуйста, текстом, так как мне проще читать. Отвечать буду голосовыми, так как строчить ответ десяткам людей в день достаточно тяжело. Без обид, я стараюсь помочь всем.
Если хотите приехать на консультацию, то пишите в Телеграм. Если что работаю только в одном месте. Территориально станция метро Филевский парк! На то, что написано в поисковиках не смотрим!
Если не отвечаю, то могу быть загружен, позже напишу. Если вдруг забыл про вас, не стесняемся, через день-другой напоминаем. Живу в очень интенсивном ритме.
И не забываем вступать в Лигу плохих зубов!
Нужно ли чистить язык?
Если вы тут недавно, то читайте Сагу о стоматологии, уверен, много нового для себя узнаете.
Если есть какие-то вопросы, то смело задавайте в комментариях.
Обязательно подписываемся и ставим лайк!
Не надо обижаться, если я вас отсылаю к какой-то главе, так как вопросов становится много, а разжевывать каждому одно и тоже по несколько раз тяжело.
Если что-то персональное, то пишите в ЛС в телеграм https://t.me/vadbel1310, отвечу всем. Консультация БЕСПЛАТНАЯ, мне не жалко.
И ещё! Если что-то срочное, то звоните +79057685253(телеги на номере нет) в 8 до 22 по Москве. Если не отвечаю, то значит работаю, пишите в телегу.
Если вдруг кому удобнее читать всё это в телеграме, то у меня есть паблик https://t.me/vadbel1310public Там дублируются все посты. Там удобнее навигация по главам.
Так как, вас становится нереально много, то СРАЗУ ПО ДЕЛУ! Не надо всяких прелюдий, а можно вопрос, удобно ли вам? и т.д. Пишем по пунктам.
Здравствуйте,
меня зовут ....,
я с Пикабу… или откуда-то ещё.
Из такого-то города\региона ( это важно чтобы смог сразу найти того, к кому можно будет вас направить, если что).
Задаем вопрос.
Если вопрос связан с заболеванием, то заполняем форму
Жалобы: что болит, когда выпало, когда появилось… и т.д.
История болезни: когда началось, где и когда пробовали лечить, когда удалили зуб и т.д. Соблюдаем хронологию. Стараемся рассказывать покороче.
Какие сопутствующие патологии: обмен веществ, инфекционные заболевания, какие препараты принимаем
Если возможно, то присылаем фотографию на телефон.
Кидаем снимки, если есть.
Если есть КТ, то кидаем на почту vadbel1310kt@yandex.ru В теме письма указываем ваш никнейм телеграме, чтобы я мог понять кто это прислал, посмотреть и ответить.
Что бы вы хотели получить от консультации? Совет? Направление? Лечение?
Пишите, пожалуйста, текстом, так как мне проще читать. Отвечать буду голосовыми, так как строчить ответ десяткам людей в день достаточно тяжело. Без обид, я стараюсь помочь всем.
Если хотите приехать на консультацию, то пишите в Телеграм. Если что работаю только в одном месте. Территориально станция метро Филевский парк! На то, что написано в поисковиках не смотрим!
Если не отвечаю, то могу быть загружен, позже напишу. Если вдруг забыл про вас, не стесняемся, через день-другой напоминаем. Живу в очень интенсивном ритме.
И не забываем вступать в Лигу плохих зубов!
Правда ли, что под коронками гниют зубы?
Если вы тут недавно, то читайте Сагу о стоматологии, уверен, много нового для себя узнаете.
Если есть какие-то вопросы, то смело задавайте в комментариях.
Обязательно подписываемся и ставим лайк!
Не надо обижаться, если я вас отсылаю к какой-то главе, так как вопросов становится много, а разжевывать каждому одно и тоже по несколько раз тяжело.
Если что-то персональное, то пишите в ЛС в телеграм https://t.me/vadbel1310, отвечу всем. Консультация БЕСПЛАТНАЯ, мне не жалко.
И ещё! Если что-то срочное, то звоните +79057685253(телеги на номере нет) в 8 до 22 по Москве. Если не отвечаю, то значит работаю, пишите в телегу.
Если вдруг кому удобнее читать всё это в телеграме, то у меня есть паблик https://t.me/vadbel1310public Там дублируются все посты. Там удобнее навигация по главам.
Так как, вас становится нереально много, то СРАЗУ ПО ДЕЛУ! Не надо всяких прелюдий, а можно вопрос, удобно ли вам? и т.д. Пишем по пунктам.
Здравствуйте,
меня зовут ....,
я с Пикабу… или откуда-то ещё.
Из такого-то города\региона ( это важно чтобы смог сразу найти того, к кому можно будет вас направить, если что).
Задаем вопрос.
Если вопрос связан с заболеванием, то заполняем форму
Жалобы: что болит, когда выпало, когда появилось… и т.д.
История болезни: когда началось, где и когда пробовали лечить, когда удалили зуб и т.д. Соблюдаем хронологию. Стараемся рассказывать покороче.
Какие сопутствующие патологии: обмен веществ, инфекционные заболевания, какие препараты принимаем
Если возможно, то присылаем фотографию на телефон.
Кидаем снимки, если есть.
Если есть КТ, то кидаем на почту vadbel1310kt@yandex.ru В теме письма указываем ваш никнейм телеграме, чтобы я мог понять кто это прислал, посмотреть и ответить.
Что бы вы хотели получить от консультации? Совет? Направление? Лечение?
Пишите, пожалуйста, текстом, так как мне проще читать. Отвечать буду голосовыми, так как строчить ответ десяткам людей в день достаточно тяжело. Без обид, я стараюсь помочь всем.
Если хотите приехать на консультацию, то пишите в Телеграм. Если что работаю только в одном месте. Территориально станция метро Филевский парк! На то, что написано в поисковиках не смотрим!
Если не отвечаю, то могу быть загружен, позже напишу. Если вдруг забыл про вас, не стесняемся, через день-другой напоминаем. Живу в очень интенсивном ритме.
И не забываем вступать в Лигу плохих зубов!
До или после завтрака надо чистить зубы?
Если вы тут недавно, то читайте Сагу о стоматологии, уверен, много нового для себя узнаете.
Если есть какие-то вопросы, то смело задавайте в комментариях.
Обязательно подписываемся и ставим лайк!
Не надо обижаться, если я вас отсылаю к какой-то главе, так как вопросов становится много, а разжевывать каждому одно и тоже по несколько раз тяжело.
Если что-то персональное, то пишите в ЛС в телеграм https://t.me/vadbel1310, отвечу всем. Консультация БЕСПЛАТНАЯ, мне не жалко.
И ещё! Если что-то срочное, то звоните +79057685253(телеги на номере нет) в 8 до 22 по Москве. Если не отвечаю, то значит работаю, пишите в телегу.
Если вдруг кому удобнее читать всё это в телеграме, то у меня есть паблик https://t.me/vadbel1310public Там дублируются все посты. Там удобнее навигация по главам.
Так как, вас становится нереально много, то СРАЗУ ПО ДЕЛУ! Не надо всяких прелюдий, а можно вопрос, удобно ли вам? и т.д. Пишем по пунктам.
Здравствуйте,
меня зовут ....,
я с Пикабу… или откуда-то ещё.
Из такого-то города\региона ( это важно чтобы смог сразу найти того, к кому можно будет вас направить, если что).
Задаем вопрос.
Если вопрос связан с заболеванием, то заполняем форму
Жалобы: что болит, когда выпало, когда появилось… и т.д.
История болезни: когда началось, где и когда пробовали лечить, когда удалили зуб и т.д. Соблюдаем хронологию. Стараемся рассказывать покороче.
Какие сопутствующие патологии: обмен веществ, инфекционные заболевания, какие препараты принимаем
Если возможно, то присылаем фотографию на телефон.
Кидаем снимки, если есть.
Если есть КТ, то кидаем на почту vadbel1310kt@yandex.ru В теме письма указываем ваш никнейм телеграме, чтобы я мог понять кто это прислал, посмотреть и ответить.
Что бы вы хотели получить от консультации? Совет? Направление? Лечение?
Пишите, пожалуйста, текстом, так как мне проще читать. Отвечать буду голосовыми, так как строчить ответ десяткам людей в день достаточно тяжело. Без обид, я стараюсь помочь всем.
Если хотите приехать на консультацию, то пишите в Телеграм. Если что работаю только в одном месте. Территориально станция метро Филевский парк! На то, что написано в поисковиках не смотрим!
Если не отвечаю, то могу быть загружен, позже напишу. Если вдруг забыл про вас, не стесняемся, через день-другой напоминаем. Живу в очень интенсивном ритме.
И не забываем вступать в Лигу плохих зубов!
О профессиональной гигиене полости рта - больше пользы или вреда в процедуре?
Поговаривают, что "чистить камни зубные" нужно далеко не всем. Что это даже вредно. Ведь именно камни защищают корни от бактерий, на них держатся зубы, без них эмаль ничем не защищена.
Ну ладно - эти, что выше, совсем инфузории. Остальные противники гигиены не такие.
Они имеют железные аргументы.
Что может быть проще понимания необходимости гигиены?
Хочу пройтись по основным тезисам и выяснить, что является правдой, а что - точно ложь. Потому что, конечно же, не всё так однозначно.
"Камень" - скопление большого числа разнообразных (в зависимости от локализации - злых или добрых) бактерий. Они живут и делают всё то, что положено живым - едят, какают и пукают, размножаются, умирают. Во рту человека.
1. На камнях зубы держатся
Есть такое. Видела лично и не раз. Кости нет совсем, зубы на снимке КТ "висят в воздухе" или цепляются за жизнь верхушками корней.
Такими зубами не получится жевать, это диагноз "пародонтит тяжёлой степени тяжести", подвижность 3-4 класса (шевеление от акта дыхания). Действительно, уберёшь шинирующую конструкцию из "камня" - зубы посыпятся. Ведь зубные отложения "срастаются" (в кавычки беру это слово) как с корнями, так и с десной.
Пациенты с подобным сокровищем расставаться не желают ни в какую, даже зондом трогать не дают при осмотре. Зубы выполняют декоративную и успокоительную функции. Понять человека можно - "уйдёт" то, что имеется сейчас, заменить будет нечем. Потому что состояние в 95% случаев (навскидку, опираясь на клинический опыт) носит генерализованный характер, затрагивает все (или почти все) зубы.
Дальше - съёмный протез (если кость осталась для фиксации) или тотальная имплантологическая работа. Первое - не факт, что будет держаться (пародонтит уничтожает кость). Второе - очень дорого и может не повезти с хирургом (ортопедом).
Поэтому тут, пожалуй, спешить некуда - хуже уже не будет, кости и так нет. Посыпется всё - решение принимать придётся, вынужденно, экстренно, как обычно в самый неподходящий момент.
2. Бесполезно, деньги на ветер
Как говорил один мой коллега в прошлом: - "Зубы я могу и дома почистить". Тем, у кого с зубами и дёснами полный порядок, можно не заморачиваться с профгигиеной. Только вот ощущение порядка и истинное положение дел не всегда совпадают.
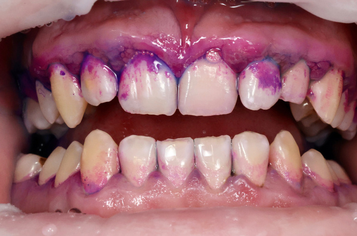
Вроде ничего так:
В процессе гигиены - окраска зубных отложений
И вот такие сюрпризы под десной:
Пациенту 22 года, а тут такое - в перспективе развитие серьёзных проблем обеспечено
Не зря пародонтит называют "тихий убийца зубов". Он коварен и незаметен. Многие понимают, что что-то не так, лишь на стадии серьёзного костного дефицита.
Поэтому, только убедившись в том, что у вас нет диагноза "пародонтит" можно позволять себе игнорировать профгигиену (но тогда бойтесь кариеса).
Бывает же, что проблемы есть и человек нацелен на их решение - он отправляется к стоматологу сдаваться. Тот что-то там шуршит, где-то жужжит, водой поливает и отправляет на кассу счастливого пациента. Не больно было, ура! И без крови - вау! И быстро. И дёшево (не всегда).
"Приду ещё" - уверен человек.
Только кровоточивость дёсен как была, так и осталась. Шероховатость никуда не делась. Камни нарастают с новой силой.
Потому что процедура была выполнена некачественно. Вот и всё. Качественная гигиена с полной проработкой поддесневого пространства ВСЕГДА эффективна. Всегда после становится лучше - на длительный срок (но тут есть нюансы, иногда требуется подключить более серьёзную пародонтологическую артиллерию).
И вот такой пациент будет считать, что гигиена = деньги на ветер. Но проблема не в процедуре, а в мастере, её проводившем.
3. Вредно для эмали
"Заставь дурака Богу молиться, он и лоб расшибёт".
Если очень захотеть, можно раздраконить всё - эмаль, дентин, дёсны и даже гланды вырезать. Ультразвуком.
Насадка острая и тонкая, травмоопасная. Но нужно быть совсем профаном в деле гигиены, что бы нанести вред зубам. Ставить рабочий инструмент под неправильными углами, острой частью буравить зубы, выбирать неоправданную мощность - получИте проблемы, распишитесь.
Такую процедуру пациент запомнит надолго - будет в ушах отдавать мерзкое ощущение "дзззз" и боль, жуткая боль будет сопровождать экзекуцию.
Если у вас нет повышенной чувствительности эмали, то процедура не вынудит лезть на стену. Терпимо - точно терпимо. И без укола выдерживают даже пациенты с глубокими патологическими зубоденевыми карманами. И ультразвук, и кюреты, и Аирфлоу - всё переносится.
При правильной (обычной, любой) профессиональной гигиене полости рта повредить эмаль не представляется возможным, она даже не истончается. И корни в безопасности. Страшилки - это всё редкий печальный опыт тех, кому не повезло с исполнителем.
Чувствительность сразу после процедуры тем сильнее, чем массивнее камни обитали на корнях. И корни должны быть не в кости, не в десне - это всё признаки довольно серьёзного патологического процесса. Дентинные канальцы закроются и чувствительность уйдет. И только от вас зависит, чем они закроются - новыми камнями или правильными элементами (гидроксиаппатит и пр.).
4. Усиливается подвижность зубов
Что бы такого не случилось не стоит лезть под десну тогда, когда эта самая десна воспалена - опухла, кровит, болит. Это же убережёт и от усиления воспаления, от появления стоматита (но не всегда).
Сначала медикаментозно успокаиваем дёсны, после - очищаем зубы вместе с корнями.
Зубы в альвеолярной кости удерживает ПЕРИОДОНТАЛЬНАЯ СВЯЗКА, состоящая из коллагеновых и эластановых волокон. Когда ткани пародонта воспалены, связка рыхлая - зубы подвижны.
После устранения воспаления подвижность или прекратится, или уменьшится.
Один момент - зубы могут застыть в новом, непривычном положении. Верно это для случаев серьёзного поражения с большими костными дефицитами. Это не врач чёрт. Это пародонтит "тяжеловатый". При такой печальной печали не всегда усилия оправданы. См пункт №1.
Вывод
Правильная профессиональная гигиена полости рта, выполненная ВОВРЕМЯ - никому ещё не навредила. Никогда. Состояние дёсен после процедуры всегда лучше, чем было до.
И всё, как всегда, зависит от исполнителя. Всем желаю найти своего мастера - качественные спецы точно должны быть в каждом городе.
Если имеются вопросы, прошу задавать мне их в тг канале.
Большое спасибо за внимание!
5 портативных ирригаторов на 2024-2025 год
В уходе за полостью рта важен комплексный подход. Одна из неотъемлемых составляющих — применение ирригатора для зубов. Этот прибор сопоставим по важности с правильно подобранной зубной щёткой и пастой. Только ортодонтическим ирригатором можно безопасно и качественно очистить брекет-системы, мосты и прочие конструкции. Также ирригатор качественно и безопасно очищает межзубные промежутки.
Современный ассортимент ирригаторов для полости рта представлен множеством моделей с разными возможностями. Среди них есть портативные ирригаторы. Компактный ирригатор может представлять собой также и складной ирригатор.
В статье представлена подборка пяти портативных ирригаторов актуальных в 2024 году. Каждая из моделей хорошо себя зарекомендовала в эксплуатации. Стоимость ирригаторов составляет от 4500 до 6000 рублей (цены постоянно меняются).
5. B. Well PRO-913
Портативный тип ирригатора с водным резервуаром на 150 мл. Снабжён универсальной ирригационной насадкой поворотной по оси. У прибора предусмотрено три регулировки струйного режима: очищение/normal, массаж дёсен/pulse, чувствительный/soft.
Вода пульсирует при показателе 1400 — 1800 импульсов/минуту. От 378 до 720 кПа варьируется давление струи.
Ирригатор в размерах 4,2x6,6x13,8 см (ДxШxВ) и весит 300 грамм. Он обладает складным корпусом. Комплектуется водонепроницаемой сумкой. Имеется контейнер для насадок.
Аккумулятора хватает на тридцать дней работы. Если беспрерывно, то до тридцати минут. Время зарядки — четыре часа.
4. OMIO-450
Ирригатор портативного типа с водным резервуаром на 250 мл. Снабжён шестью насадками. Среди них присутствуют предназначенные: под брекеты, импланты; для дёсен, языка. Насадка может вращаться вокруг оси. У прибора предусмотрено пять режимов регулировки струи: детский, мягкий, нормальный, резко пульсирующий, сильный.
Давление струи варьируется от 200 до 1000 кПа.
Ирригатор в размерах 10x10x24 см и весит около 500 грамм. Корпус не складной. Есть зарядная станция, чехол к прибору, чехол для насадок.
Аккумулятора хватает на четырнадцать дней работы без подзаряда.
3. Polaris PWF 1002 T Stream&Pulse
Портативный тип ирригатора с водным резервуаром 200 мл. Снабжён тремя стандартными насадками предназначение которых — чистка струёй. У прибора предусмотрено четыре регулировки в режиме струи.
Струя пульсирует при давлении от 187 до 720 кПа.
Ирригатор в размерах 4,6x14,8 см (ШxВ) и весит 305 грамм. Он обладает складным корпусом. Комплектуется сумочкой для хранения. Имеется контейнер для насадок.
Аккумулятора хватает на шестьдесят дней работы без подзаряда. Если беспрерывно, то до двухсот пятидесяти минут. Время зарядки — четыре часа.
2. SENDO PulseBrush V350
Ирригатор портативного типа с водным резервуаром 350 мл. Снабжён пятью насадками. Среди них присутствуют: для языка, дёсен, брекетов, плюс стандартная. У прибора предусмотрено пять режимов регулировки струи.
Давление струи варьируется в пределах 206 — 1034 кПа.
Ирригатор в размерах 8x8x30 см и весит 340 грамм. Корпус не складной. У прибора класс защиты IPX7. Есть чехол для устройства из водонепроницаемой ткани и контейнер для насадок.
Аккумулятора хватает на двадцать дней работы без подзарядки. Зарядка занимает шесть часов.
1. Multinel Jetsy Fold&Go
Портативный тип ирригатора с водным резервуаром 180 мл. Снабжён тремя насадками предназначение которых — струйная чистка: для брекетов, для дёсен, стандартной. Вращение насадок вокруг оси предусмотрено. У прибора предусмотрено девять регулировок в режиме струи. Имеется режим деликатный, ещё есть массаж.
При показателе 1600 импульсов/минуту совершается пульсация струи. Она пульсирует под давлением 140 — 900 кПа.
Ирригатор в размерах 6,5x4,5x17,5 см и весит 260 грамм. Он обладает складным корпусом. Защита от воды класса IPX7. Комплектуется кейсом для хранения. Имеется контейнер для насадок. Функция УФ-дезинфекции присутствует в этой модели.
Аккумулятора хватает на пятнадцать дней работы без подзаряда. Время зарядки — шесть часов.
Пусть среди всех ирригаторов найдется лучший под ваши нужды. Удачных вам покупок!
10 бюджетных электрических звуковых зубных щеток в 2024 году
В подборке собраны десять проверенных моделей электрических зубных щёток. Все изделия имеют много отзывов в интернете и опробованы пользователями. Стоимость моделей варьируется от 1000 до 2000 рублей (цены могут меняться).
В подборке представлены в основном самый популярный тип щёток — звуковые. Они отлично подходят для ежедневного ухода за полостью рта. Такие модели можно без опасения использовать людям с чувствительными зубами и дёснами. Это отличает звуковые модели от ультразвуковых, которые противопоказаны людям с истончённой эмалью и повреждениями дёсен. Перейдём к подборке.
10. CS Medica CS-262
Звуковая зубная щётка с двумя режимами работы. В режиме Normal для повседневного использования щетинки совершают до 28 000 движений в минуту. В режиме Super для удаления налёта — 33 000. Имеет две насадки стандартную и отбеливающую. Насадки износостойкие — хватает надолго. Есть таймер времени чистки и автоматическое отключение. Щётка бережно и тщательно чистит зубы, мягко массирует дёсны.
Щётка совершает от 22000 до 33000 пульсаций в минуту. Работает от двух пальчиковых батареек, есть индикатор зарядки. Щётка удобно сидит в руке и не создаёт много шума при работе. Конструкция надёжная и простая.
Пользоваться щёткой противопоказано детям до 10 лет.
9. B. Well PRO-850
Звуковая зубная щётка, режимов работы — пять, включая такие, как ежедневная, мягкая, глубокая чистки. В комплекте имеет две насадки: межзубную и отбеливающую. Насадки держатся прочно — механизм смены насадок жёсткий. Ещё укомплектована футляром и кабелем USB. Есть таймер времени чистки. Чистка по ощущениям мягкая, но тщательная.
Щётка совершает до 39 600 колебаний в минуту. Работает от аккумулятора и имеет индикатор зарядки. Сборка устройства качественная, дизайн продуманный. Пользоваться щёткой удобно. Упаковка презентабельная — хороший вариант для подарка.
Щётка предназначена для использования взрослыми.
8. Xiaomi Mijia T300
Зубная щётка звукового типа с двумя режимами работы. Стандартный режим предназначен для повседневного использования. Мягкий режим подойдёт тем, у кого чувствительные зубы и дёсны. Щётка включится на том режиме, которым вы пользовались в прошлый раз. В комплекте кабель USB и одна насадка. Есть таймер чистки. Зубы чистит хорошо и при использовании мягкого режима нет проблем с кровоточивостью дёсен. Также хорошо справляется с налётом.
Щётка пульсирует с частотой до 31 000 раз в минуту. Работает от аккумулятора. Аккумулятор полностью заряжается за четыре часа, а заряда хватает на 25 дней. Свою щётку можно обозначить с помощью сменных цветных колец на корпусе. Щётка лёгкая и удобная и совсем не боится воды.
Щётка предназначена для применения взрослыми.
7. Fairywill E11
Звуковая щётка, обладает пятью режимами работы. Среди этих режимов есть ежедневный уход, бережная чистка, полировка и другие. В комплекте восемь сменных насадок с щетинками средней жёсткости. При смене насадок, нужно приложить усилие в процессе снятия, но зато они надёжно сидят. Также укомплектована футляром и USB-кабелем. Щётка имеет таймер времени чистки. Очищает зубы качественно и быстро.
Щётка совершает до 40 000 колебаний в минуту. Работает от аккумулятора. Заряда хватит на месяц использования, полная зарядка аккумулятора займёт два часа. Вибрация щётки весьма ощутима и также она издаёт сильное жужжание.
Щётка предназначена для взрослых и детей от 12 лет.
6. Xiaomi Soocas Spark Toothbrush Review (MT1)
Звуковая щётка, имеет два режима работы. Стандартный режим применяется для эффективного очищения и отбеливания зубов. Деликатный режим используется при чувствительных зубах. У щётки одна насадка. Также в комплекте футляр и кабель USB. У щётки есть датчик нажима и таймер чистки. Щётка хорошо очищает зубы, достаточно мощная, но при этом не травмирует дёсны.
Количество вибраций щётки составляет 30 000 раз в минуту. Работает от аккумулятора без подзарядки больше месяца. На зарядку уходит два часа. Есть индикатор зарядки. Щётка имеет защиту IPX8. Устройство удобно держать. Вертикально на полку не поставить, так как нижняя крышка от зарядного гнезда выпуклая. Работает тихо.
Изделие предназначено для применения взрослыми.
5. Sonic с 4 насадками
Звуковая зубная щётка с шестью режимами работы. В режиме отбеливания работает на умеренной частоте — можно использовать для чувствительных зубов. В режиме чистки работает на высокой частоте с сильной вибрацией. В комплекте есть четыре сменные насадки — этого хватит на год. Щётка хорошо очищает зубы, при этом удаётся избежать кровоточивости дёсен, щетинки не жёсткие.
Количество вибраций достигает до 60 000 раз в минуту. Работает щётка от аккумулятора до 45 дней на одном заряде. Есть защита IPX7 — можно мыть под струёй воды. Щётка аккуратная и удобная в использовании.
Предназначена для использования взрослыми.
4. Bitvae D2 Daily Toothbrush + Case (D2 + Case)
Звуковая зубная щётка с пятью режимами работы. Есть деликатный режим при чувствительной полости рта и режим отбеливания. Щётка позволяет регулировать интенсивность чистки и нажим. В комплекте восемь насадок. Также в комплектации есть дорожный футляр и подставка. У щётки имеется таймер смены области чистки. Удобная маленькая насадка хорошо прочищает межзубные промежутки. И в целом щётка тщательно удаляет налёт и остатки пищи.
Щётка способна совершать до 40 000 движений в минуту. Работает от аккумулятора до месяца на одном заряде. Щётка сделана из качественных материалов и заряд держит долго.
Предназначена для взрослых и детей от 10 лет.
3. Denhelt D1028
Зубная щётка — звуковая, с четырьмя режимами работы. Мягкий режим отлично подойдёт если у вас чувствительные зубы и дёсны, в стандартном режиме щётка подойдёт для большинства пользователей. А в полирующем режиме она тщательно удалит налёт и желтизну на эмали. В комплекте две насадки и зарядный кабель. Есть таймер времени чистки. У щётки удобная форма с ребристой поверхностью и не очень крупная головка с щетинками. Щётка отлично подходит и для брекетов — очищает их, но не портит. Также она приятно массирует дёсны.
Щётка совершает до 45 000 колебаний в минуту. Работает от аккумулятора, при этом заряда хватает на использование до полтора месяца.
Изделие предназначено для взрослых и детей от 12 лет.
2. CS Medica SonicMax CS-234
Звуковая щётка с пятью режимами работы. Есть такие режимы как ежедневный и чувствительный. Второй идеально подходит для чувствительных зубов и тем, кто носит брекеты. Ежедневный режим подойдёт в большинстве случаев для эффективной чистки зубов. Насадка в комплекте одна, также есть USB-кабель и адаптер. В щётке предусмотрен таймер чистки. Щётка обеспечивает качественное очищение полости рта на весь день и хорошо очищает эмаль зубов от налёта. При использовании этой щётки дёсны меньше кровоточат.
Эта модель может совершать до 40 000 пульсаций в минуту. Работает от аккумулятора до ста минут, на зарядку уходит десять часов. Есть индикатор зарядки. Материал у щётки софт-тач — приятно ощущается в руках.
Предназначена для взрослых и детей от 12 лет.
1. Kitfort КТ-2954
Звуковая щётка с тремя режимами работы. Есть такие режимы, как чистка, отбеливание, уход. В режиме уход, щётка бережно массирует дёсны. Режим чистка подходит для ежедневного использования, чтобы эффективно очищать зубы и полость рта. Насадок в комплекте две, ещё есть защитная насадка и база для зарядки. Насадка меняется очень легко. У модели есть таймер времени чистки. Благодаря хорошей вибрации легко очищает труднодоступные места и не травмирует дёсны.
Щётка совершает до 34 000 колебаний при работе. Работает от аккумулятора до двух часов, на зарядку уходит 6,5 часов. Имеется индикатор зарядки. Щётка компактная и лёгкая. Пластик качественный, изделие удобно лежит в руке.
Предназначена для применения взрослыми.
Буду надеяться, что подборка помогла вам с выбором электрической зубной щётки. Не следует давать детям чистить зубы звуковой щёткой, если частота её колебаний выше 15 000 раз в минуту. О возрастных ограничениях щёток из подборки указано в описании. Приятных вам покупок и здоровья вам и вашим зубам!





















