Ответ на пост «Феноменальная память!»13
Согласна на все 100. То же самое с медициной - недавно в новостях отрапортовали что в Москве открылся многопрофильный стационар Морозовской детской городской клинической больницы, где максимальное времяпровождение пациентов должно быть не более двух часов. В то же время в нашем ЦРБ нет детского невролога, офтальмолога, ортопеда, хирурга (принимают пару часов в неделю тех, у кого медосмотр или направление) - по моему только педиатр и есть. Всё хочу написать как с грудничками прошли офтальмолога, это какой-то трындец.
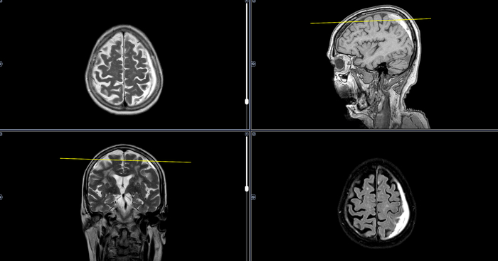
МРТ-Хроническая субдуральная гематома
Субдуральная гематома – это скопление крови между твердой мозговой оболочкой и паутинной оболочкой головного мозга.
МРТ стадии субдуральной гематомы:
Острая стадия (до 3 суток)
МРТ в режиме T1: изоинтенсивный или слегка гипоинтенсивный сигнал.
МРТ в режиме T2: выраженный гипоинтенсивный сигнал из-за дезоксигемоглобина.
FLAIR: гиперинтенсивный сигнал (из-за окружающего отека).
DWI (диффузионно-взвешенные изображения): может быть гиперинтенсивным из-за высокой вязкости крови.
2. Ранняя подострая стадия (3–7 дней)
T1: становится гиперинтенсивным из-за образования метгемоглобина.
T2: остается гипоинтенсивным (метгемоглобин еще внутри клеток).
FLAIR: гиперинтенсивный сигнал гематомы и окружающего отека.
3. Поздняя подострая стадия (1–3 недели)
T1: сохраняет гиперинтенсивность (метгемоглобин становится внеклеточным).
T2: становится гиперинтенсивным (из-за лизиса эритроцитов и выхода метгемоглобина).
FLAIR: гиперинтенсивность сохраняется.
4. Хроническая стадия (после 3 недель)
T1: сигнал снижается, может быть изо- или гипоинтенсивным.
T2: гипоинтенсивный сигнал по краям (из-за отложения гемосидерина) и гиперинтенсивный в центре (при наличии жидкости).
FLAIR: гиперинтенсивность уменьшается, но может сохраняться по периферии.
GRE/SWI: четкая гипоинтенсивная кайма (гемосидерин).
Симптомы
Острая форма:
Угнетение сознания (сопор, кома).
Головная боль, рвота.
Гемипарез.
Анизокория (расширение зрачка на стороне гематомы).
Судороги.
Хроническая форма:
Нарастающая головная боль.
Спутанность сознания, сонливость.
Нарушения памяти, поведения.
Слабость в конечностях.
Анамнез: возрастная пациентка, жалобы на частые головные боли, особенно в области затылка. Падала в ванной на плитку, ударилась задней частью головы 7 мес. назад.
МР-картина хронических субдуральных гематом обоих полушарий головного мозга(более крупная слева). МР- признаки очаговых изменений головного мозга, сосудистого генеза ( микроангиопатия, Fazekas 3). Диффузная церебральная атрофия 1 ст. ( по шкале GCA).
Категория годности при наличии аналогичных гематом у призывника, будет по ст.25(Травмы головного и спинного мозга и их последствия. Последствия поражений центральной нервной системы от воздействия внешних факторов:)- Статья предусматривает наличие изменений центральной нервной системы и нарушение ее функций вследствие перенесенной травмы головного или спинного мозга, осложнений вследствие травматических повреждений центральной нервной системы, а также воздействия воздушной взрывной волны и других внешних факторов, итоговая категория годности будет зависть от наличия и степени выраженности неврологических нарушений.
Истина где-то рядом...
Моя творческая группа в ВК: https://vk.com/sapienn?from=groups







