Горячее
Лучшее
Свежее
Подписки
Сообщества
Блоги
Эксперты
Войти
Забыли пароль?
или продолжите с
Создать аккаунт
Регистрируясь, я даю согласие на обработку данных и условия почтовых рассылок.
или
Восстановление пароля
Восстановление пароля
Получить код в Telegram
Войти с Яндекс ID Войти через VK ID
ПромокодыРаботаКурсыРекламаИгрыПополнение Steam
Пикабу Игры +1000 бесплатных онлайн игр Ищите дары леса и готовьте изысканные блюда на лесной ферме с ресторанчиками!

Грибники: дары леса

Фермы, Симуляторы, 2D

Играть

Топ прошлой недели

  • solenakrivetka solenakrivetka 7 постов
  • Animalrescueed Animalrescueed 53 поста
  • ia.panorama ia.panorama 12 постов
Посмотреть весь топ

Лучшие посты недели

Рассылка Пикабу: отправляем самые рейтинговые материалы за 7 дней 🔥

Нажимая «Подписаться», я даю согласие на обработку данных и условия почтовых рассылок.

Спасибо, что подписались!
Пожалуйста, проверьте почту 😊

Помощь Кодекс Пикабу Команда Пикабу Моб. приложение
Правила соцсети О рекомендациях О компании
Промокоды Биг Гик Промокоды Lamoda Промокоды МВидео Промокоды Яндекс Маркет Промокоды Пятерочка Промокоды Aroma Butik Промокоды Яндекс Путешествия Промокоды Яндекс Еда Постила Футбол сегодня
0 просмотренных постов скрыто
90
Violiva
Violiva
Стоматология
Серия Лечение зубов наглядно

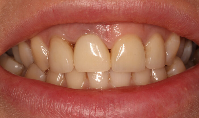
И снова лечим разрушенный зуб⁠⁠

1 год назад

Привет я Виолета Викторовна стоматолог, ищу для вас интересные видео о стоматологии у зарубежных докторов и озвучиваю. Если видео заинтересовало, ставь ➕ , или пиши в комментариях какую тему стоматологии еще осветить .

Перейти к видео

Видео от passiondentistry8713 YouTube. переведено и озвучено мной , ставлю тег "мое"

Переходите мой в Телеграм  , там своя атмосфера 🙂я делюсь интересными клиническими случаями, делаю обзор на щетки и отвечаю на вопросы , а также выкладываю другие видео с озвучкой.

Показать полностью
[моё] Зубы Стоматология Кариес Коронка Видео Вертикальное видео
32
525
kisaromen
Строительство и ремонт

Коронка 160мм для газобетона из огнетушителя или как с экономить 50к деревянных⁠⁠1

1 год назад

Всем привет

На моей стройке возникла задача наковырять 14 отверстий 160мм в диаметре и 250мм в глубину. Думаю ну дело то плевое, газобетон мягкий отделаюсь лёгким испугом, дорого не будет… наивный

1) Звоню бурильщикам дыр в бетоне, озвучивают цену в 4000за дырку — Не наш метод
2) Звоню арендодателям дыродельных инструментов, никакой конкретики, явных цен и рассчетов по расходу коронки и т.д. — Не наш метод
3) Гуглю, нахожу подобное и кучу самоделок аля ледобур, лопатка и т.д.

Проблема этих приблуд в том, что весь объем дыры ОНО перетирает в труху, отсюда нескончаемое количество пыли, что в реалиях частично завершенной чистовой отделки очень сомнительная затея — Не наш метод
4) Покупаю биметаллическую коронку 160мм глубиной 50мм, брожу по всем углам в поисках подходящей трубы и нахожу огнетушитель ОУ-5, контрольные замеры показали что нужно его пилить, крушить — Наш метод

комплектующие

комплектующие

Болгарка, немного сварки и вуаля мини монстр готов

На удивление труба огнетушителя просто идеально плотно входила в коронку что помогло избежать траблов с центровкой. Толщина стенки огнетушителя конечно не играла на руку, 4 или 5мм трубы при длине около 300мм давали не хилый вес оснастке

Для того чтоб эту бибу как то центровать в стене для начала манипуляций сначала засверливал стену биметаллической коронкой соответствующего диаметра на пару сантиметров, а дальше продолжал малышкой

При заглублении на 150мм перф стал уходить в защиту, а руки стали изрядно напрягаться
Стало ясно что нашу оснастку попросту зажимает и тормозит от трения.
Зубы коронки молотком через один зуб разводим наружу и готово

Самое главное, что при сверлении таких проходок большая часть материала остается цельным куском не перетертым в пыль

А взвесь при работе стараемся максимально прибрать пылесосом

Что имеем в сухом остатке:
Кучу дырявых стен и экономию порядка 50к деревянных всего за день

Если честно кажется что сейчас в интерне можно найти лайфхаки на все виды задач, но такого я еще не видел.
Гордость берет, хоть в патентное бюро иди))

Друзья, если нравится, что я пишу и делаю присоединяйтесь в мой Телеграм канал Дом на кочке

Сейчас там совершенно бесплатно можно получить новенький шуруповерт CAT DX15

Показать полностью 8
[моё] Самоделки Строительство Лайфхак Ипотека Строительство дома Инструменты Ремонт Коронка Длиннопост
71
1544
Violiva
Violiva
Стоматология
Серия Лечение зубов наглядно

Как спасают сильно разрушенный зуб⁠⁠

1 год назад
Перейти к видео

Переведено и озвучено мной , поэтому ставлю тег "мое" . Видео от passiondentistry8713 YouTube

Переходи мой в телеграм канал , там я провожу эксперимент  с зубом в Соса-cola и энергетике, делаю обзор щеток и отвечаю на вопросы , а также выкладываю другие видео с озвучкой

https://t.me/+W-jEWhYZaMsyZTNi

Показать полностью
[моё] Стоматолог Зубы Стоматология Лечение Коронка Видео Вертикальное видео
240
454
vadbel1310
vadbel1310
Твой стоматолог из Интернета
Все о медицине
Серия Видео

Кратко о стоматологии. Видео 3. Чем опасны большие пломбы?⁠⁠

1 год назад
Перейти к видео

Обязательно подписываемся и ставим лайк!

Если вы тут недавно, то Сагу о стоматологии, уверен, много нового для себя узнаете.

Сага о стоматологии

Если есть какие-то вопросы, то смело задавайте в комментариях.

Не надо обижаться, если я вас отсылаю к какой-то главе, так как вопросов становится много, а разжевывать каждому одно и тоже по несколько раз тяжело.

Если что-то персональное, то пишите в ЛС в телеграм https://t.me/vadbel1310, отвечу всем. Консультация БЕСПЛАТНАЯ, мне не жалко.

И ещё! Если что-то срочное, то звоните +79057685253(телеги на номере нет) в 8 до 22 по Москве. Если не отвечаю, то значит работаю, пишите в телегу.

Если вдруг кому удобнее читать всё это в телеграме, то у меня есть паблик https://t.me/vadbel1310public Там дублируются все посты. Там удобнее навигация по главам.

Так как, вас становится нереально много, то СРАЗУ ПО ДЕЛУ! Не надо всяких прелюдий, а можно вопрос, удобно ли вам? и т.д. Пишем по пунктам.

Здравствуйте,

  • меня зовут ....,

  • я с Пикабу… или откуда-то ещё.

  • Из такого-то города\региона ( это важно чтобы смог сразу найти того, к кому можно будет вас направить, если что).

Задаем вопрос.

Если вопрос связан с заболеванием, то заполняем форму

  • Жалобы: что болит, когда выпало, когда появилось… и т.д.

  • История болезни: когда началось, где и когда пробовали лечить, когда удалили зуб и т.д. Соблюдаем хронологию. Стараемся рассказывать покороче.

  • Какие сопутствующие патологии: обмен веществ, инфекционные заболевания, какие препараты принимаем

  • Если возможно, то присылаем фотографию на телефон.

  • Кидаем снимки, если есть.

  • Если есть КТ, то кидаем на почту vadbel1310kt@yandex.ru В теме письма указываем ваш никнейм телеграме, чтобы я мог понять кто это прислал, посмотреть и ответить.

  • Что бы вы хотели получить от консультации? Совет? Направление? Лечение?

Пишите, пожалуйста, текстом, так как мне проще читать. Отвечать буду голосовыми, так как строчить ответ десяткам людей в день достаточно тяжело. Без обид, я стараюсь помочь всем.

Если хотите приехать на консультацию, то пишите в Телеграм. Если что работаю только в одном месте. Территориально станция метро Филевский парк! На то, что написано в поисковиках не смотрим!

Если не отвечаю, то могу быть загружен, позже напишу. Если вдруг забыл про вас, не стесняемся, через день-другой напоминаем. Живу в очень интенсивном ритме.

И не забываем вступать в Лигу плохих зубов!

Лига плохих зубов

Показать полностью
[моё] Врачи Стоматология Лечение Жизнь Здоровье Зубы Коронка Поликлиника Медицина Проблема Стоматолог Штифты Видео Вертикальное видео
139
69
Ironlord
Ironlord
Все о медицине

До чего медицина дошла!⁠⁠

1 год назад

Источник: Медицинский портал

Перейти к видео
Ветеринария Стоматология Лечение Медведи Telegram (ссылка) Зубы Коронка Видео Вертикальное видео
14
21
Parodoctor
Parodoctor

Перелом корня, кость с бугра, имплантация с шаблоном, скан-маркер и лабораторная коронка. Всё ради одного зуба⁠⁠

2 года назад

Жевал безобидную ириску и что-то как хрустнет! Ну или не ириску, хлебный мякиш. Что угодно.

Сегодня хочу рассказать вам историю нашей пациентки Александры, которая обратилась в клинику с большой проблемой - перелом зуба.

И это, как назло, передняя правая единичка на верхней челюсти.

Самые, пожалуй, важные для эстетики зубы - верхние фронтальные. И тут такое в 34 года.

На вид всё хорошо, коронковая часть на месте.

3Д визуализация костных структур и зубов.

Зуб ранее пролечен эндодонтически (нерв убит, каналы пройдены), покрыт коронкой.

Шах и мат - коронка не спасает от перелома, можете сказать вы. Но тут всё сложнее, перелом случился в области корня. Почему? Да кто его знает. Но выглядело всё так себе в поддесневой зоне.

Зуб 1.1, перелом корня.

Явно, что некоторые кариозные процессы "подразъели" корень под коронкой. Мы при протезировании не присутствовали, процесс не видели. Поэтому оценку не даём произошедшему. О причинах не гадаем.

Есть факт - деструкция тканей корня.

Зуб 1.1.

Вот в этом "тонком" месте и произошел перелом.

Новости для пациента печальные - такое не лечится. Слишком глубоко проходит линия перелома, слишком сильно поражён корень, слишком велика деструкция кости вокруг линии перелома.

Процессы разрушения корня, судя по всему, шли давно - деструкция коснулась кости. Наблюдаем её дефицит.

Тактика нашего хирурга-имплантолога по визитам:

  • удаление, костная пластика собственными тканями (бугор верхней челюсти), имплантация, сканирование со скан-маркером, временная клиническая коронка;

  • установка временной лабораторной коронки через 2-3 дня;

  • постоянная коронка через 4-6 месяцев. До этого, вероятно, этап пластики мягкими тканями - восстановление дистального межзубного сосочка. Но пока рано об этом что-то говорить.

Приступаем!

Хирургические шаблоны - обязательно.

Имплантат 1.1 и костная пластика.

Ничего в этой области и в этой конкретной ситуации не сработает лучше, чем бугор верхней челюсти - лучшая донорская зона для забора кости. Минимальная усадка в ближайшей и отсроченной перспективе, приживаемость с вероятностью 99.99%.

Благо, у пациентки бугор есть. Только его наличие позволило провести имплантацию одномоментно с удалением зуба 1.1.

Имплантация 1.1, вид анфас.

Всё отлично. Время снятия цифрового слепка со скан-маркером.

Цифровой слепок + скан-маркер.

Это нужно для того, что бы техники в зуботехнической лаборатории изготовили временную коронку точно под запрос функции и эстетики. Мы им передаём информацию через интернет, никаких физических слепков.

А пока, на пару дней, изготавливаем коронку временную клиническую - прямо в кабинете из пломбировочных материалов. Не отпускать же молодую женщину в эту жизнь без переднего зуба.

Временная клиническая коронка на имплантат. Зуб 1.1.

Немного укоротили коронку, всё временно.

Важно не затягивать с установкой следующей конструкции - коронки лабораторной. А то можно потерять окружающие ткани и сам имплантат.

Коронка временная лабораторная. Зуб 1.1.

Кажется, для временной коронки выглядит очень органично и симпатично. Главное -функционально.

Как я уже писала выше, возможно придётся дополнительно проводить пластику мягкими тканями - деструкция кости была значительной для этой зоны зуба 1.1.

Встречаемся на снятии швов через 2 недели, а после - только через 4 месяца. Будем оценивать ситуацию и решать вопросы насущные с пластикой и/или постоянной коронкой.

Вот такой план был реализован в работе с эстетически важной зоной в условиях дефицита костной ткани.

Можно было бы сделать иначе и не заморачиваться с костной пластикой собственными тканями с области бугра верхней челюсти? Да, конечно. Но результат был бы иным.

Показать полностью 11
[моё] Стоматология Зубы Операция Медицина Имплантация зубов Коронка Врачи Длиннопост
0
146
kaketosdelano
kaketosdelano
Как это сделано
Серия Мои производственные репортажи

Как делают виниры и коронки⁠⁠

2 года назад

Продолжаю выкладывать снятые мной репортажи. Отдельное спасибо донатерам за поддержку @Vikke83 @LapaElovaya и таинственному пикабушнику, который не отметил свой ник.
Многим из нас знакома проблема с зубами. Они у нас бывают кривыми, прикус не всегда правильный, а уж о каждодневном страхе кариеса, внушаемом с экранов и билбордов, все знакомы с детства. Но сегодня будет рассказ не о том, как сверлят и лечат зубы, а о работе зубного техника, которая скрыта от наших глаз. Между тем, зубной техник - это практически скульптор, который должен с высокой точностью воссоздать искусственный зуб, чтобы тот не отличался от здорового соседнего.

Что такое зубная коронка, наверняка слышали все. Если зуб уже отжил свое, сгнил и раскрошился, то его место заменяет коронка. Раньше их делали из медицинской стали или из золота, так как эти материалы были долговечными, нейтральными для организма и не портились в кислотной среде ротовой полости.
Чуть позже на смену золотым улыбкам пришла металлокерамика (металлический каркас облицованные слоем керамики). А сегодня в тренде цельная керамика без каких-либо примесей металлов. Искусственные керамические зубы (коронки) делают на каркасе из специального материала (диоксида циркония), который долговечен и нейтрален к нашему организму.
Работа зубного техника - это кропотливый, ювелирный труд, который требует множества дорогостоящих расходных материалов и современного оборудования.
При изготовлении зубных коронок или зубных накладок (виниров) им придают тот же оттенок, градиент, форму, прозрачность, анатомические особенности, как и у собственных соседних зубов. Но при этом, протезы должны быть не только красивыми, но и прочными.

Все начинается с кресла в стоматологическом кабинете, где с ваших зубов снимают слепок.

Сперва на зубы наносят специальную жидкую массу, потом к челюсти прикладывают и прижимают металлическую форму (оттискная ложка) с силиконовой слепочной массой, на которой должна отпечататься форма зубов.

Таким образом получаем слепок, с которого будут делать коронку или винир.

После получения слепка идем в лабораторию, с кучей различного оборудования, где производят протезы.

Следующий этап рождения искусственных зубов - получение гипсовой модели челюсти со слепка.

У зубного техника как мы видим два вида гипса, желтоватый для получения модели, белый - для литья, этот этап вы увидите чуть позже.

Тщательно разводим гипс с водой в нужной пропорции, взвешиваем и размешиваем раствор специальным блендером.

После чего тщательно промазываем каждое углубление в слепке, чтобы не было пузырьков и пор, и заливаем слепок гипсом.

Потом переворачиваем формы и оставляем кристаллизоваться.

Немного отвлечемся от гипсовой модели и расскажем о том, как получают компьютерную модель, для того, чтобы потом на специальном станке вырезать мост или коронку.

Для этого возьмем уже готовую гипсовую модель и поместим ее в сканер.

Сканер поворачивает модель челюсти под разными ракурсами, чтобы получить полноценную компьютерную модель.

так все выглядит на экране монитора

Если нам нужно получить модель отдельного зуба для получения коронки, то процедура повторяется.

После получения нужной модели следующий этап - программирование зуботехнической фрезерной установки. На компьютере моделируется процесс высверливания коронки из пластины.

Так выглядит диск-болванка в суппорте. Это диоксид циркония, будущий каркас керамической коронки. Как мы видим из нее уже была вырезана не одна коронка.

Диск диоксида циркония устанавливается во фрезерном станке с ЧПУ.

Автомат сам выбирает нужное сверло и фрезерует из болванки заготовку для коронки.

При фрезеровании суппорт поворачивается в разные стороны и под нужным ракурсом.

Длится фрезерование примерно полчаса.

После окончания процесса диск-болванка в суппорте вынимается и из нее аккуратно достают коронку.

Репортаж большой, потому продолжение в этом посте - Как делают виниры и коронки. Часть 2

Познавательные посты и видео о том как устроены вещи, как работают и как это сделано публикуются в сообществе Как это сделано, присоединяйтесь, там много интересного!

Показать полностью 25
[моё] Как это сделано Стоматология Коронка Длиннопост
7
1316
alexkdiy
alexkdiy
Как это сделано

Супер-коронка по бетону⁠⁠

2 года назад
Перейти к видео
Сверло Коронка Работа Отверстие Стена Рукоделие с процессом Рабочие Вертикальное видео Видео
214
Посты не найдены
О нас
О Пикабу Контакты Реклама Сообщить об ошибке Сообщить о нарушении законодательства Отзывы и предложения Новости Пикабу Мобильное приложение RSS
Информация
Помощь Кодекс Пикабу Команда Пикабу Конфиденциальность Правила соцсети О рекомендациях О компании
Наши проекты
Блоги Работа Промокоды Игры Курсы
Партнёры
Промокоды Биг Гик Промокоды Lamoda Промокоды Мвидео Промокоды Яндекс Маркет Промокоды Пятерочка Промокоды Aroma Butik Промокоды Яндекс Путешествия Промокоды Яндекс Еда Постила Футбол сегодня
На информационном ресурсе Pikabu.ru применяются рекомендательные технологии