Причины и профилактика свищей прямой кишки
Преамбула: Вчера внезапно в комментариях на Пикабу появилась моя отметка под очень красочным постом и я сначала решил ответить, начал писать и получился длиннопост)
Откуда берется хронический парапроктит или свищи прямой кишки и как же все таки профилактировать?
Специально для Лиги Лени: неизвестно откуда берется и никак, если смотреть с позиции доказательности. Но давайте подискутируем.
И начнем сначала: парапроктит относится к гнойным заболеваниям мягких тканей. Выделяют острый парапроктит и хронический парапроктит - т.е. свищи. Так как это гнойная инфекция, соответственно у нее существует всего две причины.
Но начну рассказывать, почему вообще не все люди болеют гнойной инфекцией, например парапроктитом. Потому что у нас есть иммунитет и различная защита от болезнетворных микроорганизмов.
Самый непроницаемый барьер организма - это кожа, которая во первых механически не пропускает микробы внутрь. А кожа перианальной области - это вообще крайне защищенная штука. Для демонстрации защиты кожи перианальной области хочу также напомнить комментарии к моему посту "Почему человек становится проктологом" на фото ниже.
Получается, что кожа на животе постоянно выдержать попадание кала не может, а кожа перианальной области справляется с этим на протяжении десятков лет жизни. Параллельно микробы, словно на метро, могут передвигаться по кровеносным и лимфатическим сосудам из одного очага инфекции, например, кариеса или гайморита, в другой. Называется по медицински это гематогенный и лимфогенный пути.
Чтоб такие "поездки" происходили как можно реже (а в идеале вообще не происходили), существует иммунная система, которая способна отлавливать единичные "разведывательные" микробы, которые по каким-то причинам просачиваются через кожу или слизистые или "выезжают на прогулку" из очагов хронической инфекции, а затем нейтрализует их.
Дак вот любое гнойное воспаление может появиться по тем самым двум причинам:
- Первая - это ослабление систем защиты организма.
- Второе - большой натиск "захватчиков", то есть высокая концентрация микробов, с которой попросту невозможно справиться.
Ослаблять системы защиты перианальной области могут следующие состояния:
- переохлаждения, иногда пациенты отмечает, что перед болезнью сидели на холодной поверхности или купались в грязной воде
- любая имеющаяся острая или хроническая инфекция
- нарушения микроциркуляции, например при сахарном диабете
- желудочно-кишечные расстройства и, например, авитаминозы на их фоне
- хронический геморроя
- анальная трещина, которая сама по себе является входными воротами инфекции
- криптит, то есть воспаление специальных анальных желез - крипт
Самая частая причина большого количества микробов - это плохое соблюдение гигиены.
Также не нужно забывать, что существуют болезни, которые могут осложниться сначала острым гнойным парапроктитом, который потом превращается в свищ. А в практике в 30-50% случаев после острого парапроктита у больных формируется свищ прямой кишки.
Как же все таки профилактировать хронический парапроктит или свищи прямой кишки?
Так как доказательных способов фактически не существует, можно предположить следующие профилактические мероприятия:
- Каким-то образом на снижение заболеваниямоти свищами прямой кишки может быть своевременное и адекватно (подчеркиваю!) хирургическое лечение острого парапроктита с нормальным дренированием.
- Заживление раны должно проходить под тщательным контролем колопроктолога.
- Пациент с острым гнойным парапроктитом обязательно должен быть информирован о возможности перехода инфекции в хроническую
- Адекватное лечение и профилактика развития болезней прямой кишки также может снизить заболевание свищами прямой кишки.
Однако все эти способы профилактики мало зависят от пациента и имеют низкую доказательность. Однако, лучше всего профилактировать острый гнойный парапроктит не допуская снижения иммунитета и нахождения в условиях повышенного инфицирования.
Мой паблик ВКонтакте
Самый дикий свищ прямой кишки, который я видел
Небольшая преамбула. Под постом Неоднозначно вчера был такой комментарий:
Честно сказать, звучит как чересчур преувеличенная фантазия. И я бы так и подумал еще год назад, и ответил бы в стиле "учи анатомию, чтоб знать, где жопа, а где плечо", но не так давно увидел нечто похожее своими глазами на МРТ, о чем и сообщил в комментариях. Камрады из комментов попросили показать снимки, чтоб увидеть, как это, вообще, выглядит. Вот, показываю.
Немного матчасти. Что такое свищи прямой кишки и про их виды неплохо было рассказано в посте Хронический парапроктит. Свищ (осторожно, там жесть).
В посте описываются классические простые свищевые ходы, но иногда свищ может иметь несколько ответвлений и открываться в самых неожиданных местах.
***
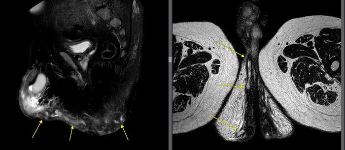
Вид сбоку центрально, вид сверху на уровне анального канала
Для начала мы видим главный свищевой ход, заполненный гноем, который отходит от прямой кишки и идет куда-то в сторону копчика в подкожную область.
***
Вид сбоку справа, вид сверху на уровне ягодиц
Потом от главного свищевого входа отходит дополнительная ветка, идет через правую ягодицу и открывается в мошонку, формируя там флегмону.
***
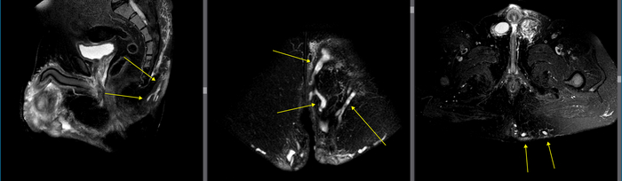
Вид сбоку парацентрально слева, вид спереди кзади от крестца, вид сверху чуть ниже крестца
Также от главного свищевого хода отделяются еще две ветки и идут кверху через подкожную жировую клетчатку спины.
***
Вид сбоку слева, вид спереди кзади от крестца, вид спереди кзади от крестца
Медиальный свищ заканчивается на уровне крестца в подкожной жировой клетчатке, не открывается на кожу, образует полость с гноем; латеральный свищ тянется вверх, уходит за пределы исследования, открывается на кожу спины где-то на уровне грудного отдела позвоночника.
Такие дела бывают)
Моя история болезни Ч.61
Продолжу.
Почку удалили в 2016 году.
СВИЩ
Вроде все устаканилось и жизнь пошла своим чередом.
Но, меня стали беспокоить беспричинные броски температуры. Поднимется до 38, пару дней держится, потом на спад и за неделю все проходило, но я каждый раз прокалывал антибиотик. Через год, открылся свищ в месте, где стоял дренаж. Показался доктору, доктор полазил зондом пытаясь нащупать лигатуру, на которую пало подозрение, как источника воспаления, но ничего не нашел, сказал только что ход сантиметров 7-8. Дальше я поступил на свой страх и риск. Ни в коем случае не принимайте это , как руководство к действию.Во всяком случае, посоветуйтесь с врачем. Пишу это зная, что подобные проблемы возникают довольно часто. Понимаю и знаю, что свищ лечится только оперативным путем и буду описывать только мой личный опыт.
Закупил цефтриаксон, перекись , хлогексидин, стерильные салфетки и шприцы. Дома мне помогала жена. Сначала промывал свищ перекисью из шприца, потом хлогексидином и после загонял в рану антибиотик, потом стерильная салфетка и клеящаяся повязка. Сделали таких процедур штук десять, раз в день, пока не перестал выделяться гной из раны и количество вводимого вещества не уменьшилось до 1 млл. Потом просто заклеивал повязкой. Дней через 15 ранка затянулась и больше меня не беспокоила. В 2021 году опять начались броски температуры. Прошел полное обследование. Ни УЗИ ни КТ ни чего не показали, все анализы в норме только лейкоцыты зашкаливали. В декабре снова открылся свищ, тут уже я лег в госпиталь, в госпитале промывали перекисью и хлоргексидином, через неделю вроде свищ закрылся и я выписался. В начале января открылся снова. Опять пришел в госпиталь, там меня отправили за анализами кровь, моча, спид гепатиты, ну как обычно. Пока собирал анализы, ранка затянулась. Пришел снова в госпиталь , там меня послали, сказав - "Приходи, когда снова откроется". Ну я и пошел...
Через неделю - полторы снова открылся свищ. Я уже не ходил ни куда и повторил процедуру, как пять лет назад. Правда делал все недели две. В последние дня четыре только антибиотик. Четыре месяца - полет нормальный.
ИНВАЛИДНОСТЬ
Года четыре назад приехали с женой в супермаркет. Стоянка забита , машину поставить некуда. Жена говорит - имеешь право на инвалидность? Стоянка для инвалидов свободна, а ты шарахаешься, куда машину приткнуть. Иди, оформляйся. Ну я и пошел.
Когда пришел к терапевту и сказал, что хочу оформить инвалидность, доктор Выкатил на меня глаза и сказал (ну если перевести на нормальный язык) А не до хрена ли ты хочешь?! Надо сказать, что выгляжу я ну никак не инвалид, так что доктора можно понять. Я говорю - вы карточку мою посмотрите, потом поговорим. Дрктор долго читал мою карту, потом поднял на меня глаза и задумчиво сказал - ну, как минимум третья. Вот и ладненько. Получил бегунок, прошел медкомиссию, получил направление на МСЭ и получил 2-ю группу. Через год подтвердили тоже 2-я, но уже пожизненно. Теперь парковки для меня есть везде и некоторые знаки не действуют )) Это один из плюсов, да еще туалет искать не надо, все с собой и туалетная бумага не нужна, опять же экономия ))
ФСС
С получением инвалидности, я получил право на бесплатное обеспечение ТСР (технические средства реабилитации) А это очень важно. Хоть пенсия у меня вполне достойная, но покупать все приблуды за свой счет довольно накладно.
Право то я получил, но вот ТСР получить вовремя и в полном обьеме оказалось довольно сложно. ТО задержат на два-три месяца, то выдадут меньшее количество от потребности.
Дальше буду писать для тех, у кого возникают подобные проблемы с ТСР.
Года два я прожил на старых запасах, которые создал то там то там добывая мешки (многие отдают инвалидам бесплатно то, что осталось невостребованным у родственников или закупочная организация отдавала то, на что истекли сроки и не подлежало выдаче, но вполне пригодное к применению - все равно утилизировать.) Поэтому не особо заморачивался что, когда и сколько выдают, но потом меня поджало. Когда очередной раз задержали с выдачачей, а потом выдали 10% процентов от потребного на полгода - я возбудился и написал в ФСС письмо, типа, в чем дело? почему? Из ФСС ответили - покупайте, мы компенсируем вам затраты. Да, это так, НО!! Компенсируют по закупочной цене, которая примерно 42-45 рублей за колостомный мешок, а розничная цена 80-100 рублей, а нужно мне их на месяц аж 60 штук. Получается затратно, да еще, кроме мешков еще разные смывки, герметики, кремы и проч. Все вываливается в круглую сумму. ТОгда я опять написал в ФСС что, мол , это круто, и что вам мешает меня обеспечить в полном обьеме, от ФСС дежурный ответ- покупайте, компенсируем. Тогда я не стал морочить себе голову и написал в прокуратуру, с указанием всех указов, распоряжений и писем с вопросом - почему ущемляются права инвалидов. Хочу заметить, для тех , кто последует моему примеру, наша бюрократическая система дает чиновникам месяц для ответа, поэтому все растягивается во времени.
После обращения в прокуратуру обеспечили на три месяца. Потом опять затишье, снова задержали на два месяца. Я уже, не обращаясь в ФСС, сразу написал в прокуратуру, опять обеспечили. Потом я был вынужден уехать на пару месяцев и пропусти след. срок получения, так из ФСС оборвали телефон в закупочной организации (организация закупает согласно контракта с ФСС и выдает согласно направлений выдаваемых так же ФСС) типа - где этот ваш, жалобщик? Почему еще не выдано ему?.
Не нужно бояться. Нужно добиваться своего. Чиновнику абсолютно индеферентно на ваши проблемы. И , как говорил товарищ Бендер - спасение утопающих - дело рук своих утопающих.
Пока все.
Может еще потом что вспомню и напишу.
КАК Я ВЫЛЕЧИЛА ГЕМОРРОЙ. История одной пациентки
Сегодня в видео я с вами поделюсь историей одной пациентки, которой удалось вылечить геморрой.
После родов у пациентки был страшный геморрой, потом он как-то то воспалялся, то немножко проходил, то хорошо совсем становилось, но последние шесть лет - это было что-то страшное. Она сразу обратилась к проктологу в свою поликлинику. Проктолог назначил колоноскопию, которую пациентка сделать не смогла из-за боли. Пациентка продолжала мучиться до тех пор, пока узлы стали выпадать. Мало того, что внешние, стали выпадать внутренние. Это было некрасиво, это было больно, страшно. Далее больная обратилась за помощью ко мне. Мы сделали ей полное обследование, колоноскопию под наркозом. Предложили склерозирование геморроидальных узлов. Спустя два месяца все затянулось, никаких выпадений геморроидальных узлов больше нет и пациент полностью здоров. Более подробную историю этой ситуации смотрите в видео.
Радиаторы РСПО SOLE, сплошной брак
Стальные панельные радиаторы sole прослужили несколько месяцев, и почти в одно время, с разницей в несколько дней, их как-будто пробили, при чем ровненько в ряд, и на одном уровне. Когда через неделю после замены засвистел новый радиатор, то уж точно стало понятно, что это брак. Дырки образовываются в местах контактной сварки в нижней части панели.
Удачная операция
Приключения заканчиваются.
Три часа назад я приехала домой, привезя с собой, как трофей, новые швы.
В этот раз меня принимал другой хирург, который выслушал, сделал ещё одно УЗИ и, как решение, предложил иссечение свища, который образовался из-за реакции на нить. Этой нитью делали внутренний шов после кесарева сечения.
Операция продлилась минут сорок, под местной анестезией. Скопление тканей было весьма грубым, из-за чего затупился скальпель у хирурга. Что-то я чувствовала, что-то слышала. Слышала, как мне, слой за слоем, отрезали ножницами эту ткань, которая располагалась весьма глубоко.
Завтра пойду открывать больничный и доставать резинку, которую поместили в образовавшуюся полость. Через неделю можно снять швы.
Да, этот пост не несёт в себе смысловой и развлекательной нагрузки. Ну и похер. Меня за неделю тут столько раз грязью полили, что уже плевать. Спасибо и тем, кто поддерживал, и тем, кто хуями обложил. Одно знаю точно - я всё, абсолютно всё, сделала правильно. Потому что мне важна и нужна моя жизнь.
Минусы и ваше важное мнение в студию!
Всем спасибо, все свободны.
О надежде и вере
Так получилось, что весь этот пандемийный год проходит у меня как в тумане. На десне в районе давно удаленного зуба надулся свищ, причины которого неясны, болит язык и прочие прелести поражения ротовой полости неясного генеза. Походил по частным стоматологам, а потом стал лечиться в НИИ ЧЛХ в Москве. Соответственно операции, иссечения, зарастание, хорошая гистология. Но все это выматывает
Но я тут это пишу не чтобы поныть, это просто предыстория.
Друзья посоветовали мне одного армянина-травника. Он вообще не травник, а успешный коммерсант в области IT. Но вот в качестве миссии избрал целение людей. Лабораторию создал в Барселоне, исследует, делает эфирные масла, программы детокса. Денег не берет от слова совсем. Единственное, если его масла срабатывают, то человек получает рецепт, что как замешивать и закупает из потом самостоятельно, но не у него, а где найдет.
В деле борьбы с непонятно откуда взявшимися болячками чистка организма помогает.
Травник живёт в Испании, там познакомился с одним батюшкой, то ли баптистом, то ли кем. Батюшка особо тревожным пациентам оказывает типа психологическую поддержку, объясняет им, что все будет хорошо, цитирует Библию, вполне каноническую, и поясняет, что могло привести к болячек, в основном это блуд. Делает он это настолько ненавязчиво и бесплатно, что реально меняет настрой и выводит из депрессии. При этом, батюшка ещё и дальнобойщик, у баптистов есть такие служители, которые не освобождённые. Кстати, чувак, которого убили, после чего началось Black Live Matters тоже формально был таким батюшкой.
Опущу эзотерические и религиозные моменты процесса. Просто скажу, что со со мной работает бригада из хорошего хирурга, спеца по детоксу и психолога. И это лечит.
Посмотрела на это дело сестра жены 28 лет от роду. И говорит, надо бы и мне к батюшке, я замуж выйти все не могу, какие-то козлы кругом, не поганит ли мне жизнь Лукавый, а ещё у меня дома клопы завелись при хорошей гигиене помещения, не происки ли это черных сил.
Батюшка из Португалии набрал ее и стал диагностировать. Вердикт был потрясающий:
С клопами, дочь моя, это тебе к дезинфектору
С венцом безбрачия никуда не ходи, этой бредятины не существует, а бесы на тебе не сидят
Но раз ты так плачешь и печалуешься, вот тебе телефон моего сына 26 лет от роду, он тоже неженат, возможно, пообщаться с ним в деле устройства личной жизни будет эффективнее, чем со мной
Столкнувшись с непонятной болячкой, не стесняйтесь ходить к врачам, главное найти компетентных. Страшные диагнозы исключайте проверками по мед. Протоколам. Травки здорово дополняют хирургию, но не заменяют ее. Адекватный батюшка, даже если он сектант, хорошо выводит из тревожности и не пропагандирует чего не надо.
Самое сложное в этом пазле найти этих людей и самому не съехать с глузду.
А в деле устройства личной жизни эффективнее контакты с неженатым представителями противоположного пола, чем со священниками или знахарями


















