Распространённость рака в молочной железе и в организме
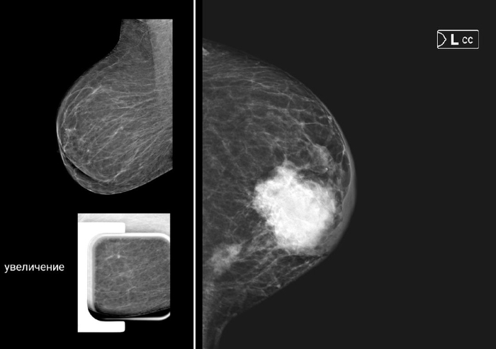
2 снимка маммографии.
На обоих рак молочной железы, но какая разная ситуация.
Сегодня мы говорим о стадии - распространенность рака в молочной железе и во всем организме.
От нее зависит многое: от ощущений пациентки до плана лечения и шансов на будущее. Давайте сравним эти две точки — начало и распространенную форму болезни.
Клиническая картина: что чувствует женщина
На 1ом снимке (1 стадия -опухоль 5 мм) болезнь почти «немая». Чаще всего это просто небольшое уплотнение в груди, которое не болит и никак не мешает жить. Его можно нащупать случайно или увидеть на маммограмме. Ни слабости, ни боли, ни изменений в самочувствии нет. Женщина может отлично себя чувствовать и даже не подозревать о проблеме.
На 2 снимке опухоль распространена в молочной железе и регионарных л/узлах (в данном случае - это 3 стадия). Организм кричит о беде. Опухоль видна визуально, отмечается уплотнение, изменение формы молочной железы, пальпируются л/узлы. Опухоль может прорастать в кожу, вызывая её изменение (симптом «лимонной корочки», покраснение, язва), или в мышцу. Но главный признак — поражение регионарных лимфоузлов в подмышечной впадине, около ключицы или грудины. Могут появиться боли, дискомфорт, отёк руки. Организм уже тратит силы на борьбу, поэтому возможны усталость и недомогание.
Лечения:
На 1-й стадии — полное излечение. Основной метод — хирургическая операция: удаление опухоли с сохранением груди. Её почти всегда дополняет курс лучевой терапии для закрепления результата. Химиотерапия или гормонотерапия назначаются в зависимости результатов ИГХ.
На 3-й стадии лечение всегда комбинированное, более агрессивное и длительное. Часто оно начинается не с операции, а с предоперационной (неоадъювантной) химио- или/и таргетной терапии.
Цель — уменьшить размер первичной опухоли и поражённых лимфоузлов, чтобы сделать операцию технически возможной и менее калечащей, а также оценить чувствительность опухоли к лекарствам. Затем проводится расширенная операция (чаще мастэктомия) с удалением группы лимфоузлов. После неё обязательно следует лучевая терапия на область грудной клетки и лимфоузлов. И завершается всё послеоперационной (адъювантной) лекарственной терапией для уничтожения возможных оставшихся клеток. Весь путь может занимать год и более.
Прогноз: от высокой уверенности к напряжённой борьбе
При 1-й стадии прогноз очень благоприятный. Пятилетняя выживаемость превышает 90-95%. Основная цель лечения — полное излечение, и для подавляющего большинства пациенток она достигается. Риск рецидива низкий.
При 3-й стадии прогноз серьёзный, но шанс на излечение остаётся. Пятилетняя выживаемость в среднем составляет 65-85%, сильно варьируясь в зависимости от подтипа опухоли и ответа на предоперационную терапию. Ключевая задача — не допустить перехода болезни в 4-ю стадию, когда опухоль метастазирует в жизненно-важные органы (например печень, лёгкие, кости иди головной мозг)
Главный вывод:
1-я стадия — это болезнь, которую в большинстве случаев побеждают относительно «малой кровью».
3-я стадия — это уже серьёзная и тяжелая битва, требующая максимальных усилий организма, врачей и огромного запаса терпения у пациентки.
Именно поэтому каждая женщина должна помнить: самообследование, регулярное посещение маммолога — это не просто рекомендация. Это прямой путь сохранить не только грудь, но и возможность пройти через лечение с наилучшим результатом и вернуться к полноценной жизни.
Всем здоровья!





