Риск переоценен на несколько порядков: Covid-19 не более опасен, чем грипп
Опаснее вируса являются страх и паника, создаваемые СМИ, и «авторитарная реакция» многих правительств.
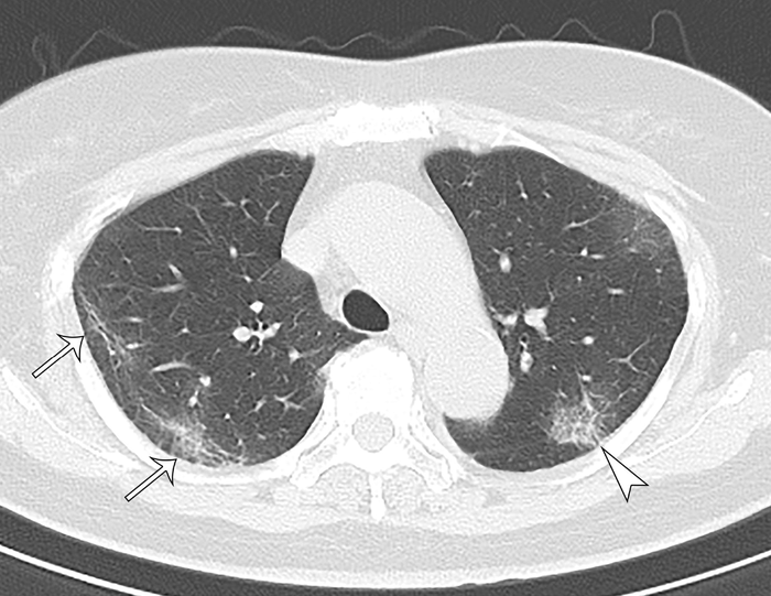
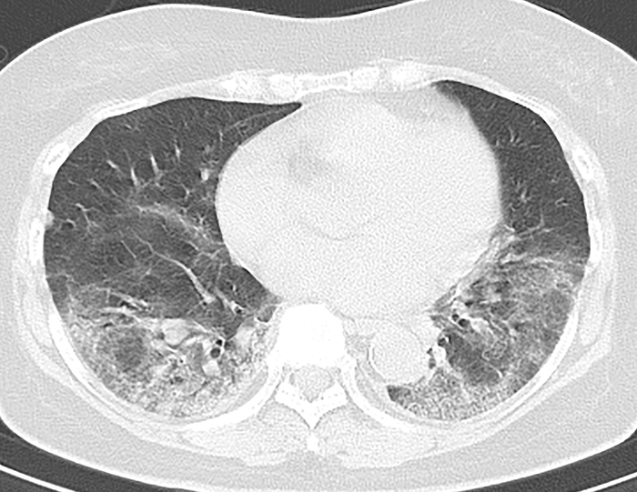
Выборка из статьи "Коронавирус: опасная иллюзия смертности"
Профессор Клаус Пюшель, глава судебной медицины в Гамбурге, рассказывает о COVID-19: «Этот вирус оказывает чрезмерное влияние на нашу жизнь, несоразмерное опасности. Наносимый сейчас астрономический экономический ущерб также несоизмерим с опасностью вируса. Я убеждён, что смертность от коронавируса даже не приведёт к пику в годовой смертности». Например, в Гамбурге «ни один человек, который ранее не болел», не умер от вируса. «Все те, кого мы исследовали до настоящего времени имел рак, хроническое заболевание легких, были заядлыми курильщиками или страдали ожирением, диабетом либо сердечно-сосудистыми заболеваниями. COVID-19 является смертельным заболеванием только в исключительных случаях, но в большинстве это безвредная инфекция».
Немецкий иммунолог и токсиколог, профессор Стефан Хокерц объясняет, что Covid-19 не более опасен, чем грипп, просто ему уделяется больше внимания. Опаснее вируса являются страх и паника, создаваемые СМИ, и «авторитарная реакция» многих правительств. Профессор Хокерц также отмечает, что большинство так называемых «умерших от коронавируса» на самом деле просто имели положительный результат теста, а умерли от других причин. Он полагает, что в десять раз больше людей, чем сообщалось, уже имели Covid-19, но ничего не заметили.
Аргентинский вирусолог и биохимик Пабло Гольдшмидт утверждает, что Covid-19 не более опасен, чем простуда или грипп. Возможно, он циркулировал уже в более ранние годы, но не был обнаружен, потому что его никто не искал. Доктор Гольдшмидт говорит о «глобальном терроре», созданном СМИ и политиками. По его словам, каждый год 3 000 000 новорожденных во всем мире и 50000 взрослых в США умирают от пневмонии.
Профессор Мартин Экснер, глава Института гигиены в Университете Бонна, объясняет, что медицинский персонал перегружен из-за закрытых границ и карантина, а не из-за прироста количества больных, которого нет.
Известный итальянский вирусолог Джулио Тарро утверждает, что уровень смертности от Covid-19 ниже 1% даже в Италии и поэтому сравним с гриппом. Более высокие значения возникают только потому, что не делается различий между смертностью «с» и «от» Covid-19, а также потому, что число инфицированных людей сильно занижено.
Швеция до сих пор придерживается либеральной стратегии в отношении Covid-19, которая основана на двух принципах: группы риска защищены, а люди с симптомами гриппа остаются дома. «Если вы будете следовать этим двум правилам, вам не понадобятся дальнейшие меры, влияние которых в любом случае будет незначительным», — сказал главный эпидемиолог Андерс Тегнелл. Социально-экономическая жизнь будет продолжаться нормально.
Почётный профессор патологии в Великобритании Джон Ли утверждает, что особый способ регистрации случаев Covid-19 приводит к переоценке риска, который несёт Covid-19 по сравнению с обычными случаями гриппа и простуды.
Немецкая сеть доказательной медицины (EbM) критикует сообщения средств массовой информации о Covid-19: «Освещение в СМИ никоим образом не учитывает критерии доказательной информации о рисках, как мы требовали. Представление необработанных данных без ссылки на другие причины смерти приводит к переоценке риска».
Немецкий исследователь доктор Ричард Капек утверждает, что «эпидемия коронавируса» на самом деле является «эпидемией тестов». Капек на основе количественного анализа показывает, что при экспоненциальном увеличении количества тестов процент положительных результатов остаётся стабильным, а смертность снижается, что опровергает экспоненциальное распространение самого вируса.
Немецкий профессор вирусологии доктор Карстен Шеллер из Вюрцбургского университета объясняет в подкасте, что Covid-19 определенно сопоставим с гриппом и до сих пор даже приводил к меньшему количеству смертей. Профессор Шеллер подозревает, что экспоненциальные кривые, часто представляемые в средствах массовой информации, больше связаны с увеличением числа тестов, чем с распространением самого вируса.
Два профессора медицины из Стэнфорда, Эран Бендавид и Джей Бхаттачарья, объясняют, что летальность Covid-19 переоценена на несколько порядков, вероятно, даже в Италии она составляет всего 0,01% — 0,06% и таким образом, ниже, чем у гриппа. Основной причиной такой переоценки является сильно недооцененное количество заражённых людей без симптомов.
Миланский микробиолог Мария Рита Гисмондо призывает итальянское правительство прекратить сообщать ежедневное количество «положительных результатов теста», поскольку эти цифры являются «поддельными» и приводят население в излишнюю панику.
По словам профессора эпидемиологии Стэнфорда Джона Йоаннидиса, новый коронавирус может быть не более опасным, чем некоторые распространенные коронавирусы, даже у пожилых людей. Йоаннидис утверждает, что нет надежных медицинских данных, обосновывающих принятые в настоящее время меры.
Доктор Сухарит Бхакди, заслуженный профессор медицинской микробиологии в Майнце, Германия, написал открытое письмо канцлеру Германии Ангеле Меркель и призвал к срочному пересмотру мер против Covid-19.
Полный текст статьи с интересной статистикой: @ilusha_sergeevich
Ещё источники: Swiss Propaganda Research



