Слышать мысли
Трансканальная магнитная стимуляция гипоталамуса для приема мыслей(Открытие выяснил Татьяна и Кирилл Фроловы из города Пушкино)
датчики ЭЭГ для передачи (можно просто микрофон)
Тмс катушка для чтения мыслей, слышать мысли (можно просто динамик)
Анатомия за 1 минуту. Гипоталамус
Несмотря на свой маленький размер - с ноготь большого пальца, -гипоталамус выполняет целый ряд важных функций. Он состоит из нескольких ядер, которые участвуют в контроле ряда непроизвольных функций, таких как, например, распознавание запаха, регуляция сердечного ритма и контроль прохождения пищи по пищеварительному тракту, водный обмен. Гипоталамус связывает нервную и эндокринную системы, выделяет вещества, влияющие на выработку гормонов.
Важно! В гипоталамусе находятся центры голода и жажды, он регулирует температуру тела.
С гипоталамусом связаны такие эмоции как страх, ярость и агрессия.
Тот, кто решает за нас
Заехал после работы в матушку-кормилицу с мыслью: что б тяпнуть так, чтобы немного было. В дороге колебался - пару пива или децл вискаря. Салат, кефир, гранаты, алкоголь - все кидалось в корзину машинально.
Дома обнаружил, что взял и то и сё. Удивился и задумался. Это, вроде, как мой выбор, но не совсем мой.
Оказывается, тут все не так просто.
В 80-х годах прошлого века ученые выяснили, что на выбор мозг тратит от 2 до 10 секунд, кроме того, решение мозг принимает за 6 секунд до того, как оно сформируется в ваших мыслях.
И принимают это решение два незаметных пездюка, в нашей голове - гипоталамус и цингулярная кора.
Это я узнал уже постфактум.
Ну, раз Гипоталамус и цингулярная кора мозга решили за меня, пусть теперь и отдуваются, мерзавцы мои, родные.
Особенности строения черепа человеческого тела
Интересно было прочесть, решил поделиться. Гипотеза о душе человека.
Особенности строения черепа тела человека давно привлекают внимание исследователей. Ведь его уникальное строение и форма продуманы до малейших деталей. В книгах Анастасии Новых даны определённые знания, позволяющие учёным прийти к удивительным научным открытиям.
«…следует обратить внимание на строение (форму) самого человеческого черепа изнутри и тканей, прилегающих к нему. Особое внимание заслуживают лобная, теменная и затылочная кости, с их особым рельефом. Это своеобразный биологический прототип вогнутых зеркал, способный фокусировать, поглощать и отражать волны разных частот. Данная конструкция служит хорошим резонатором (от латинского слова «resono» — «звуча в ответ», «откликаюсь»), то есть способна накапливать и фокусировать энергию колебаний и усиливать её»
А, как известно, вогнутые зеркала обладают свойствами приёмной и передающей антенны. Очевидно, что череп выполняет не только защитные функции по отношению к мозгу, но и принимает участие в других процессах информационного обмена
«мозг, по большому счёту, это уникальное биологическое устройство, выполняющее многие функции, служащее в качестве приёмника и передатчика информации не только из внешнего видимого, но и из невидимого мира, в том числе и внутреннего мира человека».
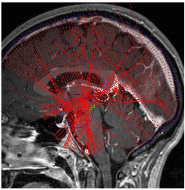
Об этой особенности уникального строения черепа тела человека люди знали с давних времён, но всё же ещё раз рассмотрим данный вопрос для общего понимания сути происходящих процессов в теле человека. Для анализа были взяты рисунки и фотографии МРТ снимков головного мозга, благодаря которым удалось выполнить первичный анализ уникальности строения черепа тела человека.
Необходимо сразу отметить, что данные результаты исследования получены путём анализа двумерных разрезов черепа тела человека. Для получения более адекватных результатов необходимо выполнить анализ 3D моделей черепа человеческого тела; проанализировать строение черепа мужского и женского тела; черепа тела взрослого человека и ребёнка и т.п. Подобные исследования проводятся краниологическими (изучающими нормальные вариации формы черепа у тела человека и животных) лабораториями.
Внутренняя поверхность черепа человеческого тела показана на рисунках синей линией. Именно к данной линии были построены нормали, которые образуют характерные области пересечений.
Рис. 1. Пересечения нормалей внутренней поверхности черепа.
Очевидно, что на большинстве представленных рисунков (рис. 1-5, рис.7-8) область пересечения нормалей совпадает с областью расположения шишковидной железы (эпифиза). Этот факт даёт предпосылки для более углубленного изучения данного явления, учитывая особенности эпифиза и его важность.
«У человека вообще данная шишковидная железа, находящаяся в задней части третьего желудочка между буграми четверохолмия, представляет собой нечто уникальное и особенное. Эпифиз человека, по сравнению с этим органом других высших позвоночных, был существенно преобразован в связи с двойственностью индивида: материальной и духовной. Поэтому эпифиз является не только хозяином тела человеческого, но и вратами в духовный, более высший мир, своеобразным порталом. Так что любое изменение состояния сознания проходит именно под контролем эпифиза».
Рис. 2. Пересечения нормалей внутренней поверхности черепа.
«Вес эпифиза постоянно нарастает до достижения человеком десяти — четырнадцати лет, то есть до периода полового созревания. Затем происходит существенный всплеск жизненной энергии — праны. И начиная с этого времени, если человек грязнет в материальном, как свинья в луже, вес эпифиза практически не изменяется. А если работает над собой духовно — это уже другой вопрос...».
«А про шишковидную железу знали давно и именно как железу, а не какое-то другое образование. Возьми хотя бы Древнюю Индию. За две тысячи лет до нашей эры там был целый расцвет учения об эпифизе. Уже тогда знали, что данная железа является в человеке не только органом ясновидения, памятью о прежних воплощениях души, но и основным чакраном концентрации высших энергий... Более того, эти же знания имелись еще раньше, в Древнем Египте у первых фараонов, хотя в несколько иной интерпретации. О шишковидной железе знали и в Древнем Китае, в том же Тибете».
Рис. 3. Пересечения нормалей внутренней поверхности черепа.
«…рингсэ — не что иное, как мозговой песок эпифиза. Этот песок до сих пор остается загадкой из загадок для современных ученых. А в древнем Тибете о нем уже знали как о месте накопления психической энергии…» .
Рис. 4. Пересечения нормалей внутренней поверхности черепа.
Рис. 5. Пересечения нормалей внутренней поверхности черепа.
«… Рене Декарт, …тоже высказал мнение о том, что душа имеет свое местонахождение в маленькой шишковидной железе, расположенной в центре мозга. Скажем так, он был близок к истине и почти докопался до сути... Более того, еще в те времена Декарт указывал на наличие функциональной связи между шишковидной железой и зрительной системой, что было доказано гораздо позже»
«Ведь сейчас уже ведется интенсивное изучение эпифиза, хотя только на стадии химизма. Но уже признается его ведущая роль в организме как важнейшего звена нейрогуморальной системы и нейроэндокринного органа. Ни у кого уже не вызывает сомнения, что эпифиз — главный посредник между внешней и внутренней средой организма, обеспечивающий регуляцию жизнедеятельности всех органов и систем в зависимости от условий обитания, то есть смены дня и ночи, времен года, температуры, влажности, активности электромагнитного поля Земли, уровня ионизирующей радиации и так далее. Известно, что именно шишковидная железа оказывает значительное влияние на поведение, в частности на исследовательское поведение, способность к обучению, память, локомоторную и судорожную активность, половое и агрессивное поведение. Уже открыли не только взаимодействие шишковидной железы с гипоталамо-гипофизарно-надпочечниковым комплексом, но и наличие эпиталамо-эпифизарной системы как параллельного дублирующего механизма при чрезвычайных ситуациях. Изучают иннервацию эпифиза с верхними шейными позвонками, то есть симпатическими нервами. Предпринимаются попытки изучить его связь с парасимпатикой. Отмечается влияние шишковидной железы на иммунитет, на нейроэндокринные железы... Благодаря последним достижениям науки, людям стала доступна информация о гистоструктуре, химическом составе, о некоторых эпифизарных гормонах и гормоноидах. Ведется изучение частотных характеристик шишковидной железы...»
Рис. 6. Пересечения нормалей внутренней поверхности черепа.
«Хотя медицина будущего, если, конечно, такое будущее настанет, раскроет тайну эпифиза. Это в принципе не так уж сложно. Достаточно научиться считывать информацию с его голограмм. Но если людская наука успеет добраться до этого, то мир перевернется»
Рис. 7. Пересечения нормалей внутренней поверхности черепа.
«Если сейчас люди копаются в изучении материального мира и грубых энергий, механизмов его управления, то, расшифровав структуры и информацию голограмм эпифиза, люди смогут научиться управлять и тонкими энергиями...»
Рис. 8. Пересечения нормалей внутренней поверхности черепа.
«…шишковидная железа, весом всего лишь в один карат. Но она играет огромную роль в жизнедеятельности организма. Это одна из самых загадочных частей головного мозга и человека в целом» .
«А кто же хозяин организма? — поинтересовался Макс у Сэнсэя, с опаской косясь в сторону Женьки.Эпифиз, — просто ответил Сэнсэй, словно само собой разумеющееся. — Итак, выяснили, что гипоталамус — главный подкорковый центр вегетативного обеспечения и контроля. Он принимает самое активное участие в регулировании деятельности сердечно-сосудистой системы, желудочно-кишечного тракта, температуры тела, биохимии организма, также регулирует биоритмы, чувство голода, аппетита, жажды, влияет на половое поведение и так далее. Ну и, конечно, гипоталамус координирует самые разнообразные формы нервной деятельности, начиная от состояния бодрствования, сна и заканчивая формированием положительных и отрицательных эмоций, поведением организма во время реакции адаптации...» .
«Именно в гипоталамусе находятся два древнейших центра (агатодемон и какадемон). Если на черепную коробку смотреть сверху, то эти центры в совокупности с шишковидной железой составляют своеобразный внутренний треугольник, вершина которого — эпифиз» .
«Мысли рождаются не именно в веществе мозга под названием гипоталамус. Они рождаются в этих центрах (агатодемон и какадемон), о которых я говорил. А данные центры — своеобразные чакраны тонкой материи, из природы которой и состоят наши мысли. И если тебе удалят данный участок мозга, то у тебя будут наблюдаться нарушения определенных психических функций мышления, восприятия, памяти и так далее, но мыслить ты от этого не перестанешь» .
«Прошлое для неё — это база информации, настоящее — это контроль и отслеживание информации, так сказать, в режиме он-лайн, то есть здесь и сейчас. Задняя Сущность является своеобразным порталом. Это «Наблюдатель», который непосредственно связан с шишковидной железой (эпифизом)» .
Довольно интересное совпадение касается черепного указателя человека. Черепной указатель — это отношение максимальной ширины мозговой коробки к её максимальной длине (аналогом черепного указателя на живом человеке является головной указатель). Среднее значение черепного указателя недеформированного черепа приближается к показателю ≈ 72 или ≈ 72% (например, если ширина головы 16 cм, а длина 22 cм, то черепной указатель будет равен ≈ 73 %. Так как (16/22)×100 % = 72.7 %. Из книги «АллатРа» [1] известно, что глобальная Вселенная содержит 72 измерения. Учитывая законы фрактальности во Вселенной, можно провести определённые аналогии между уникальным строением черепа тела человека.
ВЫВОД:
- Уникальное строение черепа тела человека делает его биологическим устройством (резонатором), способным фокусировать, поглощать и отражать волны разных частот.
- Нормали, построенные к внутренней поверхности черепа, пересекаются в определенных областях мозга, одной из которых есть зона эпифиза.
- Среднее значение черепного указателя человеческого черепа приблизительно равна 72%.
Гипоталамус
Выжить без гипоталамуса можно только с чьей-либо постоянной помощью. (Д Свааб)
У позвоночных животных гипоталамус (hypothalamus) представляет собой главный центр, отвечающий за регуляцию внутренней среды организма. Этот отдел мозга филогенетически является древним, поэтому у наземных млекопитающих его строение относительно одинаково, относительно организации более молодых структур таких, как neocortex (новая кора).
Гипоталамус представляет относительно узкий слой мозговой ткани, расположенный в промежутке между таламусом и разрывом ножек мозга. В нем расположены многочисленные высокодифференцированные ядра, регулирующие температуру тела, аппетит, водный баланс, углеводный и жировой обмен, сосудистый тонус и другие вегетативные функции, связанные с обменом веществ, в том числе с нейрогуморально-гормональным контролем. Здесь же находятся центры, осуществляющие регуляцию сна, сексуального и эмоционального поведения. Гипоталамус играет важнейшую роль в регуляции гомеостаза (постоянства внутренней среды организма), но, помимо решения физиологических задач, проявляет себя и в качестве:
1. Главного «сенсорного входа» в эмоциональную систему сигналов из внутренней среды организма;
2. Подкоркового интегратора информации, имеющей отношение к реализации эмоций;
3. «Выхода» для импульсов, обеспечивающих внешнее выражение эмоциональных состояний.
Именно гипоталамус передает во фронтальную кору возбуждение мотивационного характера. Исключительно велика роль связи ретикулярной формации с находящимися в гипоталамусе центрами, обеспечивающими пластичность и динамическую устойчивость внутренней среды организма.
Кроме того, к структурам гипоталамуса анатомически относят гипофиз — железу внутренней секреции и зрительную хиазму — место неполного перекрестья зрительных нервов.
Эта область мозга осуществляет прямой контроль над всей эндокринной системой через посредство специфических нейронов, регулирующих секрецию гормонов передней доли гипофиза, а аксоны других гипоталамических нейронов оканчиваются в задней доле гипофиза. Здесь эти окончания выделяют медиаторы, которые циркулируют в крови как гормоны.
Свои функции гипоталамус обеспечивает с помощью вегетативных, соматических и гормональных механизмов. Идею, что клетки мозга могут производить гормоны, впервые выдвинули в 1940-е гг. Эрнст и Берта Шаррер. Они увидели в микроскоп зернышки (гранулы) в больших мозговых клетках гипоталамуса и предположили, что это упакованные гормоны, поступающие в кровоток. Эта революционная концепция вызвала чересчур эмоциональную реакцию их коллег. Они отвергали ее «с яростью, а то и со злобой». Из наблюдений супругов Шаррер возникла научная дисциплина нейроэндокринология.
Гипоталамус имеет решающее значение для выживания вида, потому что именно он ответствен за размножение. А для индивидуума, потому что он управляет многими процессами в организме. Выжить без гипоталамуса можно только с чьей-либо постоянной помощью потому, что у такого индивидуума отсутствуют основные гомеостатические механизмы.
Если удалить человеку гипоталамус, функции гипофиза также совершенно исчезнут. После такой операции сильно повреждается память. Возникает расстройство сна из-за повреждения биологических часов, полностью исчезает сексуальная активность. Расстройства памяти и концентрации внимания восходят, к отсутствующей гистаминной системе, играющей важную роль в фокусировании внимания. Также нарушается пищевое поведения, полное отсутствие температурной регуляции. Этот со всей ясностью демонстрирует, сколь много важнейших жизненных функций регулируется гипоталамусом, всего лишь небольшим участком мозговой ткани.
Хотя среди скоплений гипоталамических нейронов имеется несколько четко отграниченных ядер, большая часть гипоталамуса представляет собой совокупность зон с нерезкими границами. Однако в трех зонах имеются достаточно выраженные ядра.
Перивентрикулярная зона непосредственно примыкает к третьему мозговому желудочку, который проходит через центр гипоталамуса. Выстилающие желудочек клетки передают нейронам перивентрикулярной зоны информацию о важных внутренних параметрах, которые могут требовать регуляции, – например, о температуре, концентрации солей, уровнях гормонов, секретируемых щитовидной железой, надпочечниками или гонадами в соответствии с инструкциями от гипофиза.
Медиальная зона содержит большинство проводящих путей, с помощью которых гипоталамус осуществляет эндокринный контроль через гипофиз. Весьма приближенно можно сказать, что клетки перивентрикулярной зоны контролируют действительное выполнение команд, отданных гипофизу клетками медиальной зоны.
Через клетки латеральной зоны осуществляется контроль над гипоталамусом со стороны более высоких инстанций коры большого мозга и лимбической системы. Сюда же поступает сенсорная информация из центров продолговатого мозга, координирующих дыхательную и сердечно-сосудистую деятельность. Латеральная зона – это то место, где высшие мозговые центры могут вносить коррективы в реакции гипоталамуса на изменения внутренней среды. В коре, например, происходит сопоставление информации, поступающей из двух источников – внутренней и внешней среды. Если, скажем, кора сочтет, что время и обстоятельства не подходят для принятия пищи, донесение органов чувств о низком содержании сахара в крови и пустом желудке будет отложено в сторону до более благоприятного момента Игнорирование гипоталамуса со стороны лимбической системы менее вероятно. Скорее эта система может добавить эмоциональную и мотивационную окраску к интерпретации внешних сенсорных сигналов или же сравнить представление об окружающем, основанное на этих сигналах, с аналогичными ситуациями, имевшими место в прошлом.
С точки зрения нейроэндокринной регуляции важно, что нервные клетки гипоталамуса постоянно оценивают концентрацию основных гормонов, которые находятся в нашей крови. Гормоны щитовидной железы, половых желез, надпочечников – все эти гормоны отслеживаются гипоталамусом. Гипоталамус врожденно «знает», сколько их должно быть, и у него есть способы донести до конкретных эндокринных желез сигнал о том, что надо выделять больше или меньше гормонов. При этом гипоталамус использует в основном воздействие на гипофиз.
Гипоталамус регулирует уровень выделение гормонов эндокринными железами с помощью гипофиза. На высвобождение гормонов из гипофиза влияют гормоны, производимые нейронами гипоталамуса, они оказывают стимулирующее действие (рилизинг-гормоны) или тормозящее (ингибирующие гормоны). Эти гормоны высвобождаются гипоталамусом и через кровь попадают в переднюю долю гипофиза. Секреция рилизинг-гормонов зависит от содержания в плазме крови гормонов периферических эндокринных желез.
Есть конкретная эндокринная железа – щитовидная. Она выделяет тироксины – важные гормоны, от которых зависит общий уровень активности каждой клетки нашего организма. Для того чтобы щитовидная железа выделяла правильное количество тироксинов, есть гипофиз, выделяющий тиреотропный гормон, и этот гормон говорит щитовидке, с какой активностью работать. Но над гипофизом находится гипоталамус, который с помощью своих гормонов, называющихся рилизинг-гормоны, говорит гипофизу, сколько выделять тиреотропных гормонов и в конечном итоге менять активность щитовой железы. Если тироксинов слишком мало, гипоталамус это чувствует, выделяет тиролиберин, от этого гипофиз начинает выделять больше тиреотропного гормона, и щитовидная железа начинает выделять больше тироксина. Подобного рода регуляторные контуры характерны не только для щитовидной железы, но для коры надпочечников, половых желез, подобным образом контролируется выделение гормонов роста.
Общий принцип регуляции заключается в том, что при повышении содержания в плазме крови гормонов периферических эндокринных желёз уменьшается выброс соответствующих рилизинг-гормонов в область гипоталамуса, что влияет на уменьшение секреции гормона в гипофизе, а это в свою очередь уменьшает выделение гормона периферической железой.
Нейроны гипоталамуса, вырабатывающие рилизинг-гормоны и ингибирующие гормоны, иннервированы многочисленными интраи- и экстрагипоталамическими нейронами. Наиболее сильные импульсы поступают из среднего мозга через норадренергические, адренергические и серотонинергические нейроны, а также из лимбических структур, особенно из миндалевидного тела и гиппокампа. Эта иннервация позволяет интегрировать внешние и внутренние воздействия (главным образом через средний мозг) и эмоциональные стимулы (главным образом через лимбические структуры) с нейроэндокринной регуляцией. В свою очередь средний мозг и лимбические структуры получают афферентные сигналы из гипоталамуса, в результате чего происходит обмен информацией. Образование рилизинг-гормонов и ингибирующих гормонов тоже регулируется по принципу обратной связи и зависит от концентрации гипофизарных гормонов или результата их действия.
Кроме этих функций, нейроны гипоталамуса и сами способны выделять гормоны прямо в кровь – такие гормоны, как, например, окситоцин и вазопрессин. Аксоны нервных клеток центральной зоны гипоталамуса (серый бугор гипоталамуса) идут в заднюю долю гипофиза, где прямо в кровь из этих аксонов выделяются окситоцин и вазопрессин. Окситоцин – это известный гормон, влияющий на сокращение матки при родах, молочных желез при кормлении ребенка. Кроме того, окситоцин известен сейчас как медиатор привязанности. Вазопрессин (антидиуретический гормон) – это гормон, влияющий на работу почек и центров жажды. От концентрации вазопрессина зависит наша текущая потребность в жидкости.
Вместе с кортикальным и лимбическим компонентами гипоталамус выполняет также множество рутинных интегрирующих действий, причем на протяжении значительно более длительных периодов времени, чем при осуществлении кратковременных регуляторных функций. Гипоталамус заранее «знает», какие потребности возникнут у организма при нормальном суточном ритме жизни. Он, например, приводит эндокринную систему в полную готовность к действию, как только мы просыпаемся. Он также следит за гормональной активностью яичников на протяжении менструального цикла; принимает меры, подготавливающие матку к прибытию оплодотворенного яйца. У перелетных птиц и у млекопитающих, впадающих в зимнюю спячку, гипоталамус с его способностью определять длину светового дня координирует жизнедеятельность организма во время циклов, длящихся несколько месяцев.
Литература:
Бизюк А. П. | Основы нейропсихологии
Блум Ф., Лейзерсон Α., Хофстедтер Л. | Мозг, разум и поведение
Свааб Дик | Мы – это наш мозг. От матки до Альцгеймера
Шмидт Р., Тевс Г. | Физиология человека


































