Как найти рак на ранней стадии для чайников (рак желудка)
Ежедневные 40+ минут в метро на работу и домой надо чем то занимать. Везёт тем кто спать умеет. Или читать. У меня вот не получается. Так что продолжу писать, как известно чукча писатель. Тем более, что про рак желудка же обещал, надо держать слово, пацан сказал - пацан сделал и прочие принципы дворового детства.
Вообще рака желудка становится меньше и причины этого две. Первая, которая начала действовать в прошлом веке, заключается в том, что у людей появились холодильники и народ перестал жрать протухавшую солонину, что являлось сильным канцерогеном. Вторая, что улучшилась гигиена и в многих странах частота встречаемости бактерии хеликобактер пилори (далее НР) снизился. Причём здесь она?
Если грубо, то рак желудка развивается 2мя способами, первый это генетически обусловленный, типа наследственного диффузного рака желудка, второй, гораздо более распространённый, это рак развивающий по каскаду Correa. Он включает в себя несколько этапов. Начинается все банально.
Живёт себе человек со здоровым желудком и вдруг его хозяин заражается НР. Как? Да как угодно, решит сходить в общественный сортир и не помыть руки, покушать к кафе "У Ашота", где тарелки и ложки моют только в национальные праздники или страстно поцеловаться с только что "снятой" в клубе дамой (да да, это ВИЧ со слюной не передаётся, а вот НР - вполне). Короче говоря, передача может быть через слюну, г.. о и зараженную воду или пищу (не злите лучше официанта, а то плюёт вам в цезарь, а у него хеликобактер).
Дальше все зависит от взаимодействия бактерия-хозяин. Организм может просто убить НР. Лучший исход. Либо НР поселится в слизистой желудка и будет там жить.
Тут тоже есть варианты, но тк мы разговариваем о раке, то нас интересует возникновение хронического воспаления слизистой желудка те хронического гастрита.
Да, хронический гастрит не болит. Не снабдила природа (или бог, что бы ничьи чувства не оскорблять) такими нервным окончаниями слизистую. Даже когда какой полип в желудке отрезаем, не чувствует боли человек.
Длительное воспаление приводит к прогрессирующей атрофии (слизистая желудка истончается, теряет свои "рабочие" клетки), потом на мести слизистой желудка возникает слизистая кишечного типа (так называемая кишечная метаплазия), а потом дисплазия (ещё доброкачественные изменения движущиеся в сторону рака), которая бывает лёгкой и тяжёлой степени, а потом рак. Вот такой каскад. Происходит это не за неделю или месяц и даже год, а занимает десятки лет.
Можно ли прервать этот процесс и даже обратить его в спять? Да. Убрав провоцирующий фактор, те убить НР. Но сделать это вовремя. Лучше бы пока нет выраженной атрофии. Но обязательно пока не развилась кишечная метаплазия. Она уже, увы, не обратима.
Японцы, которые, как мы знаем в почётной тройке по частоте рака желудка (Россия вроде была на 21 месте), разработали программу по элиминации рака желудка, которая заключается в выявлении HP инфекции у молодёжи (сташекласники и студенты) и её лечение.
Как выявляют рак желудка на ранней стадии? Опять же скрининг.
Скрининг рака желудка действует только в Японии (аж с 1983 года) и Южной Кореи. В Японии это либо эгдс, либо рентген (флюорография) желудка, в Корее - эгдс.
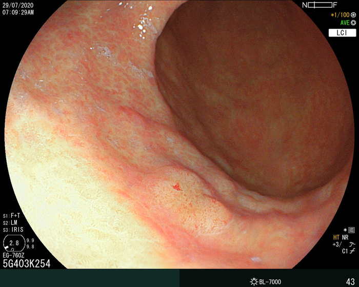
Рак желудка на 1 ст достаточно маленький и, как правило, плоский и пропустить его проще простого. Прикреплю к посту пару фото, для иллюстрации. Поэтому его поиск требует определённых критериев качества осмотра. Например длительность. Не менее 7 минут. Спокойное поведение пациента - если человека постоянно тошнит , он крутится и вообще пытается выдернуть "шланг", то ничего найти практически не возможно. Надо отмыть слизистую желудка от слюны, расправиться складки и тд. Но пропускают, даже а Японии. Хорошо, что рак на ранних стадиях растёт медленно. Даже пропущенный ранний рак через 3 года, во многих случаях, остаётся ранним (те ограниченным слизистой или подслизистым слоем стенки желудка), когда шансы на выздоровление более 90%. Правда это в основном касается кишечного (дифферинцированного) типа рака.
Кроме того, во время осмотра должны определить, относитесь ли вы к группе риска или нет и как часто вам надо контролироваться. К группе риска относятся люди с тяжёлой атрофией слизистой оболочки (когда она занимает антральный отдел и значительную часть тела желудка) и распространённой кишечной метаплазией. Определяют их на глаз (японский подход) или взятием множественной биопсии по OLGA (европейский подход).
Люди в группе риска должны делать эгдс раз в 1-2-3 года (в разных рекомендациях по разному, для меня 1 раз год) . Вне группы риска раз в 3-5 лет.
Программы скрининга рака желудка у нас в стране нет. Поэтому сами, сами...
Когда начать? Ну хотя бы в 45, японцы советуют в 50, но это вопрос общенационального скрининга. До этого можно проверить есть ли НР и решить для себя, стоит ли с ним расстаться (я расстался, но мне повторно заразиться легко, профессиональный риск).
Какая альтернатива Эгдс? В РФ наверно никакой, ну как то редко у нас делают рентген, на котором можно ранний рак найти. Можно, конечно сдать так называемую гастро панель, где нас будет интересовать наличие того же НР и соотношение Пепсиноген1/Песиноген2 которые вырабатывается в разных частях желудка и по нему можно судить про наличие атрофии. Но этим анализом Вы максимум решите, находитесь ли вы в группе риска, искать рак таким способом бессмысленно.
Да, рак желудка на ранней стадии не чувствуется, не болит, не колит, не режет и анализы как у космонавта и по онкомаркерам его не найти.
Был у меня знакомый, спортивный, здоровый образ жизни, восточные практики тд. который как то не только сам смог вынырнуть из провалившейся под лёд машины, но и нырнуть в полынью опять и вытащить ещё одного, а потом по морозу добежать с ним до берега и жилья километра 3. А примерно через год умер от рака желудка. Когда он нырял и бегал, рак уже вполне присутствовал, но быть ему выносливым и сильным мужиком абсолютно не мешал.
Наследственность. Понятно, что она играет роль при любом виде рака желудка, особенности ответа организма на инфекционных агент тоже вещь наследуемая. Но значение генетики наиболее велико при наследственном диффузном раке желудка. Если ваш родственник (жена и тесть с тёщей не считаются) заболел/умер (а в этих случаях исход чаще таков) в возрасте до 50 лет от диффузного типа (низкодифференцированный, перстневидноклеточный) рака желудка, то уже стоит очень напрячься.
А если случаев у родственников 1-2 уровня два и один из них до 50 лет, или 3, вне зависимости от возраста, то увы, ваша семья попадает под диагностическая критерии и вы в группе высокого риска. Тут надо бежать и сдавать на мутацию гена CDH1, при его наличие риск развития рака желудка около 80%, но и отсутствия мутации не должно успокаивать. Гастроскопия 1 раз в год с 20, ну с 25 лет у самого лучшего врача которого найдёте с биопсией из любой подозрительно точки. Без вариантов. Если мутация найдена, то вообще рекомендуется профилактические удаление всего желудка тк диффузный тип рака сложно найти на ранней стадии, а на запущенной стадии это полная ж...
Полипы желудка. В развитии рака они имеют значительно меньшую роль чем в толстой кишке. Гиперпластические полипы до 1 (некоторые авторы говорят до 2 см) можно не трогать, если нет симптомов с ними связанных, типа анемии. Аденомы надо удалять. Фундальные полипы, как правило безопасны - не трогать. Для того, чтобы сказать какой полип - берут биопсию.
Суммируя:
1. НР однозначно играет роль в развитии рака желудка, лучше бы с ним расстаться, а если уж стала развиваться атрофия, попрощаться с ним нужно.
2. Эгдс лучший способ поиска рака желудка на ранних стадиях, при правильном выполнении.
3. Если у вас тяжёлая атрофия и метаплазия вы в группе риска - делайте эгдс раз в 1-2 года.
4. Если вы подходите по критериям в наследственный диффузный рак желудка выполните генетической обследование и обсудите дальнейшие действия с вашим врачем.
5. Если по критериям не подходите, но все же были родственники с раком в молодом возрасте - начните выполнять эгдс пораньше и делайте раз в 1-2 года (чистое имхо).
Как то так. На вопросы попытаюсь ответить.
Вот эта маленькая штучка на 6-7 часах, ранний рак
И эта на 6 часах тоже
Тёплый ламповый Сбер
Куча сервисов, ипотека, доставка, цифровое пространство. Ребрендинг - даже в штаб-квартире на Вавилова на крыше огромный вращающийся логотип уже поменяли. Все лишь бы уйти от наследия сберкассы. Но...
- Девушка, у меня через два месяца перевыпуск карты. Могу я ее забрать не в том отделении, где оформлял, а в этом?
- Нет, карта перевыпускается в том отделении, где вы ее получали. Вам же должно было смс прийти.
- Ну давайте я заявление какое-то напишу, чтобы сюда прикрепится.
Взгляд как на идиота.
- Нет, карта перевыпускается в том отделении, где вы ее получали.
- То отделение на другом конце города и работает по будням с 9 до 19. Мне чтобы карту поменять придётся на полдня с работы отпрашиваться, а это отделение в соседнем доме.
- Вы можете попросить кого-то, кто сможет забрать вашу карту.
- Что просто так прийти и забрать?
МХАТовский отыгрыш:
- О боги, нет! Конечно же с нотариально заверенной доверенностью!
А так да. Экосистема, айти и технологии будущего.
Купил мото , а он оказался в аресте
Всем доброго утра понедельника , прошу совета , в аппрете месяце купил мотоцикл , подписали дкп (брал у владельца ) , параллельно пошёл учиться на категорию А, (на учёт поставить без категории не мог , Мото стоял в гараже) , в июле продавец снял его с учёта , и вот спустя время я понял что времени на мото нет , на права так и не доучился , решил я его продать , но не тут то было , на мото наложили арест приставы в августе . То есть , вкратце , купил в апреле , а июле бывший собственник снял его с учёта , в августе на мото наложили арест по его долгу .
Вопрос , что делать в таком случае ? До бывшего хозяина добрался , про долги он конечно не знает , он записался к приставу который только через месяц будет свободен , сам я могу что то предпринять в таком случае ? Как вообще лучше поступить? Заранее спасибо )
ТОП-10 СТРАН ПО ИМПОРТУ БУМАГИ (1961-2019) [ИНФОГРАФИКА]
Инфографика показывающая кто из стран импортировал пишущую и печатную бумагу и в каких количествах. В период с 1961 по 2019 год.
Ед.Измерения - кубический метр.
Статистика: FAO
Ютуб-канал: http://www.youtube.com/channel/UCIzoYSMuqvlzDNtw5jV6CJg
Буду рад каждому!





