fakir22

fakir22

\_``_/
Пикабушник
136К рейтинг 162 подписчика 4 подписки 243 поста 92 в горячем
Награды:
С Днем рождения, Пикабу! лучший пост недели лучший авторский пост недели лучший авторский текстовый пост недели лучший авторский пост недели лучший авторский текстовый пост недели
18

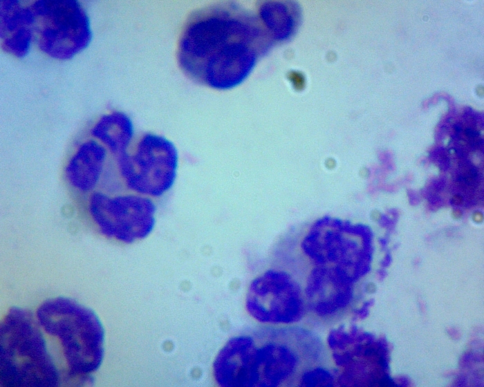
Назоцитограмма своими руками. Удивительный микромир соплей

Я не врач, но у меня есть микроскоп и я смотрю через него на всякое. На этот раз я решил поковыряться в носу и посмотреть. В официальной медицине это называется риноцитограмма или назоцитограмма.

Делается просто - размазываем сопли по предметному стеклу, добавляем краситель (метиленовый синий или Романовского — Райта) и смотрим.

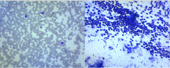
Результат для меня оказался ошеломляющим. До этого я изучал лейкоциты в крови и там они встречаются очень редко - 1 на 1000 эритроцитов. А тут, в соплях, оказывается их сотни!!! Зачем они там мне - непонятно. Ведь это выброшенные наружу клетки и ничем особо помочь организму они уже не смогут. 

Вот для сравнения в одинаковом увеличении кровь (слева) и назоцитограмма (справа). Синие точки на фото - это лейкоциты!

При

При

При увеличении в x400 я даже подумал, что это не просто лейкоциты,а эозинофилы (что означает, что у меня аллергический ринит).

Но при увеличение x4000 я понял, что это нейтрофилы, а это вроде нормально для здорового человека.

Вот еще интересное видео, где видно интересное перемещение клеток (они выстроились в цепочку) и видно какое-то интенсивное движение в цитоплазме клеток. Это все в реальном времени.

На следующем видео гибель клеток. Они лопнули скорее всего из-за красителя.

Показать полностью 4 2
54

Скорость мочеиспускания: теория и эксперимент. Часть 2 — Как быстрее: стоя или сидя?

Как быстрее: стоя или сидя? - Этот вопрос беспокоит как российских ученых, так и ученых всего мира на протяжении многих лет. Вот пример из научной статьи, где обобщаются результаты измерений, сделанных в разное время, различными группами исследователей.

Черточки сдвинутые влево - это исследования, показавшие, что сидя медленнее, а сдвинутые вправо - что сидя быстрее. Видно, что результаты исследований не показывают однозначный результат, хотя большинство исследований все-же показывает большую среднюю скорость в положении сидя.

Колонки слева на право: Авторство, год публикации, количество испытуемых, средняя разница скорости струи в мл/сек. Коэффициент доверия к результату. Большой прямоугольник внизу - усредненный результат.

Колонки слева на право: Авторство, год публикации, количество испытуемых, средняя разница скорости струи в мл/сек. Коэффициент доверия к результату. Большой прямоугольник внизу - усредненный результат.

Большой прямоугольник внизу графика показывает усредненный результат, который несколько сдвинут в сторону большей скорости в положении сидя, но он статистически незначимый (пересекает нулевую линию) - т.е. разница может быть объяснена случайностью .

Я предположил, что эффект проявляется индивидуально и решил прояснить этот вопрос для самого себя.

Я провел более 30 измерений, в которых измерялся общий объем путем взвешивания мочи, а общее время засекалось с помощью ручного секундомера. В ходе анализа данных (результаты которых опубликованы в предыдущем посте) выяснилось, что при малых объемах средняя скорость сильно зависит от общего объема. Поэтому на первом этапе анализа результаты с объемом меньше 200 мл были исключены. Результаты измерений показаны на графике.

На графике границы прямоугольников и средняя линия отмечают соответственно 25%, 50%, 75% процентиль. Линиями за пределами прямоугольника отмечены максимальные и минимальные значения.

На графике границы прямоугольников и средняя линия отмечают соответственно 25%, 50%, 75% процентиль. Линиями за пределами прямоугольника отмечены максимальные и минимальные значения.

В положении стоя среднее значение скорости было ниже на 1.5 мл/сек, однако критерий Стюдента не выявил статистически значимой разницы среднего значения (p-value = 0.2). Т.е. в 20% случаев такое и большее различие может быть получено случайно при абсолютно равных скоростях.

Статистический анализ методом линейной регрессии с использованием всех данных и учетом зависимости от конечного объема показал влияние положения, близкое к статистически значемому (p-value = 0.07), при этом расчет показал, что в положении сидя скорость увеличивается так-же на 1.5 мл/сек.

Показать полностью 2
15

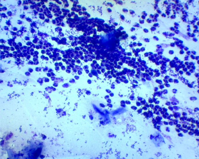
Бактерии на входе и на выходе

На первых двух роликах материал взят с зубной щетки и подкрашен метиленовым синим. Большую часть экрана на первом ролике занимает клетка эпителия, но внизу видно движение нескольких бактерий. На втором показана область максимального скопления бактерий в пробе.

Следующие два ролика - это кал с туалетной бумаги, тоже подкрашенный фиолетовым синим. Просто какое-то невероятное скопление бактерий. Честно говоря было неожиданно увидеть такое. У меня возникли большие сомнения в том, что тут хоть что-то могут изменить пробиотики.

Снято с помощью AmScope, увеличение x4000 (x40 окуляр с камерой и x100 объектив)

Показать полностью 3
42

Скорость мочеиспускания. Теория и эксперимент

Ни для кого не секрет, что скорость мочеиспускания зависит от степени наполненности мочевого пузыря. Однако мало кто задумывается, как именно выглядит эта зависимость в математических выражениях. Я попытался вывести эту формулу теоретически, а затем проверить экспериментально. И вот что получилось.

Предположим, что истечением жидкости происходит только под действие силы тяжести, а мочевой пузырь имеет вид цилиндрической емкости. Тогда скорость струи подчиняется формуле Торричелли (см. школьный курс физики). Проинтегрируем ее, чтобы получить выражение для средней скорости, которую легко проверить в домашних условиях.

Таким образом средняя скорость мочеиспускания пропорциональна корню квадратному из вытекшего объема.

Для экспериментальной проверки зависимости мне пришлось много раз посетить туалет с секундомером. Для измерения объема я просто взвешивал "результат" специально купленными весами с точностью до 0.1 грамма.

К моему удивлению полученные данные вполне укладывались в выведенную математическую зависимость.

На графике кружочками представлены экспериментальные результаты, а пунктирной линией модель, коэффициент которой подогнан к данным методом наименьших квадратов.

Интересно, что подобные модели вполне используются в научных работах.

Показать полностью 3
20

Водоросль под микроскопом. Непонятное, но красивое

Подобрал подсохшую морскую водоросль (кажется ламинария). Подкрасил метиленовым синим и посмотрел в микроскоп. Особо ничего не покрасилось, не понятно, что вижу (где ядро клетки?).

А еще там внутри что-то подозрительно шевелится.

Показать полностью 2 1

Желание есть на ночь зависит от дня недели, атмосферного давления, температуры и влажности воздуха!

Увеличение температуры атмосферы на 1 градус заставляет съесть на ночь дополнительно 129 граммов еды. Увеличение влажности на 1% дает добавку к позднему ужину в 29 грамм. Увеличение атмосферного давления на 1 мм. рт. ст. дает добавку в 138 граммов еды. А каждую субботу возникает непреодолимое желание съесть на ночь дополнительно 575 граммов по сравнению с любым другим днем недели!.

Т.е. если, например, сегодня суббота, температура атмосферного воздуха упала на 1 градус, давление поднялось на 2 мм.рт.ст. а влажность воздуха увеличилась на 4% по сравнению с пятницей, то это заставит меня съесть на ночь дополнительно -1*129+4*29+2*138+575=838 граммов еды, независимо от моего отчаянного желания похудеть.

Эту формулу я вывел на самом себе вот каким образом.

В течении 70 дней я сильно пытался сбросить вес. Я стремился голодать, но поздно вечером терпению моему приходил конец и я что-то съедал. На утро я взвешивался и разница между вчерашним и сегодняшним весом зависела от того, сколько я съел на ночь (днем был только кофе и никакой еды). Вот эти колебания веса я и решил сопоставить с погодой и днями недели.

В результате статистического анализа методом линейной регрессии получилась модель колебания моего веса с четырьмя переменными - тремя численными (колебания температуры, давления и влажности) и одной категориальной "'сегодня суббота (ДА/НЕТ)".

Вот как выглядит модель моего веса рассчитанного по формуле (синяя линия) и реальные данные (серая линия).

Желание есть на ночь зависит от дня недели, атмосферного давления, температуры и влажности воздуха!

Модель объясняет 22% вариации веса (со статистической значимостью pval=0.0005). Все параметры модели статистически значимы, т.е. наблюдаемую зависимость от давления, температуры, влажности и дня недели нельзя объяснить случайностью.

Особенность влияния субботы на мой вес оказалась очевидной - жена по субботам ходит на рынок и покупает что-то такое, от которого мне просто невозможно отказаться и не съесть (типо персики, копченая рыба).

С температурой и влажностью сложнее. Очевидным кажется, что с повышением и того и другого я больше пью жидкости. Однако это температура воздуха и влажность на улице, где я провожу не более часа в день, а остальное время в помещениях с постоянной температурой влажностью (кондиционеры всегда работают). Кроме того, взвешиваюсь я на утро после туалета, что должно убирать всю выпитую вечером жидкость из измеренного веса. Так что я именно ем больше.

Но почему рост температуры вызывает аппетит, хотя все отмечают обратное. Думаю дело в кондиционере - чем выше температура на улице, тем прохладнее воздух кажется при входе в помещение.

С зависимостью от атмосферного давления совсем ничего не могу предположить. Каким-то образом оно влияет на мой аппетит.

Показать полностью 1
31

Что находится в таблетке пробиотика. Биохакинг в домашних условиях

Купил пробиотики и задумался, а откуда я знаю, что там действительно какие-то бактерии, может там просто сахар в капсулах. Занялся биохакингом - вскрыл капсулу, насыпал на предметное стекло микроскопа, добавил каплю воды и метиленовый синий краситель. Вот что получилось (увеличение x400 и x4000).

Не соврали, бактерии есть и их очень много (почти как в поддоне моей кофемашины)

Интересно, что они как-то быстро ожили. Капнул воды на сухие гранулы, через несколько минут посмотрел, а они уже шевелятся.

Вот еще снимок, попытался фокус настроить, лучше не получается

Вот как выглядит состав пробиотика

Показать полностью 2 1
Отличная работа, все прочитано!