Ответ на пост «Почему гомеопатия и детокс - это сплошной обман и мракобесие?»6
У этих весёлых палачей ещё есть коллеги из религий - причём, сразу очень многих.
Мой родственник обнаружил у себя несложный рак на довольно ранней стадии. Будучи ещё мужчиной крепким и недряхлым, у него были все шансы если не на полную ремиссию, то на 90-98% 5-летнюю выживаемость.
Причём сам он был с медицинским образованием, и всю жизнь проработал врачом, даже после получения диагноза. Но будучи при этом ещё и глубоко религиозным человеком, он послушал не коллег-онкологов, а своих батюшку приходского и духовника (это, видимо, разные люди).
Так, первый год был потрачен на паломничества, диеты (монастырские коржики, святая вода) и молитвы. Причём, у нас не было проблем с деньгами - во-первых, государство очень хорошо поддерживает онкобольных, так ещё и мы сами бы потянули бы лечение. Но нет - деньги пачками уходили в поездки на Валаам, Сергиев Посад, на покупку каких-то "специально для этого рака" свечек и артефактов в церквях, ну и так далее. Ладно бы только деньги - ВРЕМЯ. То самое время, с уменьшением которого в геометрической прогрессии уменьшались и шансы на успешное лечение.
Так, где-то года через полтора, уже на 3й стадии, родственник сдался на давление семьи и позволил себя водить по больницам, диспансерам. Но биология - штука бессердечная. Очень быстро оказалось, что стадия уже не 3я, а метастазы прошли куда только можно и нельзя (включая метастаз в позвоночник, из-за которого родственник, и без того уже похожий на тень, в принципе стал лежачим пациентом).
К моменту, когда удалось уговорить пациента на доказательную медицину, уже бессильными оказались и операция, и химия.
Так, мужчина с интересной полезной и нужной профессией, семьёй, постоянными пациентами не дожил до пенсии, где уже был подготовлен дачный домик, парник и внуки, как по заказу появившиеся, чтобы проводить лето в деревне у дедушки и бабушки.
"Бабушка" тоже в этот домик в деревне, который они с мужем купили к своей пенсии за пару лет до диагноза, перестала ездить туда почти полностью - только по делам и не оставаясь на ночь. Она ушла с работы, когда мужа, будучи уже на третьей стадии, таки уговорили на лечение, и все ужасы (включая ежедневно протекающие колостому и мочеприёмник) прошла вместе с ним до конца.
Ответ на пост «Почему гомеопатия и детокс - это сплошной обман и мракобесие?»6
Здравствуйте, к сожалению автор поста не внимательно слушал семинар. Выступавшие врачи не умоляли ни один из методов лечения. Акцент был сделан на то, что ни один из методов лечения не дает высокой выживаемости пациентов, а некоторые методы химиотерапии и лучевой терапии провоцируют метастазирование и другие виды рака. На конференции было подчеркнуто , что раковая клетка распространяется как минимум 14 путями, поэтому и защищаться от рака надо также многими путями, в том числе и теми, которые активно используются в других странах, например в Германии, Мексике, Китае, Индии, Японии.
На конференции приводились конкретные данные , в том числе и института им. Блохина об эффективности комбинированного лечения .
К сожалению, современные онкологи не комбинируют методики лечения. Например, в городе есть барокамера, которая значительно повышает эффективность химио и лучевой терапии, а также выживаемость при хирургическом лечении. Но онкологи не назначают барокамеры, так как не знают ее.
На конференции подчеркивалась важная роль сопровождения онкологических больных после химио или лучевой терапии. Эти пациенты сейчас брошены. Их восстановлением никто не занимается, а ведь у них высокий риск инсультов и инфарктов в течение года!!! И здесь сильно бы смогла помочь фитотерапия или физиотерапия.
Поэтому, такие конференции нужны. С уважением, Дмитрий
Ответ на пост «Почему гомеопатия и детокс - это сплошной обман и мракобесие?»6
А когда во время серьезной эпидемии Минздрав официально фуфломицин, ой, простите, арбидол... ааа, блин, умифеновир - вагонами отгружает - это вам нормально заходит? Делать деньги на чужом горе - вполне себе в духе времени. Бигфарма гомеопатию тоже штампует нормально
У многих людей на определенном этапе жизни опыт вступает в конфликт со знаниями. То есть современная наука не может объяснить некоторые явления. Конкретно в случае с раком - у этого явления даже название есть - "синдром Перегрина". И, наука не отрицает психосоматическое излечение вообще, обозначив его эффект плацебо. Проблема в том, что это создает очень мутную среду для обитания в ней всяческих персонажей, типа вышеозначенных.
За использованием перекиси водорода, например, и ее пользы для организма стоит товарищ Неумывайкин. Вполне себе врач. Как минимум - в прошлом. Но с крайне сомнительными нынче методами.
Касательно же детокса - тут много всего. Включая многомиллиардные современные исследования по продлению жизни. Ну, и Хаббард в придачу.
В общем - в лекции намешано все, что было в истории, с абсолютно безграмотной подачей, что - неудивительно.
Что я хотел сказать? Возможно, в гомеоматии, остеопатии и прочих - есть здравое зерно. По крайней мере - иногда они помогают. По мне - это уровень не хуже официально признанной психологии. Но, основная мысль в том, что науке науке нужно отделять зерна от плевел. Потому что - это научно. А отрицая все разом - она сама и создает условия для существования всяческих мошенников и псевдоцелителей.
Ответ на пост «Почему гомеопатия и детокс - это сплошной обман и мракобесие?»6
К мракобесу вопросов нет, с ним все понятно - бабло тянет, пидр. Но что скажет светило современной науки - автор поста? В чем же истинные причины рака? Что скажет на этот счет "доказательная медицина"? Какие есть способы профилактики, что бы избежать болезни? Ой, пуньк-среньк. Да как так-то?? А почему современные протоколы все равно приводят к леталу? Операция, множественные химии, а потом все равно гроб-гроб-могила. Хрен с ним с раком, с ним все понятно. Но что еще может вылечить современная доказательная медицина? Простуда, себарийный дерматит, аденоиды (без операции), язвенный колит, больные зубы, геморрой, может быть аппендицит, или камни в почках растворяют безболезненно? Мое тупорылое имхо - тут классическая аксиома Эскобара. В наше время без минимального понимания происходящего и критического мышления не выжить. Если у тебя возникает проблема любого рода (не только по здоровью), ты просто обязан хотя бы на минимальном уровне уметь разобраться в самых азах этой проблемы. Иначе тебя наебут мракобесы, не смогут вылечить врачи, и только лишь хирург потом принесет облегчение (возможно временное), отхуярив что-нибудь.
Почему гомеопатия и детокс - это сплошной обман и мракобесие?6
Прежде чем начать свое длительное расследование, хотелось бы рассказать немного о себе. Я врач-хирург. Имею повышение квалификации в области онкологии. Стаж работы достаточно солидный. Предоставить никаких документов сюда, к сожалению, не могу, т.к. хочу, чтобы все то, что я здесь описываю, было анонимно. Просто поверьте.
И так, где-то в июле ко мне в приемный покой поступила достаточно молодая (39 лет) женщина с типичной клиникой острой кишечной непроходимости. Я делаю стандартный «пакет обследования» (сам осмотр врача-хирурга, обзорная рентгенограмма, УЗИ, ОАК, БХ, Коагулограмма). Диагноз подтверждается. Предлагаю ей лечь в экстренном порядке для проведения экстренной операции. Обычно пациенты с такой патологией не сомневаются в методе лечения и доверяются врачам. Но что-то пошло не так….
В ходе повторного осмотра, пациентка наотрез стала отказываться от госпитализации. На мой вопрос «почему?» и на мои чуть ли не прямые слова «вы можете умереть», она сказала, что решит все своими методами. Методы, как вы понимаете, очень интересные. И тут полились речи про некого И.З. Кауфмана, приглашения на семинар по онкореабилитации, слова о том, что все можно вылечить, не прибегая к традиционной медицине.
Меня, как человека со стажем в медицине, это очень сильно «подцепило». Мне стало интересно что же вещают эти «врачи» пациентам, у которых отчаяние дошло до такой степени, что они стали бежать от врачей. И, выйдя в интернет, я нахожу ссылку на запись на конференцию по онкореабилитации. 30 тысяч рублей и вы мастер в сопровождении и излечении онкологически больных пациентов.
К слову, пациентка, получив укол дротаверина, написала отказ от госпитализации. Дальнейшая ее судьба мне неизвестна. Смею положить, что не очень хорошая.
Я решил пересилить себя, свои годА образования, стажа и пойти, выслушать этих «спикеров». Мол, а вдруг это я такой темный и глупый человек? Но на деле все оказалось куда гораздо хуже…
Семинар представлял из себя несколько лекций, которые читались в течении 3-ех дней. Спикерами выступали следующие врачи:
Колосюк Вадим Анатольевич (к.м.н., доцент кафедры общей медицинской практики ФГБОУ Санкт-Петербургский государственный педиатрический университет МЗ РФ. Главный врач медицинского центра Омела, Санкт-Петербург)
Болотов Станислав Юрьевич (собственник бренда «S.A.I.D – Laboratory solutions»)
Гринева Елена Васильевна (д.м.н. генеральный директор ООО «БиоМед» член Российского гомеопатического общества и LMNI. Соавтор учебников по пептидотерапии, санум-терапии и Helixor, методических рекомендаци и справочных пособий по биотерапии)
Кузнецова Татьяна Владимировна (к.м.н. Главный врач медицинского центра «БиоМед»)
Энгельгардт Наталья Анатольевна (доктор интегративной медицины)
Купов Сергей Сергеевич (к.м.н., финалист конкурса «лидеры России»)
Елистратов Дмитрий Геннадьевич (Директор медицинского центра "Секреты долголетия" г. Пенза
Кауфман Игорь Зиновьевич (собственно сам организатор этого праздника «жизни»)
Казалось бы, какой-то внушительный список, состоящий из кандидатов и докторов наук. Запомните этих людей, организации и их виды деятельности. И НИКОГДА туда не приходите.
Начать хотелось бы с конца. А именно с лекции, которую читал основатель этой "шарашкиной обучалки". Знакомьтесь!
Ну какой красавец! О чем же он вещал?
Он вещал о методах диагностики степени зашлакованности организма, в частности, внутриклеточного матрикса. О том, что наш организм постоянно накапливает в себе токсины и все болезни у нас от ПАРАЗИТОВ. Ну а также, если вы не знали, в вашем теле существует телепортация
В общем и целом, вся суть его мракобесия сводилась к тому, что рак вызывают грибки и паразиты. Современные онкологи - это зло. Лечиться у них не надо. Химиотерапия - это плохо.
Сейчас сюда могут налететь люди, которые будут говорить, что на этой "конференции" говорилось о том, что там не отрицают традиционную медицину. Да, такое было. Но из уст этого убийцы (не побоюсь этого слова) вылетела фраза, что он бы никогда не рекомендовал обращаться к врачам, если у вас обнаружили рак.
Я не знаю как объяснить людям, что попытки найти способы магическими диетами излечиться от рака, приведут к гробовой доске. Люди теряют силы, деньги и здоровье, доверяясь подобным шарлатанам.
Изначально мне хотелось написать пост, разоблачающий каждый лживый слайд этого человека. Но 600+ страниц презентации с этим мракобесием - это выше моих сил.
Мне очень жаль, что люди думают, будто врачи что-то скрывают, не хотят никого лечить. Мне очень жаль, что эти мошенники дают ложные надежды, высасывая все деньги из пациентов, пичкая их гомеопатией. Мне жаль, что они вызывают больше доверия, чем люди в белых халатах.
Мне очень жаль, что за эти конференции люди отдают деньги, а потом идут пичкать других доверчивых людей такими отвратительными тезисами.
Ниже я прикрепляю ссылку на презентацию, ищ которой я брал слайды.
Хотелось бы, чтобы люди не доверяли подобным мракобесам. Хотелось бы, чтобы люди проверяли информацию хотя бы забив пару ключевых слов в поисковик.
Этот кауфман читал лекцию в заключительный день. На моменте, когда он начал говорить про кофейные клизмы и клизмы с мочой, мне стало дурно. Когда он сказал, что организм вырабатывает перекись водорода - я встал и вышел. Любой человек видел, что именно делает перекись. Происходит экзо-реакция при вступлении перекиси и крови. Кровь начинает сворачиваться, сильно при этом пенясь. Таким образом тампонируют раны. Как вы думаете, если бы в вашем организме хоть миллилитр перекиси выработался, чтобы с вами стало?
Эти шарлатаны заявляют, что на конференции было 200+ врачей. Что это за врачи, которые слушали этот бред с таким усердием? Вряд ли все решили залезть в тыл врага и посмотреть откуда ноги подобного бреда растут среди людей, которые не имеют отношения к медицине.
самое ужасное, что эти "врачи" (которые, скорее всего какие-нибудь интернетом взрощенные нутрициологи, бадологи и т д) дальше понесут это в массы. И все больше людей не будет обращаться за высококачественной мед. помощью.
Люди, пожалуйста, запомните, что гомеопатия - это не лечение! Это способ выкачивания из вас денег!
Никаких шлаков и токсинов в организме нет и быть не может! Вы не нефтеперерабатывающая станция, в конце концов.
Перестаньте искать медицинские советы в интернете у людей, которые к медицине не имеет никакого отношения!
Почему люди в современном мире доверяют чату ДЖИПИТИ в выборе тех же самых шин на машину, но не доверяют простому запросу "Дип сик, расскажи, пожалуйста, насколько гомеопатия эффективна?"
Если здесь есть люди, которые занимаются подобными разборами мракобесов, прошу, дайте какую-нибудь обратную связь. У меня остались все ссылки на эти "лекции". Мне хотелось бы, чтобы как можно больше людей перестало верить в весь этот бред.
Подросток, который попал в нужные руки
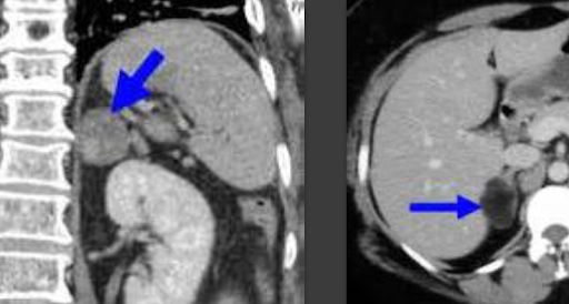
В свои 15 лет он весил больше 80 килограмм, постоянно болела голова, а любая попытка занять вертикальное положение приводила к скачку давления 200 на 120. Такие проблемы со здоровьем были связаны с образованием гигантской опухоли правого надпочечника. Гормоны, вырабатываемые ее, создавали нагрузку на сердце, постепенно истощая его.
В НМИЦ онкологии имени Блохина мальчик поступил в крайне тяжелом состоянии с тромбозом нижней полой вены и синдромом Иценко–Кушинга. В результате обследования было обнаружено, что рак распространился на печень, забрюшинные лимфоузлы и лёгкие. Хирурги приступили к крайне сложной, но жизненно необходимой операции, в ходе проведения которой присутствовали практически все анестезиологи клиники.
Главная сложность заключалась в расположении опухоли - она тесно прилегала к печени, нижней полой вене, почке и диафрагме. Сначала нужно было ее выделить, а потом удалить тромботическую массу из нижней полой вены. Операция прошла успешно - опухоль с тромбом были удалены,а также восстановлена целостность вены. Дальше подростку предстоит реабилитация, но угрозы жизни нет, метастазы не выявлены.
Пожелаем ему крепкого здоровья и дальнейшей удачи. А врачам низкий поклон за такую работу.
Онкологическое заболевание и развод
Когда семья трещит при онкологии
Когда в дом приходит онкология, страдает не только тело, но и отношения. Болезнь, как прожектор, высвечивает то, что годами жило в тени: недосказанность, неравный быт, усталость, старые обиды. Часто кажется, что рак «разрушил семью». На самом деле он нередко лишь ускоряет то, что уже было хрупким.
Мы достаточно часто слышим истории о разводах. И во многих из них трещины появились задолго до диагноза: партнёр был эмоционально далёк, обязанности держались на одном человеке, конфликты замалчивались, границы не проговаривались. Болезнь делает это видимым и невыносимым — и там, где связь давно истончилась, она рвётся.
Важно сказать мягко и честно: уходят не все и не сразу. Кто-то отдаляется от страха и беспомощности, а не из равнодушия. Кто-то, наоборот, становится ближе, учится заботиться и просить о помощи. Онкология проверяет не только любовь, но и зрелость — способность оставаться рядом с реальностью, а не с её красивой картинкой.
Что помогает выстоять?
Называть вещи своими именами: «мне страшно», «я злюсь», «я истощена». Чувства не лечат химию, но лечат одиночество.
Маленькие просьбы вместо больших ожиданий: «побудь со мной 15 минут», «позвони врачу вместе со мной».
Перераспределить быт: экономить силы на рутине, беречь их для лечения и близости.
Договориться о правилах общения: когда обсуждаем лечение, а когда просто живём.
Поддержка третьей стороны: психолог, семейная консультация, группа взаимопомощи.
Партнёрам тоже нелегко: они одновременно боятся потерять и боятся быть «слабыми». Им неловко говорить о своём страхе и усталости — и они замолкают. Напомните: рядом нужен не герой, а живой человек.
Поддержка — это не правильные слова, а присутствие и повторяемость мелких действий: отвезти на анализ, приготовить суп, отметить в календаре лекарства, обнять без советов.
Интимная жизнь тоже меняется. Нормально не хотеть близости во время лечения, стесняться шрамов, бояться боли. Нормально хотеть и не знать как. Говорите простыми словами, ищите безопасные формы нежности
держаться за руки, дышать рядом, смотреть фильм в обнимку. Близость — процесс, а не экзамен.
Есть границы, важнее любой «сохранённой семьи». Если в отношениях есть насилие, унижение, контроль тела или денег — ваша безопасность первична. Болезнь не обязует терпеть разрушение.
И всё же существует ещё больше историй, где диагноз стал началом честности: люди учились слышать друг друга, просили прощения, позволяли себе быть уязвимыми. Не идеальная картинка — тихая, тёплая близость, в которой можно плакать и смеяться попеременно.
Если ваша семья сейчас трещит, это не значит, что вы «плохие». Это значит, что вам очень больно. Просите о помощи, говорите о нуждах, бережно заботьтесь о себе. Семья выдерживает правду чаще, чем нам кажется. А если не выдерживает — это не ваша вина.
С любовью, Ваши триплята)
Если Вы копируете и распространяете наш пост на своих ресурсах, пожалуйста, сохраняйте ссылку на источник
Если Вы нашли ошибку в нашем тексте, пожалуйста, сообщите нам об этом





