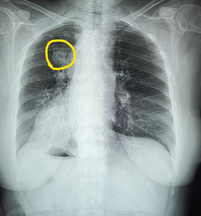
Доля непарной вены (доля Райсберга)
Добавочная доля непарной вены представляет аномалию развития легочной ткани, которая возникает в правом легком из-за необычного прохождения v. azygos.
Справа по парастернальной линии, чаще на уровне 1-го межреберья (иногда на уровне хрящевой части 1 или 2-го ребер) определяется небольшая в форме вытянутой капли тень (от 0,3 до 0,8 мм ширины и от 0,6 до 2,5 мм длины) с четкими контурами. Эта «капля», заостряясь кверху, переходит в нежную (волосяную) линейную тень добавочной междолевой щели; она направлена кверху и дугообразно изгибается выпуклостью кнаружи.
Порок развития протекает бессимптомно. Его диагностируют на рентгенограммах, флюорограммах в прямой/задней проекциях.
В аномальной доле возможно развитие хронического инфекционного процесса, связанного с нарушением ее вентиляции и ателектазом(редкие случаи). Больные жалуются на кашель с выделением скудной слизисто-гнойной мокроты, периодические повышения температуры тела. Физикальные симптомы отсутствуют.
Лечение: при отсутствии жалоб со стороны дыхательной системы-не требуется, при осложнении доли непарной вены хроническим воспалительным процессом показано оперативное ее удаление по типу сегментэктомии или атипичной резекции(редкие случаи).
Вышеописанная аномалия развития не мешает прохождению срочной службы, не влияет на категорию годности к военной службе(при отсутствии хронического инфекционного процесса, связанного с нарушением вентиляции добавочной доли и ателектазом).
















