Серия «Рентгенология.»

8

Сужение рентгенологической суставной щели

1-Гонартроз 1 стадии. 2-Гонартроз 2 стадии. 3-Гонартроз 3 стадии.

1-Гонартроз 1 стадии. 2-Гонартроз 2 стадии. 3-Гонартроз 3 стадии.

Сужение рентгенологической суставной щели — отражает патологические

изменения в суставном хряще. При этом важно учитывать, что:

• уменьшение суставного хряща в объеме распределяется неравномерно на

разных участках суставной поверхности;

• ширина рентгенологической суставной щели измеряется в наиболее су-

женном участке, который испытывает наибольшие механические нагрузки

(для коленного сустава – медиальные отделы, для тазобедренного сустава –

чаще верхнемедиальные);

• различают незначительное, умеренное и выраженное сужение суставной

щели;

• для ОА коленных суставов характерно неравномерное сужение суставной

щели.

Ширина (в мм) рентгенологической суставной щели у взрослых в норме

(по Шинцу – Фридлеру):

• грудино-ключичный сустав – 3,0–5,0;

• плечевой сустав – 2,0–4,0;

• локтевой сустав – 4,0;

• пястно-фаланговые и межфаланговые суставы – 1,5;

• тазобедренный сустав – 4,0–5,0;

• коленный сустав – 6,0–8,0;

• голеностопный сустав – 3,0;

• плюснефаланговые суставы – 2,0–2,5.

Гонартроз 1 стадии соответствует ст.65г Б3-годен к военной службе с незначительными ограничениями.

Гонартроз 2 стадии и выше-ст.65в-В- ограниченно годен к военной службе.

https://t.me/MME_SurgeryRadiolodgy

https://vk.com/club223629464

https://dzen.ru/mme_surgery_radiology

https://boosty.to/mme_surgery_radiology

Показать полностью 1
20

Расшифровка цифровых кодов флюорографии с примерами

01 - Кольцевидная тень (полость).

01 - Кольцевидная тень (полость).

02 - Затемнение в легочной ткани (инфильтрация,ателектаз, округлая тень, среднедолевой синдром и др.).

02 - Затемнение в легочной ткани (инфильтрация,ателектаз, округлая тень, среднедолевой синдром и др.).

03 - Очаговые тени в легочной ткани.

03 - Очаговые тени в легочной ткани.

04 - Расширение тени средостения, в том числе увеличение размеров корня.

04 - Расширение тени средостения, в том числе увеличение размеров корня.

05 - Плевральные выпоты.

05 - Плевральные выпоты.

06 - Фиброзные изменения в легочной ткани (выраженные).

06 - Фиброзные изменения в легочной ткани (выраженные).

07 - Фиброзные изменения в легочной ткани (ограниченные).

07 - Фиброзные изменения в легочной ткани (ограниченные).

08 - Повышение прозрачности легочной ткани (эмфизема локальная и распространенная).

08 - Повышение прозрачности легочной ткани (эмфизема локальная и распространенная).

09 - Изменения плевры (сращения, плевральные наслоения, обызвествления) выраженные.

09 - Изменения плевры (сращения, плевральные наслоения, обызвествления) выраженные.

10 - Изменения плевры (сращения, плевральные наслоения, обызвествления) ограниченные.

11 - Петрификаты крупные в легочной ткани - множественные (5 и более).

11 - Петрификаты крупные в легочной ткани - множественные (5 и более).

12 - Петрификаты крупные в корнях - множественные (5 и более).

13 - Петрификаты мелкие в легочной ткани - множественные (5 и более).

14 - Петрификаты мелкие в корнях - множественные (5 и более).

15 - Петрификаты крупные в легочной ткани - единичные.

16 - Петрификаты крупные в корнях - единичные.

17 - Петрификаты мелкие в легочной ткани - единичные.

18 - Петрификаты мелкие в корнях - единичные.

19 - Изменения диафрагмы, не связанные с плевральной патологией (диафрагмальная грыжа, высокое стояние диафрагмы и т. д.).

19 - Изменения диафрагмы, не связанные с плевральной патологией (диафрагмальная грыжа, высокое стояние диафрагмы и т. д.).

20 - Состояние после операции на легком.

20 - Состояние после операции на легком.

21 - Изменения скелета грудной клетки (сколиоз, кифосколиоз, костная мозоль, добавочное ребро, остеофиты и т. д.).

21 - Изменения скелета грудной клетки (сколиоз, кифосколиоз, костная мозоль, добавочное ребро, остеофиты и т. д.).

22 - Инородное тело (проецируется на легочную ткань, тень средостения в мягких тканях).

22 - Инородное тело (проецируется на легочную ткань, тень средостения в мягких тканях).

23 - Сердечно-сосудистая патология.

23 - Сердечно-сосудистая патология.

24 - Прочие - добавочная доля.

24 - Прочие - добавочная доля.

25-норма.

25-норма.

01 - Кольцевидная тень (полость).

02 - Затемнение в легочной ткани (инфильтрация,ателектаз, округлая тень, среднедолевой синдром и др.).

03 - Очаговые тени в легочной ткани.

04 - Расширение тени средостения, в том числе увеличение размеров корня.

05 - Плевральные выпоты.

06 - Фиброзные изменения в легочной ткани (выраженные).

07 - Фиброзные изменения в легочной ткани (ограниченные).

08 - Повышение прозрачности легочной ткани (эмфизема локальная и распространенная).

09 - Изменения плевры (сращения, плевральные наслоения, обызвествления) выраженные.

10 - Изменения плевры (сращения, плевральные наслоения, обызвествления) ограниченные.

11 - Петрификаты крупные в легочной ткани - множественные (5 и более).

12 - Петрификаты крупные в корнях - множественные (5 и более).

13 - Петрификаты мелкие в легочной ткани - множественные (5 и более).

14 - Петрификаты мелкие в корнях - множественные (5 и более).

15 - Петрификаты крупные в легочной ткани - единичные.

16 - Петрификаты крупные в корнях - единичные.

17 - Петрификаты мелкие в легочной ткани - единичные.

18 - Петрификаты мелкие в корнях - единичные.

19 - Изменения диафрагмы, не связанные с плевральной патологией (диафрагмальная грыжа, высокое стояние диафрагмы и т. д.).

20 - Состояние после операции на легком.

21 - Изменения скелета грудной клетки (сколиоз, кифосколиоз, костная мозоль, добавочное ребро, остеофиты и т. д.).

22 - Инородное тело (проецируется на легочную ткань, тень средостения в мягких тканях).

23 - Сердечно-сосудистая патология.

24 - Прочие - добавочная доля.

25 - Норма.

26 - Брак.

Примечания:

При сочетании нескольких из перечисленных изменений каждое из них отмечается соответствующим кодом в каждой графоклетке.

Локализация, протяженность изменений отмечается дробью по второй графоклетке 1; 2; 3; 4; в числителе - правое легкое, в знаменателе - левое легкое (по полям).

Номер шифра легочных полей: 1 - первое, 2 - второе, 3 - третье, 4 - первое и второе, 5 - первое и третье, 6 - второе и третье, 7 - первое, второе и третье.

В третьей графоклетке вместо подписи врача подставляют личный номер рентгенолога.

Вызов на контрольное рентгеновское дообследование отмечается в четвертой графоклетке цифрой 1.

https://t.me/MME_SurgeryRadiolodgy

https://vk.com/club223629464

https://dzen.ru/mme_surgery_radiology

https://boosty.to/mme_surgery_radiology

Показать полностью 16
8

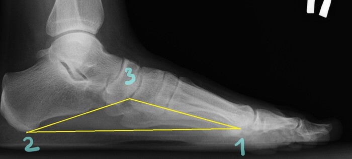
Как определить степень плоскостопия по R снимкам

Для определения наличия плоскостопия и его степени выполняют рентгенографию
стоп с нагрузкой по методике Богданова И.О.

Производят снимки в условиях естественной статической нагрузки, в
боковой проекции с захватом 4-5 см голени. На рентгенограмме измеряют высоту
продольного свода стопы и угол его наклона  Для этого
соединяют горизонтальной линией подошвенную поверхность головки I плюсневой
кости(точка 1) и нижнюю точку бугра пяточной кости(точка 2). Концы этой линии соединяют с
наиболее низкой точкой клино-ладьевидного сустава(точка 3).       

Из данной точки(3) опускается перпендикуляр на проведенную горизонтальную
линию. Высота этого перпендикуляра - высота продольного свода стопы. Угол между
косыми линиями у вершины перпендикуляра - угол свода стопы. В норме высота
равна 36-39 мм, угол - 125-130 градусов.

Степени плоскостопия.

Степени плоскостопия.

Заветная категория годности для призывников-В(ограниченно годен к военной службе)-присваивается при 3(третьей) степени плоскостопия то есть от 156 град.

https://boosty.to/mme_surgery_radiology

https://t.me/MME_SurgeryRadiolodgy

Показать полностью 3
Отличная работа, все прочитано!