Серия «Рентгенология.»

8

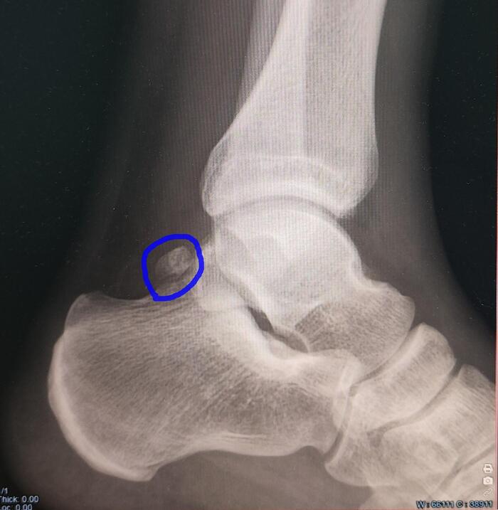
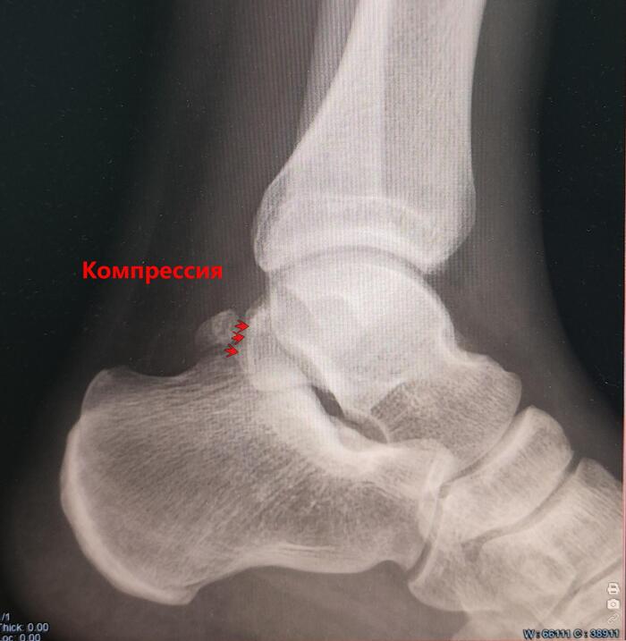
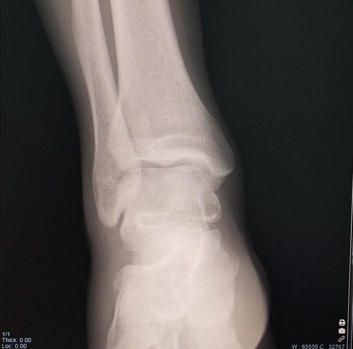
Треугольная кость таранной кости(Os trigonum)

Os trigonum — это анатомический вариант развития стопы/аномалия развития, представляющая собой отдельную костную структуру, расположенную кзади от таранной кости.

  • Формируется из не слившегося вторичного центра окостенения таранной кости

  • Встречается у 5–15% населения, часто двусторонне.

  • Может быть бессимптомной или вызывать боль при физических нагрузках, занятии спортом.

  • Может вызывать задний импиджмент голеностопа — боль при тыльном сгибании стопы.

Лечение:

  • Консервативное: покой, НПВП, ортезы, инъекции кортикостероидов.

  • Хирургическое: удаление кости при стойкой симптоматике (артроскопически или открытым способом).

Из анамнеза-боли в левом голеностопном суставе при занятии спортом.

Описание: на Р-граммах левого гс/с в 2х проекциях суставная щель не сужена, субхондральный склероз, краевые остеофиты-не выявлены. По заднему контуру таранной кости определяется наличие дополнительной кости-os trigonum. Заключение:Os trigonum(аномалия развития левой стопы), наиболее вероятно вызывающая синдром компрессии таранной кости.

Категория годности с диагнозом Os trigonum(аномалия развития левой стопы), наиболее вероятно вызывающая синдром компрессии таранной кости-по статье 69г Б3-годен к военной службе с незначительными ограничениями.

https://t.me/MME_SurgeryRadiolodgy

https://vk.com/club223629464

https://boosty.to/mme_surgery_radiology

Показать полностью 5
8

Закон парных случаев медицине

Этот "закон" не имеет научного обоснования и относится к психологии восприятия и статистическим закономерностям. Он основан на наблюдениях врачей, которые замечают, что после выявления одного редкого заболевания или нестандартного симптома у пациента вскоре появляется второй (а иногда и третий) случай с аналогичными характеристиками.

Возможные объяснения:

  1. Избирательное внимание — после первого случая медицинские работники начинают активнее искать похожие симптомы, что увеличивает шанс обнаружения.

  2. Статистические флуктуации — редкие события могут случайно группироваться во времени (как, например, при броске монеты).

  3. Внешние факторы — вспышки инфекций, изменения экологии или даже сезонность могут провоцировать "волны" схожих случаев.

  4. Диагностические ошибки — первый случай может привести к гипердиагностике или ошибочному сравнению.

Примеры:

  • Врач диагностирует редкую генетическую патологию у пациента, а через неделю поступает второй больной с аналогичными симптомами.

  • В хирургии после сложной операции с осложнением подобное осложнение возникает у следующего пациента.

Критика:

Закон носит субъективный характер и часто объясняется когнитивными искажениями, такими как:

  • Эффект Баадера-Майнхоф (частотная иллюзия — после первого обнаружения кажется, что явление встречается чаще).

  • Подтверждающее предвзятость — врачи запоминают "парные случаи", но забывают многочисленные примеры без повторов.

Неделю назад разбирал кейс по макроаденоме гипофиза, пост - Макроаденома гипофиза-МРТ

На днях просматриваю снимки шейного отдела позвоночника молодой пациентки, направлена с диагнозом-цервикалгия(боль в шейном отделе позвоночника).

На снимках, кроме кифотической установки в шейном отделе позвоночника, незначительного неравномерного сужения межпозвонковых щелей и не выраженного заострения унковертебральных отростков, патологии не выявлено. Однако взгляд цепляется за турецкое седло.

При измерении размеров турецкого седла получаются показатели: глубина 13.9мм, передне-задний(сагиттальный)-20.4мм. Нормальные размеры турецкого седла у взрослого: cагиттальный размер (передне-задний) 10–15 мм. Глубина 8–12 мм.

При изучении электронной карты- осмотра пациентки терапевтом, обращают на себя внимание жалобы на эпизодические сильные головные боли с резким ухудшением зрения и тошнотой, помним про анатомически близкое расположение гипофиза и хиазмы(зрительного перекреста).

Заключение: Начальные проявления остеохондроза шейного отдела позвоночника. Унковертебральный артроз. Кифотическая установка шейного отдела позвоночника. Увеличение размеров турецкого седла-признак аденомы гипофиза.

Рек-но: дообследование- МРТ головного мозга, конс. нейрохирурга.

Изменения в шейном отделе позвоночника если применять их на призывника, будут соответствовать ст.66д Б3(годен к военной службе с незначительными ограничениями)

https://t.me/MME_SurgeryRadiolodgy

https://vk.com/club223629464

https://boosty.to/mme_surgery_radiology

Показать полностью 5
10

Гонартроз 1(первой) стадии

Это хроническое дегенеративно-дистрофическое заболевание, при котором постепенно разрушается хрящевая ткань сустава, что приводит к боли, ограничению подвижности и деформации колена.

Основные причины:

  1. Возрастные изменения (по старым статистическим данным после 50 лет, сейчас после 35 лет и даже раньше ).

  2. Травмы (переломы, разрывы связок, менисков).

  3. Избыточная нагрузка (спорт, тяжелый физический труд, ожирение).

  4. Нарушения обмена веществ (сахарный диабет, подагра).

  5. Воспалительные заболевания (ревматоидный артрит, инфекции).

  6. Генетическая предрасположенность (слабость хрящевой ткани).

Симптомы гонартроза:

  • Боль (сначала при нагрузке, затем и в покое).

  • Скованность по утрам или после долгой неподвижности.

  • Хруст (крепитация) при движении.

  • Отек и воспаление (при синовите).

  • Деформация сустава (на поздних стадиях).

Стадии гонартроза:

  1. 1 стадия – периодические боли после нагрузки, небольшое сужение суставной щели на рентгене.

  2. 2 стадия – усиление боли, хруст, ограничение движений, остеофиты (костные разрастания).

  3. 3 стадия – постоянная боль, выраженная деформация, резкое ограничение подвижности.

Диагностика:

  • Рентген (основной метод).

  • МРТ (для оценки состояния хряща и мягких тканей).

  • УЗИ сустава.

  • Анализы крови (показатели воспаления).

Лечение:

1. Консервативное (без операции):

  • НПВС (ибупрофен, диклофенак) – для снятия боли и воспаления.

  • Хондропротекторы (глюкозамин, хондроитин) – замедляют разрушение хряща.

  • Гормональные уколы (кортикостероиды – при сильном воспалении).

  • Гиалуроновая кислота (внутрисуставные инъекции для смазки).

  • Физиотерапия (лазер, магнитотерапия, электрофорез).

  • ЛФК (упражнения для укрепления мышц).

  • Ортопедические средства (наколенники, трость).

2. Хирургическое лечение:

  • Эндопротезирование (замена сустава при поздних стадиях, либо при развитии асептического некроза).

Профилактика:

  • Контроль веса.

  • Дозированные физические нагрузки (плавание, велосипед).

  • Избегание травм и перегрузок.

Описание: на Р-граммах правого коленного сустава в 2х проекциях: травматических, деструктивных изменений не выявлено, структура костной ткани не изменена. Неравномерное сужение суставной щели в медиальных отделах до 3.89 мм(норма -6мм), субхондральный склероз суставной поверхности-отсутствует, остеофиты по краям суставной щели не выявлены, заострение медиального межмыщелкового возвышения, надколенник обычного паложения, сужение расстояния между надколенником и бедренной костью не выявлено, полюса надколенника не заострены, остеофиты не выявлены. Заключение: Гонартроз справа 1 ст.

Категория годности с диагнозом гонартроз 1ст.- по ст.65(Хирургические болезни и поражения костей, крупных суставов, хрящей:)г, Б-3(годен к военной службе с незначительными ограничениями) по I графе, Б-по графе II,А по III графе.

https://t.me/MME_SurgeryRadiolodgy

https://vk.com/club223629464

https://boosty.to/mme_surgery_radiology

Показать полностью 4
7

Продольное плоскостопие 3 ст

Описание снимков: на Р-граммах стоп с нагрузкой по Богданову: Высота свода левой стопы 22мм,угол продольного свода-160 град. Высота свода правой стопы 30 мм, угол продольного свода-153 град. Заключение: Двустороннее продольное плоскостопие 2(второй) ст. справа,3(третьей) ст. слева.

Верхняя точка треугольника на правой стопе, незначительно смещена проксимально, на итоговое заключение не влияет.

На основании 565 постановления, статьи 68(Плоскостопие и другие деформации стопы),диагноз продольное плоскостопие 3 ст. соответствует пункту в-В(ограниченно годен к военной службе).

https://t.me/MME_SurgeryRadiolodgy

https://vk.com/club223629464

Показать полностью 1
11

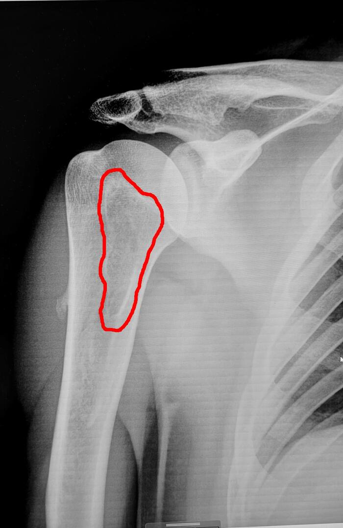
Костная киста плечевой кости

Описание снимка: на Р-грамме правого плечевого сустава в проекции проксимальной трети диафиза плечевой кости с переходом на головку плечевой кости визуализируется участок просветления костной ткани неправильной овальной формы, размером 12х3.5 см, с склеротическим ободком. Заключение: Костная киста правой плечевой кости.

При данной патологии применяется статья 10 (Доброкачественные новообразования (кроме доброкачественных новообразований нервной системы и мозговых оболочек), новообразования in situ:),для признания призывника негодным применяется такая формулировка: доброкачественные новообразования костной и хрящевой ткани, затрудняющие ношение военной формы одежды, обуви или снаряжения; с умеренным или незначительным нарушением функции.

Представленная выше киста ношению военной формы не препятствует, функции плечевого сустава не нарушает, однако данная киста достаточно крупного размера и при ее травматизации, чрезмерной нагрузке, может произойти патологический перелом плечевой кости.

Решение при данной патологии полностью на откупе у хирурга военкомата. Если следовать строго 565 постановлению-то это категория годности ст.10в-А2(годен к военной службе).,однако учитывая крупный размер кисты можно принять решение 10б-В(ограниченно годен к военной службе),все в руках хирурга.

https://t.me/MME_SurgeryRadiolodgy

https://vk.com/club223629464

Показать полностью 2
10

Аномалия развития кисти

Описание снимка: на рентгенограмме правой и левой кисти: визуализируется аномалия развития ногтевой фаланги первого пальца левой кисти в виде расщепления фаланги вдоль своей оси, на 1/2 от длины ногтевой фаланги. По остальным отделам правой и левой кистей-без патологии. Заключение: Врожденная аномалия развития ногтевой фаланги первого пальца левой кисти.

При данной патологии развития, функция левой кисти не нарушена, порочное положение отсутствует, исходя из этих фактов, на основании статьи 67(Отсутствие, деформации, дефекты кисти и пальцев:)- г) при наличии объективных данных без нарушения функций, призывнику присвоена категория годности-Б3(годен к военной службе с незначительными ограничениями).

https://t.me/MME_SurgeryRadiolodgy

https://vk.com/club223629464

Показать полностью 2
11

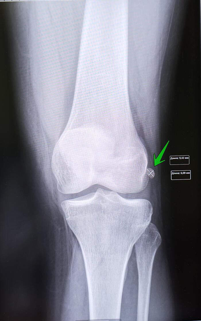
Os fabella

Фабелла — небольшая сесамовидная кость обнаруженная у некоторых млекопитающих, встроенная в сухожилие боковой головки икроножной мышцы позади латерального мыщелка бедренной кости. Это дополнительная кость, анатомическая вариация присутствующая у 39 % людей. В редких случаях таких костей бывает две или три (fabella bi- или tripartita). Эту кость можно принять за остеофит. Слово fabella — это латинское уменьшительное от слова faba, означающего «фасоль»

Описание рентгенологических снимков левого коленного сустава в двух проекциях: Суставная щель не сужена, субхондральный склероз ,остеофиты не выявлены. По заднему-латеральному краю латерального мыщелка большеберцовой кости визуализируется os fabella размером 9.4х6мм. Заключение: Данных за гонартроз слева не выявлено.Os fabella.

В редких случаях(при больших размерах os fabella) призывников с вышеописанной косточкой может беспокоить болевой синдром, в остальных случаях данная косточка никак себя не проявляет, дискомфорта не доставляет.

Категория годности призывников с os fabella-А1:годен к военной службе/ ст.10в-А2:годен к военной службе(при наличии болевого синдрома).

https://t.me/MME_SurgeryRadiolodgy

https://vk.com/club223629464

Показать полностью 4
7

Рентгенологические классификации остеоартроза

Остеоартроз – заболевание суставов, характеризующееся дегенерацией (разрушением) их хрящевой ткани, деформацией и разрушением костных структур, капсулы, синовиальной оболочки.

1) Рентгенологические стадии остеоартроза (по J. Kellgren & J. Lawrence, 1957)

0 - отсутствие изменений

I - сомнительная: незначительные остеофиты;

II - минимальная: четко выраженные единичные остеофиты и минимальное сужение суставной щели;

III - умеренная: умеренное сужение суставной щели и множественные остеофиты;

IV - тяжелая: выраженное сужение суставной щели с субхондральным склерозом, грубые остеофиты.

К недостаткам классификации Kellgren & Lawrence можно отнести то, что они не учитывают наличие и выраженность клинических симптомов остеоартроза, а только его рентгенологические проявления. Поэтому клинико-рентгенологическая классификация Н.С. Косинской является предпочтительной, позволяя выбрать наиболее эффективный способ лечения пациента исходя из комплексной характеристики стадии заболевания.

По клиническим рекомендациям РФ от ассоциации травматологов-ортопедов и ассоциации ревматологов РФ от 2021г. рекомендуется использовать 2 классификации остеоартроза: по J. Kellgren & J. Lawrence и по Косинской.

2) Рентгенологические стадии остеоартроза (по Косинской Н.С.):

Стадия 1 – начальная: сужение суставной щели, как правило, определяемое при сравнении с симметричным суставом. Хондроз сустава, т.к. поражены только хрящи.

Стадия 2 (выраженных изменений): значительное неравномерное сужение суставной щели – вдвое и более по сравнению с нормой, выраженные краевые костные разрастания, субхондральный остеосклероз в участках костей смежных наибольшему сужению суставной щели. Остеохондроз сустава.

Стадия 3 (резко выраженных изменений): практически полное разрушение суставных хрящей, соприкасающиеся участки костей склерозированы, сочленяющиеся суставные поверхности деформированы, уплощены, выраженные краевые костные разрастания, увеличенные, уплощенные суставные поверхности, резко нарушают двигательную функцию сустава, но полного анкилоза никогда не возникает! Часто на фоне остеосклероза появляются очаговые кистовидные образования (вариант функциональной патологической перестройки). Деформирующий артроз или остеохондроз сустава.

3) Рентгенологические стадии остеоартроза (по A. Larsen, 1987)

Стадия 0 – рентгенологических изменений нет.

Стадия 1 – слабые изменения: сужение суставной щели менее чем на 1/3 от нормы; остеофиты; остеосклероз. Для постановки диагноза достаточно наличие одного или двух симптомов.

Стадия 2 – определённые изменения: сужение суставной щели более чем на 1/3 и менее чем на 2/3 от нормы, небольшие остеофиты, слабовыраженный остеосклероз – наличие всех симптомов обязательно.

Стадия 3 – значительные изменения: сужение суставной щели более чем на 2/3 от нормы; остеофиты различных размеров; остеосклероз в различной степени выраженности.

Стадия 4 – выраженные изменения: значительное сужение суставной щели (1 мм), крупные остеофиты, выраженный остеосклероз. Суставные поверхности менее чем на 1/3 прослеживаются нечётко. Локальное (менее чем на 1/3) уменьшение в объёме эпифиза кости в субхондральном отделе (в месте наибольшей нагрузки).

Стадия 5 – грубые деформационные изменения: значительное сужение суставной щели (1 мм), крупные остеофиты, выраженный субхондральный остеосклероз. Суставные поверхности более чем на 1/3 прослеживаются нечётко. Значительное (более чем на 1/3) уменьшение в объёме эпифиза кости в субхондральном отделе (в месте наибольшей нагрузки). Часто перестройка костной структуры в виде кистовидных просветлений костной ткани. Формирование варусной или вальгусной деформации сустава (коленный сустав).

4) Рентгенологические стадии остеоартроза по Альбеку:

0 — нет рентгенологических признаков остеоартрита (No radiographic findings of osteoarthritis);

1 — сужение суставной щели < 3 mm ( Joint space narrowing < 3 mm);

2 — суставная щель облитерирована или почти облитерирована (Joint space obliterated or almost obliterated );

3 — незначительное истирание(?) кости (<5 мм) (Minor bone attrition (< 5 mm)); 4 — умеренное истирание(?) кости (5-15 мм)(Moderate bone attrition (5–15 mm)); 5 — выраженное истирание(?) кости (>15 мм)(Severe bone attrition (> 15 mm)).

5) Рентгенологические стадии остеоартроза по Брандту:

0 — нет рентгенологических признаков остеоартрита (No radiographic findings of osteoarthritis);

1 — сужение суставной щели менее, чем на 25% с вторичными изменениями* (<25% joint space narrowing with secondary features);

2 — сужение суставной щели на 50-75% без вторичных изменений* (50–75% joint space narrowing without secondary features);

3 — сужение суставной щели на 50–75% с вторичными изменениями* (joint space narrowing with secondary features);

4 — сужение суставной щели более, чем на 75% с вторичными изменениями* (>75% joint space narrowing with secondary features).

В постановлении 565 от 04.07.2013 N 565 (ред. от 17.04.2024) о военно-врачебной экспертизе, не прописано какой именно классификацией по остеоартрозу нужно пользоваться при проведении военно-врачебной экспертизы, однако в конце ст.68 имеется подпункт где прописано пояснение: Деформирующий артроз I стадии суставов стопы рентгенологически характеризуется сужением суставной щели менее чем на 50 процентов и краевыми костными разрастаниями, не превышающими 1 мм от края суставной щели. Артроз II стадии характеризуется сужением суставной щели более чем на 50 процентов, краевыми костными разрастаниями, превышающими 1 мм от края суставной щели, деформацией и субхондральным остеосклерозом суставных концов сочленяющихся костей. При артрозе III стадии суставная щель рентгенологически не определяется, имеются выраженные краевые костные разрастания, грубая деформация и субхондральный остеосклероз суставных концов сочленяющихся костей.

Учитывая клинические рекомендации от 2021(рекомендуется использовать 2 классификации: по J. Kellgren & J. Lawrence и по Косинской.) а так же вышеописанное пояснение из ст.68,которое подходит под классификацию по Косинской, наиболее предпочтительной классификацией деформирующего остеоартроза при описании рентгенологических снимков является по Косинской, она наиболее точно описывает стадии остеоартроза у призывников, классификация Kellgren и Lawrence так же применяется, с преимуществом классификации по Косинской.

https://t.me/MME_SurgeryRadiolodgy

https://vk.com/club223629464

Показать полностью 4
Отличная работа, все прочитано!