Нужен совет стоматолога
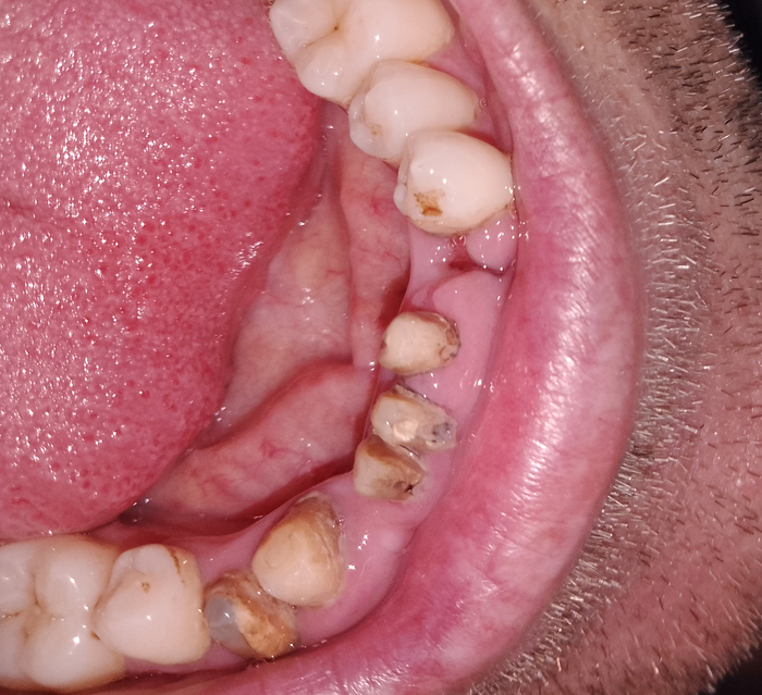
Нужен совет, что делать с нижним рядом? Потому что хотелось бы в будущем, если что, распиливать не цельный мост (стоял до этого и распилили из-за кисты, с удалением зуба - клыка), а например одну-две коронки, и короткий мост на 2-3 зуба по бокам.
Потому что есть еще одна маленькая киста, которую решили лечить, чтобы сохранить резец, который около удаленного клыка.
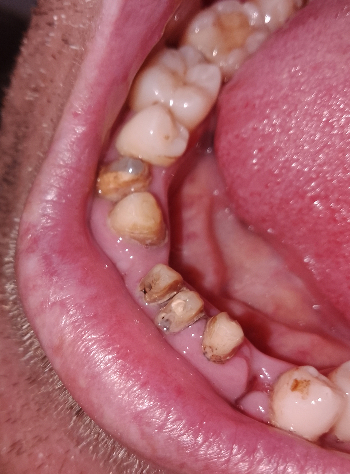
Можно ли на такой, мой, нижний ряд сделать например по два коротких моста, и коронки (или одну хотя бы) например, или цельный опять? Какие-то варианты есть? И как по ценам? Сильно дороже одного моста? А то я 8 лет назад делал, немного по ценам потерялся в стоматологии. Импланты, протезы, ну там где каждый зуб делается, тупо не потяну по финансам - так как (тогда говорили, а сча и подавно) говорят очень дорого((( особенно для жителей сельской местности.




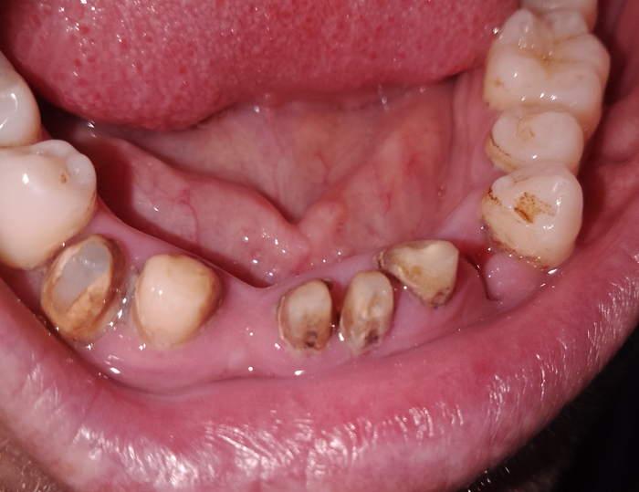
Собственно сами зубы
Почему прошу совета - потому что тот который планирует делать, сказал оба зуба с кистами удалять, мол поставим протез и наденем на зуб живой и протез, а другой, который удалял, сказал у меня и так там все не ок, потому который с кистой малой, надо сохранять. Ибо дальше будет хуже... и можно ли задействовать зуб который после клыка идет? Премоляр он вроде называется, или как... остальные зубы тоже рентгенить на предмет недолеченных каналов? я в растерянных чувствах.
Анамнез морби-вите: Где-то 8 лет назад сдуру (потому что дурак) решил сделать к верхним еще и нижние зубы (ибо кривые ппц) стоматолог отговаривать сильно не стал. Удалил один самый кривой, подточили остальные. И воткнули мост на времянке. сплошной. Потом сдернуть так и не смогли. а само он сидел как влитой. Три раза приходил пробовать. Никак.
А началось все мессяц-два назад, с болей таких тупых и не сильных спереди у подбородка, при надавливании. Я долго не связывал это с зубом... Постепенно дискомфорт нарастал. Ну и как рентген показал - киста. Одна большая, 5-6 мм где-то, другая около 2 мм. Сейчас ничего не болит. Прошла неделя, на следующей уже лечение одного зуба.
Ну а сейчас, я думаю киста первая и вторая появились из-за двух основных факторов - нагрузка на зубы, плюс не долеченные каналы. (увы снимка сейчас нет) но на нем прям видно, что канал непломбирован внизу у корня на 2/3 где-то. Сдернуть даже дергалкой (которая щелкает и резко так хвыщ, а взубах дзынь) мост так и не удалось. Цемент видимо хороший попался, пришлось распиливать. Ну и вот...







