Фатальная семейная бессонница
Автор: Алина Говенько.
Ты, читающий эти строки, наверняка играл в "Plague.Inc" и помнишь там грозные прионные инфекции — медленные, но неотвратимые? В реальной жизни эти заболевания неизлечимы. Сегодня предлагаю поговорить о болезни, о которой известно едва ли не с 18 века. Жуткие семейные предания о том, как дед или бабка переставали спать и в течение нескольких лет умирали, передавались от отца к сыну. Итак, встречайте — фатальная семейная бессонница.
К итальянскому доктору Игнацио Ройтеру обратился дядя жены, пусть не очень молодой, но весьма крепкий и до недавних пор здоровый мужчина по имени Сильвано. Он рассказал, что перестал спать. День за днём, неделя за неделей. Помимо того, его зрачки сузились в точку, а тело начала бить дрожь. Сильвано понимал, что обречён: до того такие симптомы появлялись у двух его родных сестёр, а еще раньше — и у отца. И сёстры, и отец скончались спустя примерно год после появления симптомов. Более того, Сильвано очень хорошо знал своё семейное древо, и в каждом поколении были те, кто прекращал спать, а затем умирал. Мужчина оказался прав — он скончался через два года, предварительно завещав свой мозг науке.
Сильвано
Тут следует сказать, что в развитии болезни выделяют четыре стадии: при первой у человека появляется прогрессирующая бессонница. Больного мучают панические атаки и страхи. При второй психическое расстройство становится все более серьёзным, к вышеперечисленному добавляется постоянное тревожное возбуждение, а затем и галлюцинации. На третьей стадии человек теряет способность забываться даже зыбким поверхностным сном, способность спать утрачивается полностью. Организм истощается, больной резко теряет в весе. На четвёртой стадии к симптоматике присоединяется деменция. Вскоре человек умирает. Заболевание, как правило, проявляется в возрасте от 30 до 60 лет, чаще всего — в 50. От начала болезни и до летального исхода проходит от нескольких месяцев до трёх лет. Снотворные, как правило, неэффективны.
Разумеется, далеко не все больные, узнав о своём диагнозе, смиренно дожидаются смерти. К примеру, в США один мужчина, у которого появилась соответствующая симптоматика, решил бороться до конца. Он принимал снотворное, а также и "тяжёлую артиллерию", такую, как диазепам (сильный транквилизатор из группы бензодиазепинов), а также кетамин и закись азота (а это вообще препараты для наркоза, чтобы вы понимали). Уснуть удавалось, но ненадолго, а сон был чутким. Тогда он приобрёл и камеру для сенсорной депривации, где, наконец, смог забыться сном: нашему больному удавалось проспать до четырёх с половиной часов. Однако по пробуждении его мучали жуткие галлюцинации. Чтобы вернуть себе сон, этот пациент даже решился на электросудорожную терапию, но и она не принесла успеха. Прожил он дольше, чем обычно живут люди с данным диагнозом, но победить болезнь так и не смог.
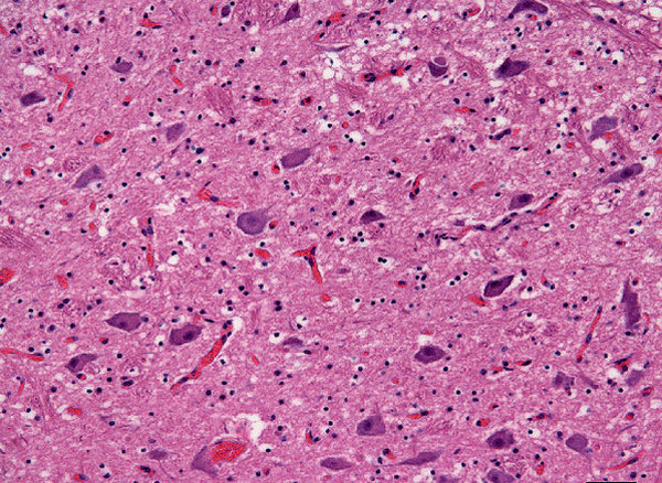
А виноват во всём…
Виноват во всём прион. Это, грубо говоря, "неправильно свернутый" белок, который способен превращать другие, нормальные белки тоже в прионы. Ответственна за образование прионов мутация D178N в гене PRNP, расположенном в 20 хромосоме. Одна аминокислота — аспарагин — заменяется на другую, аспарагиновую кислоту. Вследствие чего поражается таламус — центральная часть головного мозга, отвечающая в том числе и за сон. В таламусе развиваются дистрофические изменения, в нём формируются амилоидные бляшки. Таламус Сильвано на вскрытии выглядел так, будто он был изъеден червями.
Как уже говорилось, лекарства от фатальной семейной бессонницы не существует. Проводились исследования по влиянию антибиотика доксициклина на другое прионное заболевание, болезнь Крейтцфельдта-Якоба, были выявлены даже некоторые положительные результаты. У исследователей были идеи о проведении экспериментов по профилактике фатальной семейной бессонницы среди лиц с генетической предрасположенностью — применение доксициклина, однако в силу ряда причин исследование не стали проводить.
Утешает лишь то, что известно лишь 40 семей, поражённых данной болезнью.
Такие дела.
Автор: Алина Говенько.
Оригинал: https://vk.com/wall-162479647_363557
Подпишись, чтобы не пропустить новые интересные посты!















