Как я височно-нижнечелюстные суставы лечила
Условный ответ на пост https://pikabu.ru/story/kak_ya_izbavilas_ot_golovnoy_boli_sovet_kotoryiy_izmenil_moyu_zhizn_10213793
У меня тоже была чем-то похожая история. Началось всё в 2015г. с того, что после средней степени тяжести инфекции (температуры выше 38 держалась 3 недели, пока меня не прогнали по основным врачам и на приёме 3-го по счёту антибиотика у меня спала температура и началась острая крапивница на сам антибиотик) заболели уши.
Лор сначала сказала прокапать Анауран, а на повторном приёме сообщила, что с ушами всё хорошо, отправила к неврологу. Невролог был от Бога, сразу же надавил мне нужные точки и я скорчилась от боли - оказалось, что болели височно-нижнечелюстные суставы, на узи/мрт артроз и синовит (т.е. проявление артрита), отправили к челюстному хирургу. Как положено, мазала суставы противовоспалительной мазью, пила НПВС по назначению врача, ну боль не проходила, появилось ограничение в открывании рта (рот открывался совсем немного), при закрытии траектория была кривая, т.е. проблема уже явно прослеживалась. Анализы ревматологические были отрицательные. Сделала пластиковую капу по слепку, если не ошибаюсь, то на нижнюю челюсть, носила и периодически корректировала. Фото не сохранилось, в интернете похожее не нашла, у меня была капа достаточно толстая, сейчас выскакивают по поиску силиконовые. Ещё за время болезни успела сделать укол гиалуроновой кислоты внутрь сустава для улучшения трения суставных поверхностей, чтобы артроз не прогрессировал. За это спасибо ревматологу, что согласилась и всё аккуратно, практически ювелирно сделала.
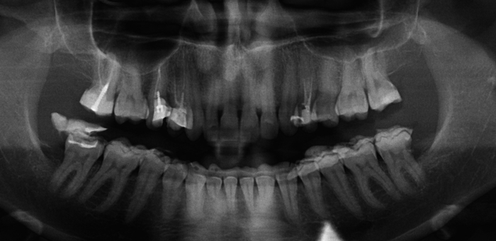
Единственный снимок, который нашла, не помню, болел на нём уже зуб или ещё нет, ну прикус был ещё неправильный.
Итак, в процессе лечения заболел зуб, сказала лечащему челюстному хирургу, он махнул рукой мол потерпи, несильно ж болит, перетерпела, на тот момент я уже носила капу несколько месяцев, ну суставы всё равно болели, он злился, говорил, что не может болеть. Потом ещё и капа стала болтаться немного, хотя должна была чётко стоять. Исправить он не смог, всё равно болталась... Подождала, пока он в отпуск ушёл летом, к другому врачу пошла, она сходу предложила зуб залечить, оказывается он у меня с гноем был, залечила и перестали болеть суставы. Я не говорю, что капа не помогла, помогла, конечно, прикус исправить. Ну такой прикус был у меня давно, лечения не требовал, и до этого суставы не беспокоили, а вот триггером послужила именно инфекция.
И тут-то я поняла, что и до этого N лет назад болели другие суставы (сначала коленный, потом второй коленный и голеностопные) до того момента, как зуб гнойный залечила. А я-то ещё и гланды удалила как очаг хронической инфекции (конечно, по настоянию врачей), правда, после этого ещё исчез постоянный лейкоцитоз, который сопровождал меня несколько лет, пока болели суставы, это при том, что СОЭ была в пределах нормы, и ревматоидный фактор с АЦЦП отрицательные.
Пазл сложился: организм атаковал клетки суставов (что-то типа аутоимунной реакции) в ответ на инфекцию в организме (гной - это бактериальная инфекция). Мне тогда ставили недифференцированный олигоартрит. Я сама считаю, что был реактивный артрит без уточнённой инфекции. Хотя в доказательной медицине также точные причины его неизвестны (есть несколько инфекций, но не полный исчерпывающщий список).
В данном случае оказалось, что это особенность моего организма - реагировать атакой на клетки суставов при наличии длительной инфекции в организме. Ну это совсем не значит, что у всех также будет. И врачи (даже хорошие, которым я доверяю) в большинстве не в курсе, что это может быть связано.
Для ЛЛ: если болят уши и лор говорит, что с ушами всё в порядке, вероятно, болят височно-нижнечелюстные суставы, в этом случае идти нужно к челюстному хирургу, он занимается этим лечением. На личном опыте после того, как залечила зубы, боли в височно-нижнечелюстных суставов прошли. Хотя носила капу месяцев 6-8, значительно исправился прикус. Повторюсь, в моём случае проблема оказалась не в прикусе, да и зубы у меня не выпирали, как у кролика.
Ещё совет для тех, кто столкнулся с болями в височно-нижнечелюстных суставах - одна из возможных причин - напряжённость мышц, пробуйте расслабиться. У меня подружка долго (лет 5-6) мучилась болями в ВНЧС ещё до меня и ей никто нормально не мог поставить диагноз несколько лет, т.к. у неё болела голова, т.е. боль иррадировала в голову. Ну иногда глядя на неё я прям видела невооружённым глазом, как её мышцы напряжены. Ну у неё долгий путь получился, там реально проблема в мышцах и прикусе, он был сильно неправильным, носила она брекеты долго, потом что-то ещё, в общем, тот ещё геморрой. И может пригодится информация с форума http://внчс.com/
Если этот пост поможет кому-то поскорее разобраться с проблемой, буду очень рада.
Спасибо всем, кто дочитал! Добра и здоровья!



