Мучает совесть
Сдавал анализы на антитела к туберкулезу в далеком 2013, лечусь сам таблетками дома. Как вы поняли, антител нашлось выше нормы. На работе никому не говорю, но вижу как люди увядают, кашляют. С приходом кризиса в Кирове туберкулин не колют взрослым, поэтому диагностики никакой. Может я зря извожусь? Мне кажется полгорода болеет, ведь я от кого-то заразился. Сдал недавно, антител меньше. Думаю сменить работу, чтобы предотвратить повторное заражение.
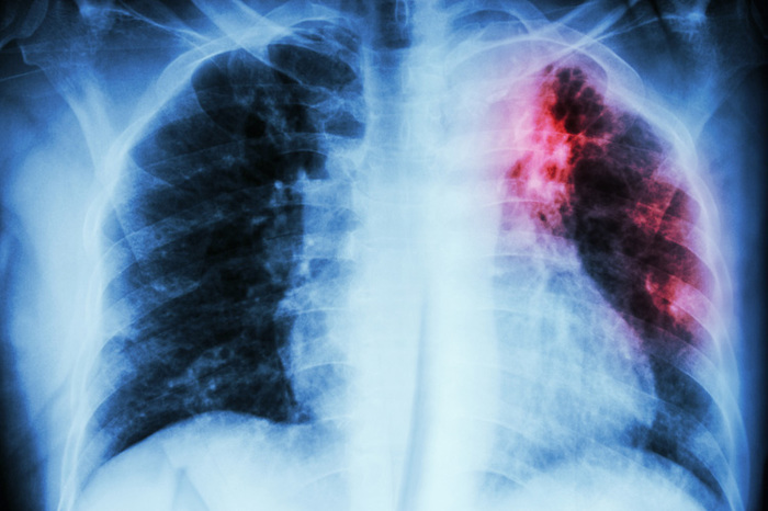
Болезнь романтичных барышень или несколько зарисовок о туберкулёзе
В серии рассказов о психиатрической клинике я уже упоминал чудесный минский автобус, треть пассажиров которого покашливает, треть разговаривает сами с собой, а от трети пахнет спиртом и лекарствами, потому что это медики. Все потому что в конце маршрута располагаются крупнейшие республиканские центры фтизиатрии и психиатрии.
Однажды утром наша студенческая группа, находясь в тихой панике, выгрузилась на конечной остановке этого автобуса, у ворот центра фтизиатрии, где нас ожидал полугодовой цикл по чудесному заболеванию под названием «туберкулёз».
Почему чудесному? Ну как же. Туберкулёз вошёл в моду ещё в 19-м веке, когда бледные, астеничные барышни медленно угасали, пописывая мрачные плохие стихи и посылая таким же бледным юношам засушенные розы. Они ездили лечиться на воды, изящно прикладывали к окровавленным губам батистовые платочки. А потом лежали в гробу все такие красивые. Очень романтично. Ещё туберкулёз подстёгивал половое влечение, что для викторианского общества вообще порнография. Насчёт полового влечения – не знаю, не проверял.
Вернёмся в современность. Заранее ожидаю шквала вопросов – можно ли заразиться туберкулёзом в общественном транспорте? Не буду пугать, но с вами этот процесс, скорее всего, уже произошёл. И неоднократно. Палочка Коха, попадает в организм, где ваш иммунитет набрасывается на неё, агрессивные лейкоциты нападают на болезнетворного чужака, закрывают его своими телами, вокруг палочки образуется известковая или соединительнотканная оболочка, в которой палочка грустит, тоскует и хиреет. Совсем как барышни 19-го века.
Но вы же полноценно питаетесь, не курите, принимаете витамины, в детстве вам сделали прививку от туберкулёза, ведь так? Тогда туберкулёза можно почти не бояться. Если же в одной с вами квартире живёт родственник, покашливающий в платочек, то бегите. Тут уже никакого иммунитета не напасёшься.
Это теория. Теперь о практике.
Преподаватель.
Наш преподаватель, доцент кафедры фтизиатрии Павел Степанович Кривонос (защитивший кандидатскую по теме «Туберкулёз у лиц, страдающих хроническим алкоголизмом») любил приговаривать:
- Кровь фтизиатра дорого стоит, потому что из неё можно делать прививки от туберкулёза, а если я ещё раз увижу, что вы, Павел Владимирович, рукавом дверь открываете – то я всей вашей компашке двойки поставлю».
Через пару занятий мы привыкли и стали открывать дверь локтем.
Пациенты
Наблюдаем в окно, как группа маргинальных личностей в больничных пижамах, ковыляет по мокрому снегу к дырке в заборе, курит за территорией центра, а потом гуськом направляется в сторону ближайших домов частного подворья.
- За самогоном потянулись, - вздыхает Павел Степанович.
- Так может выгнать их за нарушение режима?
- У них открытая форма, - качает головой доцент. – Бывшие зэки. Бомжуют теперь. В их среде ходит информация, о том, что если совсем запустить туберкулёз, то при определённом везении можно получить от государства квартиру для отдельного проживания. Вот они и бухают вместо лечения. Таблетки только на них переводим. Половину в унитаз выплёвывают. Вместе с кусками лёгких.
- А что, квартиру правда дают?
- Я вам этого не говорил, - хмурится преподаватель.
Стоим во дворе, ждём, когда появится пациент, которого нам отдали на курацию. Откуда-то с неба (на самом деле из окна второго этажа) доносится громоподобный голос Павла Степановича:
- Петров!
Тишина.
- Петров, я тебя вижу! Даже не думай прятаться!
Откуда-то из-за стены показывается небритый мужичонка в больничном. Держит руку за спиной, прячет дымящийся чинарик.
- Петров, у тебя какой диагноз?
- А чё? У нас тут всех один диагноз.
- Так чего же ты с этим диагнозом куришь?
- А чё?
- Ничё! – огрызается доктор. – За территорию иди. Курение на территории медучреждения запрещено.
- Какой туберкулёз?! – возмущается возле лаборатории пациентка лет сорока.- Туберкулёз – это когда кровью кашляют. А я не кашляю вообще. Врачам этим лишь бы денег вытащить. Я жаловаться буду! В Минздрав! Президенту!
У пациентки туберкулёз почки.
Санаторий.
Занесло меня как-то по делам в славный город Богушевск. Славен он тем, что находился в нём санаторий для больных туберкулёзом. Ну как санаторий – первый этаж здания загородили решётками и свозили туда больных «зэков», а второй этаж отвели для «гражданского» населения. Очень приятное соседство.
Приезжаю на электричке – около вокзала тусуются полдесятка мужичков в синих телогрейках. На спинах большими буквами «Туберкулёзный санаторий». В санатории отбирают свою верхнюю одежду и выдают вот такие телогрейки. Прохожие обходят компанию за полкилометра. А этим того и надо. Купили в магазине бутылочку и распивают прямо на улице.
По субботам в санатории танцы. На свидание приходят дамы и кавалеры. У каждого второго БК+. Санитарки ругаются. Пациенты мажут ручки дверей мокротой.
- Психология, - качает головой врач-фтизиатр. – Заразился сам – зарази другого.
Морг
Кафедра патанатомии – больничный морг. Преподаватель вскрывает тело умершей от туберкулёза девочки лет десяти. Под ножом то и дело хрустят кальцинированные туберкулёмы. Мы в масках, перчатках, но всё равно страшно.
- Не бойтесь, - ворчит преподаватель. – Она уже мёртвая. Живых бояться надо. Они опаснее.
В графе «Причина смерти» пишет «пневмония». Приказ Минздрава – снизить смертность от туберкулёза.
Но я вам этого не говорил.
Проект книги "Сообразим на троих", написанный в соавторстве с @yulianovsemen, завершается через 18 часов. Проект уже набрал 102% и состоялся. Спасибо всем, кто поучаствовал.
По всем вопросам писать сюда https://vk.com/public139245478
Пикабу, нужны советы!
Доброго времени, пикабушники, помогите, пожалуйста, хоть немного поднять пост, комментарии для минусов внутри. Сложилась трудная ситуация в семье и нужна помощь. Сразу оговорюсь, что денег и других материальных средств нам не нужно, просто хотелось бы получить информацию от знающих людей либо тех, кто пережил нечто подобное.
Сразу извинюсь, что лезу на развлекательный портал с постом не того формата, но надеюсь на добрую мощь Пикабу.
Если вкратце - моя мама заболела туберкулёзом, ей назначили операцию по удалению верхней доли правого лёгкого, а до и после операции - курс очень сильных таблеток (пьет их уже 4 месяца).
Операцию изначально назначили на ноябрь-декабрь, но потом ее перенесли на время после праздников и сейчас никакой конкретики нет. Мама продолжает пить лекарства, но от них пошла побочка и стали хворать желудок и достаточно сильно печень. На этой почве у нее начались сильнейшие страхи, панические атаки, нервные срывы и пр. Обращались к нескольким психотерапевтам, назначили транквилизаторы (феназепам маленькими дозами), от которых присутствует эффект привыкания и которые тоже оказывают влияние на печень, в связи с чем она перестала их пить и страхи стали еще больше.
Сейчас мама не может нормально спать, отсутствует аппетит, у нее постоянные ужасные мысли о том что она не вылечится, страхи, мол, лечишь основную болезнь - страдает всё остальное, лечишь все остальное - страдает вообще все, пьешь успокоительные - опять же садишь печень, без успокоительных не можешь от слова совсем.
Я думаю, ей очень поможет совет или история людей, которые сталкивались с подобным, и как психологически это все пережить? Конечно, мы поддерживаем ее всей семьей как можем, но хотелось бы мнение со стороны. И если здесь есть гепатологи или врачи, разбирающиеся в печени, что вы можете сказать, нормально ли, то что показатели АЛТ и ГГТ прыгают и остаются высокими, в среднем в два раза больше нормы (до уколов были выше), с условием что ставили уколы и пьются таблетки Гептрал? Мама очень боится, т.к. лечение еще будет продолжаться очень долго.
Всем огромное спасибо за то, что прочитали и за ответ заранее!
Про Бесплатную и Платную Медицину Defolt Sity
На небольшой волне медицинских тем решил поделиться своей :
Предыстория : 6 декабря в в районе обеда решил попить водички.. Вышел в магазин , стою курю (курить очень вредно никогда так не делайте) , поперхнулся немного слюной , начинаю кашлять , вдруг откуда не возьмись ( а точнее потом было понятно откуда) вылетает из меня кровь , достаточно обильные большие капелюхи крови , естественно водичку покупать сразу же перехотелось , бегом домой попутно вызываю СМП , все описываю , пока поднимаюсь в лифте еще пару приступов такого "веселого кашля" Ложусь и жду бригаду. Ждал минут 5-7 (действительно приехали очень быстро) Врач внимательно меня выслушал и сразу же предположил что это острый бронхит с кровохарьконьем , предложил отправится в больницу с чем я безоговорочно согласился , сделав кровоостанавливающий укол внутривенно , мы отравились в путь ) На этом пожалуй приятные моменты моего рассказа закончились.
Продолжение : По приезду в 70 больницу им Мухина меня выслушал уже Врач в приёмном отделение , спросил про количество крови и начал заполнять бумаги , количество крови удалось продемонстрировать очень наглядно как итог : вся раковина в кабинете в крови , часть полна и одежда (моя) , Укол упорно отказывался действовать , а кашель уже переходил в рвотные (простите) позывы , далее начались стандартные процедуры : кровь из пальчика , ЭКГ , Флюрография , данные процедуры ничего не показали , ясности не внесли , решили сделать мне МСКТ чему я очень сильно обрадовался ( На самом деле за это и сейчас им по большому счету большое спасибо ) Отвели меня на процедуру , перед началом которой со мной мило беседовали врачи , санитарка которая везде меня водила (бабушка божий одуванчик) , но после процедуры все очень сильно изменилось.
Продолжение далее : Мне Выдали Маску и вывели в коридор , санитарка уже сидела в маске , сказали уже чуть ли не грубо "отойди от кабинета и сядь в уголок" до ближайшего человека метров 10 , на первый вопрос - Что случилось? Мне Говорят у тебя Туберкулез! в Форме которая заражает, в этот момент я ощущаю ситуацию удара по голове чем то мягким но тяжелым , не могу сразу переварить , мысли в голове начинают кипеть , Врач уходит я даже не сразу соображаю задать ему вопросы , пытаюсь что то узнать у ранее веселой санитарки - скупые ответы "-Я Ничего не знаю" - Я не доктор и тп. На просьбу выйти покурить мне отвечают- сиди тут , малоли куда еще убежишь . сижу жду пока вынесут снимки и описание. Вынесли Отправляется обратно в Приёмное отделение. Там уже Доктор который меня осматривал сам в маске , ведет меня в другой кабинет просит подождать , на нервной почве или от того что все же покурил , кашель снова возвращается с новой силой , на мою просьбу что то сделать с этим - Подожди щас придёт доктор все расскажет. сижу жду , Заходит еще один доктор тоже в Маске на Бейдже - Врач терапевт. Начинает мне говорить - Ну Вам уже все сказали , я думаю Вам все понятно начинает рассказывать как всем сейчас будет тяжело что мне надо отдельную палату , что Даскинтеста у них почему то нету, и что намного лучше мне будет сейчас уйти а завтра попасть к фтизиатру который мне уже все очень подробно расскажет и обязательно меня вылечит , при этом давая мне бумагу что бы я подписал на Отказ от Госпитализации наблюдения , параллельно рассказывая что даже если я откажусь все равно все очень будет долго , пока Вызовут Фтизиатра пока он придет и тп , вообщем больше плюсов уйти от них щас чем оставаться , На мой вопрос что может они хотя бы остановят кровотечение до конца , мне сказали : Окей сейчас сделаем тебе капельницу и поедешь домой. Ушел , через 15 минут возвращается говорит - "Делать мы тебе ее не будем , мол долго это мы тебе вот все тут написали , и название капельницы и как делать , сделаешь , Всего доброго поправляйтесь и тп."
Я выхожу совершенно в акуе , в шоке пытаюсь понять что вообще произошло , что за все время с обеда до глубокой ночи ( а уже было 12 ночи) мне сделали только 1 укол и то его сделал Врач СМП , что мне никак не помогли , вызываю такси еду домой предвкушаю очень веселую жизнь.
На следующий день отправляюсь в ТубДипансер , благо мой доктор принимала утром в первую половину дня , отсидев в маске пару часов попадаю на приём , они изучает снимки , заключение , и выписку и сама начинает акуевать , что Врачи 70 ничего не сделали , ни по стандартам ни по инструкциям. Назначает кучу Анализов и в том числе и рентген , говорит что по Снимку КТ похоже и на ТУб и на Онкологию и чуть чуть на Пневмонию , тут я уже офигеваю второй раз за сутки ,веселого мало одна печаль. мне выдают кучу баночек для мокроты , направления с подробными объяснениями что как сдавать и когда. Еду домой , держусь уже по сути почти из последних сил и радуюсь что не положили в диспансер.
8 Декабря я уже возвращаюсь сдаю все анализы в том числе очень важный "ДаскинТест" который быстрее всего почти 100% сообщает о наличии или отсутствия туберкулеза , параллельно сдаю анализы в частной лаборатории, Проходят анализы на следующий день - Везде все отрицательно , даскинТест никак не проявляет себя , еду через 3 дня радостный думаю "Сейчас меня отпустят будем лечится дальше только не понятно от чего" - скажу сразу - фиг там был отпускать меня просто так никто не собирался, на распечатку анализов с печатями лаборатории мне заявили сразу - Организация частная , Вы могли вступить в сговор они Вам написали все что вам нужно , ждем наших анализов ( С одной стороны понимая сейчас Врач действительно действует на удивление максимально честно , и в ее словах есть очень большая доля правды ) Даскинтест сам по себе как единичный анализ- не учитывается надо ждать анализы мокроты , параллельно выписывает мне 2 антибиотика на неделю и направление на контрольный снимок рентгена что бы следить это все в динамике.
Кровохарьканье у меня продолжается но уже немного меньше. Всю неделю провожу как на иголках в ожидании уже чего угодно , нервы выгорают просто нереальными количествами , диагноз не известен, время идет , лучше я себя сам не чувствую и долбанное кровохарьканье никак не проходит, В поликлинике терапевт лишь перепечатывает бумаги из диспансера и продлевает больничный. Наступает День Х , Я приезжают делаю "контрольный рентген" Жду Результатов - УРА Пневмония в стадии рассасывания , фтизиатр выписывает мне все бумаги дает свои реккомендации и направляет уже лечиться у терапевта , указывая на то что необходимо долечение так как курса 2х антибиотиков она считает мало но это уже не ее "зона ответственности" . Прилетаю в поликлинику бегу к дежурному по живой очереди , весь веселый воодушевленный думаю щас все мне назначат и я скоро поправлюсь, Попадаю к Врачу и после 5 минут общения понимаю - Что попал Я очень и очень сильно. Врач вообще меня не слышал , из лечения назначил мне лишь то что я ей сам сказал со слов фтизиатра (устных) , про кровоостанавливающие со слов знакомого хирурга уколы 3 раза в день Этамзилат и Вегантол. говорит давай закроем больничный , ты здоров мои поздравления! Тут я начинаю сдавать заднюю что с собой у меня его нету (хотя он есть) но я понимаю что не может человек с 6 декабря по 18 декабря харькающий регулярно кровью быть здоровым , прошу что бы она проконсультировалась еще с кем то , так как я полностью не согласен с её мнением , с недовольным лицом мы идем к Зав отделением , меня просят подождать минут 10 за дверью пока они там общаются за меня и без меня - что выбесило очень сильно , по моей логике было бы верно выслушать меня как пациента чем врача которая меня даже не пыталась услышать или понять ,а итоге меня пригласили , послушали сказали что : Кровохарьканье это остаточное от пневмонии не парься иди домой больничный мы тебе продлим на пару дней , типо отдохни приди в чувство , анализы тебе сдавать не нужно никакие ничего не надо , вообще ты здоров как бык . Ухожу начинаю закипать.
P/S очень много букв получилось , да и писатель из меня вообще не очень , прошу прощения за ошибки и за "кривое написание" - если хоть кому будет интересно напишу еще одну часть про уже платную медицину , про пульмонолога , и про то как ситуация развивается по сегодняшний день и она еще никак не закончится.
Предновогоднее интервью торакального хирурга высшей категории КОГБУЗ ОКПТД, к.м.н. Свинцова А.Е. Доктору Честному.
ДЧ: - Здравствуйте, Андрей Евгеньевич! Какие перемены происходят в лечебном учреждении, где вы трудитесь, после публикации «Обращения» торакальных хирургов на моей странице ВК?
А.Е.: - Здравствуйте, Доктор! Изменения имеются. В аппарате Правительства Кировской области зашевелился кто-то большой и опасный. Вызванные его телодвижениями масштабные бюрократические сдвиги были скрыты от посторонних глаз, но погнали волны, которые на мелководье КОКПТД обрели эффект цунами, в том числе и для лиц, осмелившихся «вынести сор из избы».
Во-первых, в ночь с 14 на 15 декабря был восстановлен в диспансере компьютерный томограф, и теперь больные туберкулезом люди вновь обследуются на нем там, где им и положено это делать. И это замечательно!
Во-вторых, врачи диспансера извещены администрацией ОКПТД о том, что с января 2018 г. вводятся для торакальных хирургов дежурства на дому. Дежурный фтизиатр будет оказывать помощь в двух лечебных корпусах учреждения. Ему в связи с расширением зоны обслуживания установят доплату за качество работы. Мое отношение к этому событию скорее отрицательное. При необходимости готов пояснить свою позицию по этому вопросу.
В-третьих, я написал «Объяснительную» главному врачу по поводу недостатков оформления истории болезни. Пообещал к ведению медицинской документации быть предельно внимательным. Мой ответ руководителя учреждения не удовлетворил. Нужно письменно признать свои ошибки. По пунктам! Буду, вероятно, ежедневно вместо лечебной работы писать от руки «Объяснительные», подробные дневники, эпикризы, обоснования клинического диагноза и т.д. «От руки» потому, что компьютер в ординаторской установлен руководством диспансера один. В моем случае возможна общеизвестная схема административной расправы с неугодными работниками: «объективное» замечание-второе замечание-выговор-второй выговор-увольнение. Посмотрим. То, что я не параноик, демонстрируют изложенные ниже факты.
В-четвертых, торакальному хирургу Зыкову Г.А. заместителем главного врача по лечебной работе Мясниковой Т.В. публично обещан выговор за привлечение им к успешно проведенной операции в качестве первого ассистента терапевта ОКПТД. «Объяснительную» по этому поводу написал и заведующий ТХО, допустивший такой проступок подчиненного. Ждем в отношении их обоих санкций. Начмед «забыла», что сравнительно недавно, без всякой на то производственной необходимости на такой же операции ассистировал фтизиатр – бывший главный врач диспансера. Врачу-эндоскописту ОКПТД, пожаловавшемуся ей несколько лет назад на принуждение к участию в хирургических вмешательствах со стороны заведующего торакальным отделением из-за нехватки хирургов, ею же было рекомендовано не уклоняться от этой работы. Даже студенты медицинского университета привлекались в качестве первых ассистентов к нашим полостным операциям! А ответят за все эти «безобразия» Зыков Г.А. и Храмцов В.Е.? На основании какого нормативного документа?
В-пятых, начмед пообещала молодым торакальным хирургам серьезные неприятности в случае, если они посмеют отказаться от дежурств на дому: «Там (ее палец указал на потолок) следят за вашим поведением, и при отказе от внутреннего совместительства вы будете наказаны. После увольнения из ОКПТД с «волчьим билетом» о врачебной работе в Кировской области можете забыть». Хорошо, что не расстрел пообещала! А лица, расположенные по иерархической лестнице выше Татьяны Владимировны (следую взглядом за ее указательным пальцем), действительно знают о ее намерениях в отношении послушных, только начинающих профессиональную деятельность, хирургов? Они разделяют ее рабовладельческие взгляды на производственные отношения?
Таковы наиболее значимые, на мой взгляд, перемены в диспансере.
ДЧ: - Объясните мне, пожалуйста, причины Вашего негативного отношения к введению дежурств торакальных хирургов на дому.
А.Е.: - Администрация диспансера планирует госпитализацию больных, нуждающихся в экстренной помощи по профилю торакальная хирургия, в отделение реанимации ОКПТД. К этим пациентам при необходимости будет вызван из дома специалист-торакальный хирург. При развитии угрожающих жизни больных осложнений в послеоперационном периоде врач анестезиолог-реаниматолог разберется в ситуации, окажет немедленно нужную помощь и вызовет на себя специалиста. Беда только в том, что дежурного медицинского транспорта в диспансере нет, «скорая помощь» перевозкой членов операционной бригады не занимается. Хирург будет добираться из дома до работы на такси. В случае необходимости выполнить операцию после осмотра больного, он вызовет хирургическую бригаду, которая также будет доставлена в клинику таксистом. Дождется ли пациент столь «экстренной» помощи?
Другой серьезный недостаток предложенной администрацией ОКПТД тактики оказания экстренной помощи пациентам пульмонологического профиля – это эпидемиологические издержки. Пациенты с пневмотораксом или тяжелой пневмонией окажутся в отделении реанимации в одном помещении и даже на соседних койках с больными-бактериовыделителями, госпитализированными по поводу угрожающих их жизни осложнений туберкулеза. Ущербные органы дыхания первых из них неизбежно окажутся легкой мишенью для палочки Коха.
Не вижу также при рассматриваемом нами сейчас подходе к организации дежурств в диспансере путей решения проблемы оказания специализированной помощи маленьким пациентам детского отделения. Не было сертификата на оказание такой помощи у дежурных хирургов, не будет его и у дежурных фтизиатров. А в детском отделении должен работать сертифицированный педиатр! На это святое дело хорошо бы выделить хоть частицу малую из больших миллионов, полученных бюджетом области от медицинского туризма.
ДЧ: - Что заставляет Вас, Андрей Евгеньевич, длительное время отстаивать свои права и права других работников диспансера? Ведь денег и почета за эту деятельность от своего руководства Вы явно не дождетесь!
А.Е.: - Я в диспансере с 1986 года. Много лет занимался общественной работой. Отвечал за охрану труда в профкоме, дважды избирался председателем этой общественной организации, руководил комиссией по трудовым спорам. Участвовал в выработке текста коллективных договоров, по которым длительное время мирно и плодотворно трудился коллектив диспансера. При этом соблюдался баланс интересов работодателя и рядовых членов коллектива, находились в спорах приемлемые для обеих сторон компромиссы. Бывали и судебные разбирательства. Есть у меня такой успешный опыт. В начале века, например, в областном суде удалось выиграть тяжбу по поводу заниженных руководством области размеров заработной платы бюджетникам. И сейчас сотрудники ОКПТД честно, с соблюдением всех необходимых для этого формальностей, выбрали совет трудового коллектива для защиты своих прав. Меня избрали председателем совета трудового коллектива, в том числе и для заключения справедливого, соответствующего духу Закона коллективного договора. Администрация диспансера с помощью председателя профкома незаконно прервала коллективные переговоры, навязала коллективный договор, ухудшающий по сравнению с действовавшим ранее договором условия труда и отдыха сотрудников. Не могу с этим смириться. Обидно за коллектив, жалко своих потраченных ранее на выработку предыдущих договоров трудов. И только слепой не видит, что культивируемое в диспансере его руководством беззаконие добра никому не принесет!
ДЧ: - Вы обвиняете профком ОКПТД в преступном сговоре с администрацией диспансера при заключении коллективного договора в 2016 году. Каково Ваше отношение к нынешней профсоюзной организации, объединяющей значительную часть коллектива работников учреждения?
А.Е.: - К великому моему сожалению профсоюзная организация диспансера переживает глубокий упадок. Она объединяет менее половины работников учреждения. И это ее основная беда. Сильно пострадала материальная база организации. Еще недавно профком пользовался двумя помещениями в цокольном этаже административного здания ОКПТД. В одном из них хранился многочисленный спортивный и мягкий инвентарь, в другом проходили ежемесячные заседания профкома, проводились репетиции спектаклей и выступлений художественной самодеятельности диспансера, переодевались перед выходом на сцену участники этих мероприятий, приглашенные на торжества артисты. Кипела МИРНАЯ общественная жизнь. Сегодня помещения у профкома нет. При этом трудовой кодекс РФ предъявляет обязательное требование руководителю учреждения предоставить оборудованное помещение профкому бесплатно. А вот о помещениях для администрации, бухгалтерии и другого обслуживающего персонала в трудовом кодексе РФ упоминаний нет!
И раз уж речь зашла о профсоюзной жизни, то нужно сообщить и следующий важный факт. Общественный совет диспансера, руководителем которого я являюсь, в состав которого входит и председатель профкома, обращался в этом году к главному врачу с просьбой о проведении ремонта стен сцены актового зала в приоритетном порядке. Сейчас струпья краски на обветшалых стенах спрятаны за белым аккуратным экраном. Прямо иллюстрация к жизни нашего учреждения! Денег «реконструкция» стен потребует немного, а концерты и спектакли понемногу возобновятся.
ДЧ: - Большое спасибо, Андрей Евгеньевич, за интересную беседу!
Всегда готов представить Вам трибуну для заявлений, обращений, призывов, идущих во благо труженикам здравоохранения. Да и просто пообщаться, как сегодня, заходите. С наступающим Новым Годом!
АЕ: - Спасибо Вам, Доктор, за интересные вопросы, заданные в дружелюбной форме!
Всегда рад навестить Вас. Если будут срочные новости – поделюсь ими немедля.
С наступающим Новым Годом. Счастья, удачи, терпения,
благополучия всем работникам здравоохранения.
Прошу помощи
Я болен туберкулезом. Диагностировано в 11.2016. В области три тубинара. В моем городе лечился с обнаружения. Выявлена активная форма + МЛУ (множественная лекарственная устойчивость). Предлагают ехать в областной центр, для получения необходимых препаратов. Лечение занимает от 2х до 6и месяцев и сводится к приему трех-четырех таблеток в день (может быть + вм инъекция) На мой вопрос в прокуратуру был получен ответ, что только этот диспансер отвечает "принятым нормам" в лечении моего заболевания. Знаю из личного опыта (супруга также сейчас проходит лечение в областном центре, заразилась от меня), что никакой разницы в содержании между диспансерами нет. Есть просто желание контролировать поток финансов, в том числе и на медикаменты, так как химиотерапия по 4 режиму возможно дорога . Мне дали 2ю группу по туберкулезу, ехать лечиться в областной центр, не хочу по двум причинам, на пенсию не прожить + спиться я могу и дома, лечение обычными препаратами показывает какой-то эффект, то есть регресса нет, я набрал вес, но не более. После ответа из ДЗ области написал обращение в Минздрав. Пожалуйста подскажите, как действовать. В ответе с департамента области ссылаются на п. 21 Приказа МЗРФ от 15.11.12 № 932н, плюс есть вот такой документ Приказ ДЗО Волог. области от 18 июля 2013 года № 884 приложение № 7. Есть в открытом доступе. Жить то по живу, но хотелось бы совета, есть ли варианты ?




