Случай из радиологической практики: ДТП с участием ребёнка
Всем привет!
Продолжаю выкладывать интересные случаи из радиологической практики (напомню, что я работаю врачом-радиологом, занимаюсь всеми модальностями: рентген, маммография, КТ, МРТ, УЗИ, рентгеноскопия + интервенции; и мы обследуем как взрослых, так и детей).
Итак, поступила девочка, 7 лет. После ДТП (переходила дорогу на красный свет, водитель поздно сориентировался и почти на полной разрешённой скорости - 40-50 км/ч - произошёл наезд), обнаружена бригадой скорой без сознания, на месте заинтубирована, в состоянии комы доставлена в больницу. Сердечно-лёгочная реанимация на месте НЕ ПРОВОДИЛАСЬ (остановки сердечной деятельности / дыхания не было).
Сделали компьютерную томографию почти всего тела по протоколу множественной травмы (голова, шея, органы грудной клетки + органы брюшной полости включая позвоночник и таз).
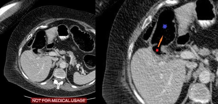
Здесь прилагаю только КТ головы, на котором особых патологических изменеий выявлено не было:
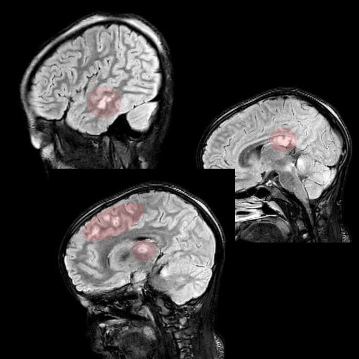
На 3й день после травмы из комы так и не вышла, посему сделали МРТ, на котором обнаружились участки повышенного сигнала на Т2-взвешенных изображениях на границе серого и белого вещества фронтально и темпорально справа, а также в область правого таламуса и в заднем отделе мозолистого тела т.н. сплениуме:
которые визуализировались и на FLAIR:
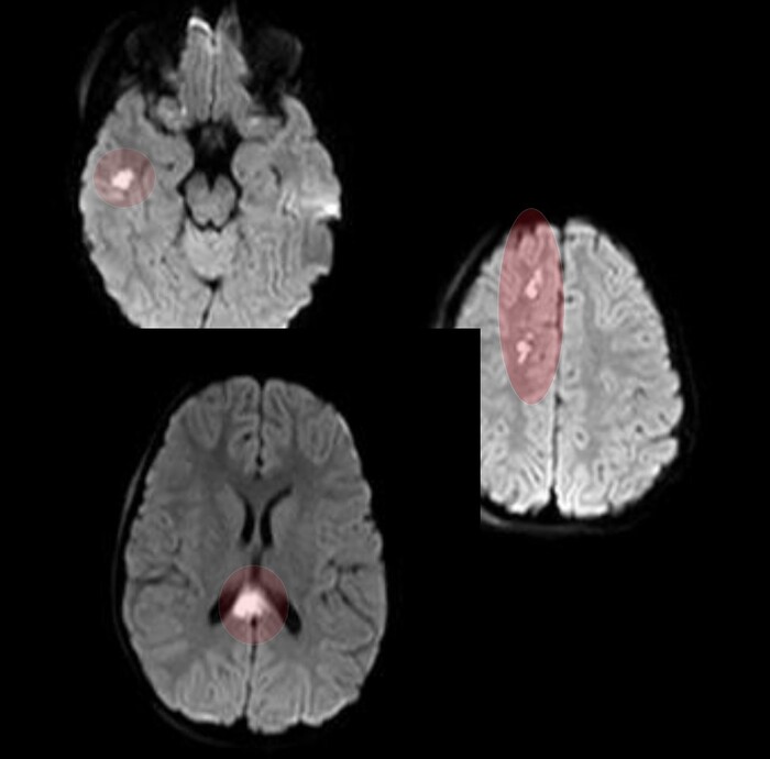
Очаги показывали также ограниченную диффузию на DWI-изображениях:
Ну и в довесок на SWI-изображениях (специальная импульсная последовательность, взвешенная по магнитной восприимчивости, усиливает сигнал от продуктов распада гемоглобина, что значительно повышает способность распознавать мельчайшие кровоизлияния в головном мозге) были выявлены очаги микрокровоизлияний в поражённых участках + в верхней ножке мозжечка и вдоль кортико-спинального тракта справа (чёрные пятна на изображениях):
Ну и что? - спросите вы. Да, есть набольшие изменения в головном мозге, но не так чтобы "кровь-кишки-распидорасило". В общем и целом ведь всё более-менее?
Тут позволю возразить: представленное выше - одно из встречающихся тяжёлых последствий черепно-мозговой травма, а именно т.н. ДАП или диффузное аксональное повреждение:
Диффузное аксональное повреждение (ДАП) - это тяжелая форма травматического повреждения головного мозга возникающая за счет воздействия сдвигающих сил. Диффузное аксональное повреждение потенциально трудно диагностировать, поскольку проявления при компьютерной томографии могут быть едва различимы, однако оно может приводить к тяжелым неврологическим нарушениям.
Диффузное аксональное повреждение является результатом воздействия сдвигающих сил возникающих при ротационном ускорении (реже торможении). Из-за разной плотности (относительная масса в единице объема) белого и серого вещества сдвиг происходит преимущественно в аксонах на границе серого и белого вещества, это и отражает название патологии. В большинстве случаев эти силы приводят и к повреждению клеток, что проявляется отеком. Но полный разрыв аксонов происходит только в тяжелых случаях.
И небольшое видео на английском для чуть большего понимания:
В нашем случае это было ДАП 3 (максимальной) степени тяжести.
Девочку перевели в соседнюю крупную клинику для дальнейшего наблюдения / лечения. 2 недели спустя наш нейропедиатр сообщил, что она так и не пришла в сознание, продолжая оставаться в состоянии комы. Дальнейшая её судьба мне не известна.




























