Случаи из практики: а клинически так было похоже на почечную колику!
Всем привет!
Давно что-то не было случаев из радиологической практики. Пора исправить!
Напомню, что я работаю врачом-радиологом в больнице, занимаюсь всеми модальностями (рентген, КТ, МРТ, УЗИ, маммография, интервенции), и выставляю здесь интересные, на мой взгляд, случаи. Все пациенты обезличены, никаких данных, кроме пола и возраста, не оглашается.
Но начать я хотел вот с чего:
Поздравляю всех с наступившим Новым Годом и желаю, чтобы он был не хуже, а даже лучше предыдущего!
Приступим!
Пациентка, 32 года. Поступила с жалобами на сильные коликообразные боли в правых боковых отделах живота с иррадиацией в правый низ живота. Из анамнеза известно, что подобные боли были уже за 15 лет до этого случая, и тогда диагностировали камень в почке. При осмотре определялась боль при пальпации в правых нижних отделах живота, положительный симптом поколачивания в области правой почки. Лихорадки не было. Анализ мочи, что удивительно, без патологии. Несмотря на возраст решили сделать КТ по экстренным показаниям (сначала нативный скан, потом с контрастом).
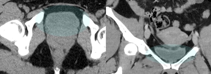
Почки без видимой патологии, особенно правая почка без камней или признаков застойности (чашечно-лоxаночная система не расширена). Особенно правый мочеточник практически не прослеживается, что очень хорошо: значит он не расширен, просвет пуст:
Мочевой пузырь пуст (за исключением небольшого количества мочи), а значит выход камня в его просвет тоже можно исключить:
Однако в малом тазy, в области правого яичника было обнаружено округлое образование с чёткими контурами и размером 4 х 4 см, которое содержало преимущественно жир и некоторые плотные включения:
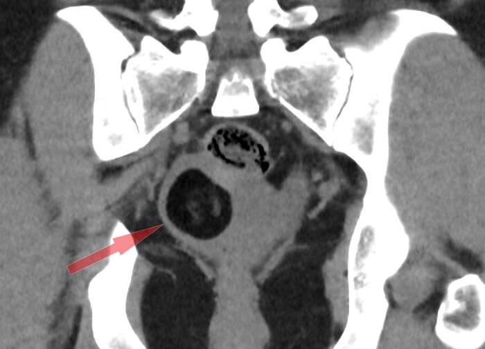
Дополнительно обращал на себя внимание геморрагический (с примесями крови) выпот в дугласовом пространстве:
Со средней плотностью 29 HU (вода 0 HU- +10 HU, жир -200 HU - 0 HU, вода с примесями крови - выше +20 HU):
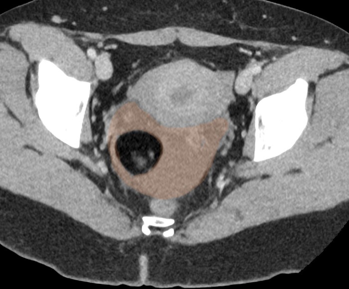
С определением типа образования правого яичника проблем особых не было: так выглядит классическая зрелая тератома на КТ.
Проблема была больше в выпоте с кровью в малом тазу, т.к. это не нормально (у женщин детородного возраста допускается некоторое количество свободной жидкости в малом тазу, но в совсем небольших и без значительных примесей крови), а значит тут, скорее всего, имеется острая патология, и скорее всего правого яичника в виде перекрута оного вокруг своей оси на фоне тератомы. При повторной оценке корональных срез было локализовано место перекрута (симптом "водоворота" сверху от правого яичника):
Больная была передана гинекологам, в тот же день прооперирована (яичник, несмотря на его жизнеспособность, удалили, т.к. тератома занимала его практически полностью и сохранять яичник смысла не было: он бы всё-равно не смог выполнять свою функцию) и через несколько дней благополучно выписана домой.
На этом всё. Хорошего дня!
Случаи из радиологической практики: перелом висельника
Всем привет!
Очередной случай из моей радиологической практики.
Женщина, 66 лет. На прогулке внезапно закружилась голова и пациентка упала, ударившись сильно головой с потерей сознания (примерно 5 мин, с её слов). Она самостоятельно добралась до дома, где обратила внимание на усиливающиеся боли в шее, по поводу которых и обратилась в больницу.
Учитывая, что больная получала антикоагуляционную терапию (кроверазжижающие препараты) было проведено КТ-обследование не только шейного отдела позвоночника, но и головы (последнее было без патологии, поэтому показывать не буду). Провели также дополнительно КТ-ангиографию сосудов шеи для исключения диссекции позвоночных артерий (исключили, поэтому тоже не показываю).
Итак, на КТ шейного отдела позвоночника, а именно на боковых (сагиттальных) реконструкциях бросалось в глаза смещение вперёд тела 2го шейного позвонка относительно третьего шейного позвонка с т.н. "ступенькой":
Причиной этого могут быть как дегенеративные изменения (артроз) межпозвоночных суставов, так и травматические повреждения с возникшей нестабильностью. Второе как-раз и обнаружилось на поперечных (аксиальных) реконструкциях, где определялся двустронний перелом ножек второго шейного позвонка:
Который лучше всего был виден на боковых (сагиттальных) срезах:
И на 3Д-реконструкции:
Данный тип перелома имеет своё название: перелом висельника (или перелом палача, или перелом Хангмана). Впервые был описан у повешенных в 1913 году. В 1964 году R. C. Schneider и соавт. опубликовали статью, в которой указывалось на сходство повреждений шейного отдела позвоночника при дорожно-транспортных происшествиях и у повешенных. Термин "перелом Хангмана" возник как сленговое произношение "hangee" fracture -> "hangman fracture".
Механизм перелома экстензионно-дистракционный (экстензия - разгибание, дистракция - растяжение). Перелом сопровождается повреждением связочного аппарата позвоночника (в частности передней и задней продольной связки), что дополнительно усиливает его нестабильность.
Лечение оперативное, что и было сделано (но не у нас, а в соседней университетской клинике, картинок после операции у меня поэтому нет).
Всем хорошего дня!
Случай из радиологической практики: увеличение живота в объёме в течение 6 лет
Всем привет!
Продолжаю потихоньку публиковать случаи из моей радиологической практики.
Итак, мужчина 65 лет. На протяжении последних 6 лет отмечает увеличение живота в объёме, ощущение тяжести, изжогу. Направлен с диагнозом "подозрение на объёмное образование правой почки".
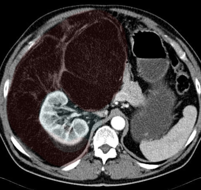
Было проведено КТ-обследование органов брюшной полости, где обращало на себя внимание необъятное объёмное жиросодержащее образование в забрюшинном пространстве с эпицентром справа, заполняющее собо практически весь живот:
Образование (красным) охватывало со всех сторон правую почку (голубым):
И имело солидный компонент:
Признаков инвазии (прорастания) в окружающие органы не было.
Согласно радиологической картине был выставлен предварительный диагноз забрюшинной липосаркомы.
Больной успешно прооперирован, образование удалено полностью, но правую почку спасти не удалось (она была полностью окружена опухолью, посему пришлось удалять комплексом).
Гистологический диагноз: высокодифференцированная забрюшинная липосаркома.
Не болейте!
Случай из практики: любительница подзарядиться
Очередной случай из радиологической практики (напомню, что работаю врачом-радиологом в больнице).
Постоянная клиентка нашей больницы (возраст 44 года, за последние 2 года 16 подобных эпизодов) с шизоаффективным расстройством. Поступает постоянно с одним и тем же: проглатывание инородных тел, а именно элементов питания формата АAА (мизинчиковые батарейки), котороe сопровождается обильным приёмом бензодиазипинов и новальгина.
В этот раз батареек было 27:
КТ-топограмма
КТ корональная реконструкция
КТ аксиальная реконструкция
КТ 3Д-реконструкция
Каждый раз наблюдается несколько часов в реанимации (из-за приёма сильнодействующих препаратов), потом переводится в психиатрическое отделение больницы по месту жительства с рекомендацией проведения эндоскопии (у нас не делают, т.к. 1) поступает обычно поздно ночью, и на следующее утро уже переводят; 2) нет показаний к экстренной гастроскопии, но к срочной в течении 24 часов).
Всем хорошего дня!
Развитие радиологии наглядно
Как начиналось/Как дела сейчас.
8 ноября - международный день радиологии!
Вчера в рутинной суете (+ вечернее дежурство дало о себе знать) совсем упустил из виду, но лучше поздно, чем никогда:
Поздравляю всех, кто так или иначе связан с лучевой диагностикой, с международным днём радиологии, который отмечался вчера 8 ноября!
День приурочен к дате, когда Вильгельм Конрад Рентген открыл рентгеновское излучение - 8 ноября 1895 года. Праздник является совместной инициативой Европейского общества радиологии (ЕSR), Радиологического общества Северной Америки (RSNA) и Американского колледжа радиологии (ACR) и был впервые отмечен 8 ноября 2012.
Случай из радиологической практики: Амнезия
Всем привет!
Очередной интересный (на мой взгляд) случай из радиологической практики.
Пациентка, 65 лет. Поступила с жалобами на внезапную амнезию, головные боли, дезориентация.
КТ-диагностика не показала каких-либо значительных объясняющих клинику изменений, только неспецифические кальцинаты в базальных ядрах (1) и обызвествление шишковидной железы (2), что соответсвует возрастной нормe:
На МРТ ангиография артерий головного мозга без патологии:
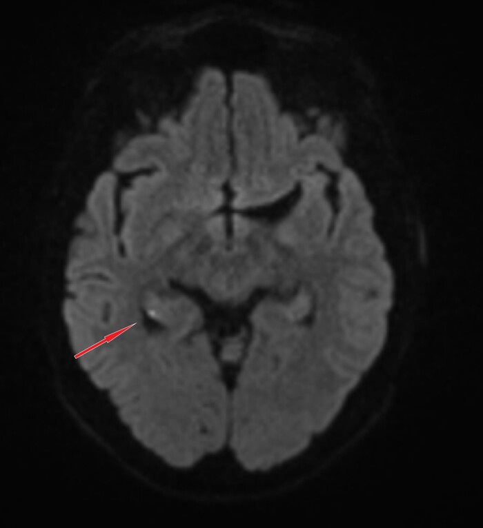
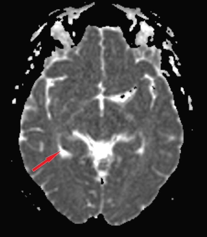
Само МРТ головного мозга тоже особых изменений не выявило, за исключением "светящейся точки" на DWI-изображениях с коррелатом на диффузионной карте:
что встречается при транзиторной глобальной амнезии (ТГА):
Kлинический синдром, характеризующийся внезапно возникшим эпизодом амнезии (антероградной, частично ретроградной), продолжительностью менее 24 часов без каких-либо других неврологических симптомов. В большинстве случаев симптомы полностью исчезают в течение нескольких часов после появления.
Частота ТГА составляет приблизительно 5–10 на 100 000 населения, обычно встречается у пациентов старше 50 лет, немного чаще у женщин.
Этиология ТГА остается не полностью понятной с различными гипотезами относительно её причины, включающими ишемию, эпилепсию, мигрень и венозный застой.
Пациентка была выписана на следующий день, т.к. состояние самолимитирующееся т.е. лечения не требуется.
Всем хорошего дня!























