Удаление зубов мудрости. Как это делается?
Уважаемые друзья, в прошлый раз мы с вами говорили о том, какие же бывают зубы мудрости, когда их нужно удалять, а когда нет. Чем чревато думать "не болит, значит все в порядке". А сегодня я подробно и во всех деталях расскажу, как непосредственно проходит удаление «приговорённых» зубов. С картинками. Поэтому рекомендую особо впечатлительным людям и беременным женщинам нажать сочетание клавиш «Ctrl +». Шутка.
С чего же начинается удаление 8-го, а в принципе, и любого другого зуба?
С анестезии.
Итак:
Анестезия (обезболивание)
Чтобы минимизировать неприятные ощущения при уколе, надо обработать место вкола специальным анестезирующим гелем. Это так называемая аппликационная анестезия. Её очень часто используют в детской стоматологии, но мы применяем её и в работе со взрослыми. Как показывает практика, неприятных ощущений становится меньше, да и вкус у неё приятный… хоть какая-то радость.
При удалении зубов верхней челюсти, как правило, достаточно простой инфильтрации анестетиком области удаляемого зуба. Проводится она с помощью специального шприца специально подобранными анестетиками и называется инфильтрационной.
При удалении зубов на нижней челюсти инфильтрационной анестезии, как правило, недостаточно (за исключением фронтальной группы зубов, от клыка до клыка). Поэтому техника обезболивания несколько меняется — анестетик с помощью длинной, но очень тонкой иглы подводят прямо к нервному пучку, отвечающему за иннервацию искомых областей. Такая анестезия позволяет «выключить»чувствительность не только в области удаляемого зуба, но и губы, подбородка, части языка и т. д.
Следует отметить, что во время и сразу после проведения анестезии могут отмечаться ряд интересных явлений — усиление сердцебиения, дрожание конечностей, необъяснимое чувство тревоги. Многие пациенты начинают паниковать по этому поводу. А паниковать не нужно! Это побочные эффекты большинства современных анестетиков, проходят самостоятельно в течение 10-15 минут.
Ну что ж, — анестезия сделана! Теперь нужно удостовериться — успешно ли она проведена?
Те места, которые в идеале должны онеметь, перечислены выше. Так же при помощи специального инструмента и надавливания на десну в области оперируемого зуба, мы определяем, остались ли еще болевые ощущения или уже нет. Единственное, что должно чувствоваться, — это ощущение того, что «что-то» касается десны. То есть тактильные ощущения все ещё сохраняются, но болевые уже отсутствуют.
А дальше наши действия различаются в зависимости от того, с каким типом зуба мудрости мы имеем дело.
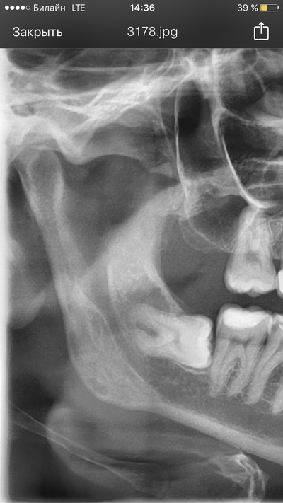
Это, как правило, самые сложные для удаления восьмёрки из всех остальных.
Мы уже обезболили операционное поле. Что дальше?
Он же под десной! Так вот — берём в руки скальпель, и проводим деликатнейший разрез в области удаляемого зуба. Таким образом, создаётся доступ к удаляемому зубу мудрости. Он выделяется из окружающих тканей с помощью специальных инструментов, и теперь мы можем визуально оценить его положение и выбрать методику удаления.
Если зуб не прорезался — значит, ему что-то мешает. Это «что-то» также будет мешать его удалению, и этим «что-то» может быть соседний зуб, костный выступ и т. д. Однако ж, не будешь же удалять еще и семёрку чтобы добраться до зуба мудрости, верно?
Поэтому мы делим зуб на части. При помощи специального наконечника с частотой вращения фрезы в 150 000 оборотов в минуту — это уже не простой угловой, но еще не турбинный. Последний, кстати, использовать для удаления зубов крайне не желательно, ибо при 500 000 оборотов в минуту легко сжечь всё аццким пламенем, а воздухом из сопла охлаждения еще и надуть эмфизему на пол-лица. В общем, для удаления надо выбирать правильные инструменты, мелочей и компромиссов тут нет и быть не может. И стоит сто раз подумать прежде, чем удалять такие проблемные зубы в стоматологическом кабинете на одно кресло при сельском клубе в колхозе «Полупустые Закрома».
Специальный хирургический наконечник для удаления зубов мудрости. Вращается с нужной частотой, обеспечивает нужный крутящий момент, не сжигает ткани и не раздувает эмфизему. В хирургии мы используем только такие девайсы.
Итак, делим зуб на 2-3 части для того, чтобы аккуратно и малотравматично для окружающих тканей его удалить. А удаляются зубы как правило при помощи «элеватора» (на картинке слева). Щипцы, которые все ассоциируют с удалением, на самом деле используются крайне редко.
Ну что ж, зуб удален. Дальше мы проводим очищение лунки зуба от «опилок» и мелких фрагментов зуба, которые могли остаться. При помощи кюреты.
При удалении зубов мудрости не используются биоматериалы, лунка самостоятельно заполняется кровяным сгустком, этого вполне достаточно для нормального заживления.
Более того, «заталкивание» в лунку биоматериалов может осложнить процесс заживления, поэтому пусть процесс регенерации проходит естественно и просто, а не причудливо, как предлагают некоторые доктора.
Ретинированные зубы удаляются, в основном, элеватором, а не щипцами, как многие привыкли думать
Сгусток на месте. Дальше сводим края раны и накладываем швы для того, что бы в рану не забивалась еда, сильно не кровило, и скорее заживало. Но в тоже время швы не должны быть тугими, ибо рана первые сутки может значительно кровоточить. И если не создать отток, зачастую развиваются отеки.
После удаления на лунку накладываются резорбируемые (рассасывающиеся) швы, чаще всего снимать их не нужно. Но все индивидуально.
В принципе методика удаления подобного зуба ничем не отличается от удаления полностью ретинированного зуба. Но, как правило, проходит немного проще, потому что зуб находится не так глубоко. Основне этапы, по сути, те же самые: анестезия, создание доступа к зубу (причём, иногда можно обойтись без разрезов), фрагментация (деление зуба на части) и, собственно, удаление зубам по частям.
После удаления нижнего полуретинированного зуба на лунку накладываются швы, в области верхних зубов мудрости наложение швов не всегда обязательно.
Удаление подобных зубов можно назвать более простым случаем по сравнению с другими, но только лишь в том случае, если у зуба один прямой корень. Тогда удаление может пройти достаточно быстро. Но такие клинические случаи встречаются крайне редко. И, посмотрев на снимок, мы видим крючья, а не корни, которые при должном давлении, могут просто сломаться. Корней обычно 2, и в таком случае нам просто нужно отделить один корень от другого при помощи все того же инструмента — «повышающего» наконечника . И аккуратно каждый из корней достать по отдельности. Начало и завершение удаления таких зубов такое же, как и у всех остальных.
Как мы выяснили из предыдущей статьи, такие зубы мы оставляем на месте. Им просто требуется уход и наблюдение, как в случае с обычными зубами.
А еще бывает…
… что зубы мудрости блокируют соседние семерки и не дают им нормально прорезаться. В таких случаях пациенты попадают к хирургу по направлению от ортодонта.
Разумеется, зачаток восьмого зуба нужно удалить. Это довольно простая и относительно комфортная операция.
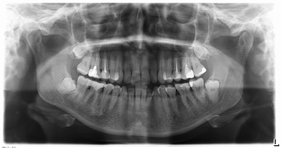
Посмотрите на снимки. Между верхним и нижним — разница в три недели. По ним хорошо заметно, что после удаления зачатков восьмёрок и «разблокировки», седьмые зубы сразу пошли в рост.
Зуб мудрости удалён. Пациент доволен. Но самое веселое еще впереди. А именно — послеоперационный период.
После удаления 8-х зубов нужно соблюдать строгие рекомендации:
— Ни в коем случае ничем не полоскать и не греть область удаленного зуба. Забудьте и не слушайте наставлений типа «надо прополоскать настойкой из плавников акул и бивней мамонта». Нет! Этого делать нельзя. Почему? А все потому, что тот самый кровяной сгусток, который, как мы уже выяснили, должен оставаться в лунке и защищать её, можно легко выполоскать. И снова мы вернемся все к тому же воспалению и, соответственно, к долгому заживлению.
— Исключить физические нагрузки, хотя бы на 2-3 дня. Для чего? А для того, что при нагрузках как-никак поднимается давление (да-да-да, даже у Арнольда Шварценеггера и Рокко Сиффреди!!!), и, при том что опять же сгусток не оформлен окончательно, рана может начать подкравливать, и плохо заживать.
— Так же исключаем общий перегрев организма. Сауны, бани, горячие ванны — нельзя. Все это так же способствует кровотечению.
— Не принимать пищу до того момента, пока полностью не отойдет анестезия. Иначе риск того, что вы можете достаточно сильно прикусить губу , язык или щеку и не заметить этого, крайне велик. Обычно это занимает около 2-3 часов. А в идеале — холод, голод, покой первые пару дней.
— А вот уж когда вы дорвались до еды, — жевать нужно только на стороне, противоположной удалению, чтобы минимизировать попадание еды в лунку.
— Не забываем про чистку зубов! Зубы нужно чистить обязательно, лучше всего мягкой зубной щеткой, для того, что бы не травмировать область удаленного зуба. И не забываем, что зуба уже нет, поэтому в этой области работаем щеткой особенно аккуратно. И! Обязательно! НЕ СТАРАЙТЕСЬ счистить белый налет, которым может покрыться десна в области удаленного зуба. Это НЕ ГНОЙ! Это — ФИБРИН! Белок, чьё наличие говорит о нормальном заживлении лунки.
— Также после удаления зуба выдается лед. Его рекомендуется прикладывать к щеке в области удаленного зуба в течение оставшегося дня. Примерно по 15-20 минут каждый час. Все так же для того, что бы минимизировать отек. Но сильно увлекаться не надо , чтоб не переморозить горло и лимфоузлы(если держать лед не там, где надо, или там, где надо, но слишком долго)
Помимо этих рекомендаций также назначаются лекарства, так называемая антибактериальная и противовоспалительная терапия. Обусловлено это тем, что область 8-х зубов крайне легко воспаляется, а нам бы этого не хотелось. Вместе с приемом антибиотиков отлично заходят натуральные йогурты и прочая кисломолочная продукция — не забываем поддерживать микрофлору кишечника.
Если удаление было проведено правильно, и пациент соблюдал все рекомендации и выполнял назначения врача, то риски послеоперационных осложнений крайне невелики. Но, тем не менее, иногда они случаются. И об этом мы поговорим с вами в следующий раз.
На вопрос, где я работаю? Отвечаю - в Москве. Связаться со мной можно как минимум на фейсбуке или в инстаграме.
Удачи!
Ваш Андрей Дашков.


























