Allatir

Allatir

Ковзелев П.Д. - врач из Питера. Инста www.instagram.com/nevrolog_kovzelev Ютуб www.youtube.com/c/NevrologKovzelev
Пикабушник
51К рейтинг 6037 подписчиков 12 подписок 110 постов 104 в горячем
Награды:
5 лет на Пикабу самый сохраняемый пост недели самый сохраняемый пост недели более 1000 подписчиков
117

Когда пора оперировать грыжу диска? Секвестр - страшное слово?

Всем прифки в этом чатике.
В общем многие знают, что я специализируюсь на лечении боли в спине и в частности - грыжах диска.
Грыжу диска можно вылечить 2мя способами:
1. Консервативно, без операции.
2. Оперативно, т.е. удалив хирургически.

Основная проблема на перепутье: одни считают, что назначение мовалиса и мидокалма - это верх возможностей консервативного лечения (нет), другие считают, что резать нужно направо и налево.

В сущности в оперативном лечении нуждаются в лучшем случае 5% грыж дисков, которые не поддаются АДЕКВАТНОМУ консервативному лечению.

Есть подвид грыж, секвестрированные. Они считаются самыми опасными. Это действительно так. Но проблема в том, что такие грыжи в 90-95% случаев поддаются полному излечению и их не нужно  оперировать без железобетонных показаний. Но в России часто все наоборот - вижу секвестр и склоняю к операцию.

Я снял видео про гигантскую грыжу диска размерами больше 2-3см  с пациенткой, которую мы вылечили и полностью разобрал ВСЕ показания к операциям.

https://m.youtube.com/watch?v=6Ia09FHBDUg

Показать полностью
944

Небольшой детектив о долгой боли в спине

Всем привет. Сегодня хочу опубликовать интересный клинический случай в формате небольшого расследования с уликами в виде МРТ и рентгена.

Пациент, 35 лет. Около 6 месяцев болит спина.

Заболел не остро, простоя появилась тупая ноющая боль в пояснице, которая усиливается при неловких движениях, скручиваниях, прогибах, но уменьшается после лфк.

Обратился к знакомому остеопату, тот отправил на МРТ. А по результатам МРТ - 2 грыжи в пояснице! Полечился стандартными мовалисом, мидокалмом и мильгаммой - без эффекта.

Пациент знал, что я занимаюсь лечением грыжи и обратился на прием, а вот дальше все пошло не по обычному сценарию.


Первое, что вызывает сомнения - несовпадение жалоб пациента и факта наличия грыжи. Боль и симптомы отличаются. Значит:

1. Либо не грыжа

2. Либо нетипичное течение


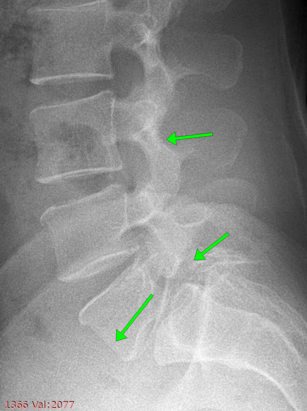
Провожу осмотр и по тестам - поражение задней опорной колонны более вероятно (суставы позвоночника, дужки).


Смотрим улику №1 - МРТ.

Стрелками обозначены грыжи дисков.

тем кто в теме уже становится понятно - вряд ли дело в них.


смотрим дальше.

Стрелками показаны суставы позвоночника, которые жутко деформированы, как будто там артроз сотой степени бабушки 90 лет. Но перед нами молодой человек.

к тому же имеется 8-мисантиметровая мышечная ткань, что безусловно хорошо, но это ОЧЕНЬ много. Так не бывает просто так, даже у элитных спортсменов редко видишь такое, а перед нами обыватель.

Посмотрим нетипичную проекцию МРТ.

Получается проблема скорее всего на уровни костной ткани. Опять же, опытному специалисту уже все понятно, но мы продолжим.

Подозрения падают на такую штуку как спондилолистез (смещение) на фоне спондилолиза (незаращения дужек позвонка или их перелома).

Делаем рентген, смотрим улику № 2.

Имеется несращение кости (дужки). Это аномалия развития, которая называется Spina bifida.

Смотрим сбоку.

Верхняя стрелка - нормальная дужка.

Нижняя - несращение дужки и соответственно смещение позвонка.

При сгибании и разгибании оцениваем степень нестабильности.

Степень нестабильности небольшая, менее 25% длины тела позвонка. Это означает что пока что можно полечиться консервативно.


В итоге диагноз: Спондилолизный спондилолистез L5 позвонка. Нестабильность поясничного отдела позвоночника. Мышечно-тонический болевой синдром.


План лечения в такой ситуации (у конкретного пациента)

1. Обязательно физическая реабилитация на стабилизацию поясницы, укрепление ягодиц и живота пожизненно.

2. Уколы к месту повреждения гормонов или собственной плазмы с тромбоцитами периодически.

Возможно применение фокусированной ударно-волновой терапии для модификации симптомов.

3. При отсутствии эффекта - консультация нейрохирурга, решение вопроса о хирургическом лечении и стабилизации сегмента.


Такой вот случай. Надеюсь было интересно, может быть кому-то будет полезно.

Свои вопросы можете задавать в телеграм канале , там сегодня у нас рубрика вопрос\ответ. Ссылка вот

Показать полностью 6
183

ПРО БОЛЬ В ЯГОДИЦЕ И ЗАЩЕМЛЕНИЕ СЕДАЛИЩНОГО НЕРВА

Я думаю, про синдром грушевидной мышцы говорили многие, а слышали почти все. Она "виновница" в защемлении седалищного нерва и вообще часто берет на себя все смертные грехи. Хотя в реальности конечно это не так и истинный синдром грушевидной мышцы встречается крайне редко!


У меня только здесь на пикабу на эту тему есть постов 5.


Почему так и что же тогда защемляет седалищный нерв? И если все же это синдром грушевидной мышцы, то как его лечить?


Я решил обобщить всю информацию про этот синдром. Рассказываю в своем новом видео. Пожалуй, это самое полное видео про синдром грушевидной мышцы в интернете на русском языке!


Приятного просмотра.

Показать полностью 1
124

Иллюзия доказательной медицины

В современном российском медицинском сообществе имеется довольно устойчивый тренд на доказательную медицину.

Доказательная медицина - это медицина, основанная на доказательствах эффективности или неэффективности какого-либо метода, воздействия, исследования и проч.


В больших городах открываются целые клиники доказательной медицины. Амбассадоры таких клиник транслируют , что все что не является "доказательной медициной" является "фуфлом" "фуфломицином" и "фуфлометодом".


Доля смысла в этом присутствует, например, когда бабушку с болезнью Альцгеймера лечат "сосудистыми препаратами". Но те формы, в которых происходит трансляция являются чрезвычайно радикальными.


По моему мнению: такие крайности - удел фанатиков, а фанатизм - путь в никуда.


Например, мою основную тему работы (боль в спине\шее) загнали в рамки "неспецифической боли", лечение которой сводиться к противовоспалительным препаратам и рекомендациям "нужно больше двигаться".

Свое мнение на эту тему я уже описывал в посте "новый остеохондроз?"


Сейчас же в Британском медицинском журнале вышла статья с названием "иллюзия доказательной медицины", где авторы описывают, что то, что изначально было добром, сейчас стало орудием зла. Что сама док.медицина и университеты превратились в орудие фарминдустрии, а не в способ познания и получения истинных данных.


Статейка весьма занимательная, учитывая, что сам журнал является одним из самых топовых в мире по медицине. Крайне рекомендую прочесть оригинал.


С мнением авторов я согласен. Исследовать старый препарат невыгодно, ведь на него нет уникального права на продажу в течение 5 лет, поэтому будут исследовать только новый, чтобы потом продавать. Показания будут расширять, данные будут подтасовывать и т.д. Лекарства - это огромный бизнес.  Никто не будет проводить больших исследований физиотерапии, потому что никогда это исследование не оправдается (финансово) и много много других примеров.


Поэтому я всегда агитировал за то, что использовать рекомендации всей доказательной медицины НУЖНО, но принимать клинические решения всегда нужно основываясь на медицине ЗДРАВОМЫСЛИЯ и адекватности.


Что думаете об этом коллеги?

Мой телеграм канал про медицину и неврологию. Залетайте, кому интересно.

Показать полностью
472

Боль в копчике - кокцигодиния. Разбор проблемы

Всем привет. У меня есть довольно большой пост на тему боли в копчике в тексто-картиночном формате.
Основная проблема в том, что адекватное лечение боли в копчике в рамках российской медицины предлагается крайне редко. По первым запросам в гугле все сводиться к электрофорезу и пиявками на область ануса, но как вы понимаете – истина где-то глубже.

Для визуализации я снял короткое видео про кокцидию. Там же я разобрал специфический рентген пациента, который нужен для постановки диагноза. Ко интересно - ю ар велком.

Мой телеграм канал про неврологию и травматологию - тут по ссылке.

219

30 лет жгло бедро и пах. Клинический случай нейропатии бедренно-полового нерва. Вылечили

У меня в копилке есть случай редкой болезни, которую удалось вылечить всего за 1 укол - прицельную блокаду нерва под узи навигацией. Сегодня я расскажу вам про него.


Бедренно-половая или генитофеморальная невропатия \ невралгия возникает вдоль бедренно-полового нерва, когда он травмирован или поврежден.  Чтобы лучше понять, что это за нерв - лучше посмотреть картинку. Вот она.

30 лет жгло бедро и пах. Клинический случай нейропатии бедренно-полового нерва. Вылечили

Пах снабжен группой нервов, которые контролируют мышечную функцию и чувствительность. Бедренно-половой нерв отходит от спинного мозга, иннервирует кожу и структуры вокруг паховой области. Данный нерв делится на две ветви: бедренную ветвь и половую ветвь. Бедренная ветвь обеспечивает чувствительность верхней передней части бедра, а генитальная ветвь обеспечивает чувствительность передней части мошонки у мужчин, больших половых губ и частей вульвы у женщин.


Генитофеморальная невралгия возникает в области таза и представляет собой очень сильную боль. Это состояние обычно остается недиагностированным в течение некоторого времени, и определение причины этой боли может быть трудной задачей.

Причины

Любое повреждение бедренно-полового нерва может привести к этому состоянию. Следующие условия могут вызвать генитофеморальную невралгию.

1.) Операции на брюшной полости: генитофеморальный нерв может быть поврежден во время некоторых видов операций на брюшной полости, таких как грыжесечение, аппендэктомия и т. д.

2.) Травма таза или живота: Травма брюшной стенки или сдавление опухолью нервных волокон может вызвать эту невралгию.

3. ) Сжатие поясничных мышц: Если поясничная мышца подвергается сжатию, могут быть повреждены бедренно-половые нервы.

4.) Другие причины. Другие основные причины, ответственные за периферическую невропатию, такие как диабет, рассеянный склероз, хронический алкоголизм, химиотерапия или даже дефицит витаминов в организме, могут привести к генитофеморальной невралгии.


Лечение бедренно-полового нерва.

Диагностика, а также лечение этого состояния могут быть сложными, поскольку лекарства, назначенные для этого состояния, могут иметь побочные эффекты. Некоторыми из методов лечения являются противосудорожные препараты, стероиды и блокады нервов. В очень серьезных случаях требуется хирургическое вмешательство, но хирургическое вмешательство может еще больше усилить боль.

Блокада нервов. Наиболее рекомендуемым методом лечения генитофеморальной невралгии является дифференциальная блокада нервов. Этот метод позволяет дифференцировать генитофеморальный нерв от перекрывающихся подвздошно-пахового и подвздошно-подчревного нервов. Такая блокада должна обязательно выполняться под УЗИ навигацией, чтобы быть уверенными наверняка, что мы попали в нужный нерв.

Современное физиотерапевтическое лечение. Применение современной высокоинтенсивной магнитной стимуляции (SIS терапии) и других видов терапии могут оказывать существенный эффект на течение заболевания.

Местное лечение. Также можно использовать местное лечение, такое как пластыри с лидокаином и габапентин.

При неэффективности указанных методов может применяться радиочастотная абляция и хирургическое лечение


Я снял короткое видео на ютуб про эту проблему. Там есть видео блокады под УЗИ навигацией с моими комментариями. Кому интересно - смотрим на здоровье. (Качество заставки \ превью конечно атас в этот раз).

Кому интересен мой телеграм канал - вот он (нажать). Там есть чат, можно задавать вопросы.

Показать полностью 1 1
436

На примере немного о том, как мы лечим людей через ошибки и боль, но иногда достигаем успеха

Всем привет. На волне негатива от спецоперации хочется немного позитивных новостей. Я много пишу про медицину и боль в спине, а теперь хочу показать как это примерно происходит в реальной клинической практике.

История пациентки с болью в пояснице, которую уже посылали к психиатру "потому что у вас с головой проблемы", а проблема была вовсе не с головой, а вполне со спиной.


На прием обратилась молодая девушка, 30 лет, у которой есть длительный анамнез боли в спине.

Впервые боль в спине появилась у нее после интенсивного полового акта, боль возникла резко.

Через какое-то время после приема обезболивающих препаратов боль притупилась, но при этом стала появляться после физнагрузки (например бытовая: уборка).

Боль была четко механически связана и усиливалась особенно на разгибание.


Более 5 лет пациентка регулярно предпринимала попытки лечения, обошла большое количество специалистов, выполняла МРТ, но все лечение было безуспешным, а боль не менялась.


Одним из вероятных диагнозов, которые ей ставили, был спондилоартороз , т.е. артроз суставов позвоночника.

Но этот диагноз маловероятен в молодом возрасте без наличия структурно объясняющих данное состояние изменений.


Я осмотрел пациентку и обнаружил небольшую зону изысканной болезненности. Сначала эта зона не насторожила, и мы попробовали лечить девушку, как пациентку с дискогенной болью, хотя клиническая картина данной проблеме не сильно соответствовала.

Тем не менее у нее был остеофит (костный нарост, см. картинку), был поврежденный диск, и мы решили что стоит попробовать.

После 10 дней лечения эффекта не было. Боль немного притупилась, но намного легче не стало.

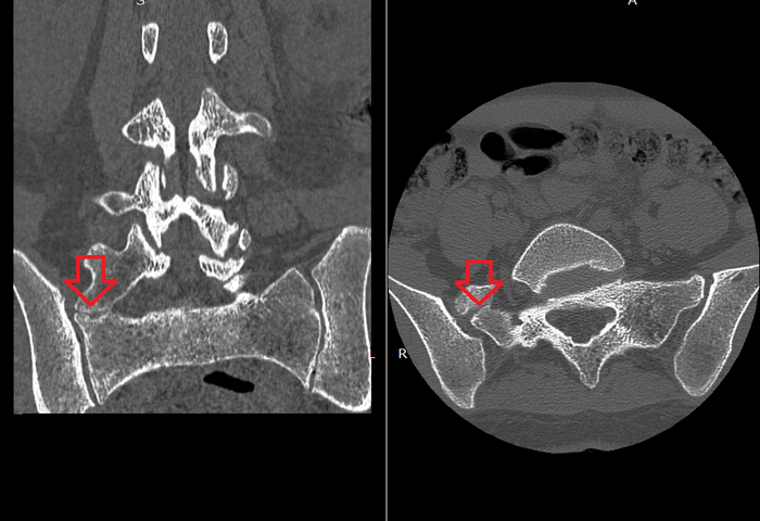
Далее мы пересмотрели диагноз и провели совместный прием с травматологом-ортопедом.

Мы заподозрили поражение задней опорной колонны позвоночника.

По МРТ никаких данных за эту проблему не было (хотя если бы были коронарные срезы, то можно было бы увидеть), поэтому мы выполни КТ поясничного отдела позвоночника с захватом крестца.


Как думаете, нашли мы что-то на КТ?


На КТ была обнаружена аномалия развития позвоночника в виде добавочного переходного позвонка. Вот такие бывают.

Мы видим формирование дополнительного сустава в области крестца, которого не должно быть.

Зона изысканной болезненности совпадает с проекцией этого сустава.
Мы выполнили диагностическую блокаду.
После введения анестетика и дексаметазона пациентка отметила выраженное снижение болевого синдрома, которое сохранялось на протяжении 3-х недель.

Дексаметазон — это препарат короткого действия, поэтому через 3 недели на повторной консультации мы выполнили блокаду с дипроспаном (имеет длительное действие).
Все блокады выполнялись под УЗИ-навигацией.
После дипроспана боль купировалась почти полностью на 3 месяца.

Говорить о полном излечении в такой ситуации сложно, периодически она будет напоминать о себе. Но сейчас, помимо блокад, можно проводить радиочастотную абляцию, что дает таким пациентам хороший эффект.
На крайний случай — хирургическое лечение.
Но главное в этом всем - диагноз и точная локализация доминантной структуры боли.
Вот такой вот случай.

Кому интересно как и что происходит в лечение болевых синдромов, грыж дисков и вообще больше про неврологию и травматологию - добро пожаловать в наш телеграм-канал.

Показать полностью 3
140

Абсолютная резорбция (рассасывание) грыжи диска в шее. Когда нужна операция?

Моем предыдущем посте, где я показал клинический случай резорбции грыжи диска в пояснице

товарищ @DoctorPanda сказал:

"Резорбцировать" локально только этот компонент невозможно. Я понятия не имею чем именно данный персонаж, называющий себя неврологом собирается "резорбцировать" хрящевую ткань, но, как мне известно, самый простой, безболезненный и доступный метод - хирургическое лечение.

Также он сказал, мол я ничего не понимаю, что научных работ нет, что надо всех резать "не дожидаясь перитонита" и вообще у меня картинки МРТ все обрезаны напрочь и скорее всего фотошоп.


Закончил он следующим 

Поэтому ТСу - жирный минус.

штош.

Ответим, может еще кому будет интересно и поможет:


1. Резорбция грыжи диска - настолько естественный процесс, что мне даже тут нечего возразить. Просто заходим в любую научную библиотеку (хотя бы в гугл академию) и вводим соответствующий запрос. Даже метаанализы есть.


2. Вопрос модулируемости данного процесса пока что не изучен.


3. Резать все грыжи диска - это просто бред. Себе бы что-нибудь отрезали , особенно на уровне шейного отдела позвоночника. Посмотрел бы я потом на восстановление после операции, на последствия через 20-30 лет. Операция - это последний этап. Он требуется, когда 2-3 месяца адекватной консервативной терапии не помогло или есть абсолютные показания.


4. Адекватная терапия : это не мовалис, мидокалм и мильгамма. Это комплексное лечение: физиотерапия, реабилитолог, селективные блокады, акупунктура.


5. Теперь, что касается обвинения в том, что снимки вообще разных людей. Тут особо бомбануло. Поэтому я записал видео про грыжу в шее, где рассказал основные подходы к лечению, что можно, чего нельзя делать, также записал интервью с пациенткой и с разбором аж 3х её МРТ до\во время и после лечения где наглядно видно процесс исчезания грыжи.

Кому интересно - вот это видео.

Показать полностью 1
Отличная работа, все прочитано!