VladimirValouis

VladimirValouis

На Пикабу
Дата рождения: 1 февраля
174 рейтинг 2 подписчика 11 подписок 22 поста 0 в горячем
5

Часть I. «Шум в ушах» (тиннитус) - виды и источники

Часть I. «Шум в ушах» (тиннитус) - виды и источники

А бывало ли у вас когда-нибудь "жужжание в ушах", как у героини всеми любимого мультфильма? Наверняка было. Но тиннитус (именно так научно называется явление "шума в ушах") далеко не всегда является проблемой, связанной именно с работой органов слуха.
Врач-невролог Центра мозга и нейротехнологий Екатерина Наку (https://clck.ru/3C6Lyi) поделилась - свидетельством какого расстройства является "шум в ушах", какое обследование и лечение необходимо. Читаем, комментируем, делимся с друзьями и знакомыми;)

***

Шум в ушах (тиннитус) — это ощущение звука в ухе, которое возникает без каких-либо внешних стимулов. Шум может появляться в одном ухе или сразу в двух, быть постоянным или временным, громким или приглушённым, монотонным или пульсирующим. Различают объективный (вибраторный) и субъективный (невибраторный) шум в ушах.

Объективный шум возникает на фоне заболеваний, которые провоцируют вибрации в тех или иных участках тела, к примеру, непроизвольные сокращения мышц среднего уха, тремор мягкого нёба. Объективным шум называется так, потому что его могут услышать другие люди, например, врач во время осмотра.

Субъективный шум не слышен другим. Он возникает на фоне раздражения органов слуха, ухудшения кровоснабжения внутреннего уха, как результат острого воспаления, нарушения мозгового кровообращения, некоторых хронических заболеваний, приёма определенных лекарственных препаратов или травм.

Часто шум в ушах возникает из-за повреждения элементов уха (внутреннего, среднего или наружного), поражения нервных клеток мозга, которые воспринимают и расшифровывают звук, или нарушения работы слухового нерва, по которому информация о звуке передаётся от уха к мозгу. До 85% пациентов, отмечающих шум в ушах, имеют зарегистрированную потерю слуха. Это значит, что большая часть случаев тиннитуса связана с патологией уха и шум в ушах часто становится их первым признаком. Именно поэтому обследование рекомендовано начинать с консультации отоларинголога (лор-врача), особенно это актуально, если шум в ушах сопровождается снижением слуха.

Если шум в ушах сочетается с головокружением, лучше обратиться к отоневрологу — специалисту, работающему на стыке двух специальностей (лор-болезни и неврология). Если патологии уха не выявлено, врач направит к другим специалистам — неврологу, кардиологу, эндокринологу, челюстно-лицевому хирургу, психиатру.

В большинстве случаев своевременное и адекватное лечение приводит к тому, что шум в ушах перестаёт беспокоить пациента и он возвращается к нормальной жизни — снова может концентрироваться на работе, общаться с друзьями, нормально засыпать.

Показать полностью

Какие виды физической активности полезны для мозга?

Какие виды физической активности полезны для мозга?

Физическая активность - основной компонент не только здорового образа жизни, но и лечения, профилактики многих заболеваний. Первая причина, по которой физическая активность человека благотворно сказывается на головном мозге – это усиление нейронных связей в тканях головного мозга.

Каким образом это работает? Нейроны связаны между собой не физически, а химически – и связь между ними осуществляется посредством специальных гормонов, играющих роль нейротрансмиттеров – допамина (дофамина), серотонина и норепинефрина.
А дофамин – один из мощнейших медиаторов мотивации. Наше стремление что-то делать, выполнять какие-то задачи и даже просто браться за них во многом завязано именно на дофамин. Так что, если вам нужна мотивация что-то делать для достижения поставленной цели - нужно быть физически активным человеком.
Физическая активность организма увеличивает темпы выработки этих гормонов, благодаря чему механизм работы нашего головного мозга существенно ускоряется. При этом головной мозг работает более продуктивно.

На протяжении столетий ученые и врачи изучали, как физические упражнения влияют на мозг. Авторитетные умы пришли к выводу, что регулярный спорт и развитие мозга неразделимы.

Для мозга полезны любые виды физической активности, включающие в себя выполнение двойных задач (сочетание физической направленности и когнитивной), упражнения на равновесие и контроль положения тела в пространстве, упражнения в водной среде (гидрокинезиотерапия), циклические движения средней интенсивности и аэробные нагрузки. Польза связана с тем, что во время физической активности такого рода стимулируется рост и развитие нейронных связей, что напрямую влияет на функции мозга.

Современные исследования нейрофизиологии мозга и протекающих в нем физических процессов позволили выявить прямые взаимоотношения регулярных занятий спортом и развития функции памяти у человека. Результат в этом плане демонстрируют аэробные упражнения, с доступом к открытому воздуху.

Изменение качества мышления, мыслительных процессов, происходит за счет двух положительных эффектов, которые дают регулярные тренировки.

1. Активация формирования новых нейронных связей, необходимость контролировать координацию движений, обучение новым навыкам заставляют нейроны создавать новые стойкие синапсы между собой. Это благотворно сказывается на способности к обучению, памяти, и умению применять на практике полученные знания.

2.Улучшение снабжения мозга кислородом. Питание тканей нормализуется, чему способствует лучшее насыщение крови кислородом и полезными веществами. Мозг может работать активнее, уровень проявления когнитивных способностей повышается.

Физические упражнения активируют нейротрофины, которые участвуют в выживании и функционировании нейронов. Повышает пластичность мозга и улучшает память и обучение. Он поддерживает выживание и дифференцировку нейронов в развивающемся мозге, а также дендритные разветвления и синаптические механизмы во взрослом мозге.

Было установлено, что люди, регулярно занимающиеся аэробными упражнениями (например, бегом, трусцой, бодрой ходьбой, плаванием, ездой на велосипеде), показывают более высокие результаты в тестах на нейропсихологическое функционирование и работоспособность. Те, которые изменяют конкретные когнитивные функции, такие как контроль внимания, тормозной контроль, когнитивная гибкость, обновление и объем рабочей памяти, а также декларативная память — добровольное и сознательное осознание существующего опыта и информации.

Показать полностью
12

Федеральному центру мозга и нейротехнологий ФМБА России-5 лет

За это время мы:
*пролечили амбулаторно и стационарно более 70 тысяч пациентов
*провели более 4 тысяч нейрохирургических операций
*первыми в России и СНГ применили аппараты ПЭТ-МРТ и ФУЗ, которые вывели качество оказания медицинской помощи на самый высокий уровень
*создали первый препарат для регенеративной терапии спинальной травмы
*разработали биосенсоры для детекции пероксида водорода, глутатиона и др., что позволило исследовать их роль в развитии ишемического инсульта

Список можно продолжать очень долго.

11

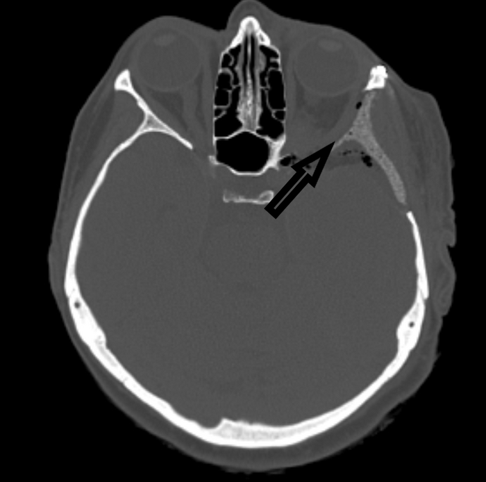
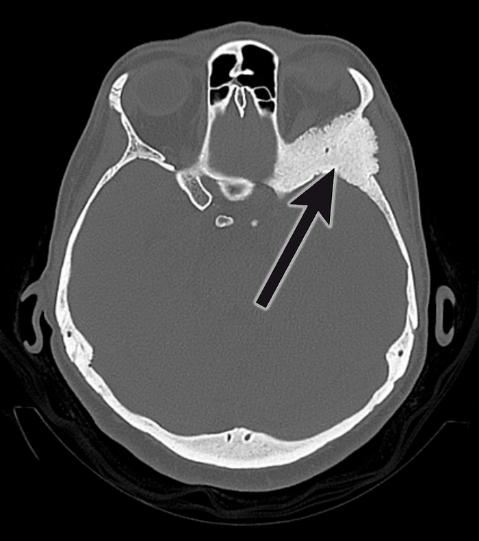
В Федеральном центре мозга и нейротехнологий успешно проведена инновационная операция по удалению сложной опухоли

В Федеральном центре мозга и нейротехнологий ФМБА России выполнена сложная нейрохирургическая операция пациентке с гиперостатической краниоорбитальной менингиомой. Эта редкая опухоль распространяется из полости черепа в глазную орбиту. Опухоль вызывала у пациентки серьезные проблемы, в частности асимметрию лица, грубый косметический дефект и интенсивные боли в области глаза.

Операция включала в себя радикальное удаление опухоли, а также восстановление нормальной анатомии орбиты для обеспечения правильного положения глаз. Особое внимание нейрохирурги уделили минимизации косметических дефектов и сохранению симметрии лица.  Во время операции команда врачей использовала инновационную технологию костной пластики краниоорбитальной области с помощью индивидуального импланта.

Операция проведена совместно с коллегами из Института нейрохирургии имени Бурденко, так как именно в этом центре была разработана технологию индивидуальной краниопластики. В ходе планирования операции использовалась программа, которая позволяет создать зеркальное отображение «здоровой» стороны черепа на пораженной опухолью области.  Затем на основе этой виртуальной 3D-модели создали пресс-формы с помощью 3D-печати. Во время операции эти пресс-формы использовались для создания индивидуального импланта из костного цемента непосредственно в операционной.

«Благодаря применению данной технологии удалось избежать грубых косметических дефектов. Очень важно, что пациентка быстро восстановилась после операции и вернулась к привычной жизни, не испытывая никаких проблем с внешностью», — отметил нейрохирург Центра мозга Семён Мельченко.

Этот успешный случай подтверждает эффективность современных технологий в нейрохирургии и открывает новые возможности для лечения подобных заболеваний.

КТ до операции

Индивидуальные пресс-формы и имплант из костного цемента

КТ после операции

Показать полностью 6
4

11 апреля - Всемирный день борьбы с болезнью Паркинсона. Правила жизни пациентов и родственников, современные методы диагностики и лечения

11 апреля по инициативе Всемирной организации здравоохранения (ВОЗ) ежегодно отмечается Всемирный день борьбы с болезнью Паркинсона. Он призван повысить информированность общества о заболевании, оказать поддержку больным и их семьям, а также внести свой вклад в преодоление недуга.

Как распознать заболевание, облегчить состояние больного, сколько живут с этим диагнозом, можно ли вылечиться, а также как вести себя родственникам и близким, рассказала врач-невролог, паркинсонолог Федерального центра мозга и нейротехнологий ФМБА Наталья Шипилова.

Как помогает человеку с БП правильно назначенная терапия?

Болезнь Паркинсона (БП) – хроническое прогрессирующее нейродегенеративное заболевание, характеризующееся различными двигательными нарушениями, такими как тремор (дрожание в различных частях тела), замедленность и скованность движений, нарушение походки, равновесия, а также рядом вегетативных, сенсорных и нейропсихиатрических расстройств, включающих в себя расстройства обоняния, расстройства со стороны желудочно-кишечного тракта, мочевыделительной, сердечно-сосудистой систем, депрессию, тревогу, апатию, нарушения сна и памяти.

В связи с тем, что БП является мультиорганным заболеванием, пациенты, страдающие БП, имеют более низкое качество жизни по сравнению со здоровыми людьми.

Медикаментозная терапия, направленная как на улучшение двигательных проявлений болезни, так и на нейропсихиатрические симптомы, способна значительно улучшать показатели жизни таких больных, приближая их к показателям здоровых людей. В настоящее время концепция, подчеркивающая важность раннего назначения противопаркинсонической терапии, имеет широкое распространение. Вовремя назначенная терапия способствует более быстрой коррекции нейрохимического дисбаланса, возникающего в головном мозге у пациентов с БП, запуску и поддержанию процессов компенсации, уменьшению (вплоть до нивелирования) ряда моторных и немоторных симптомов. Кроме того, существует потенциальная возможность нейропротективного (возможность восстанавливать активность частично поврежденных клеток) и нейрорепаративного эффекта (возможность защищать интактные клетки от повреждения) лекарственных противопаркинсонических препаратов, подтверждаемая рядом экспериментальных и клинических данных.

Исследователями и учеными неоднократно было показано, что комплексный терапевтический подход к пациентам данной группы (включая медикаментозную и немедикаментозную терапию) способен улучшать качество жизни пациентов с БП до 60% за счет улучшения в различной степени всех показателей качества жизни больного, включая уменьшение двигательных расстройств, увеличение повседневной двигательной активности, улучшение эмоционального фона, внимания, памяти, мышления, сна, настроения.

Определение болезни на ранних стадиях – современные передовые методы диагностики.

В настоящее время диагноз БП ставится на основании характерных двигательных проявлений заболевания, т. е. является клиническим. В частности, постановка диагноза БП осуществляется согласно диагностическим критериям болезни Паркинсона международного общества изучения двигательных расстройств 2015 года.

В качестве дополнительных методов широко используются различные нейровизулизационные технологии в различных режимах – КТ (компьютерная томография), МРТ (магнитно-резонансная томография) с индукцией магнитного поля 1,5/3 Тесла. Данные методы позволяют изучить структуры головного мозга, исключить иные причины развития паркинсонизма и выявить характерные для заболевания проявления.

Наиболее специфичными дополнительными методами диагностики БП являются методы функциональной нейровизуализации – ПЭТ (позитронно-эмиссионная томография), ОФЭКТ (однофотонная эмиссионная компьютерная томография), ДАТ-сканирование с дофаминовым транспортером. На сегодняшний момент ДАТ-сканирование отсутствует на территории РФ. ПЭТ выполняется в единичных медицинских учреждениях, в том числе и в Федеральном центре мозга (ПЭТ-МРТ).

В действующих на 2023 год клинических рекомендациях по лечению БП среди возможных методов диагностики также отмечено ультразвуковое исследование черной субстанции (транскраниальная сонография). Специфичность данного метода составляет около 75%, потому его применение должно быть дополнено другими диагностическими процедурами.

Рекомендуется проводить ДНК-диагностику пациентам с семейными случаями развития БП (при наличии заболевания у 2 и более родственников) для определения у них риска развития данного заболевания.

Специфических лабораторных методов диагностики БП на сегодняшний день не существует. В настоящее время уделяется особое внимание разработкам в области открытия биомаркеров БП в различных биологических жидкостях и тканях организма с целью ранней диагностики, прогнозирования развития и течения данного нейродегенеративного заболевания.

Советы для родственников людей, страдающих БП – как заниматься с ними, чем помочь.

Установлено, что режим приема противопаркинсонической терапии имеет чрезвычайно важное значение для поддержания стабильности состояния пациента и предотвращения риска развития нежелательных явлений. Поэтому родственникам пациентов с БП рекомендуется контролировать выполнение назначенных врачом рекомендаций в отношении лечения.

Также очень важно организовать работу и быт больного в соответствии с теми ограничениями, которые возникли у него на фоне заболевания. Необходимо создать безопасную окружающую среду с целью предотвращения получения травм у пациентов с нарушениями походки, при необходимости осуществить оснащение дома поручнями, противоскользящими поверхностями, мебелью с высотой сидения, удобной для вставания.

При необходимости, родственникам больных следует продумать и осуществлять правильное планирование и приобретение продуктов питания для пациента, страдающего БП, оказывать ему помощь в приготовлении пищи, в уборке квартиры и других бытовых делах, осуществлении гигиенических процедур.

Важным аспектом является оказание социальной и психологической поддержки больного, поддержание его участия в общественных мероприятиях, содействие в поддержании контактов с родственниками и друзьями. Часто налаживание общения пациента с людьми, имеющими те же проблемы, оказывает благотворное влияние на его психоэмоциональное состояние и предотвращение стигматизации.

Необходимо проводить регулярный тренинг познавательных функций с целью предотвращения нарушений памяти – чтение в слух, обсуждение ранее просмотренных/прочитанных материалов, заучивание стихов, решение сканвордов, кроссвордов и других задач, направленных на развитие мышления и логики.

«Правила жизни» человека с БП – питание, поведение, реабилитация.

В связи с тем, что БП характеризуется не только двигательными, но и немоторными проявлениям заболевания, необходимо уделять огромное внимание ведению здорового и активного образа жизни.

Необходимо принимать пищу дробно (5-6 раз в сутки), небольшими порциями. Для предотвращения запоров рекомендуется употреблять достаточное количество воды (до 6 стаканов в день), заниматься лечебной физкультурой, направленной на улучшение работы кишечника и повышение внутрибрюшного давления. Стараться включать в повседневный рацион продукты, усиливающие моторику кишечника (например, пищевые волокна – хлеб и х/б изделия из муки грубого помола, отруби, супы на легком бульоне, блюда и гарниры из овощей и таких круп как гречка, ячмень, пшено, сухофрукты, молочные продукты) и исключить продукты, усиливающие брожение пищи в кишечнике (овощи, богатые эфирными маслами (репа, редька, редис, лук, чеснок), грибы, макаронные изделия, яйца, виноградный сок, острые и копченые продукты, консервация).

Для коррекции мочеиспускания рекомендуется выполнять упражнения для тренировки мышц тазового дна, использовать средства личной гигиены.

Каждый пациент должен контролировать свое артериальное давление и пульс минимум 2-3 раза в месяц и записывать результаты в дневник артериального давления, предоставлять эти данные врачу при каждом посещении. При выявлении нестабильности артериального давления необходимо также обратиться к специалисту с целью его коррекции.

При плохой переносимости высоких температур рекомендуется избегать прямых солнечных лучей в жаркие дни, носить свободную одежду светлых тонов из натуральных тканей.

Необходимо соблюдать гигиену сна – установить определенное время отхода ко сну, совершать легкую прогулку перед сном, не употреблять на ночь кофеинсодержащие продукы и другие продукты питания, оказывающие возбуждающее действие на центральную нервную систему.

Рекомендуется планировать поездки и выездные мероприятия во временные промежутки наилучшего самочувствия, в периоды максимального эффекта лекарственных препаратов.

Важное значение необходимо уделять выполнению упражнений на развитие мелкой моторики – лепка из пластилина, глины, рисование, конструирование из мелких деталей.

Пациенту важно стараться вести активный образ жизни и не сокращать двигательную активность. Регулярное выполнять физические упражнения в соответствии со своими возможностями. Как показывают научные исследования, поддержание физической активности позволяет затормозить прогрессирование БП, улучшить социальную и профессиональную активность таких больных.

Пациентам, страдающим БП, следует уделять внимание имеющимся на сегодняшний день разнообразным и технологичным методикам реабилитации. Реабилитационные мероприятия в дополнение к медикаментозному лечению позволяют увеличивать толерантность к физической нагрузке, улучшать общую мобильность, функцию ходьбы, равновесия и мышечной силы как в краткосрочной, так и в долгосрочной перспективе. Доказано, что в среднем у 49-57% пациентов с БП, которые прошли 10-12 тренировочных сессий реабилитационного комплекса, направленного на тренировку баланса, ходьбы и работы верхних конечностей улучшаются двигательные функции, наблюдается увеличение пройденной дистанции, увеличение ширины шага, степени свободы движений плечевого пояса.

Важно не забывать регулярно посещать своего лечащего врача, специализирующегося в области лечения пациентов с БП, с целью своевременной коррекции медикаментозной терапии, предотвращения развития нежелательных явлений лекарственных препаратов и профилактики прогрессирования заболевания.

Есть ли в последнее время прогресс в лечении/торможении заболевания?

Лечение БП традиционно базируется на приеме поликомпонентной лекарственной терапии. В настоящее время известно 7 основных групп противопаркинсонических средств.

В настоящее время огромное внимание уделяется изучению и усовершенствованию фармакокинетики доступных лекарственных препаратов, разрабатываются новые эффективные средства. На рынке лекарственной индустрии в настоящий момент используются препараты леводопы пролонгированного действия, способные обеспечить более длительный (до 8 часов) эффект и быстрорастворимые формы леводопы. Также большое внимание уделяется разработке комбинированных лекарственных препаратов, лекарственных средств с различными путями введения – подкожным, сублингвальным, ингаляционным.

Наибольшее значение придается изучению и внедрению аппаратных и хирургических методов лечения БП. К ним относятся длительная подкожная инфузия апоморфина, интестинальное введение геля леводопы-карбидопы, глубокая стимуляция мозга, абляционные операции, с помощью которых разрушаются определенные структуры мозга с целью влияния на нейротрансмиттерные изменения или на дрожание. У каждого из методов лечения есть свои показания и противопоказания, свои преимущества и недостатки.

Для коррекции резистентного тремора при болезни Паркинсона (БП) совсем недавно (2018 год) в мире была предложена новая методика – фокусированный ультразвук под контролем МРТ (ФУЗ-МРТ). Данная методика используется в Федеральном центре мозга и нейротехнологий с конца 2021 года. К преимуществам метода относят малоинвазивность, отсутствие имплантируемых устройств, наркоза, риска инфекционных осложнений и кровотечений, необходимости проведения послеоперационных настроек параметров стимуляции, мгновенный эффект, высокая точность формирования деструктивных очагов (до 1 мм), возможность контроля точности и степени воздействия в режиме реального времени (МРТ-термография). По данным проведенных к настоящему времени исследований, после операции отмечается снижение тремора на стороне прооперированных конечностей в среднем на 50–60%.

Разработка и изучение новых методов лечения БП позволят скорректировать и уменьшить дозы противопаркинсонических препаратов у больных с фармакорезистентными инвалидизирующими и осложненными формами БП, снизить уровень инвалидизации таких больных и улучшить их качество жизни.

11 апреля - Всемирный день борьбы с болезнью Паркинсона. Правила жизни пациентов и родственников, современные методы диагностики и лечения
Показать полностью 1
5

Какие типы течения рассеянного склероза существуют?


Врач - невролог Федерального центра мозга и нейротехнологий Мадина Кожиева рассказала о существующих видах рассеянного склероза.

Выделяют ремиттирующий , вторично-прогрессирующий и первично-прогрессирующий РС. Определение типа течения имеет важное значение для подбора соответствующей терапии.

Ремиттирующий РС наиболее распространенный тип течения РС, когда периоды обострений сменяются периодами ремиссий. При обострении появляются новые неврологические симптомы или усугубляются уже имеющиеся. Во время ремиссии полностью или частично восстанавливается неврологический дефицит, симптомы заболевания не усиливаются.

Вторично-прогрессирующий РС. Ремиттирующее течение РС через некоторое время переходит во вторично-прогрессирующий РС, для которого характерно медленное, постепенное нарастание неврологического дефицита (инвалидизации), при этом могут сохраняться типичные обострения заболевания, между которыми наблюдается подтвержденное прогрессирование РС.

Первично-прогрессирующий РС. Редкий тип течения РС (до 10%). У пациентов на ранних стадиях развивается постоянное прогрессирование заболевания.

Запись на приём к специалистам Центра и на процедуры возможна по телефону 8-495-280-3550 или в мессенджере https://t.me/Centr_mozga
Наш сайт https://фцмн.рф

Какие типы течения рассеянного склероза существуют?
Показать полностью 1
Отличная работа, все прочитано!