VladimirValouis

VladimirValouis

На Пикабу
Дата рождения: 1 февраля
174 рейтинг 2 подписчика 12 подписок 22 поста 0 в горячем
0

Примерно каждый 10-й ребенок от 7 до 14 лет сталкивается с мигренями

Примерно каждый 10-й ребенок от 7 до 14 лет сталкивается с мигренями

Исследования распространенности мигрени до семи лет затруднительны, так как дети не запоминают свою боль и другие сочетанные симптомы, и данных по детям этой возрастной категории нет. Однако появляются данные эпидемиологических исследований у детей с семи лет и в возрасте до 14 лет – в этой группе страдает каждый 10-й ребенок. Причем чаще с мигренями сталкиваются мальчики.

После 14 лет мигрень встречается уже у каждого четвертого ребенка, и чаще - у девочек.

Мигрень впервые возникает именно в подростковом возрасте, что связано с гормональной перестройкой организма. Провоцирующими факторами развития мигренозной головной боли являются переутомление, а также нарушение режима сна, пропуск приемов пищи, недостаточное потребление жидкости, употребление некоторых пищевых продуктов: шоколада, цитрусовых, сыров, орехов, копченостей.

Характер мигренозной боли в детском возрасте отличается от взрослой - боль редко бывает односторонняя или пульсирующая и может длиться значимо меньше (от 2х часов), т.е. обычно это диффузная давящая сильная головная боль сопровождающаяся тошнотой.

Также есть детские "аналоги" мигрени: синдром циклических рвот и абдоминальная мигрень, проявляющиеся соответственно эпизодами рвот или боли в животе, не связанной с инфекцией или гастроэниерологическими заболеваниями.

Показать полностью
8

Впервые проведена двусторонняя таламотомия с помощью ФУЗ пациентке с первично-генерализованной эпилепсией

В Федеральном центре мозга и нейротехнологий ФМБА России впервые проведена двусторонняя таламотомия фокусированным ультразвуком пациентке 37 лет с первично-генерализованной эпилепсией. С помощью фокусированного ультразвука выполнена неинвазивная операция для уменьшения количества и тяжести приступов, которые беспокоят пациентку на протяжении 23 лет. Операция была выполнена успешно, в настоящее время внимательно изучается долгосрочный результат.

Двусторонняя таламотомия является опцией среди методов хирургического лечения. Методика направлена на лечение генерализованных приступов у пациентов с фармакорезистентным течением эпилепсии. Опубликованное количество оперированных пациентов в мире с применением данной методики пока остается меньше 10. Среди альтернативных опцией хирургической коррекции первично-генерализованной фармакорезистентной эпилепсии является имплантация стимулятора блуждающего нерва и имплантация системы глубинной стимуляции мозга. Применение фокусированного ультразвука позволит расширить возможности хирургии эпилепсии для персонализированного подхода, максимального результата и безопасности.

Впервые проведена двусторонняя таламотомия с помощью ФУЗ пациентке  с первично-генерализованной эпилепсией
Показать полностью 1
3

Паркинсонизм и болезнь Паркинсона - одно и тоже?

Очень часто для людей, далеких от медицины, эти два понятия абсолютно равнозначны. Однако заведующая Неврологическим отделением № 3, врач-невролог (паркинсонолог), к.м.н. Елена Малыхина постаралась объяснить «на пальцах» принципиальное отличие этих понятий.

«Паркинсонизм – это не диагноз, а синдромокомплекс, представленный ригидностью (скованностью) мышц, дрожанием конечностей и замедленностью движений. Самое часто встречающееся заболевание, при котором развивается паркинсонизм – это болезнь Паркинсона. При этом заболевании наблюдаются классические проявления синдрома паркинсонизма, и они играют ведущую роль в клинической картине. Анатомически происходит поражение среднего мозга, а именно его структуры, носящей название «черная субстанция». Эта структура мозга входит в состав базальных ядер головного мозга и поставляет дофамин «полосатому телу» (хвостатое ядро и скорлупа), также относящемуся к базальным структурам. Компактная часть черной субстанции обеспечивает выработку нейромедиатора ‒ дофамина. Как результат, при его недостаточной выработке происходит дефицит в синаптической щели при передаче нервного импульса между нейронами (клетками мозга) – возникает так называемый пресинаптический дефицит дофамина, и, как следствие, развивается синдром паркинсонизма, симптомы которого хорошо нивелируются приемом дофаминергических препаратов. Поэтому мы наблюдаем выраженный положительный эффект при лечении пациента с болезнью Паркинсона, принимающего дофаминергическую лекарственную терапию.

Но существуют и другие заболевания, приводящие к развитию синдрома паркинсонизма, которые относятся к более редкой нейродегенеративной патологии. Анатомически поражаются не только клетки черной субстанции, но и другие структуры головного мозга. Происходят сложные нарушения, приводящие к постсинаптическому дефициту дофамина, в результате чего развивается так называемый «постсинаптический паркинсонизм». Подобные варианты паркинсонизма сопровождаются не только скованностью, дрожанием и замедленностью, но и другими неврологическими проявлениями и имеют «слабый» ответ на дофаминергическую терапию. На начальных этапах заболевания крайне сложно разобраться – с каким именно видом паркинсонизма мы имеем дело.

Требуется динамическое наблюдение врача за развитием симптомов заболевания, оценка характера «ответа» на противопаркинсоническую терапию. Крайне важно, чтобы пациент не занимался самолечением, а был под наблюдением врача и строго соблюдал его рекомендации.

Показать полностью 2
9

А вы знали, что главный симптом болезни Паркинсона не тремор?

А вы знали, что главный симптом болезни  Паркинсона не тремор?

Внешним проявлением болезни Паркинсона далеко не всегда является тремор. Это представление нам навязано кинематографом и является ошибочным.

Главными симптомами болезни Паркинсона являются гипокинезия и мышечная ригидность.
Гипокинезия - обязательный симптом болезни Паркинсона. Под этим термином понимают замедленность движений (брадикинезия), снижение разнообразия движений и затрудненное начало движений с тенденцией к застыванию (акинезия).
Мышечная ригидность, или по-другому мышечная скованность, является следствием повышения мышечного тонуса в мышцах верхних и нижних конечностей, а также шеи. Ригидность ощущается как тянущие, болезненные, неприятные ощущения в мышцах поперечнополосатой мускулатуры, которые могут беспокоить пациентов как в покое, так и при движении. Нередко пациенты описывают ригидность как стойкое болевое ощущение.

Акинетико-ригидный синдром – это сочетание двух основных симптомов заболевания: замедленности движений с повышенным мышечным тонусом.

Заподозрили у себя эти симптомы? Немедленно обращайтесь к паркинсонологам Федерального центра мозга и нейротехнологий.

Показать полностью 1
4

Когда «дежавю» и «жамевю» могут быть симптомами эпилепсии?

Когда «дежавю» и «жамевю» могут быть симптомами эпилепсии?

А вы знали, что основными клиническими характеристиками «дежавю» и «жамевю» у больных эпилепсией являются:

* страх перед наступлением данных феноменов,

*негативная эмоциональная окраска пароксизма,

*длительность от нескольких секунд до 2-3 минут,

*высокая частота и стереотипность эпизодов, а также сочетание с другими типами эпилептических приступов.

Эти феномены относятся к так называемым когнитивным эпилептическим приступам и наиболее характерны для височных форм эпилепсии.

Стоит отметить, что помимо упомянутых феноменов кратковременные нарушения речи, памяти, изменения восприятия окружающего, галлюцинации, иллюзии, эпизоды немотивированной тревоги, страха, экстатического чувства также могут быть симптомами эпилепсии, если они являются частыми и стереотипными.

Для верификации диагноза «эпилепсия» в данном случае пациенту необходимо проведение продолженного видео-ЭЭГ мониторинга с фиксацией пароксизмальных состояний, а также консультация эпилептолога.

Показать полностью 1
4

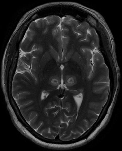
ПЭТ-МРТ и поиск нейродегенеративных заболеваний на ранних стадиях

Диагностические возможности отделения рентгенологических и радионуклидных методов диагностики Центра мозга (https://clck.ru/34f5k9) считаются одними из лучших в России. Среди них - выявление с помощью уникального аппарата ПЭТ-МРТ нейродегенеративных заболеваний (болезнь Альцгеймера и Паркинсона, разнообразные виды деменциии и др.) на самых ранних этапах, невозможное с помощью обычных МРТ и КТ.

Отличная работа, все прочитано!

Темы

Политика

Теги

Популярные авторы

Сообщества

18+

Теги

Популярные авторы

Сообщества

Игры

Теги

Популярные авторы

Сообщества

Юмор

Теги

Популярные авторы

Сообщества

Отношения

Теги

Популярные авторы

Сообщества

Здоровье

Теги

Популярные авторы

Сообщества

Путешествия

Теги

Популярные авторы

Сообщества

Спорт

Теги

Популярные авторы

Сообщества

Хобби

Теги

Популярные авторы

Сообщества

Сервис

Теги

Популярные авторы

Сообщества

Природа

Теги

Популярные авторы

Сообщества

Бизнес

Теги

Популярные авторы

Сообщества

Транспорт

Теги

Популярные авторы

Сообщества

Общение

Теги

Популярные авторы

Сообщества

Юриспруденция

Теги

Популярные авторы

Сообщества

Наука

Теги

Популярные авторы

Сообщества

IT

Теги

Популярные авторы

Сообщества

Животные

Теги

Популярные авторы

Сообщества

Кино и сериалы

Теги

Популярные авторы

Сообщества

Экономика

Теги

Популярные авторы

Сообщества

Кулинария

Теги

Популярные авторы

Сообщества

История

Теги

Популярные авторы

Сообщества