Velphegorka
Патологоанатом на удаленке
Давно уже подумывала сделать подобный пост, а тут еще и волна подоспела. У специальности моей нет устоявшегося названия. Можно назвать и ветеринар-патологоанатом, и патоморфолог, и цитолог, и гистолог, и даже тыжлаборант.
Многие люди вообще не знают, что мы есть и мы таким занимаемся, но вообще это одна из самых интересных специальностей ветеринарной медицины. Мы изучаем, почему животное заболело или умерло. 90% моей работы - это биопсийный материал, то есть, мы ставим диагнозы по тому, что врачи на приеме выковыряли из своих пациентов, и на основе этого уже врачи будут назначать лечение. Если с первого взгляда или рентгена не очевидно, что со зверюгой, скорее всего рано или поздно она попадет к нам. И лучше бы по кусочкам, а не целиком :)
Вскрывать я раньше вскрывала, но спина не железная, да и биопсий хватает с лихвой, чтобы всегда быть занятой. Так что с начала ковида я ушла на удаленку и работаю из дома. Иногда выбираясь из своего логовища, чтобы почитать лекции на конгрессах.
В целом работа похожа на наших коллег-медиков, с той лишь разницей, что на нее в России не учат. Если хочешь в это неблагодарное дело влезть, то все сам, по книжкам, которые еще тоже надо добыть (в России на эту тему не издается почти ничего). Мне повезло еще несколько раз сгонять в университеты Европы (Вена, Гиссен, Милан) поучиться отдельным вещам типа патологий глаз. Сейчас с этим сложнее.
Разок даже была у нас учеба по патологии кожи... во дворце! В итальянской Кремоне ветеринарное общество арендует самый настоящий палаццо 16, кажется, века, для своих мероприятий. Было очень, кхм, необычно :)))
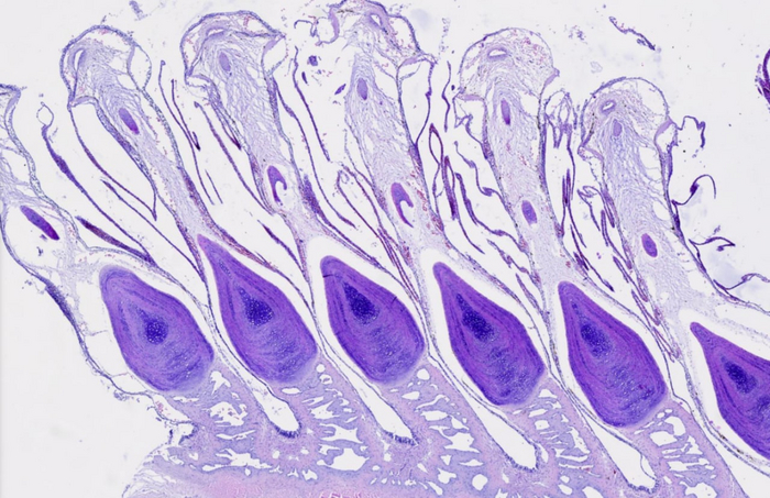
Самое прикольное, что меня будоражит в работе даже спустя 15 лет - это расследование гибели животных, особенно диких, зоопарковых и экзотических. В этой области вообще изучено мало, и ощущаешь себя, так сказать, на острие науки.
Вы когда-нибудь видели жабры осетра под микроскопом, например? А вот они:
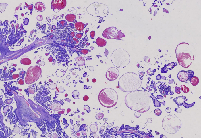
Или вот был у нас медведь, который весной не вышел из спячки. Вскрыли - а там явная тяжелая жировая дистрофия печени (липидоз). Казалось бы, ну липидоз и липидоз, только вот именно у медведей он еще ни разу в мировой практике описан не был (по крайней мере на момент, когда мы с ним столкнулись, в последнее время не проверяла). Все потому что из-за офигенного эволюционного механизма спячки у них есть целая сложная система, препятствующая липидозу печени в тех условиях, в которых бы он 100% развился у всех остальных млекопитающих! Да и к диабету они вроде как устойчивы. И вот ты сидишь с этим медведем несколько дней, разбирая все, от учебников молекулярной биологии до статей в каком-нибудь вестнике маленького института в Черногории, собирая всю информацию об этих самых медведях и спячках у разных видов животных тоже. А назавтра к тебе придет лебедь с тепловым ударом. Или арапаима с сердечной недостаточностью.
Это вот не арапаима, просто чей-то красивый яичник с опухолью:
С котиками и песиками обычно все понятнее, хотя все равно каждый месяц открываются новые болезни, переписываются алгоритмы диагностики старых, вводятся новые дополнительные тесты. Короче, тоже не успеешь заскучать.
Очень жаль только, что в этой работе по сравнению с работой на приеме очень мало положительной обратной связи. Я в начале карьеры работала в ОРИТе, есть с чем сравнить. В обычной клинике работа тяжелее физически, есть много взлетов и падений. Бывало, после смены по паре часов рыдала, когда не сумела откачать собаку с гемангиосаркомой селезенки после того, как всю ночь ее переливали, оперировали, потом снова переливали. Но там же были и моменты благодарности, когда, например, приходит на прививку собака, за которую два года назад несколько месяцев боролись всем отделением из-за осложненного сепсисом парвовируса, тоже, бывало, всплакивали от бессилия... А тут она стоит и виляет хвостом, жирненькая такая стала за это время.
В патане такого нет вовсе. Самая большая проблема, с которой я столкнулась через несколько лет после переквалификации - отсутствие положительной обратной связи. Вроде как сдали тебе материал, ты выдал правильный диагноз, да еще и вовремя - ну и само собой разумеется. А вот если не вовремя выдал или ошибся (даже если случай как с тем медведем, сложный и уникальный, ну или тебе изначально были предоставлены неверные сведения о пациенте, а ты-то его даже не видел), тут хапнешь по самые помидоры. Да вы, да я, да вот это вот все, верните мои деньги. Плюс, очень редко (если вообще) видишь, как пациент, которому ты поставил диагноз и на его основании был сделан правильный выбор лечения, приходит потом здоровый, ну или хотя бы просто живой... эх(. Со временем это очень выматывает и подталкивает к выгоранию, хотя казалось бы работа не бей лежачего, сидишь, стеклышки смотришь, и даже на обед можешь пойти когда хочешь. И спишь, спишь ночами! Увы, баланс тут найти сложно.
Но, в конце концов, никто кроме нас! Поэтому пока держусь.
Выше скриншот из моей лекции 20 года. Да, у нас на конференциях все весьма неформальненько.
Бонусом для дочитавших - неудачный дубль селфи. Скотина любит быть в кадре, но сидеть смирно не умеет :)))
Моя.. нет, не совсем работа, так, будущая подработка
Бороздю... борозжу... вот это вот самое, короче, делаю с просторами нашей родины с собачками наперевес. А вчера с оценкой "отлично" сдала экзамен на эксперта-кинолога Росохотрыболовсоюза по выставкам и испытаниям борзых собак! Почешите за ушком, что ли.
"Песики. Вы любите песиков?"
Работа у меня тоже интересная, но про нее в другой раз :)
Ищу собаковоз-внедорожник
Дорогие автолюбители, помогите советом и поделитесь опытом.
Вяло и неспешно ищу замену шниве для перевозки собак в места охоты и нагонки, с эпизодическими поездками на испытания на несколько тысяч км по трассе. Основное использование предполагается в относительно сухой степи, горах и снеге. В откровенные грязи я не лазаю, тяжелые грузы не вожу, стоковой шнивы мне в целом хватало для вышеозначенных задач.
Собстно, шнива и сейчас бы устраивала (у меня она уже не первая и все было доселе с ними хорошо, с поправкой на специфику автоваза, конечно), но семья растет, и для 2 человек, 2-4 собак и их багажа на пару недель ее уже конкретно не хватает, даже с кофром на крыше. А с прицепом из Екатеринбурга в условный Ставрополь ездить... ну такое.
Короче, ищу что-то более просторное, в идеале надежное (яжедевачка, в поле своими руками многого не сделаю), было бы совсем круто, если чуть более динамичное на трассе.
Состояние рынка авто на данный момент представляю, бюджеты не многомиллионные, но и резкой потребности в машине сейчас нет, я пока просто присматриваюсь к разным маркам, но реального опыта с ними кроме (ш)нив нет никакого. У собратьев по несчастью обладания борзыми встречаю тоже всякие нивы, уазики, буханочки, L200, крузаки, кто во что горазд, короче.
В частности, жизнеспособны ли хоть сколько-то недавно появившиеся у нас китайские пикапчики? У кого есть опыт с L200, какова она в долгосрочной перспективе (хотелось бы менять ее пореже чем нивы))) и дорога ли в обслуживании? Какие еще марки можно рассмотреть под мои задачи?
Фото собачек для разбавления текста :)
Ищем дом "опятам", Екатеринбург
Если вдуматься только, сколько случайностей должно было произойти, чтобы получилось то, что получилось...
Их выкинули, только дав обсохнуть, пуповины еще были свежие, даже традиционной коробки жалко стало, просто в завязанном полиэтиленовом пакете. Утопить - ведра, видимо, тоже жалко было. Выбросили на краю леса возле поселка, трудно даже было отойти подальше в лес, чтоб там нашли лисы. Середина сентября, на улице днем +5, ночами уже ледок намерзает на небольших лужах...
А я вообще не должна была находиться в этот день в этом поселке. Должна была уехать в отпуск со своими собственными собаками, но - травма спины у старшего кобеля, внезапные приступы боли, бессонные ночи, поездки на КТ... Ходьба месяц строго на поводочке, затем потихоньку реабилитация.
И все равно в этот день я не собиралась в этот лес. Вышла из дома, пошла загружать машину, чтобы поехать в поле с младшим псом. Но тот почему-то (никогда ранее с ним такого не было!) наотрез отказался садиться в машину, я повоевала-повоевала с ним, разозлилась, забрала старшего и пошла с ним гулять вокруг дома - а ты, мол, завидуй, умник!
Ну и вот. Нагуляла. Уральские опята, особые.
Умные люди советовали сразу усыпить, так ведь гуманнее и для них, и для меня (у меня и без этого было от чего в петлю захотеть на тот момент). Но я, видимо, недостаточно умная.
Теперь им месяц, они обработаны от внутренних и наружных "квартирантов", получили первый раунд вакцин. Отлично едят сухой корм. Двое уехали по домам. Осталось четверо, 2 кобеля и 2 суки. Их выкормили и двух вытащили почти с того света девочки в клинике, но дальше в клинике расти им нежелательно - пора бы уже посмотреть на мир, заодно и снизить риск контакта с потенциально заразными пациентами :)
Какими будут, сказать пока сложно (я не из любителей приписывать породу от балды, увы). Точно не алабаи и не той-терьеры. Скорее всего в районе 20 кг, похожи пока что на лаек, но довольно разные по размерам сами по себе. Судя по своей "морозостойкости" вполне выживут в частном доме ;)
*Кликбейтный заголовок*
Как, оказывается, сложно начать! Ну, попробуем.
Ищу единомышленника. Отношения не в приоритете, отчасти потому что хочется быть с человеком, который разделяет мои интересы, а с этим сложно. Отчасти еще и потому что, если честно, мне и так неплохо. Разве что круг общения сузился до неприличия, в отдаленной перспективе это может быть чревато. Поэтому так - ищу для начала с кем потрындеть, а там видно будет.
Базовые данные: ж (нормальная такая ж, не маленькая), 165, вес около 58-60 наверно, не взвешивалась давно, 30 с хвостиком, в/о, в/у кат.В, без в/п, что там еще пишут-то. А, во. Екатеринбург. И окрестности в радиусе примерно 1000 км.
По работе я тот редкий специалист, который работает удаленно из дома (часто даже из кровати), получает шестизначную зарплату и НЕ в айти. Совсем не в айти. Работа у меня специфичная, интересная, и отчасти поэтому у меня так мало контактов за ее пределами - тупо некогда. Собсно, за 15 лет в специальности почти разучилась общаться с людьми за пределами профессии. Есть симптоматика трудоголизма, работаю над этим с переменным успехом. Зато конференции, международное сотрудничество (до ковида, есссно), все дела.
Есть "прицеп", точнее даже два. Моим мальчикам 3.5 года и 6 месяцев и оба они представители прекрасной породы русская псовая борзая. А, кошка тоже есть, как без нее. А еще есть шесть подсосных щенков, которых я нашла выброшенными в пакете в лесу, но это совсем другая история...
"Прицеп" этот существенно влияет на мою жизнь за пределами работы. Осенью меня считай что нет - я рвусь вместе с собаками в поле (да, рабочие. Старший имеет трешку по русаку, имел бы и больше, если бы я чаще выбиралась на испытания), прогулки каждый день, лес, поле, вот это вот все. Но тут еще непонятно, кто кого в поле тащит, я собак или собаки меня.
Полюбила также благодаря им и длинные поездки на машине. Особенно если осенью и в степь да в горы. Но да, этим, наверно, надо перебеситься.))) Езжу не слишком агрессивно, зато далеко, помедитировать за рулем на 1200 км за один день - это вот прям ко мне. Раньше много ингрессила, сейчас пока сложно сочетать ингресс с домашним хозяйством, но скучаю. Есть машина для ездить и есть машина для души, она же нива.
В быту, если верить моим бывшим, нехозяйственная, пофигистка, в общении дома - злобная скотина, поэтому и не настаиваю.))) Готовить не люблю категорически, отчасти потому что частично утратила обоняние еще до того как это стало мейнстримом (химический ожог, а не ковид азазаз), отчасти потому что ленивая задница и мне норм. Тусить в городе тоже не люблю, лень тащиться куда-то, куда нельзя с собаками и вечно нужно кому-то давать денег.
Трепетно и бережно отношусь к творчеству Толкина. Читала Сильм в оригинале (тяжко, канеш... поэтому периодически перечитываю). Отдыхаю на Пехове, Сапковском, Ле Гуин, Азимове, Шекли, Леме. Со Стругацкими непросто, мне все время кажется, что еще какой-то слой смысла я не поняла. Поэтому тоже перечитываю периодически, чтоб не расслабляться. За пределами фантастики-фентези тоже читаю, но привязанностей особых не сложилось.
Поигрываю периодически. До всяких там машин и собак плотно сидела на lotro (варг почти 14 ранга, не в тапки прудить), прошла Ведьмака все части, третьих героев люблю больше чем пятых. Сейчас поигрываю в тесо, если хочется потупить после работы. Алчно смотрю на рдр2, но хочется вдумчиво и с погружением, а на это нужно время...
По поводу что мне надо... как я уже говорила, отношения ради отношений не моя тема, пока что хочу подрасширить круг общения, а там как пойдет. А еще мне бы пригодился потенциальный спутник в разъездах (таковые есть у меня и так, но все работаем, графиками не всегда совпадаем, и чем больше вариантов, тем лучше). А еще нужен человек в загон на охоту (вдруг есть любители лазить по кустам и орать, ачотакова). Халявный консультант по автомобильным вопросам - ащщще прекрасно бы.))) Ну и просто поугорать над картинками из интернетиков тоже норм.
Телега: Velphegor
Фоток именно чтоб меня на телефоне почти нет, пусть будет так)

















