tasdev

tasdev

На Пикабу
Дата рождения: 11 октября
18К рейтинг 200 подписчиков 75 подписок 32 поста 12 в горячем
Награды:
5 лет на Пикабу
48

Белый халат - пережиток прошлого?

Белый халат традиционно ассоциируется с профессией врача. Но знали ли вы, что в Великобритании ношение медицинского халата врачами было запрещено еще 10 лет назад в ходе кампании по борьбе с внутрибольничной инфекцией?


Исследования показали, что инфекция прекрасно себя чувствует на рукавах и карманах медицинских халатов. Почти с четверти халатов был высеян золотистый стафилококк, и 18% из этих штаммов были устойчивы к ряду антибиотиков (MRSA - метициллинрезистентный золотистый стафилококк)


В целом проведенная кампания привела к значительному снижению частоты внутрибольничной инфекции - с 8,2% до 6,4%. Какова роль в этом именно отказа от халата, точно неизвестно, потому что помимо этой меры был предпринят ряд других, в том числе запрет галстуков, наручных часов и длинных рукавов (рукава рубашек должны быть либо короткими, либо подвернутыми до локтя).


Дебаты в профессиональной среде ведутся до сих пор, так как несмотря на косвенные данные, нет твердых доказательств значимости белого халата в распространении инфекции.

Тем не менее, Общество эпидемиологии здравоохранения (SHEA) в США в 2014 также выпустило рекомендации снимать белый халат перед контактом с пациентами.


Источники (для желающих почитать подробнее, хороший обзор в первой ссылке):

Bearman G, Bryant K, Leekha S, Mayer J, Munoz-Price LS, Murthy R, et al. Healthcare personnel attire in non-operating-room settings. Infect Control Hosp Epidemiol. 2014;35:107–21

Department of Health. Uniforms and workwear: an evidence base for developing local policy 2007 London: DH

Public Health England. English national point prevalence survey on healthcare-associated infections and antimicrobial use, 2011

Treakle AM, Thom KA, Furuno JP, et al. Bacterial contamination of healthcare worker's white coats. Am J Infect Control 2009; 37: 101–5

Tse G, Withey S, Yeo JM, Chang C, Burd A. Bare below the elbows: was the target the white coat? J Hosp Infect 2015; 91 :299-301

Wong D, Nyek K, Hollis P. Microbial flora on doctor's white coats. BMJ 1991; 303: 1602

Показать полностью 3
366

Доктор не использовал последний шанс спасти ребенка от лечения «натуропатией»

В Западной Австралии Трибунал, рассматривающий нарушения профессиональной этики, признал врача общей практики виновным в недобросовестном профессиональном поведении при консультации десятилетней девочки со злокачественной опухолью.


Доктор Алистэр Наттолл (Alistair Nuttall) консультировал девочку с родителями в сентябре 2009 г. Месяцем ранее у нее была диагностирована злокачественная опухоль печени.

Онкологи рекомендовали химиотерапию, однако родители решили отказаться от химиотерапии и начали лечить дочь «натуропатией» (диета и грязелечение). Онкологи давали 30-50% шанс эффективности химиотерапии, родители же считали, что натуропатия гарантирует 100% излечение.


Судебное слушание, на котором ожидалось вынесение решения о проведении химиотерапии вопреки желанию родителей, должно было состояться на следующий день после консультации у доктора Наттолла. Чтобы избежать этого, родители решили покинуть страну и отправиться в Южную Америку.


Родители сообщили об этом доктору Наттоллу, и он выписал медицинскую справку, разрешающую авиаперелет. Кроме того, он сообщил им, что по заключению УЗИ, опухоль уменьшилась в сравнении с предыдущей компьютерной томографией, таким образом воодушевив их на дальнейшее натуропатическое лечение. В тот же день родители с ребенком покинули Австралию. Девочка умерла через 2 месяца.


Трибунал признал, что доктор Наттолл:

- должен был сообщить родителям об отсутствии опыта лечения детской гепатобластомы; об отсутствии данных об улучшении на заключении УЗИ; о том, что натуропатия не может исцелить онкологию.

- должен был связаться с лечащими онкологами для обсуждения ситуации;

- не должен был выдавать справку, разрешающую перелет, не связавшись с онкологами;

- не должен был вольно или невольно воодушевлять родителей продолжать альтернативное лечение.


Трибунал признал, что действия врача вряд ли могли повлиять на исход, потому что родители демонстрировали твердую решимость отказаться от химиотерапии и уже планировали покинуть страну. Таким образом, к смерти пациентки привели не действия доктора Наттолла, однако профессионализм оценивается не результатами лечения, и даже если бы пациентка осталась жива, действия врача все равно были бы признаны непрофессиональными. Доктор Наттолл имел последнюю возможность попытаться спасти жизнь ребенка, однако не воспользовался ей.


В заключении Трибунал заявил, что доктор серьезно нарушил свои профессиональные обязанности, давая советы по заболеванию, о котором у него не было достаточно знаний и опыта в лечении. Вопреки доказательной медицине, он воодушевил проведение альтернативного лечения. Хотя это поведение не соответствовало стандартам медицинской практики, Трибунал посчитал, что подобное вряд ли повторится, учитывая необычность случая. Тем не менее, в качестве наказания доктору Наттоллу объявлен выговор, он отстранен от практики на один год и должен будет оплатить расходы Трибунала.


Об этом в СМИ:

http://www.abc.net.au/news/2014-10-17/tamar-stitt-cancer-dea...

http://www.abc.net.au/news/2017-04-11/tamar-stitt-doctor-fou...

Показать полностью
462

Перед операцией: брить или не брить?

Как обычно, к посту побудил заминусованный комментарий, что для меня является индикатором того, какие существуют медицинские заблуждения, поговорить о которых может быть интересно.

Итак, в посте о предоперационном бритье я сказал, что бритвой брить перед операцией вообще не стоит. Сейчас я попробую объяснить, почему.


В конце 2016 года произошло довольно значимое событие – Всемирная организация здравоохранения (ВОЗ) опубликовала рекомендации по предотвращению хирургической инфекции, документ почти на 200 страниц, основанный на клинических рекомендациях, используемых в развитых странах, и научных исследованиях. В чем прелесть рекомендаций ВОЗ – они адаптированы для применения в любой стране мира, даже в самой бедной африканской стране, потому что используемые методы наиболее дешевы и эффективны.

Отдельный раздел в этих рекомендациях отведен под удаление волос перед операцией.


Рекомендация такова:

При любой хирургической операции волосы или не следует удалять совсем, или, если это необходимо, удалять с помощью машинки для стрижки волос. Настоятельно не рекомендуется брить пациентов.


Рекомендация основана на нескольких рандомизированных исследованиях, сравнивающих удаление волос с их оставлением, и на сравнении различных методов удаления волос – бритье, стрижка, крем. Кроме того, ВОЗ ссылается на рекомендации, принятые в США, Ирландии и Великобритании, и все они говорят то же самое: «Не удаляйте волосы, если в этом нет необходимости, а при необходимости - не используйте бритье». Кроме того, часть этих рекомендаций говорит, что накануне волосы удалять не следует – нужно это делать непосредственно перед операцией.


Это связано с тем, что исследования выявили, что бритье повышает риск инфекции в сравнении с использованием машинки для стрижки волос. А оставление волос перед операцией и удаление их не отличаются значимо по частоте развития раневой инфекции в послеоперационном периоде.


Для тех, кому интересно почитать больше, в том числе увидеть список исследований, вот ссылка (англ.), раздел Hair Removal


Для тех, кому лень читать пост, коротко: Бритье перед операцией не уменьшает, а, скорее всего, увеличивает риск того, что ваша рана нагноится. С машинкой для стрижки волос такой проблемы не будет.

Показать полностью
2926

Об обучении хирургов

В недавнем посте о нейрохирурге, ищущем работу, отхватил минусов за комментарий о том, что никто за границей его не ждет с распростертыми объятиями.

Я объясню, почему это так, на сравнении подготовки общих хирургов в России и, например, Австралии, потому что подобная схема подготовки специалистов существует в странах с британской системой.



Итак, в России для того чтобы назваться хирургом нужно пройти 6 лет обучения в вузе и 2 года обучения в ординатуре. Особых официальных требований к количеству выполненных операций и к хирургической технике в программе нет. Поэтому кто-то пропадает на операциях, а кто-то изредка в операционную заходит. И полученный опыт, количество и сложность выполненных операций зависят от желания обучающегося и того, насколько ему доверяет обучающий хирург.


После 2 лет обучения нужно сдать относительно несложный сертификационный экзамен, никто особо на нем не валит, и нужно очень постараться, чтобы не получить сертификат.

В итоге ежегодно мы имеем сотни специалистов-хирургов в 24-25 лет, с очень разным уровнем подготовки, но зачастую неопытных - т.е. еще неспособных самостоятельно, в одиночку, делать большие операции. Дальнейшее обучение и прогрессирование идет уже в ходе работы.


В Австралии нужно получить медицинское образование - бакалавр медицины и хирургии (MBBS), как правило, 5 лет. Иногда 6, если студент берет дополнительный год на научный проект (Honours).


После этого идет год интернатуры, где интерн (Intern) должен год отработать в хирургии, терапии и экстренном отделении  - если что-то из этого не пройдено, интернатуру не зачтут.

После этого врач становится резидентом (Resident Medical Officer), и устраиваясь на работу, говорит, какие специальности он предпочитает. Это не значит, что он будет работать в этих отделениях, но во всяком случае его предпочтения постараются учесть. Если, удалось устроиться резидентом в хирургию, доктор работает в отделении, на простом поликлиническом приеме, ассистирует на операциях (если все сделано в отделении), иногда вскроет какой-нибудь абсцесс.


В это время доктор усиленно работает над тем, чтобы поступить на программу обучения на хирурга в Колледж хирургов, т.е. стать реджистраром (Registrar). Конкурс очень большой, и очень важны личные достижения, опыт и рекомендации с предыдущих мест работы. Для того, чтобы сформировать достойное резюме, нужно пройти множество курсов, общая стоимость которых может дойти до 20 000 долларов. Кроме того, чтобы подать документы на поступление в программу, нужно сдать довольно сложный экзамен по нормальной и патологической анатомии и физиологии, который стоит около 3 000 долларов. Не сдал с первого раза - плати за следующую попытку. Многие также пишут диссертацию (PhD), чтобы повысить свои шансы. Успешный экзамен и пройденные курсы не гарантируют попадание в программу, а лишь являются условием рассмотрения кандидатуры, и обычно на поступление в Колледж может уйти несколько лет, так как желающих много, а мест мало (70-100 на две страны).


Поэтому после 2-4 лет работы резидентом и в ожидании ответа от Колледжа, доктор становится неаккредитованным реджистраром - т.е. он выполняет все те же обязанности, что и обучающийся на хирурга (аккредитованный реджистрар), но не состоит в программе и никогда не станет хирургом, пока в нее не поступит. А обязанностей этих много - вести прием в поликлинике, вести пациентов в отделении, контролировать работу резидентов, самостоятельно дежурить по ночам в госпитале (да, хирурги по ночам спят дома), оперировать в зависимости от опыта.


После нескольких лет работы неаккредитованным реджистраром Колледж наконец-то принимает нашего врача в программу. Программа разделена на 5 лет обучения (SET1 - SET5). Общим является количество операций в год - участие не менее, чем в 200 операциях в год. Различие по годам - процент самостоятельных операций (от 20% до 60%). Ах да, аппендициты или грыжи даже не считаются за операции. 200 больших операций. В итоге к концу программы у реджистрара за плечами сотни выполненных самостоятельно больших операций и тысячи "мелочевки" типа аппендицитов, парапроктитов и проч.


В течение последнего года нужно сдать экзамен на членство в колледже, без этого специалистом не стать. Экзамен крайне сложный. Чтобы вы представили: год перед экзаменом у врачей нет вообще никакой личной жизни. Только книги, книги, книги. И примерно половина этот экзамен заваливает. Еще полгода в книгах, и тогда обычно сдают. Но опять же не все. Сдавшие получают право не называть себя "доктор" (Dr), а использовать префикс "мистер" (Mr) или "миз" (Ms).


После всего этого идет дополнительное обучение 1-2 года (Fellowship) по выбранной узкой специальности (колоректальная, эндокринная, маммология, гепатобилиарная и т.п.), где теперь уже хирург осваивает тонкости наиболее сложных операций в большом госпитале с большим количеством операций по выбранной субспециальности.


И вот после этого наш доктор, которому уже перевалило за 35, а часто и за 40, приходит устраиваться на работу и говорит: "Здравствуйте, я мистер Смит, хирург".

Показать полностью
1350

Забытые инструменты

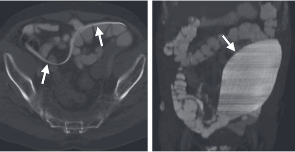
В недавнем посте рассказывалось об уголовном деле против врача, которого обвиняли в том, что она забыла в брюшной полости пациента инструмент, что привело к осложнениям, а затем смерти. В деле много странностей, но речь не о них и не об этом деле вообще.

В распоряжении обвинения был лишь снимок.

А в статье особый упор делался на то, что забыть инструмент длиной 20 см, и, тем более, выписать пациента с ним из больницы, чтобы у него не было проблем 3 недели, невозможно.

Я очень не люблю, когда мне сразу же, с заголовка, начинают говорить неправду. Поэтому вот небольшая подборка забытых хирургических инструментов из журнальных статей.

1. Лопатка длиной 28 см, обнаружена случайно (у пациентки не было никаких симптомов) на рентгене по другому поводу через 2 месяца после операции.

2. 5-дюймовый (13 см) гемостат, обнаруженный у пациента, обратившегося через 9 месяцев после операции в связи с возникшей болью в животе.

3. "Рыба", которую вообще делают яркой, чтобы ее было трудно потерять и невозможно забыть.

А. Случайная находка через 4 месяца после операции, без каких-либо симптомов.

Б. Еще одна "рыба", подробности неизвестны.

4. Ретрактор 32 см, обнаружен при обращении пациента с болью в животе, возникшей через 3 недели после операции.

5. А вот случай практически аналогичный нашему - зажим Мейо (16 см), обнаруженный через 9 месяцев после операции после возникновения боли в животе. Что интересно, но за два года до этого у этого же пациента уже забывали в животе зажим.

6. Ну и напоследок - ретрактор 33х5 см, случайно обнаруженный через 14 лет.

Думаю, пока достаточно, это только то, что дал быстрый поиск за последние 15 лет. И сколько таких случаев не попадает в журналы, или попадает, но без красивых картинок, а лишь в виде статистики.

Поэтому когда в следующий раз журналисты, пишущие на медицинские темы, начнут взывать к вашему здравому смыслу, сразу же начинайте сомневаться, потому что в медицине этого недостаточно.

Показать полностью 9

О скрининге/диспансеризации

После нескольких споров, да не с обывателями, а с врачами на тему обследований при диспансеризации, решил написать этот пост, чтобы суммировать свои (точнее, не только свои) взгляды на этот вопрос.

Побудил меня к этому в основном этот пост, в обсуждении которого очень осуждается решение Минздрава не делать общий анализ крови и УЗИ при диспансеризации,


Может показаться, что я пытаюсь спорить с совершенно очевидными вещами, тем более, если даже большинство врачей на Пикабу так считает, но прошу прочитать мои доводы внимательно, и вспомнить, что то, что Солнце вращается вокруг Земли - тоже совершенно очевидно, если не знать, что это не так.

Итак, диспансеризация, - это комплекс мероприятий, направленный на раннее выявление заболеваний, являющихся основной причиной инвалидности и преждевременной смертности населения, что, в принципе, соответствует международно применямому термину "скрининг", о котором мы и будем дальше говорить.

Критерии скрининга, принятые Всемирной Организацией Здравоохранения (ВОЗ), были сформулированы еще 50 лет назад, и до сих пор остаются в силе, лишь недавно они были немного дополнены, но ни один из прежних принципов не изменился.

Кстати, оригинальная публикация доступна на сайте ВОЗ на русском языке: http://apps.who.int/iris/bitstream/10665/37650/2/WHO_PHP_34_...

Я приведу лишь краткое объяснение этих критериев, также называемых Критериями Уильсона (Wilson):


1. Выявляемое заболевание должно являться важной проблемой здравоохранения.

Т.е. заболевание должно значительно на здоровье индивидуального человека, страдающего этим заболеванием, а также быть распространенным.


2. Должны существовать эффективные и приемлемые меры лечения больных с диагностированным заболеванием.

Для выявляемого заболевания должны быть разработаны эффективные методы лечения, которые влияют на прогноз заболевания, иначе нет смысла выявлять заболевание, которое мы не сможем эффективно лечить, или если лечение не повлияет на прогноз.


3. Службы диагностики и лечения должны быть доступны.

Это перекликается с предыдущим пунктом - если для дальнейшего обследования нужны методы, недоступные в данной местности, или если лечение существует, но оно недостпупно,скрининг на заболевание не имеет смысла.


4. Болезнь должна иметь выраженную распознаваемую латентную стадию.

Заболевание должно иметь выраженный бессимптомный период, вмешательство во время которого повлияет на прогноз. Если латентный период заболевания короткий, и оно быстро переходит в симптоматическую фазу, скрининг будет неэффективен, так как во-первых, не выявит тех, у кого заболевание будет развиваться в период между скринингами, во-вторых не даст значимой эффективности в начале лечения. Ну а если лечение в латентной и в симптоматической фазе не влияет на прогноз, то затраты на скрининг так же неэффективны.


5. Должны существовать подходящие методики и исследования для выявления заболевания.

Должен быть четкий обкатанный и надежный алгоритм диагностики заболевания с хорошей чувствительностью и специфичностью. Т.е. скрининг тест должен по возможности показывать положительный результат у всех больных заболеванием (минимум ложно-отрицательных результатов), и при этом не давать большого количества ложно-положительных результатов.


6. Исследование не должно доставлять чрезмерных неудобств для населения.

Т.е. сам метод исследования должен быть по возможности быстрым, безболезненным, малоинвазивным.


7. Заболевание должно быть хорошо изучено, с известными закономерностями развития от латентной до симптоматической формы.

Этот пункт перекликается с пунктом 4. Мы должны хорошо изучить заболевание, чтобы быть уверенными, что раннее лечение будет эффективно и повлияет на прогноз. Здесь, кстати, не все так просто как может показаться, хоть и кажется очевидным, что лечение на ранних стадиях должно быть эффективным. Это не всегда так. Представьте себе заболевание, средняя продолжительность жизни при котором от выявления при начале симптомов - 5 лет. Мы вводим скриниг для этого заболевания, начинаем лечить на ранних стадиях, и получаем среднюю продолжительность жизни 8,5 лет. Казалось бы - ого, лишние 3,5 года, продлеваем жизнь больше, чем в полтора раза! Но вот латентный период у заболевания - от возможности диагностики при скрининге до начала симптомов - 3 года. В итоге мы получаем реальное увеличение продолжительности жизни на полгода, но при этом качество жизни может значительно ухудшиться из-за того, что человек живет лишние 3 года с осознанием того, что у него тяжелое заболевание, да еще и получает лечение с побочными эффектами.


8. Следует четко определить, кто именно входит в категорию лиц, требующих лечения.

Должны существовать определенные критерии и алгоритмы, определяющие, кому показано лечение, а кому просто наблюдение. Например, целевое артериальное давление при гипертонии <140 мм рт.ст., для диабетиков до недавнего времени целевым давлением было <130 мм рт.ст., то есть эта группа пациентов начинала лечение при меньших значениях артериального давления.


9. Затраты на выявление и лечение случаев болезни должны быть экономически сбалансированы.

Мы не можем широко применять дорогостоящие методы диагностики, так как тогда на остальное здравоохранение не останется денег. Таким образом, одно из требований к скрининговым тестам - их экономическая эффективность. То же касается и лечения - ожидаемая польза должна лежать в рамках возможностей системы здравоохранения. Это отдельная большая тема, кто заинтересуется, может почитать про willingness-to-pay.


10. Выявление случаев болезни должно быть непрерывным процессом.

Процесс скрининга должен быть организован с планом, в каком возрасте должны проводиться тесты, и как часто они должны повторяться, так как при одноразовой кампании мы выявим только больных в текущий момент, но никак не сможем повлиять на тех, кто заболеет позже.


Итак, критерии достаточно просты и понятны. Ну и после перечисления их, коротко пару примеров из статьи, на которую я сослался в самом начале, с цитатами оттуда и моим комментарием.


Если Минздраву известны более информативные диагностические методы, чем исключенные анализы и УЗИ, при этом такие же дешевые или сопоставимые по экономической эффективности, — милости просим.

Итак, главный вопрос - информативные для чего? А ответа на этот вопрос нет. Обратите внимание на то, что все критерии ВОЗ, перечисленные выше, говорят о "заболевании", о каком-то конкретном заболевании, на которое нацелен скрининг. Скрининг не должен делаться с целью что-нибудь выявить, лишь бы что - иначе он теряет весь свой смысл. Слова об экономической эффективности вообще мимо кассы, потому что они опять же могут применяться только к конкретному заболеванию.


Он напомнил, что без исследования в крови показателя СОЭ нельзя выявить многие патологические процессы, которые протекают бессимптомно, включая онкологические заболевания.

Во-первых, СОЭ крайне неспецифичный тест, т.е. он не дает нам никакой информации о том, где протекает заболевание и какой характер оно носит. Во-вторых, мы опять таки не знаем, какое заболевание мы выявляем, а значит не можем применить ни один из 10 критериев скрининга, ну а дальше вы сами можете прикинуть - если пункт 1 не работает, то.. и т.д.


Без биохимического анализа крови невозможно определить ранние признаки нарушения в работе внутренних органов.

И опять никакой конкретики. Какие именно нарушения в работе внутренних органов, важные на латентной стадии, хотелось бы видеть в биохимическом анализе крови?


Согласно письму из Минздрава, еще одна причина исключения перечисленных анализов и УЗИ состоит в том, что они могут сопровождаться «различными осложнениями». Трудно даже представить себе, какими осложнениями грозит УЗИ или сбор анализа мочи. Представьте себе: врач выходит из процедурной и говорит родственникам: «Мы сделали, что могли, но геля на животе при УЗИ оказалось слишком много, а салфетки закончились».

А вот это окончательно меня уверило в том, что сказавший это либо откровенно глуп, либо сознательно манипулирующий мерзавец. Вы бы хотели, чтобы вам делали пункцию или операцию, просто потому что оператор УЗИ что-то увидел, тем более, если он не ищет что-то конкретное, а просто смотрит, чтобы что-то найти?

К примеру, ВОЗ не рекомендует для скрининг для такой серьезной проблемы как рак яичника, хотя раннее вмешательство значительно улучшает прогноз. А не рекомендует потому, что из-за большого числа ненужных операций и осложнений от них, смертность в популяции в целом по текущим данным не уменьшается.


Суммируя, повторю, что скрининг (диспансеризация) - это мощный инструмент в современном здравоохранении, если он применяется с умом, он позволяет увеличить продолжительность и качество жизни населения с одновременной экономической эффективностью.

И не забывайте, что вы всегда можете и не должны стесняться спросить врача "почему?" и "зачем?" назначается тот или иной тест или лечение.


К сожалению, в коротком посте не получится полностью раскрыть все эпидемиологические детали, но с удовольствие продолжу разговор в комментариях, если будут вопросы по чувствительности, специфичности, положительной и отрицательной предсказательной силой тестов и проч.

Показать полностью

Заголовок vs Исследование

Заголовок в Daily Mail

Хорошая причина, чтобы стать веганом? Мясоеды заболевают диабетом в два раза чаще.


Исследование, на которое ссылаются:

Анализ данных одной из ветвей РКИ с введением средиземноморской диеты у пациентов с повышенным риском сердечно-сосудистых заболеваний.

Исходное потребление насыщенных и животных жиров не было связано с заболеваемостью сахарным диабетом 2 типа. При наблюдении в течение 4 лет и анализе изменений в количестве употребляемых животных жиров, было выявлено, что у лиц, потребляющих больше сыра и сливочного масла, диабет развивается чаще, чем у потребляющих меньше. Употребление необезжиренного йогурта было ассоциировано с пониженной заболеваемостью сахарным диабетом.

Не было выявлено связи между диабетом и употреблением красного или обработанного мяса, яиц и необезжиренного молока.


Спасибо рассылке Obesity and Offerings за то, что обратили внимание.

Показать полностью
140

Хирург-"убийца" получил пожизненное

Далласский нейрохирург Кристофер Данч (Christopher Duntsch) получил пожизненное за то, что искалечил пациентку во время операции на позвоночнике.

Приговор за нанесение тяжких телесных повреждений оказался так суров, потому что от рук Данча до этого погибло 2 пациента, а многие остались парализованными или страдали от постоянной боли.


К 2012 году, когда пациентка, в причинении вреда которой доктор был признан виновным, оказалась на его операционном столе, у Данча уже было множество плохих результатов, однако он, тем не менее, провел операцию, в результате которой женщина оказалась прикованной к инвалидной коляске. Во время операции она потеряла примерно треть объема крови и испытывает слабость, нарушение чувствительности и сильную боль в ногах. Как оказалось, доктор Данч прикрепил имплантат в мышцу вместо позвонка, пересек один из нервных корешков и повредил другой шурупом.


На протяжении 2 лет в госпиталях Далласа Данч выполнил 49 операций 39 пациентам со следующими результатами:

- 24 пациента не отметили улучшения, или их состояние ухудшилось после операции;

- 21 пациент страдают от хронической боли;

- 10 пациентам потребовалась повторная операция;

- у 4 оказался поврежден спинной мозг с полным или частичным параличом;

- 2 пациента скончались (одна умерла от инсульта после повреждения позвоночной артерии шурупом во время операции на шейных позвонках, другой пациент - после микроламинэктомии).


По заявлениям коллег, Данч оперировал на уровне резидента первого-второго года, однако совершенно не осознавал этого. Сам он называл себя "лучшим спинальным хирургом в Далласе".

Кроме того, к делу оказалось приобщено письмо Данча коллеге, в котором он писал: "Вы не можете понять, что я строю империю, я настолько вне всяких рамок и принципов, что Земля мала для меня. Знающие меня люди думают, что я что-то между богом, Эйнштейном и антихристом. Я могу все, я хочу и буду пересекать любые границы, как будто я на игровой площадке, и я никогда не проиграю... Я готов оставить любовь и доброту, и терпение, и всю свою сущность, и стать хладнокровным убийцей"

Показать полностью
Отличная работа, все прочитано!

Темы

Политика

Теги

Популярные авторы

Сообщества

18+

Теги

Популярные авторы

Сообщества

Игры

Теги

Популярные авторы

Сообщества

Юмор

Теги

Популярные авторы

Сообщества

Отношения

Теги

Популярные авторы

Сообщества

Здоровье

Теги

Популярные авторы

Сообщества

Путешествия

Теги

Популярные авторы

Сообщества

Спорт

Теги

Популярные авторы

Сообщества

Хобби

Теги

Популярные авторы

Сообщества

Сервис

Теги

Популярные авторы

Сообщества

Природа

Теги

Популярные авторы

Сообщества

Бизнес

Теги

Популярные авторы

Сообщества

Транспорт

Теги

Популярные авторы

Сообщества

Общение

Теги

Популярные авторы

Сообщества

Юриспруденция

Теги

Популярные авторы

Сообщества

Наука

Теги

Популярные авторы

Сообщества

IT

Теги

Популярные авторы

Сообщества

Животные

Теги

Популярные авторы

Сообщества

Кино и сериалы

Теги

Популярные авторы

Сообщества

Экономика

Теги

Популярные авторы

Сообщества

Кулинария

Теги

Популярные авторы

Сообщества

История

Теги

Популярные авторы

Сообщества