nauchpop
Такая анатомия нам нравится
«Мисс Дуке», как ее называют в школе, творчески подошла к занятию по анатомии, сняв кожу и показав человеческое тело с принтом внутренних органов своим ученикам третьего класса начальной школы. Учительница оделась в "анатомический костюм": купальник и легинсы с напечатанными органами, который она приобрела через AliExpress. После твита ее мужа, стала популярна не только в школе.
Новые сканеры МРТ размером со стиральную машину
Пациент, мужчина лет 70 с копной седых волос, лежит в отделении нейрореанимации в Йельской больнице Нью-Хейвен. Глядя на него, ни за что не догадаешься, что несколькими днями ранее из его гипофиза удалили опухоль. Операция не оставила следов, потому что, как обычно, хирурги добрались до опухоли через нос. Он весело болтает с парой научных сотрудников, которые пришли проверить его успехи с новым и потенциально революционным устройством, которое они тестируют.
МРТ сканер с низким разрешением снимает пациента на кровати в отделении интенсивной терапии Йельской больницы Нью-Хейвен
Цилиндрическая машина высотой по грудь и может быть задумчивым старшим братом R2D2, робота из «Звездных войн» . Один из исследователей осторожно направляет 630-килограммовый самоходный сканер к изголовью кровати, управляя им с помощью джойстика. Подняв человека за простыню, исследователи помогают ему опустить голову в Swoop — портативный магнитно-резонансный томограф (МРТ), изготовленный компанией Hyperfine.
— Хочешь беруши? — спрашивает Винита Ядлапалли, второй исследователь.
— Это так же громко, как обычная МРТ?
— Нисколько.
— Тогда, думаю, они мне не нужны.
Подперев ноги пациента, чтобы уменьшить нагрузку на его спину, Ядлапалли запускает машину, вводя несколько инструкций с iPad. Машина издает низкое рычание, затем начинает издавать звуковой сигнал и щелкать. Через несколько минут на планшете Ядлапалли появляется изображение мозга пациента.
Полчаса мужчина лежит спокойно, сложив руки на животе. В некотором роде он пионер, помогающий вывести МРТ на новый уровень.
Во многих случаях МРТ устанавливает золотой стандарт медицинской визуализации. Первые полезные изображения МРТ появились в конце 1970-х годов. В течение десятилетия коммерческие сканеры распространились по медицине, позволяя врачам получать изображения не только костей, но и мягких тканей. Если врачи подозревают, что у вас был инсульт, опухоль или разрыв хряща в колене, они, скорее всего, назначат МРТ.
Сканер МРТ использует магнитное поле для вращения атомов в живой ткани, особенно протонов в сердцевине атомов водорода, чтобы они излучали радиоволны. Для создания поля в стандартном сканере используется большой мощный сверхпроводящий электромагнит, который увеличивает стоимость аппарата до 1,5 миллиона долларов и более, что делает МРТ недоступным для 70% населения мира. Даже в Соединенных Штатах для получения МРТ могут потребоваться дни ожидания и полуночная поездка в какую-нибудь отдаленную больницу.
В течение многих лет некоторые исследователи стремились создать сканеры, в которых используются постоянные магниты гораздо меньшего размера, сделанные из сплава, который часто используется в настольных игрушках. Они производят поля примерно на 1/25 слабее, чем стандартный магнит МРТ, который когда-то был слишком слабым, чтобы получить пригодное для использования изображение. Но, благодаря лучшей электронике, более эффективному сбору данных и новым методам обработки сигналов, несколько групп получили изображения мозга в таких слабых полях, хотя и с более низким разрешением, чем стандартная МРТ. В результате сканеры стали мобильны, чтобы их можно было подкатить к кровати пациента, и, возможно, достаточно дешевы, чтобы сделать МРТ доступной по всему миру.
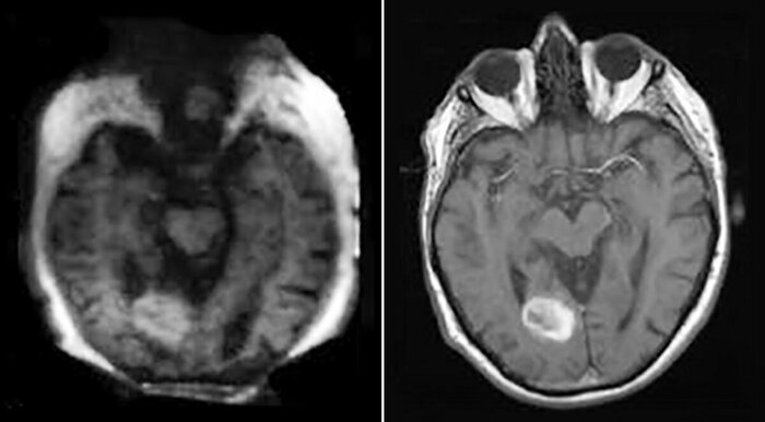
Разрешение сканирования мозга с помощью низкопольного аппарата (первое изображение) более грубое, чем у обычной МРТ (второе изображение), но на обоих изображениях четко видно кровоизлияние.
Кэтрин Кинан, инженер-биомедик в Национальном институте стандартов и технологий, которая тестирует сверхтонкий сканер, говорит: «Все, кто проходит через него, впечатлены тем, что он вообще работает». Некоторые говорят, что сканеры также могут изменить медицинские изображения. «Потенциально мы открываем совершенно новую область», — говорит Кевин Шет, невролог из Йельской школы медицины, который много работал со Swoop, но не имеет финансового интереса к Hyperfine. «Это не вопрос «Случится ли это?» Это будет вещью».
В августе 2020 года Swoop стал первым низкопольным сканером, получившим одобрение Управления по санитарному надзору за качеством пищевых продуктов и медикаментов США (FDA) для визуализации мозга, и врачи проводят его клинические исследования в Йельском университете в Нью-Хейвене и других местах. Остальные устройства отстают. Но Эндрю Макдауэлл, физик и основатель консалтинговой фирмы NeuvoMR, LLC, предупреждает, что неясно, существует ли рынок сканеров с низким полем зрения и более низким разрешением. «Настоящей задачей будет убедить врачей начать его использовать», — говорит он. «Это очень сложно, потому что по уважительным причинам они очень консервативны».
Устройство мобильного МРТ-сканера.
Одним из ключевых элементов является современные комплектующие, говорит Джошуа Харпер, инженер-нейронолог из Немецко-Парагвайского университета. «Теперь у нас есть очень быстрая и очень дешевая электроника», — говорит он. «Вот почему это действительно работает». Тем не менее, делать низкопольную МРТ в больничной палате сложно. Металл в других машинах и даже стены могут искажать поле, а статика от других устройств может нарушать радиосигнал. Поэтому сканеры применяют контрмеры. Например, Swoop от Hyperfine использует антенны для измерения радиошума и его подавления, подобно тому, как шумоподавляющие наушники блокируют звук.
Тем не менее, сбор данных достаточно быстро для стандартной реконструкции изображений остается проблемой. Одним из решений является использование новых методов обработки сигналов, включая искусственный интеллект. Инженеры Hyperfine используют набор обучающих изображений, чтобы научить программу, создавать изображения мозга из относительно разреженных данных, говорит Хан Сиддики, главный медицинский директор и директор по стратегии Hyperfine. «Вот тут-то и пригодится наш секретный соус».
В Hyperfine говорят, что их СВУП-СКАНЕР продемонстрировал довольно блестящее начало. Было продано более 100 машин, в основном в США, по цене около 250 000 долларов за штуку. По словам Сиддики, цель состоит не в том, чтобы заменить высокопольные сканеры, а в том, чтобы расширить возможности использования МРТ. «Наш портативный сканер приближает МРТ к пациенту как по времени, так и по расстоянию». Hyperfine предполагает использовать его в нейрореанимации для быстрой оценки пациентов, которые слишком больны или нестабильны, чтобы их можно было подвезти к обычному аппарату МРТ или КТ, который производит трехмерный рентгеновский снимок.
Магнит Свупа состоит из двух дисков и создает поле в 64 миллитесла. Сканер чем то похожий на шлем с антеннами, удерживает вашу голову так плотно, что может касаться вашего носа, но при этом ваши руки и ноги свободны. Звук работы сканера мягкий, даже успокаивающий.
Джонс Обунголох (второй справа), Джошуа Харпер (второй слева) и коллеги с магнитом для сканера, который будет использоваться при операциях в педиатрической больнице в Уганде.
В конце 2019 и начале 2020 года, когда разразилась пандемия коронавируса, Шет и его коллеги просканировали 50 пациентов отделения интенсивной терапии, в том числе 20 с COVID-19. Поскольку многие были подключены к аппаратам ИВЛ и находились под действием седативных средств, «мы понятия не имели, каков их неврологический статус, и не имели возможности проверить их с помощью любого доступного метода визуализации», — вспоминает Шет. «И это дало нам возможность сделать это у постели больного». Сканирование выявило травму головного мозга в 37 случаях, в том числе у восьми пациентов с COVID-19, сообщили исследователи в январе 2021 года в JAMA Neurology .
Чесменская церковь сквозь время
Це́рковь Рождества́ свято́го Иоа́нна Предте́чи (Чесме́нская) — православный храм в Санкт-Петербурге, памятник архитектуры в стиле неоготики. Здание церкви было построено в ознаменование победы русского флота над турецким в Чесменской бухте Эгейского моря в 1770 году. Вместе с Чесменским дворцом составлял некогда своеобразный ансамбль, обращённый к бывшему Царскосельскому тракту. Являлась капитульным храмом ордена Святого Георгия. Википедия.
Фото отсюда.








