Может ли спорт сделать вас убийцей?
На момент 23 июня 2007 года в доме находилось 2 мёртвых тела. Женщина 43 лет была связана и задушена электрическим проводом, рядом лежал импровизированный кляп, чтобы жертва не кричала. Мальчик 7 лет от роду лежал в своей постели, не его шее виднелись характерные подкожные кровоизлияния и отчётливые следы от пальцев, свидетельствующие о том, что ребёнок был задушен. В крови мальчика содержалась конская доза рецептурного нейролептика, который так любят есть горстями всякие современные реперы, что так же наталкивало на определённые мысли. Спортивный мужчина 40 лет по имени Крис Бенуа положил рядом с телами своих родственников Библию, прочитал молитву, спустился в подвал, обмотал шею полотенцем, привязанным к тросу тренажёра, поставил максимальный вес и разжал руку.
В ходе расследования полиция реконструировала произошедшее до мельчайших деталей, ведь человек, совершивший вышеописанное, был одним из самых ярких и известных представителей профессионального рестлинга тех лет. Прочитав отправленные СМС, следователи поняли, что незадолго до самоубийства Крис отправил самым близким людям сообщение с просьбой позаботиться о домашних питомцах его семьи. Поисковые запросы в истории браузера, сплошь и рядом состоявшие из религиозных текстов, последним из которых было описание библейской истории воскрешения ребёнка Пророком Илией, наталкивало на мысли о возможном религиозном бреде (поборников нравственности прошу не ущемляться – это официально название заболевания, код по МКБ 11 - MB26.08).
Так же о Бенуа давно ходили неприятные слухи. Во-первых, он страдал от неконтролируемых приступов агрессии, во–вторых, давненько сидел на ТЗТ, потому что его яички были атрофированы в процессе непрекращающегося употребления стероидов. Что касается его рестлерского стиля, то Криса всегда характеризовали, как спортсмена, кто: «Был одним из тех немногих парней, который мог принять удар стулом в затылок… что глупо». Именно этот случай стал одним из самых громких дел, связанных с самоубийством профессиональных спортсменов и положил начало новому витку обсуждений такого заболевания, как хроническая травматическая энцефалопатия (далее по тексту – ХТЭ), так же известного, как деменция боксёров. О ней мы сегодня и поговорим.
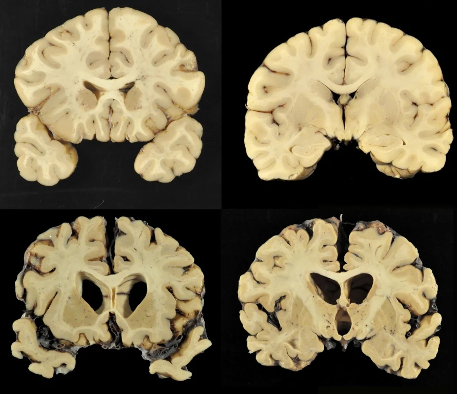
Действительно, как показало вскрытие, Крис Бенуа долгое время страдал из-за множества нелеченых сотрясений головного мозга. Эксперт, проводивший исследование, отмечал тот факт, что мозг Бенуа был так сильно повреждён, что напоминал мозг 85-летнего больного болезнью Альцгеймера, а ещё одно сотрясение мозга могло привести к тяжёлой деменции и вытекающим из этого серьёзным поведенческим проблемам. Всё это говорит о том, что спортсмен страдал от ХТЭ. Но неужели раньше об этом заболевании никто не слышал?
Как бы не так, ведь впервые ХТЭ было описано ажно в конце 20-х годов 20 столетия. Эта тема стала очень актуальной ввиду стремительного развития такого вида спорта, как профессиональный бокс, который и поныне считается одним из самых травмоопасных занятий для головного мозга. Первые признаки ХТЭ обычно проявляются спустя 8-10 лет после того, как человек начинает на постоянной основе получать по голове, что приводит к частым микросотрясениям. Симптоматика следующая: головные боли, головокружение, спутанность сознания, дезориентация в пространстве. Далее всё вышеописанное перетекает в неконтролируемые вспышки агрессии, акты асоциального поведения и частичную амнезию. На последней стадии у пациентов начинали фиксировать признаки депрессивного синдрома, двигательные расстройства, прогрессирующую деменцию и суицидальные мысли.
ЧСХ, на момент совершённого открытия фармакология в спорте ещё не была так сильно развита, а потому уже в 70-е годы в наше уравнение добавляется ещё одна вводная – постоянное употребление стероидов, гормона роста и прочих «вкусностей», сильно усугубляющих течение ХТЭ в частности, и жизни в целом, ввиду постоянно задранного к потолку уровня тестостерона, кортизола и прочих гормонов, способных превратить самого милого и тактичного человека в сгусток ярости и злобы при определённых обстоятельствах. Впрочем, про влияние постоянного употребления стероидов на психику человека я могу рассказать в другой раз.
Естественно, спортивное сообщество не могло обойти стороной такую проблему, ведь признаки ХТЭ стали проявляться у каждого третьего человека, профессионально занимающегося контактными видами спорта. И мы сейчас не только про бокс, кикбоксинг и прочие единоборства. Хоккей, регби, американский футбол, рестлинг и т.д. – в общем, все те активности, где большие дяди (а иногда и тёти) кушают много «витаминок» и постоянно в той или иной форме подвергаются встряхиванию серого вещества внутри черепной коробки. И болезнь не отличалась избирательность, потому что поражала даже самых великих, например, ей страдали такие иконы бокса, как Мухаммед Али, Джо Луис, Джек Демпси и Флойд Паттерсон.
И даже несмотря на то, что медицина шагнула далеко вперёд с момента первого описания болезни, до сих пор точный диагноз ХТЭ можно поставить только на столе у судмедэксперта, а лучшей профилактикой является прекращение употребления гормональных препаратов, снижение количества контактов головы и пола/кулаков/ног/коленей/локтей/стульев и т.д. до минимума и терапия, схожая с той, что назначают людям, страдающим Альцгеймером. Как Вы понимаете, для многих профессиональных спортсменов это означает окончание их карьеры, а потому многие просто скрывают первые признаки ХТЭ до последнего. Далее опишу парочку самых любопытных случаев из современной истории.
Йован Белчер был одним из самых запоминающихся молодых талантов мира американского футбола, начиная с 2008 года, когда он вошёл в сборную лучших студенческих спортсменов США. При росте в 188 см вес игрока «Канзас Чифс» составлял порядка 105 кило. Надеюсь, никто не будет спорить, что при условии постоянных кардионагрузок весьма проблематично сохранять большую мышечную массу, а потому употребление стероидов в мире американского футбола давно стоит на потоке. Помимо гормональных препаратов, Йован не забывал злоупотреблять алкоголем, а в 2012 году в возрасте 25 лет начал проявлять отчётливые признаки ХТЭ – стал нервным и раздражительным, часто ссорился со своей беременной женой и страдал навязчивыми идеями о тщетности бытия.
И вот 30 ноября после ссоры с женой наш бравый спортсмен поехал на очередную тусовку, где изрядно накидался, вернувшись домой ближе к 7 часам утра 1 декабря. Естественно, вскоре конфликт продолжился, но вот незадача – из-за ора своих родителей проснулся младший член семейства – трёхмесячная дочь Белчера. Это сильно разозлило футболиста, он впал в ярость, достал пистолет и выстрелил в свою жену 9 раз. Бросив тело супруги, он перезарядил оружие, сел в свою Бентли и поехал на парковку тренировочной базы родного футбольного клуба. Там он дождался прибытия главного тренера и владельца команды, попросил их позаботиться о своём ребёнке, перекрестился, приставил ствол к виску и вынес себе мозги. Таким образом он пополнил список из, внимание, 345 спортсменов NFL, у которых в процессе посмертного вскрытия были обнаружены признаки ХТЭ.
Теперь расскажу о случае, который мог бы привести к печальным последствиям, но, вроде, обошлось. Надеюсь. Речь пойдёт про одного из лично моих любимых спортсменов – Тони Фергюссона, носящего прозвище «El Cucuy».
Это имя латиноамериканской «бабайки», которой пугают маленьких детей. И знаете, до поры до времени этот мужик по достоинству нёс сие имя. Никто не понимал в чём заключается секрет этого бойца – его оппоненты признавались, что, ловя Тони на болевые приёмы, отчётливо слышат хруст его костей, а тот всё равно продолжает бороться, ну а во что превращались его оппоненты после боя вы можете наблюдать на картинке в карусели.
Он не проигрывал 7 лет, умудрившись набить серию из 12 побед, 9 из которых досрочно. Но вот беда – в 2017 люди начали замечать отчётливые изменения в поведении Фергюссона. Не подумайте, он и раньше был странным малым – страдал дислексией, был откровенно повёрнутым на религии, а его методы тренировок и вовсе вводили в ступор самых именитых тренеров мира. Одна только отработка ударов ногами, посредством лупцевания оными по металлической трубе чего только стоит. Но в какой-то момент всё стало откровенно плохо, после того, как Тони крепко запил.Первой тревогу начала бить его жена, понимающая, что с любимым мужем творится что-то неладное. С начала 2018 и до конца 2019 года Кристина Фергюссон подала на своего супруга не меньше 5 заявлений в полицию, связанных с его неадекватным поведением, в надежде, что ему помогут. Тони мог ни с того ни с сего начать бормотать что-то невнятное, постоянно молился, не спал по двое суток, а потом и вовсе произошло следующее:
Посреди ночи Фергюссон разбудил всю семью, погрузил их в машину и со словами, что вскоре из-за лунного затмения случится наводнение, увёз всех за 180 км от дома вглубь страны. Мол, там будет специальный пункт, где им выдадут надувную лодку. Вернувшись домой, странное поведение не закончилось. Он начал перерезать провода холодильника и кондиционера, потому что в них были спрятаны камеры, называл себя вторым Иисусом Христом, орал на жену, что она ведьма, не забывая поливать её святой водой и даже взял нож и начал вырезать из своей ноги чип слежения. Кристина поняла, что дело дрянь и поехала искать врача, забрав сына с собой. В это время Тони громил дом, пытаясь найти потайную комнату, спрятанную за камином. Договорившись с психиатром, она каким-то чудом при помощи пинков погрузила профессионального бойца ММА в свою машину и поехала в клинику (да, всё-таки есть женщины в Мексиканских селеньях).
Но увы и ах – Тони умудрился выбить дверь и выпрыгнул из машины на ходу, убежав в лес.Вскоре он вернулся домой и наконец то согласился с тем, что пора бы обратиться к врачу. Ему назначили медикаментозное лечение, все признаки надвигающейся беды были купированы, но беда пришла откуда не ждали. Некогда временный чемпион мира, нагонявший страх на оппонентов одним свои появлением, внезапно захирел. Сначала он в напряжённых боях одолел двоих ветеранов ММА, от которых раньше не оставил бы камня на камне, а уже начиная с 9 мая 2020 года он умудрился наколотить самую длинную серию в истории UFC, но уже из поражений, проиграв 8 боёв кряду. Истинный маньяк от мира ММА, заливавший октагон реками крови, излечившись от своего ментального недуга, превратился в блеклую тень самого себя.
Такие дела. Вот и подходит к концу 2024 год, а эта статья станет в нём последней. Желаю всем моим подписчикам счастья и осуществления всего запланированного в новом году. и традиционно:
Пишите, что думаете, предлагайте темы для новых статей, подписывайтесь, ставьте плюсы, если хотите, можете даже поддерживать автора через специальный виджет внизу.







Криминал
4.4K постов12K подписчика
Правила сообщества
Есть правила поведения на Пикабу. Придумывать что то новое смысла администрация сообщества не видит, во всяком случае пока.
Сообщество нуждается в создателях контента, но с рядом требований:
-Соблюдение тематики
-Приемлимое , воспринимаемое и читаемое оформление контента
Ну и главное: все посты,тексты в сообществе не являются рекламой преступной жизни и прославлением "Блатной романтики",а носят сугубо информативный характер.
Ибо "Вор должен сидеть в тюрьме".