15 Ноября 2016
70

Суперистория. Третья глава. Часть 3/3, попытка 4

Начало комикса

http://pikabu.ru/story/superistoriya_pervaya_glava_chast_12_...

Предыдущая часть 2/3

http://pikabu.ru/story/superistoriya_tretya_glava_chast_23_4...

to be continued...

бонус:

Показать полностью 17
244

Улюкаев не признал вину и отказался от дачи показаний

© РИА Новости. Максим Блинов

МОСКВА, 15 ноя — РИА Новости. Глава Минэкономразвития Алексей Улюкаев не признает своей вины и пока отказался давать показания, сообщил в интервью радиостанции "Business FM" его адвокат Тимофей Гриднев.


"Алексей Валентинович свою вину не признал. Считает, что то, что произошло вчера в офисе "Роснефти", это провокация в отношении государственного чиновника", — сказал адвокат.


Следственный комитет заявил, что Улюкаева задержали с поличным при получении двух миллионов долларов. По данным следствия, это была взятка за положительную оценку, позволившую "Роснефти" приобрести госпакет акций "Башнефти".


Позже СК уточнил, что сама выдача такого заключения была законной и приватизационная сделка никем не оспаривается. Улюкаеву предъявили обвинение, следствие ходатайствовало перед судом о его домашнем аресте.


Также "Business FM" со ссылкой на Гриднева пишет, что у Улюкаева взяли подписку о неразглашении данных предварительного следствия, а его адвокатами решили, что он воздержится от показаний до тех пор, пока не будет конкретизировано обвинение и представлены доказательства.

Ссылка для голосования: https://ria.ru/vote/20161115/1481375769.html



Источник: https://ria.ru/incidents/20161115/1481420400.html

Показать полностью 1
174

Ложная гипердентия

Доброго времени суток. Недавно я прочитал пост "Запасные зубки" от Rentgenologia Этот пост у меня поджог пукан вызвал негодование. Почему? Как минимум потому, что написано неграмотно с точки зрения стоматологии. Это можно сравнить с темой звОнишь или звонИшь. Надеюсь вы меня поняли. И сейчас я объясню вам что именно меня возмутило.


Для начала я хочу расшифровать несколько терминов, ибо они будут иметь место в тексте:

гипердентия (сверхкомплектные зубы)- количество зубов сверх нормы

дистопия - неправильное положение зуба в челюсти

ретенция - не прорезывавшийся зуб

эмбриогенез - внутриутробное развитие плода

моляр - жевательный зуб


Первый снимок

Rentgenologia предоставляет нам зуб в толще кости верхней челюсти. Это 23 зуб - ретинированный и дистопированный клык верхней челюсти. На самом деле он не является запасным, потому что не прорезался из-за временного зуба (отмечен синей стрелочкой), который своевременно не удалили.


Второй снимок  

Мистер R. в этом снимке показывает зуб в толще нижней челюсти. Это 35 зуб - ретинированный и дистопированный премоляр нижней челюсти, и он тоже не является запасным. Данный зуб должен был прорезаться, но имеет такое расположение, возможно, из-за нарушения эмбриогенеза.


Третий снимок

Клинический случай интересный, но охеревать как наш эксперт не стоит. В начале Rentgenologia обращает наше внимание на клык верхней челюсти. Это ретинированный и дистопированный 13 зуб. Он не является сверхкомплектным, а причина его расположения, скорее всего, такая же как и в предыдущем случае - нарушения эмбриогенеза. Данный клык давить на рядом расположенные не может, как утверждает охеревший эксперт, по причине того, что он плотно ограничен костью.

Далее автор "Запасные зубки" обращает наше внимание на, так называемые, говнюка и подлюку такую. На самом деле это - дистопированный и ретинированный 47 зуб, он же второй моляр нижней челюсти. Удаление такого зуба под общим наркозом очень круто на самом деле. Как минимум потому, что наркоз - общее обезболивание. Итого получается удаление зуба под общим общим обзеболиванием. Масло масленное какое-то.

После этого Rentgenologia пишет про чёрную дыру, из которой вынесли "нехилое", на его взгляд, количество кости, и после этого пациентка мол бегала от стоматологов как от Чикатилы. Знаете, я бы тоже бегал от стоматологов, которые говорят про чёрные дыры в моей челюсти, из которой выносят "нехилое" количество кости.

Потом автор столь занимательного поста ведёт речь про не менее интересную ситуацию. Действительно случай впечатляет. На снимке 28 зуб - ретированный и дистопированный третий моляр верхней челюсти, он же зуб мудрости. На самом деле, он не уплыл куда-то за под-из под (привет Rentgenologia). В стоматологии нет таких терминов. Этот зуб действительно расположен далеко от других зубов, и вовсе не находится чуть ли не в заподглазничном пространстве, ибо такого пространства в теле человека не существует вовсе.

Здесь Mr. R. пишет, что подобные случаи в стандартной стоматологии лучше не трогать. Здесь я соглашусь, за исключением одного - стандартной стоматологии нет в природе. Если бы она существовала, то появляется вопрос: какая стоматология не стандартная?

В конце обзора Rentgenologia показывает не самое интересное. Это оказывается 33 зуб - ретинированный и дистопировнный клык нижней челюсти. И действительно, люди об это узнают случайно, и в жизни этот зуб никак не беспокоит.


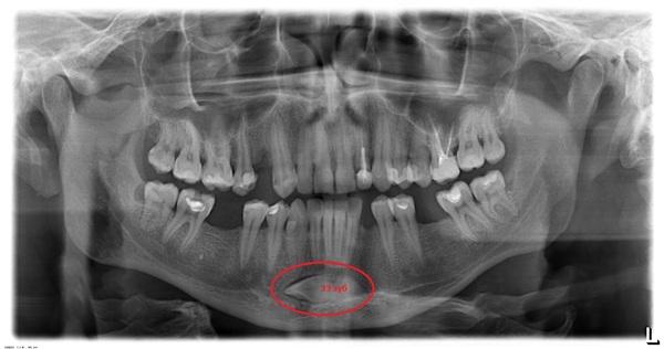
Четвертый снимок

Здесь автор "Запасные зубки" пишет про херню в подбородке. Эта херня - 33 зуб, ретинированный и дистопированный клык нижней челюсти. И знаете что я вам скажу по поводу этого этого? Я не был бы рад херне в подбородке.


По итогу хочу сказать, что ни на одном снимке нет гипердентии, как утверждает Rentgenologia. Снимки - интересные, вот только представлены, к сожалению, не грамотно. А вообще, на мой взгляд, когда человек освещает какую-то тему, то он должен отчасти нести ответственность, и должен быть компетентным, что не видно в посте "Запасные зубки".

Берегите зубы и читайте только научную литературу.

Спасибо за внимание.  

Показать полностью 6
22

Легендарный снайпер морской пехоты

Филипп Рубахо родился 23 января 1923 года в станице Аксайской, Ростовской области, в семье отставного морского офицера, участника Цусимского боя, и донской казачки. Он рано остался без родителей и воспитывался в Батумском детском доме. Учился хорошо, увлекался музыкой и стрелковым спортом. По окончании средней школы получил приглашение учиться в Ленинградской консерватории.


Но грянула Великая Отечественная война… Уже на второй день Филипп стоял перед военным комиссаром города Батуми. Военком категорически отказал 18-летнему юноше в зачислении на воинскую службу. Филипп настаивал, приводя аргументы:


– Вы не смотрите, что я такой худощавый, я сильный и стрелковым спортом занимаюсь, значок «Ворошиловский стрелок» имею…


И только узнав, что юноша играет на множестве музыкальных инструментов, комиссар предложил: «Хотите, направим вас добровольцем в музыкальную команду в военно-морскую базу Черноморского флота?» Филипп согласился, а про себя подумал: «Хорошо, мне лишь бы попасть в воинскую часть, а там я добьюсь своего». Кровавая битва развернулась от Баренцева моря до Черного. А Филипп маялся в тыловом городе Туапсе и играл на флейте. Но вскоре он добился перевода в дивизион малых катеров.


Зачислили его в артрасчет сорокапятки. Их дивизион малых катеров принимал участие в сопровождении транспортов с вооружением и личным составом пополнения в осажденную фашистами Одессу. Музыкальный слух помогал Филиппу одним их первых определять по звуку направление, откуда приближались к охраняемому каравану вражеские самолеты. Но Рубахо рвался на сухопутный фронт, в морскую пехоту, и добился своего: его направили на оборону главной базы Черноморского флота – Севастополя.


Здесь, в Балаклавской долине, краснофлотец Рубахо, поразив из винтовки фашистского автоматчика, испытал радость победы. Здесь же он получил первое ранение, но в госпиталь не пошел. Вот тогда и появилось у Филиппа Рубахо желание стать снайпером. Командир взвода стал посылать молодого бойца в передовой дозор, а для лучшего наблюдения вручил ему бинокль. Это позволяло Филиппу поражать цели и на большом расстоянии. В декабре 1941 года его направили на учебу в снайперскую школу флота.


В снайперской школе особое значение придавалось выбору боевой позиции, маскировке, умению быстро ориентироваться, мгновенно находить цель и поражать ее наверняка с первого выстрела. И Филипп учился быть точным, искусным, сообразительным и изобретательным. На выпуск в школу прибыл командующий Северо-Кавказским фронтом маршал С. М. Буденный.


Рубахо все упражнения выполнил на отлично и получил благодарность от маршала. Трудное лето 1942 года. Враг развивал наступление по всему советско-германскому фронту, и всюду, где было особенно тяжело, рука об руку с воинами Красной Армии сражались на сухопутном фронте морские пехотинцы. В боях они прославились смелостью, стойкостью, неукротимой ненавистью к врагам и горячей любовью к Родине. Матросская бескозырка и полосатая тельняшка наводили страх на фашистов, они прозвали моряков «черной тучей», «морскими дьяволами»…


В конце июня 1942 года в составе бригады морской пехоты Филипп Рубахо прибыл на Южный фронт. Сражался за Ростов, ходил в контратаки под Моздоком, защищал Владикавказ. В боях у Туапсе Филипп Рубахо был ранен в левую руку, но в тыл отправиться отказался и лечился в медсанчасти своей бригады. К этому времени снайпер Рубахо довел личный счет до 80 уничтоженных фашистов. vk.com/anti_maydan О его мастерстве распространилась слава по всему участку обороны, а в боевом листке батальона морской пехоты боец-краснофлотец писал:


У снайпера Рубахо


С бойцами уговор:


Громить врага без страха,


Лупить его в упор…


Пламя ненависти к фашистским захватчикам звало в бой. Подлечившись в медсанчасти, Филипп возвратился в свой батальон. Как подтверждается документами, в горах им с напарником было уничтожено до роты фашистов, а личный счет Филиппа Рубахо доведен до 200 уничтоженных врагов. В декабре 1942 года отважный снайпер был ранен третий раз – в ногу и затылок.


В первых числах января 1943 года снайпера Рубахо выписали из госпиталя, но в действующую часть не направили, а поручили возглавить команду по подготовке снайперов. В Геленджике и состоялась первая встреча земляков – снайпера Филиппа Яковлевича Рубахо и командира морских пехотинцев Цезаря Львовича Куникова. Рубахо уже знал, что майор Куников сформировал десантный отряд для заброски в тыл противника и что ему разрешено зачислять к себе добровольцев из всех частей базы…


– Хорошо, что поправляетесь.


А какие у вас планы на будущее? Где хотели бы служить? – поинтересовался Куников.


– Там, где больше настоящего дела, – ответил старшина I статьи Филипп Рубахо.


Команда снайперов под руководством Филиппа Рубахо была зачислена в состав отряда Куникова. Но с огорчением Филипп узнал, что им не доведется участвовать в первом броске на вражеский берег. Куников прекрасно понимал, что без снайперов можно обойтись в момент ночной высадки и рисковать жизнью отличного снайпера и его команды не стоит, ведь воевать еще не один день и месяц….


Сам безудержно смелый, идущий всегда впереди, командир умел ценить и беречь своих бесстрашных бойцов. Десантный отряд майора Куникова штурмовал западный берег Цемесской бухты в ночь с 3 на 4 февраля 1943 года. К утру морские пехотинцы выбили фашистов из береговых укреплений, заняли несколько улиц поселка Станичка, закрепились на ближних подступах к южной окраине города Новороссийска.


Плацдарм, отвоеванный у противника десантниками-куниковцами, а впоследствии расширенный десантниками трех морских бригад, получил наименование «Малая земля». Команда снайперов Филиппа Рубахо высадилась в составе 225-й бригады морской пехоты в ночь на 6 февраля. Только на плацдарме «Малая земля» личный счет уничтоженных фашистов им был увеличен до 276. Сформированный на базе отряда Куникова 393-й отдельный батальон морской пехоты готовился к боевым действиям по освобождению Новороссийска.


Организованная в батальоне группа снайперов под руководством старшины I статьи Филиппа Рубахо в августе 1943 года вышла в район оборонительного рубежа наших войск в районе цементных заводов Новороссийска. Здесь группа из 12 человек за восемь суток уничтожила 57 фашистов. Лично Ф. Рубахо уничтожил 3 офицеров, 2 снайперов и 3 солдат. Приказом командующего Черноморским флотом старшина I статьи Рубахо награжден Орденом Красного Знамени.


В период десантной операции в порт Новороссийска в сентябре 1943 года, действуя в составе штабной группы командира 393-го отдельного батальона под командованием капитан-лейтенанта Василия Андреевича Ботылева, отважный снайпер броском гранаты подавил огневую точку противника и в рукопашной схватке уничтожил 3 фашистов.


За трое суток снайпер Рубахо уничтожил более пятидесяти врагов. Когда Филипп получил ранение в ноги, он попросил краснофлотцев переводить его от одного окна к другому и продолжал уничтожать фашистов. За время операции группой Филиппа Рубахо было уничтожено около 500 фашистских солдат и офицеров. А личный счет легендарного снайпера был доведен до 346 уничтоженных фашистов.


14 сентября 1943 года при артналете осколками Филипп был тяжело ранен в голову. Через месяц он скончался в госпитале города Сочи. Указом Президиума Верховного Совета СССР от 22 января 1944 года Рубахо Филиппу Яковлевичу присвоено звание Героя Советского Союза. Приказом министра обороны СССР имя старшины I статьи Рубахо Филиппа Яковлевича навечно занесено в списки одной из воинских частей Черноморского флота. Именем Филиппа Рубахо названы улицы в городе-герое Новороссийске и на родине героя в городе Аксае Ростовской области.

Легендарный снайпер морской пехоты

ист

Показать полностью 1
Мои подписки
Подписывайтесь на интересные вам теги, сообщества, авторов, волны постов — и читайте свои любимые темы в этой ленте.
Чтобы добавить подписку, нужно авторизоваться.

Отличная работа, все прочитано! Выберите