0 просмотренных постов скрыто
13
20
0
2
230
Картинки с яМРТ
Глянул на пост https://pikabu.ru/story/mrt_moego_litsa_5991718
решил тоже запилить)
1. Бойцы Mortal Combat
Артефакты от металлических конструкций на зубах.
2. Часто получается такая дичь)
3. Колени в этой проекции всегда страусы.
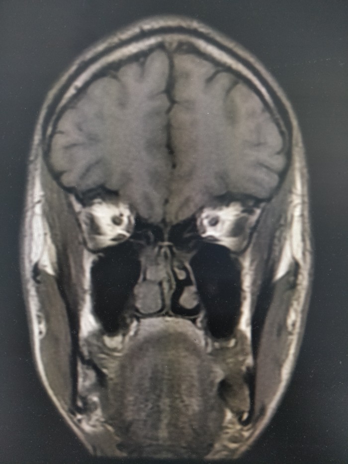
4. Ну а это, собсна, ваш покорный слуга с заложенным носом)
Если данная рубрика зайдет, буду продолжать. На срезах малых тазов тоже бывает интересно)
Пациенты подписывали согласие на анон участие в образовательном процессе, ну а от образовательного до развлекательного рукой подать)
Показать полностью
10

















