МРТ-Аневризма средней мозговой артерии
Аневризма средней мозговой артерии – это локальное расширение стенки сосуда, которое может привести к его разрыву и внутричерепному кровоизлиянию. Это одна из наиболее частых локализаций церебральных аневризм.
Основные характеристики
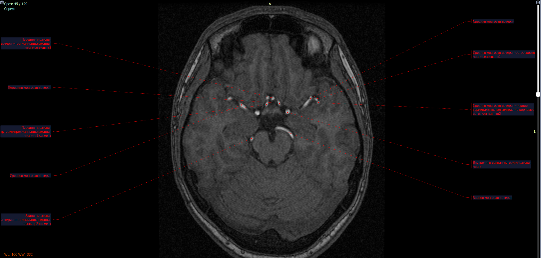
Расположение: Средняя мозговая артерия (a. cerebri media) – одна из основных ветвей внутренней сонной артерии, кровоснабжающая большую часть латеральной поверхности мозга.
Форма: Чаще встречаются мешотчатые (саккулярные) аневризмы.
Размер: Могут быть малыми (<7 мм), средними (7–12 мм), большими (13–25 мм) и гигантскими (>25 мм).
Причины и факторы риска
Врожденная слабость сосудистой стенки
Артериальная гипертензия
Атеросклероз
Курение, злоупотребление алкоголем
Наследственные заболевания (поликистоз почек, синдром Марфана, Элерса-Данлоса)
Черепно-мозговые травмы
Симптомы
Неразорвавшаяся аневризма
Может протекать бессимптомно или вызывать:
Головные боли (часто локальные в височной области)
Глазодвигательные нарушения (при сдавлении III, IV, VI нервов)
Эпилептические припадки
Очаговую неврологическую симптоматику (при компрессии мозга)
Разрыв аневризмы (субарахноидальное кровоизлияние)
Внезапная резкая головная боль ("удар по голове")
Тошнота, рвота
Нарушение сознания (от оглушения до комы)
Менингеальные симптомы (ригидность затылочных мышц)
Очаговые симптомы (гемипарез, афазия при поражении доминантного полушария)
Возможен летальный исход
Диагностика
КТ без контраста – для выявления субарахноидального кровоизлияния.
КТ-ангиография (КТА) – основной метод визуализации аневризмы.
МРТ/МРА – альтернатива при противопоказаниях к КТ.
Церебральная ангиография (DSA) – "золотой стандарт" для точной оценки аневризмы.
Лечение
1. Экстренная помощь при разрыве
Госпитализация в нейрореанимацию
Контроль АД (поддержание систолического давления 120–140 мм рт. ст.)
Нимодипин (для профилактики вазоспазма)
При необходимости – вентрикулярный дренаж (при гидроцефалии)
2. Хирургическое лечение
Клипирование аневризмы (микрохирургическое наложение клипсы на шейку).
Эндоваскулярная эмболизация (установка спиралей, стентов).
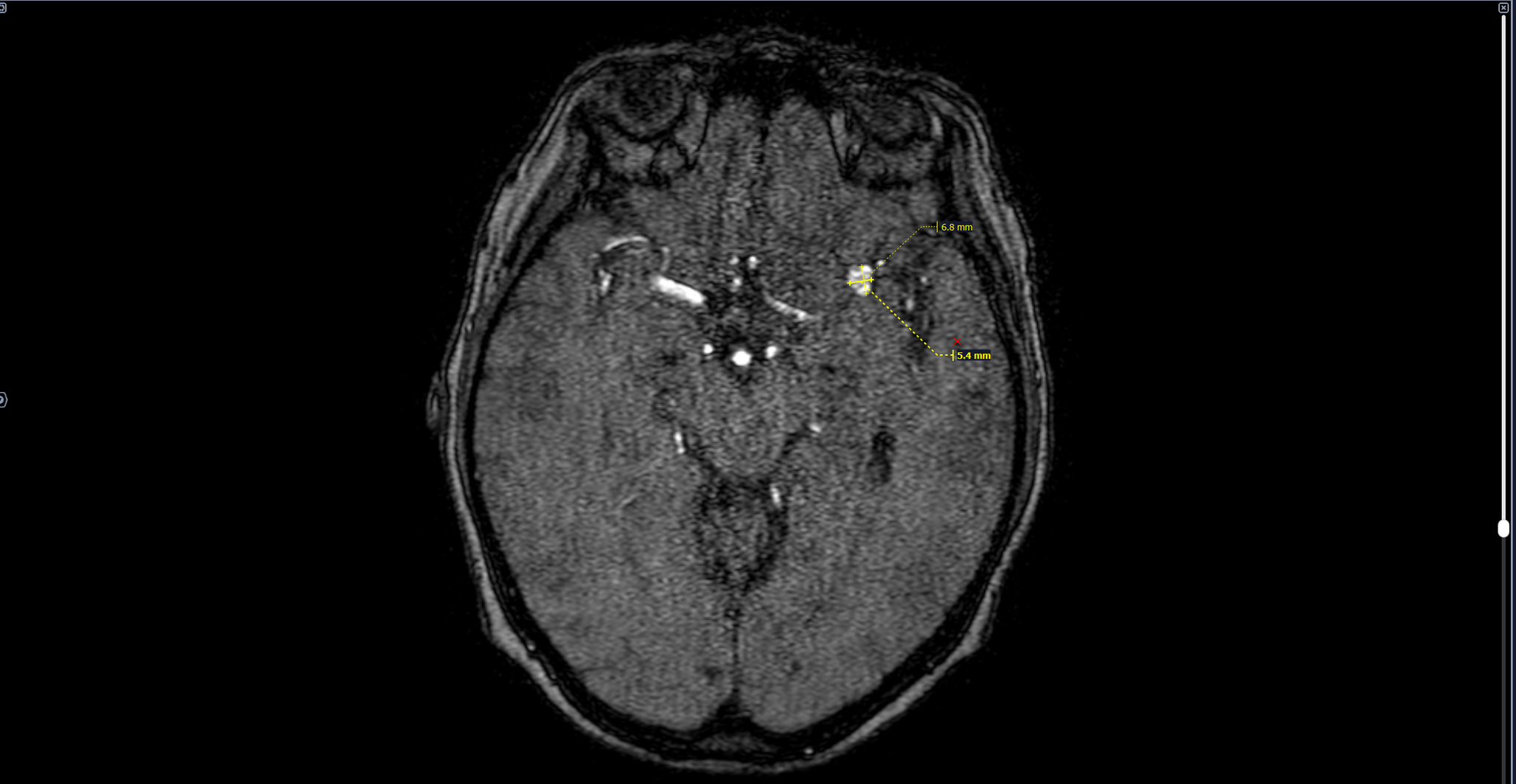
МР-картина мешотчатой аневризмы левой средней мозговой артерии на границе М1\М2 сегментов в области бифуркации размерами до 8.4х5.1 мм.
При бессимптомных артериальных аневризмах и артериовенозных мальформациях освидетельствование призывников и контрактников проводится по пункту в 24 статьи(Сосудистые заболевания головного и спинного мозга:),-В(ограниченно годен к военной службе) по I, II графам, Б (В - ИНД) -по графе III.




