Я тянула, нагрузив второй ногой(вес небольшой, но можно еще придавливать) и в принципе результат от этого есть. Раньше даже под 90 градусов не сгибалось при усилии, а сейчас могу и меньше угол сделать. Со столом интересное упражнение, не слышала о таком, попробовала - действительно хорошо тянется. Спасибо большое, буду стараться!)
А какие упражнения Вы выполняли? Мне говорили тянуть на себя и делать что-то вроде выпадов вперед на ногу. Я стараюсь как можно больше тянуть ее статически. Все сильнее и сильнее, по чуть-чуть. И дополнительно спускаюсь по лестнице и пытаюсь ходить на носках(это пока получается хуже всего). Если подскажете еще какие-то полезные упражнения, буду очень благодарна!)
Например, встать на полную стопу на расстоянии 50-70 см от стола.. Оперевшись на него наклониться вперед, не отрывая стопы от пола.. Будет больно, но надо потерпеть.. Дальше увеличивать расстояние.. И еще хорошо подъем на носки.. Но аккуратно, держитесь за что-то.. И все делайте плавно и без рывков.. Главное часто и регулярно.. Тянуть без веса бессмысленно..
Да, уже хожу, но пока еще с палкой. А "на себя" нога до конца не гнется. Очень беспокоит этот момент. Многие говорят, что если хорошо не разработать, то потом так и останется. С момента перелома уже скоро будет 2 месяца. Не знаете, за какое время нужно разработать сустав?
Вам правильно говорят.. Если не разрабатывать (особенно "на себя"), подвижность в итоге частично потеряется. Начните прямо сегодня и придется через боль. Есть ряд упражнений, специальных. У нас травмы аналогичные (почти).. Я разрабатывала с первого дня после операции, через два месяца встала на каблуки.. Это каждый день, два раза, больно до чертиков, но надо
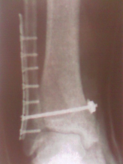
И мне недавно поставили. Точно такую же штуку как на рентгене у автора.. И нога так же левая, и даже средний болт так же торчит с другой стороны=)
Вот только на второй кости еще два шурупа. Очень хочется уже поскорее начать нормально ходить. Ну что ж, всем "киборгам" скорейшего выздоровления=)
Спасибо. Я боюсь даже представить, что под словом "Мои" вы восприняли кроме железяк, но могу сказать точно - в мире есть пара десятков японцев, которые за эти железяки с предоставлением фото отдали бы большие деньги...
Мои, точно мои.. Из ноги выкрученные.. Просто их помыли, обработали, положили в пакетик и отдали
странный хирург! я уже лет 15 клиент травматологов и ортопедов, и никогда подобной глупости не слышала. чем быстрее (разумеется, в определенных рамках) приступишь к разработке, тем быстрее боль пройдет и больше объем движений будет. например, у знакомого после 45 дней на вытяжке правое колено год почти было чуть согнуто, не сгибалось и не выпрямлялось так же полно, как его левый товарищ
Блин, иногда жаль, что я такой аккуратный. Из всех операций только подрезали в детстве уздечку - никаких ресурсов. Зубы, полное лечение за 17 лет. Всё пылью. И всё!
И вопрос - это прям ТВОИ? Или просто копия? Прост какие-то они больно уж чистенькие.
На вытяжке 40 дней лежала, фу.
Мне кстати все оставили внутри.
На большой берцовой, еще и с осколками - наверное хорошо, что оставили.. Основная нагрузка же на нее идет, а металл все-таки крепче костей.. Сколько же Вы восстанавливались, после большой берцовой?
а мне мои не отдали. сказали, что отдают на переплавку для повторного использования. жалко. такой памятный предмет был бы. тоже, кстати, о киборгах думал. раз у меня организм не отторгает инородные предметы, значит нужно каких-то более полезных имплантов навесить
А надо было попросить перед операцией по удалению..) это вообще-то Ваше, Вы за это деньги заплатили
Не была в Вашем городе, но чувствую, там волшебно.. Особенно история с медсестрой порадовала
Я когда лежал на операционном столе, начали иглу под током вкалывать в нервы. Рука моя самопроизвольно подпрыгивала. Боль адская! На меня доктора смотрели с большими глазами и говорили: "Ты же мужик!". Я их там матом поливал и тут же извинялся.
Самое интересное, когда мне катетер вкалывали. С первого раза медсестра не попала и говорит мне: "Я тебя перекалывать не буду!". И в оконцове вытащила иглу, чтобы мне заново вколоть и сама же укололась. На меня смотрит и спрашивает: "Не болеешь ли ты СПИДом, гепатитом или же еще чем-то?". А я на нее посмотрел и засмеялся дико :) Вы бы видели ее глаза с размером с блюдце от моей насмешки :) В итоге я ей сказал, что ничем таким не болею. Она мне в ответ: "Знаем мы таких! Не болеющих! Земля круглая, маленькая! Найду, если что!".
Ой,там все было очень специфично))) Вот про справку с пометкой,где именно металл я из вашего коммента узнал только)) Например)
Говорили,что стоит,но не обязательно.
Швы недавно сняли. Рукой немного двигаю, но пока боюсь что-то делать. Пластину из-за гематомы не чувствую, но чувство, что что-то в руке мешает. В больнице сказали год или два с ней ходить. Но это место останется уязвимым.
Скоро идти снова на прием. Будут мою руку разрабатывать. Боли адские будут. Боюсь, если честно.
А страшно было, когда лежал на каталке перед операцией. Решил руку приподнять. И она мне на лоб упала. Я вообще чуть не заорал. Жутко было. А на операционном столе вообще издевались как могли.
Разрабатывать надо обязательно, через боль.. Иначе останется ограниченная подвижность.. Страшно, больно.. Я даже плакала.. Но вариантов-то нет..
Без специальных упражнений - месяцев 10.. Если заниматься - быстрее
На беговую дорожку нельзя - там, оказывается, есть вибрация..
Год ходить - не страшно, поверьте! А вот после того, как ее снимают, оооочень странные ощущения.. Все таким ненадежным кажется (я про кости и мыщцы)..
Локтевой сустав - это вообще караул(( главное, чтобы восстановилась подвижность! Выздоравливайте!
Блин, хорошо, что мне мой аппендицит не принесли после удаления))
Как-же ты так умудрилась??
Кстати, а как в таких случаях решается вопрос со службой безопасности? Показывается правка, что в ноге металл?
В больнице выдали такую карточку, где схематично обозначено тело человека и крестиком место, где установлена пластина..
Ух, ну ,видимо, ты ссыпалась на половичек знатно) Выздоравливай! Крепкого тебе здоровья! И бобра тебе, экстрималка)!
А чем еще ты занимаешься, когда на склонах трава?
Я просто думаю, стоит-ли на тебя подписываться? А то всякого юмора на пикабу хватает, а взгляд в экстримальный спорт изнутри - такого я не видел. А очень жду!)
У вас тоже не сгибалась?
Расскажите подробнее, что делали за этот год? Я ничего не делал. Жду когда сама вылечится) Хромаю и жду)
Да Вы чтооооо!!! Вам что, врачи не рассказали, что нужно ее разрабыватывать сразу же? Чем больше ждете, тем меньше шансов разработать. Там же связки сильно сокращаются.. Я ногу во второго дня после перелома разрабатывала, с физиотерпевтом
Как выяснилось, ботинки не спасают.. Заклинило крепление, лыжа не отстегнулась и меня перекинуло в небольшом сальто вперед через лыжу на ноге.. В полете я как раз услышала треск кости
В больнице - неделю.. Дома - еще неделю.. Потом уже ходила на костылях и на работу и гулять и куда угодно.. Основная боль - упражнения по разработке стопы, я их начала со второго дня после операции.. Но зато через два месяца уже одела каблуки)))
Но я думаю это не так страшно, как пластина. :)
Да не.. Пластина - фигня, по сравнению с этим оборудованием.. Как с ним можно было жить три месяца, я даже представить не могу
Потом 2 мес в гипсе (только гипс был полностью нога до складки бедра, пальчики открыты были ахахах)
Потом сняли, сделали снимок и еще 2 месяца ходила, потом на костыликах прыгала
Кстати ботинок у меня не отстегнулся потому что вес мой был 36, а отрегулировано было на 70.
Вывод: ТБ превыше всего (!)
Оооой, сколько Вы приятностей мне с утра наговорили..) хожу теперь и улыбаюсь просто так..)))
прочитал описание поста,и долго не недоумевал "пищать". Подумал, что ты баловалась и пищала в голос в аэропорте и за это тебе ногу сломали))
Сколько она у вас стояла?
У меня тоже стоит. Но ничего про снятие не говорили. Мешает зараза. Стопа не до конца сгибается.
Насколько я поняла, ее ставят временно, на год.. Чтобы кости срослись правильно и ничего не мешало в будущем подвижности стопы.. Плюс, дополнительная жесткость при нагрузке.. А потом, пластина уже не нужна.. У меня подвижность стопы полностью восстановлена, спасибо врачам и физиотерапевтам
А вот каталась бы на доске и всё было бы нормально АХАХАХА, шучу, поправляйся скорее, увидимся на склоне;)
Стальная.. Ее ставили на год, изначально планируя в итоге снять.. Дядя-доктор объяснил, что в мне не стоит оставлять в организме металл.. Да и потом, она немного выпирала.. Я ее пальцами могла прощупать.. Брррр
Лыжи.. Крепление вовремя не отстегнулось.. Перелом голеностопа.. Разрыв связок.. В общем, юююхуууу!!!)





