Небезопасный контент (18+)
Авторизуйтесь или зарегистрируйтесь для просмотра
Вестибулопластика: как это делается?
Всем привет! Моя новая статья посвящена пластике десны, а именно вестибулопластике – манипуляции, направленной на увеличение ширины прикреплённой десны в целях устранения механической травмы маргинального пародонта мышечными тяжами мышц приротовой области. Ну а теперь объясняю не энциклопедическим языком: в полости рта есть подвижная слизистая и неподвижная. Целью вестибулопластики является устранение натяжения слизистых тяжей губ, подбородка и щёк, которые приводят к рецессиям и травмам десны. Теперь ясно? Надеюсь, что да, ведь впереди вас ждет чтение «самой кровавой» статьи, написанной мной за всё время.
----------------------------------------------------------------------------------------------------------
----------------------------------------------------------------------------------------------------------
ВНИМАНИЕ!-Uwaga!-Pažnju!-Attention!-Achtung!-Attenzione!-ВНИМАНИЕ!-Uwaga!-Pažnju!
Ниже будут представлены фотографии, сделанные во время операции! С видами зубов, дёсен, крови и расчлененки. Слабонервных прошу отказаться от прочтения данной статьи!!!
----------------------------------------------------------------------------------------------------------
----------------------------------------------------------------------------------------------------------
Если честно, не знаю, зачем я постоянно добавляю этот абзац с предупреждением, потому как это не уберегает от моих любимых комментаторов «с проблемой чтения».
«Как-то один такой стал приставать ко мне с вопросами «где тэг «жесть»?». Я отведал его печень с тушёными бобами и чудным кьянти».
Да, обидно. Народ разучился читать. Информация воспринимается исключительно из тик-токов. Ему, народу, подавай пост в одну картинку или видео с деградантом, который говорит, что номер 3 думает о тебе ночами, а номер 1 твоя судьба. И все это под песню безумно можно быть первым. Вот такие посты набирают 100500 тыщ просмотров, а я тут про «читать»… Да ну его на хуй, согласен. Но я стараюсь изо всех сил давать больше картинок и меньше текста (пока это получается с трудом). Обещаю: когда-нибудь я напишу статью, добавив всего одну спизженную картинку из интернета, приправлю это одной фразой типа «бом-бом, понял-нет?» и сорву джекпот. Всё, как любит «масса». А пока устраивайтесь поудобнее.
Что ж, думаю я написал достаточно, чтобы кровь на картинках не брызнула в лицо тем, кто все же «развернул» статью, не прочитав тот самый абзац. У вас есть еще один шанс вернуться к началу и понять, надо ли вам это. А тем, кому надо, давайте начнем наши очередные байки из склепа.
Если вы помните, что это, то не забудьте стряхнуть песок со стула после прочтения. Возможно, там будет не только песок и стул придется сушить после увиденного. Но вам же не привыкать, так ведь, старички?
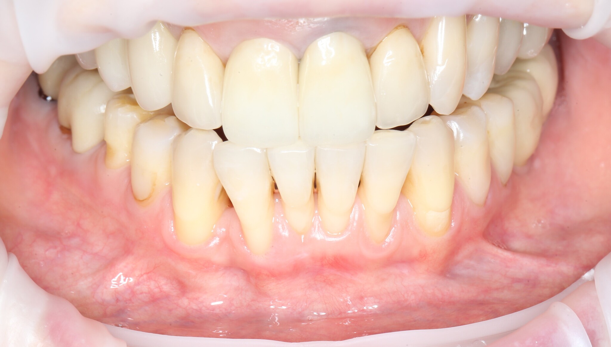
Чуть больше года назад в нашу (не побоюсь этого слова) уютную клинику на консультацию к ортодонту пришла девушка, возжелавшая исправить прикус и решить проблему рецессий десны в области нижних центральных зубов. Причина рецессий нумеро уно – это перегрузка зубов из-за неправильного их смыкания. Проще говоря, патологического прикуса. Поэтому нет вообще никакого смысла проводить закрытие рецессий без исправления прикуса. Деньги отдали, «эмоции» получили, а через какое-то время все снова стало так, как было (и это в лучшем случае).
Фотографии, сделанные на первичной консультации:
Ниже пунктиром отмечен переход подвижной слизистой в неподвижную. В некоторых местах, особенно в области центральных резцов прикрепленной десны, практически нет. В связи с чем образовались такие явные рецессии. Видно?
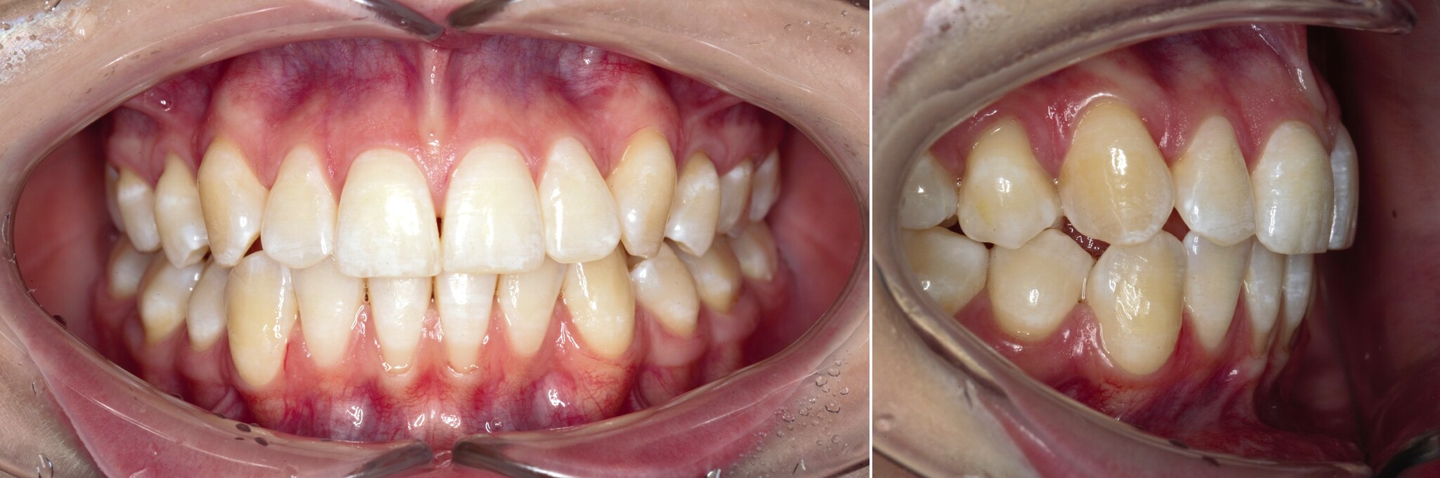
Это еще ладно, но если ничего не делать, то корни могут оголиться и так:
И даже так:
Во втором случае потеря двух центральных резцов – вопрос времени. Они уже подвижны.
Вернемся к девушке.
После проведенной анестезии границы слизистых видно отчетливее:
Там, где «вздулось», – подвижная слизистая оболочка, где нет – прикрепленная десна.
Разрез проводится как раз на их границе:
Разрез необходимо делать не до кости, а до надкостницы.
Надко́стница (перио́ст) — соеденительнотканная плёнка, окружающая кость снаружи. Надкостница пронизана нервами и кровеносными сосудами, которые поддерживают жизнедеятельность клеток кости. Проще всего представить, что это такое это так, как рассказывал мой преподаватель по хирургической стоматологии в университете. Многие из вас наверняка ели ребра и надеюсь, не человеческие. Так вот та пленка, которая находится под мясом и покрывает кость и есть надкостница.
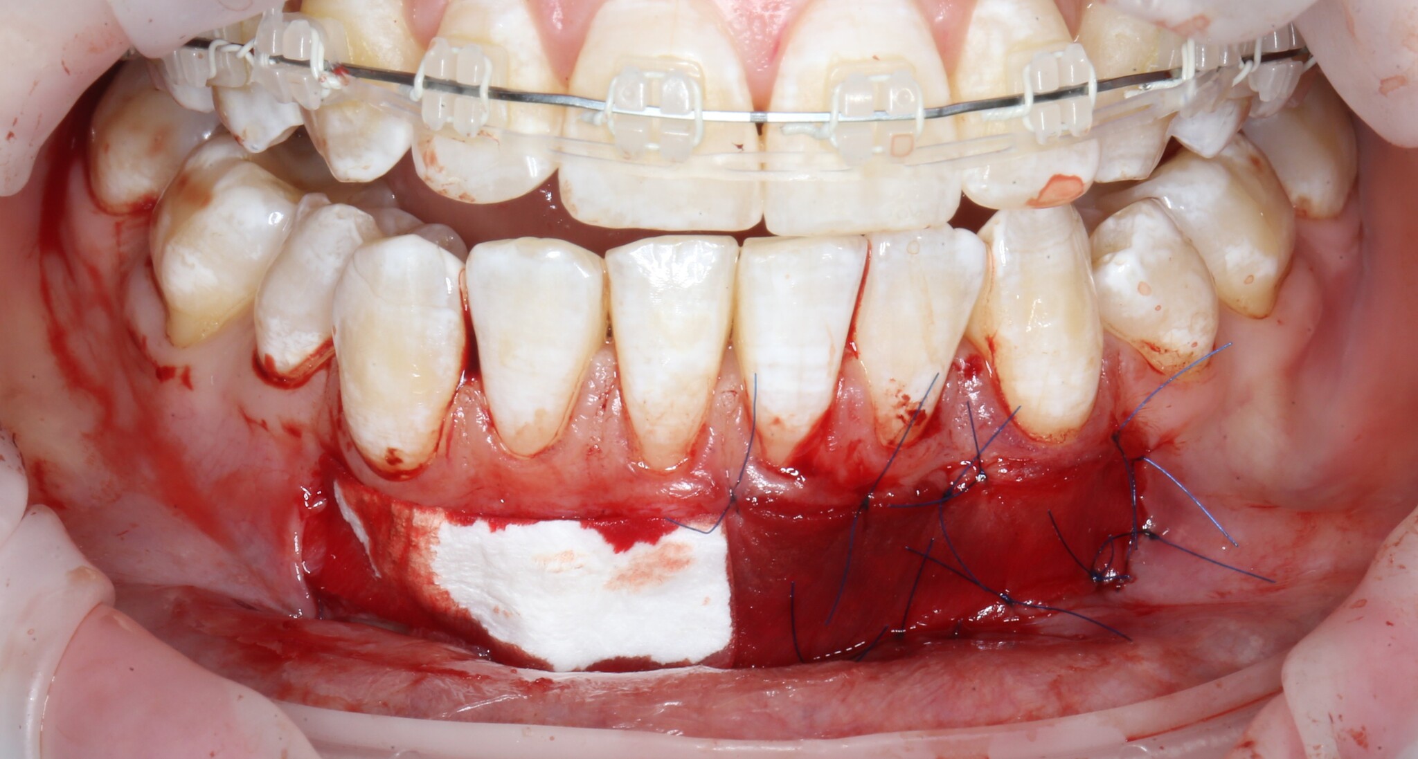
Получив аппетитную картинку для «Ганнибала», необходимо подшить ту часть, которую мы сместили вниз к надкостнице:
Такие швы необходимо наложить в нескольких местах для фиксации слизистой:
Для того, чтобы операция была менее травматична и не пришлось брать свою собственную слизистую, вырезав кусок с неба, используется коллагеновая мембрана. Выглядит она так:
Приложили:
Теперь подшиваем c одной стороны:
И с другой:
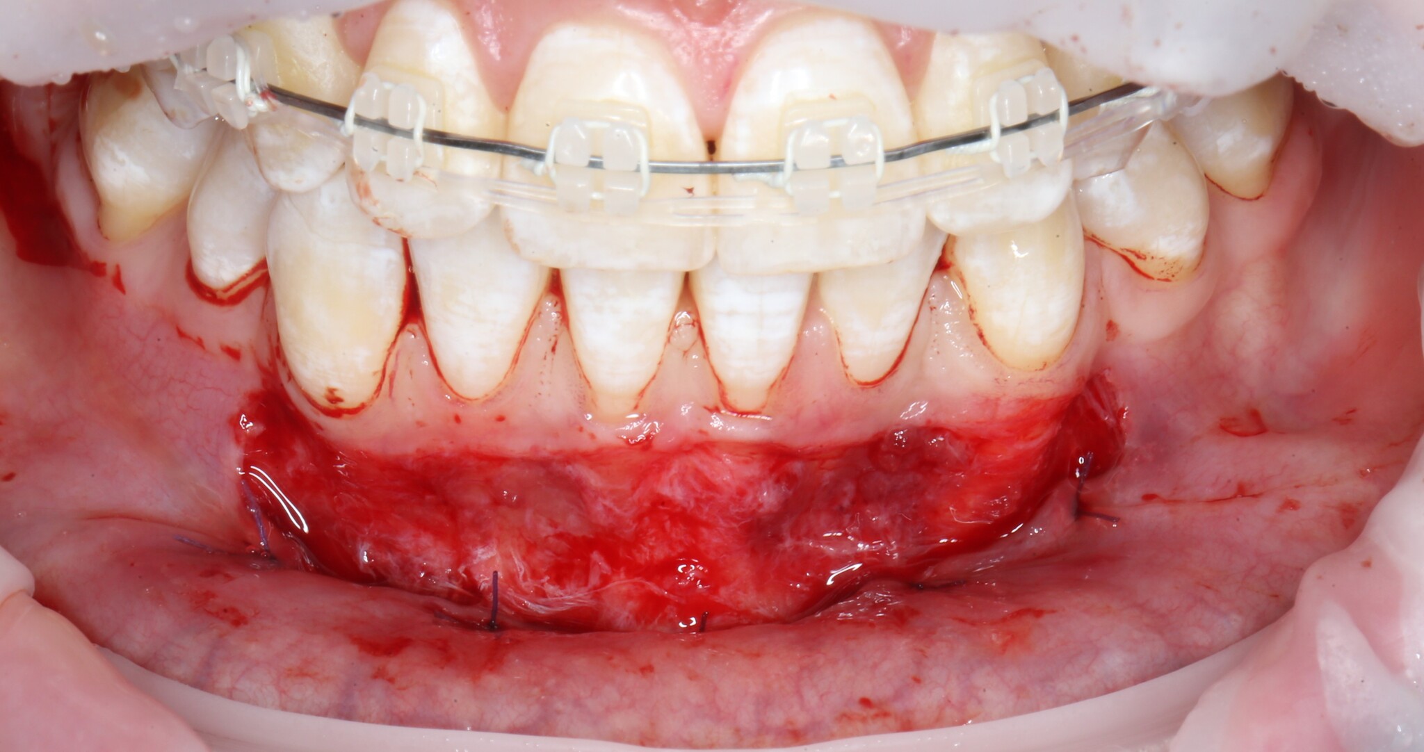
Операция закончена – ничего сложного нет:
Правда, от количества швов меня трясет. Если вам когда-нибудь было интересно, что в своей профессии я не люблю больше всего, так это наложение швов. Для пациента в этом тоже нет ничего приятного. Швы сильно натирают нижнюю губу - приходится меньше разговаривать и больше молчать.
Осмотр через пару дней:
Рана покрывается фибрином, белком, чьё наличие говорит о нормальном заживлении раны. Счищать его не нужно!
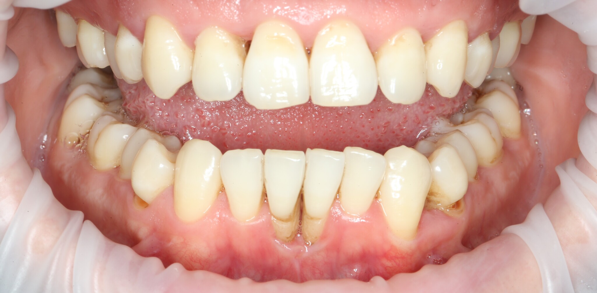
После снятия швов через несколько месяцев область операции выглядит так:
Рубец будет потихоньку разглаживаться.
Сравним:
Вот так и выглядит операция – вестибулопластика.
На сегодня все.
«Рад бы с вами поболтать, да не могу: сегодня на ужин у меня один старый знакомый». (с) молчание ягнят.
С уважением, Андрей Дашков!
----------------------------------------------------------------------------------------------------------
----------------------------------------------------------------------------------------------------------
К слову, выключите запрет на тег "жесть"! В противном случае, некоторые мои статьи вы не увидите.
----------------------------------------------------------------------------------------------------------
----------------------------------------------------------------------------------------------------------
Мои:
--------------------------------------------------------------------------------------------------------------------------------------------------------------------------------------------------------------------
Что еще почитать?
Про имплантацию зубов и костные пластики:
Про зубы мудрости и их удаление:
Про профессиональную гигиену полости рта:
И, конечно:
- Голая правда (статья о формировании стоимости лечения в стоматологической клинике)


















