Небезопасный контент (18+)
Авторизуйтесь или зарегистрируйтесь для просмотра
Расщепление в стоматологии: как это делается? Часть II
Дорогие друзья, как я уже сказал, к сожалению, правила сайта не позволяют добавлять посты свыше 51 блока, из которых 25 картинок. Поэтому, свою статью «Расщепление в стоматологии: как это делается?», я продолжаю тут.
ВНИМАНИЕ!-Uwaga!-Pažnju!-Attention!-Achtung!-Attenzione!-ВНИМАНИЕ!-Uwaga!-Pažnju!
Ниже будут представлены фотографии, сделанные во время операции! С видами зубов, дёсен, крови и расчлененки. Слабонервных прошу отказаться от прочтения данной статьи.
Мы закончили «костным материалом», отсюда и продолжим.
В данном случае будет достаточно искусственного:
Содержимое баночки высыпается в «пиалу» и смачивается физ. раствором:
После чего распределяем костный материал:
Мягкая ткань восстанавливается намного быстрее, чем костная. Для того, чтобы десна не проросла сквозь костный материал, его необходимо укрыть специальной рассасывающейся мембраной:
Мембрана помещается между десной и костью, добавляются остатки костной стружки:
И весь этот бутерброд укрывается ею, как одеялком:
Время накладывать швы (ножницы и иглодержатель):
Используется шовный материал – монофиламент. Нерассасывающаяся нитка, наподобие лески. В отличие от рассасывающихся швов, эта нить не скапливает на себе налет и остатки пищи, что особенно важно в случае с операциями.
Операция закончена:
Рентгеновский снимок после операции (расщепление было проведено с двух сторон):
Снимок, сделанный через 5 месяцев после операции:
Обратите внимание, как изменился цвет кости. Она полностью восстановилась. На снимке этот участок стал белее.
Вот и вся операция.
Я бы мог закончить на этой ноте, но решил показать вам, как установил имплантаты после проведённой костной пластики.
Всё на примере одной из сторон.
Итак, 5 месяцев позади:
Всё тот же разрез и скелетирование кости:
Фиксирующие винты нам больше не нужны. Неровные костные края сошлифовываются при помощи того же прямого наконечника, но уже с твёрдосплавными шаровидными борами:
Выглядит это так:
Разметка под имплантаты:
Вот сам имплантат:
Про этапы установки можно почитать в статье, - «Установка имплантата: как это делается?».
Вкратце, при помощи пинов проводится проверка параллельности:
Устанавливаются имплантаты:
И «глушатся»:
Операция, классически, заканчивается наложением швов:
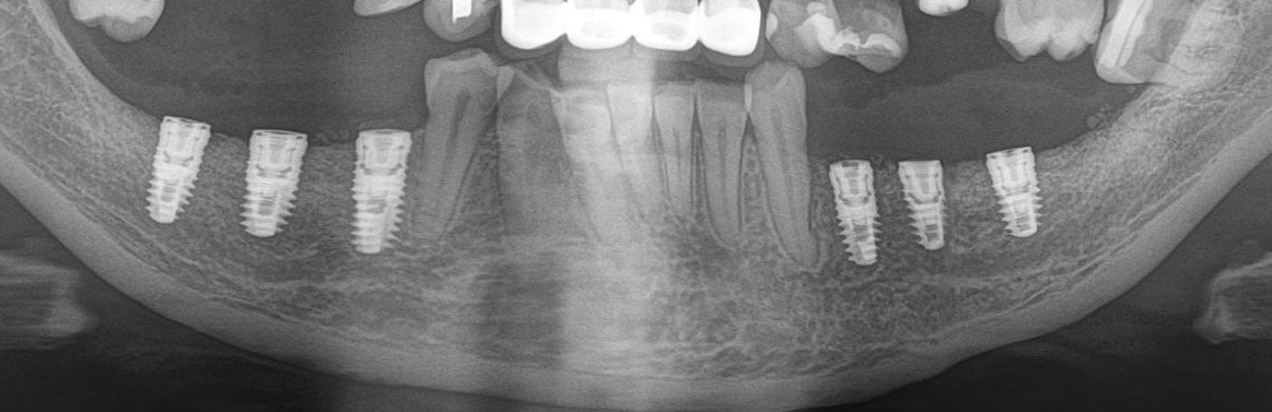
Рентгеновский снимок после имплантации:
И спустя 3.5 месяца на этапе временных коронок (коронок не видно потому, что материал, из которого они изготавливаются, не рентгеноконтрастен):
Пы. Сы.
Пиздюк в лице горизонтального зуба мудрости (на снимке справа) успешно был удалён.
Что ж, на сегодня всё. Остаётся еще одна основная статья на тему костных пластик – пересадка костного блока. О ней я расскажу в следующий раз.
С уважением, Андрей Дашков
Ваш инсайдер в мире стоматологии.
Stay Tuned!
Мои:
------------------------------------------------------------------------------------------------------------------------------------------------------------------------
Что еще почитать?
Про имплантацию зубов и костные пластики:
- Установка имплантата: как это делается?
- Синус-лифтинг: как это делается? Часть I
- Синус-лифтинг: как это делается? Часть II
- Синус-лифтинг и одномоментная имплантация
- Имплантация при полном отсутствии зубов, как следствие несвоевременного обращения к стоматологу
- Тотальное протезирование на имплантатах
Про зубы мудрости и их удаление:
- Зубы мудрости: удалить нельзя оставить
- Все еще тянешь с удалением зубов мудрости, потому что "не болит"? Ну-ну...
- Удаление зубов мудрости: Как это делается?
- ЧЛХ или не ЧЛХ? Вот в чем вопрос…
- Зубы мудрости: Тянем-потянем!
Про профессиональную гигиену полости рта:
- Профессиональная гигиена полости рта. Часть I. Введение
- Профессиональная гигиена полости рта. Часть II. Как это делается?
И, конечно:
- Стоматология: ожидание и реальность
- Рекомендации после приёма хирурга-стоматолога
- Как выбрать врача и стоматологическую клинику?
- Голая правда (статья о формировании стоимости лечения в стоматологической клинике)























