МРТ-Субакромиальный импиджмент, субакромиальный бурсит
Импинджмент-синдром плечевого сустава – это состояние, при котором происходит сдавливание сухожилий мышц вращательной манжеты и субакромиальной сумки между головкой плечевой кости и акромиальным отростком лопатки.
Основные причины
Анатомические особенности (изогнутый или крючковидный акромион-II, III тип по Биглиани).
Травмы и перегрузки (часто у спортсменов, грузчиков, маляров).
Дегенеративные изменения (остеофиты, кальцификация сухожилий).
Нестабильность плеча (приводит к смещению головки плечевой кости вверх).
Симптомы
Боль при поднятии руки (особенно в диапазоне 60–120° – "болезненная дуга").
Усиление боли ночью, особенно при лежании на больном плече.
Ограничение движений, слабость в руке.
Возможен хруст или щелчки при движении.
Диагностика
Тесты Neer и Hawkins-Kennedy (усиление боли при пассивном вращении и подъеме руки).
Рентген (оценивает форму акромиона, наличие остеофитов).
УЗИ или МРТ (показывает состояние вращательной манжеты, бурсы).
Лечение
Консервативное (в 70–90% случаев эффективно):
Покой, ограничение нагрузок.
НПВС – для снятия боли и воспаления.
Инъекции кортикостероидов (в субакромиальное пространство).
Физиотерапия (ультразвук, лазер, ударно-волновая терапия).
ЛФК (упражнения на укрепление ротаторной манжеты и растяжку капсулы сустава).
Хирургическое лечение (при неэффективности терапии за 3–6 месяцев):
Профилактика
Избегать монотонных нагрузок с поднятыми руками.
Укреплять мышцы плечевого пояса.
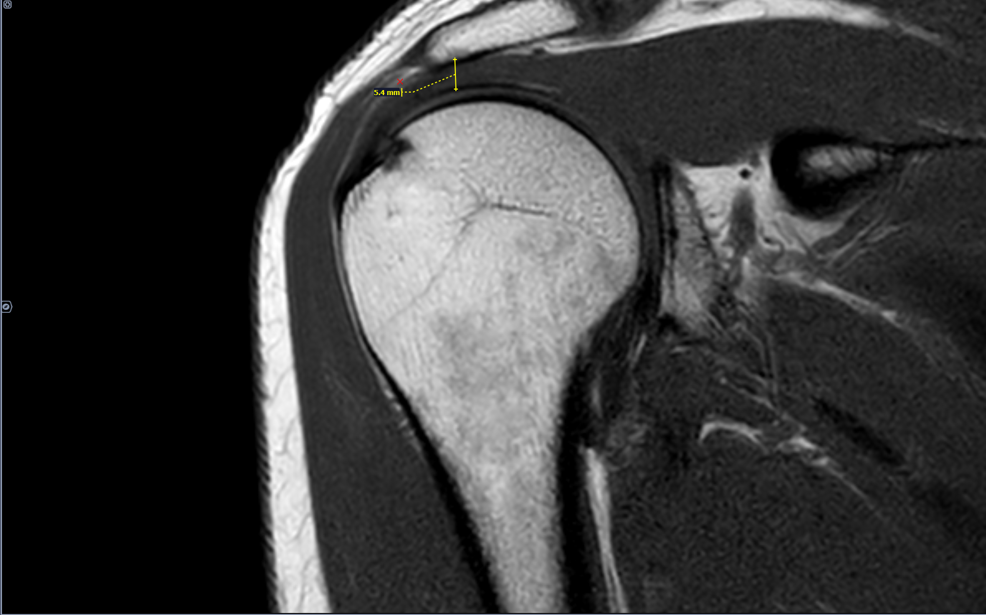
В анамнезе-боли в правом плечевом суставе возникающие при занятии спортом(баскетбол),в последний месяц -сохраняющиеся в покое.
Сужение субакромиального пространства до 5.4мм(норма 7мм),отек суставной поверхности акромиона, в полости субакромиальной сумки- умеренное количество выпота. Заключение: Субакромиальный импиджмент, субакромиальный бурсит правого плечевого сустава.
Категория годности по ст.85(Временные функциональные расстройства костно-мышечной системы, соединительной ткани, кожи и подкожной клетчатки после лечения болезней, ранений, травм, отравлений и других воздействий внешних факторов) Г-временно не годен к военной службе сроком на 3 мес. по I, II, III графам.





