Киста Бейкера. "Шишка" подколенной области
Киста Бейкера - это заполненная синовиальной жидкостью сумка в подколенной ямке между икроножной и полуперепончатой мышцами. Киста сообщается с полостью сустава через соустье, изнутри выстлана синовиальной оболочкой, снаружи - фиброзный слой.
Часто не предоставляет беспокойства и является случайной находкой.
Возникает, ориентировочно, в возрасте 35-70 лет, чем старше, там чаще.
Но может встречаться и у детей 4-7 лет - в результате дисплазии соединительной ткани и диспропорции роста, по мере роста проблема киста саморазрешается - сумка опустевает.
Причиной кисты являются факторы вызывающие раздражение синовиальной оболочки:
травмы - повреждение менисков (чаще задний рог медиального мениска), разрывы передней крестообразной связки.
остеоартрит.
Патогенез.
Существует несколько причин формирования кисты.
Один из вариантов анатомии коленного сустава, когда есть наличие соустья между капсулой сустава и икроножно-полуперепончатой сумки в подколенной ямке. В соустье есть клапан, который позволяет жидкости из сустава переходить в сумку.
Соустье может возникнуть дополнительно в результате травматизации капсулы - повреждение ослабляет капсулу сустава и вызывает открытие в икроножно-полуперепончатую сумку.
Или из-за повреждения мениска, который начинает играть роль клапана.
Другой вариант - киста Бейкера, это грыжевой выпячивание синовиальной оболочки сустава в наиболее уязвимом месте.
Проявления:
Дискомфорт или боли в подколенной ямке, определение в этой ямке образования, затруднение движений.
При очень больших размерах киста может сдавливать сосудисто-нервный пучок, что вызывает сдавление подколенной вены / артерии, большеберцового нерва.
Если киста разорвалась, это проявляется острой болью, ощущением стекания жидкости по задней поверхности голени, иногда может присоединиться воспаление и имитировать картину тромбофлебита.
Диагностика.
УЗИ - самый доступный и безопасный метод, саму кисту прекрасно видно.
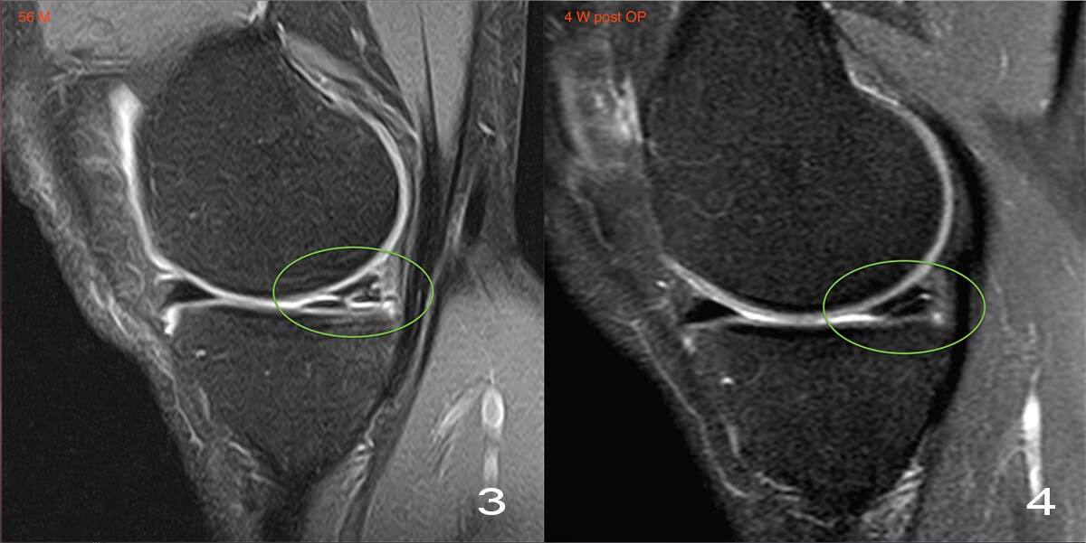
МРТ, когда нужно заглянуть дальше, например, чтобы исключить повреждение заднего рога мениска или крестообразных связок - такие глубоко залегающие структуры по УЗИ не видно.
Иногда в полости кисты можно найти какие-нибудь образования, которые мигрировали из полости сустава (кальцинаты, костные тела, хрящевые тела, костно-хрящевые).
Что важно не пропустить?
- тромбоз глубоких вен - болезненность по всей ноге или по ходу вен, отек голени, с разницей противоположной стороны больше 3 см, покраснение.
Необходимо проведение дуплексного сканирования вен нижних конечностей.
- абсцесс - инфекционное воспаление мягких тканей, как правило предшествует травматизация (порез, прокол, сглаз), сопровождается признаками интоксикации - повышение температуры тела, озноб, слабость.
Лечение хирургическое.
- гематома - связь с травмой или перегрузкой, вид имеет характерный.
- ЗНО (саркома) - опухоль, которая развивается из клеток оболочки сустава, имеет крайне агрессивное течение, на начальных этапах заподозрить сложно, проявления могут быть неспецифичны - болезненность в области колена, отечность, боли в ночное время, потом появляются общее недомогание, озноб, слабость, потеря массы тела.
Диагностика МРТ / КТ, биопсия.
Лечение кисты Бейкера.
Если нет клинических проявлений - лечение не требуется, только периодический УЗ-контроль.
Если боль все-таки есть, главное - лечение основного заболевания.
Если киста сильно донимает, можно провести аспирацию с введением глюкокортикостероидов, но высокая частота рецидивов, поэтому лично я такую методику провожу крайне редко.
При неэффективности всех методов лечения - хирургическая резекция, но и в таком случае частота рецидива 42-63%.\
Имеются противопоказания, необходима консультация специалиста.















Все о медицине
13.8K постов41.4K подписчика
Правила сообщества
1)Не оскорбляйте друг друга
2) Ув. коллеги, при возникновении спора относитесь с уважением
3) спрашивая совета и рекомендации готовьтесь к тому что вы получите критику в свой адрес (интернет, пикабу в частности, не является медицинским сайтом).