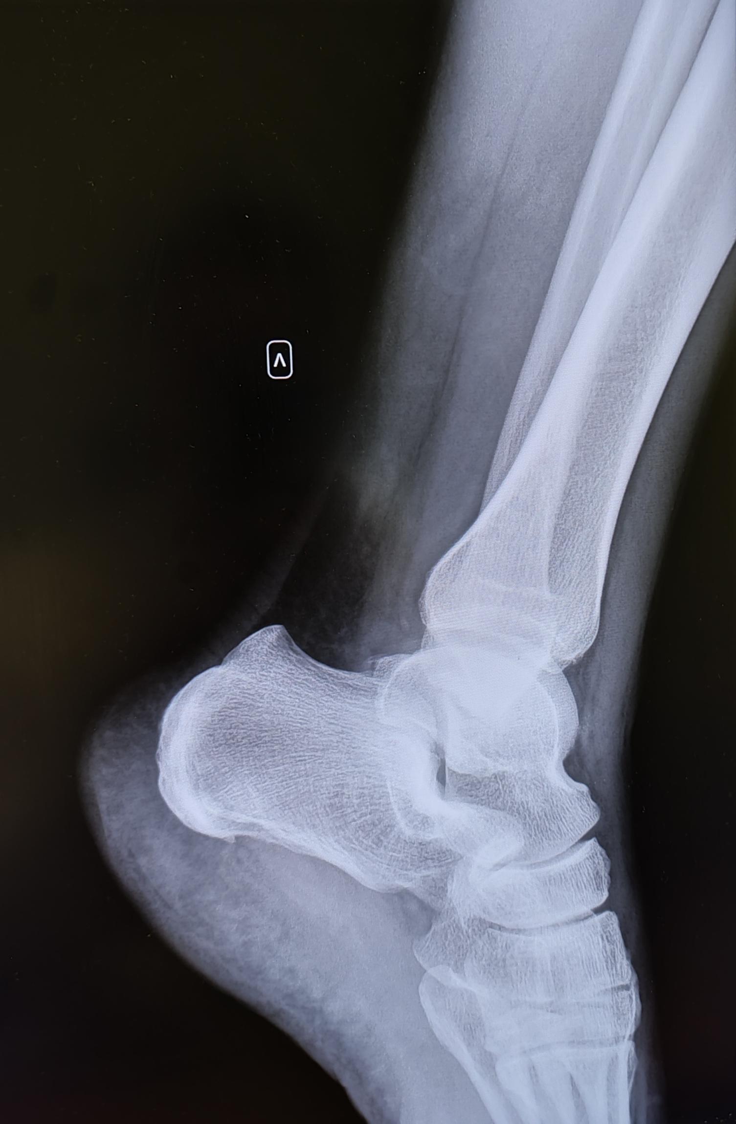
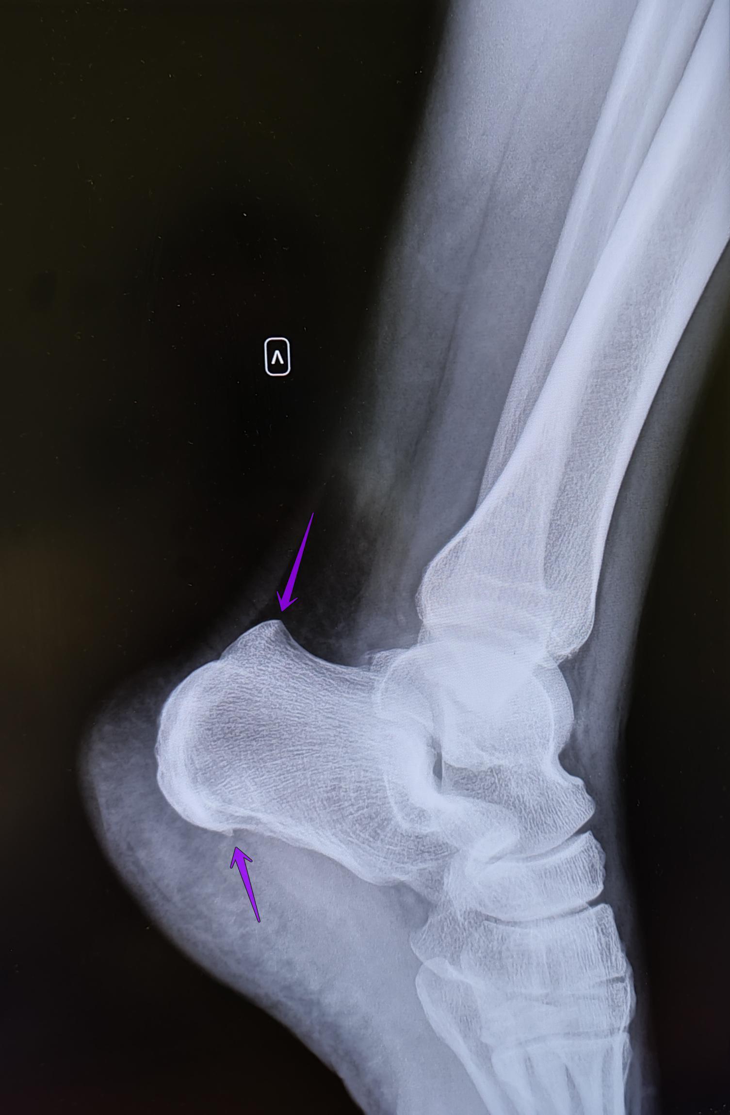
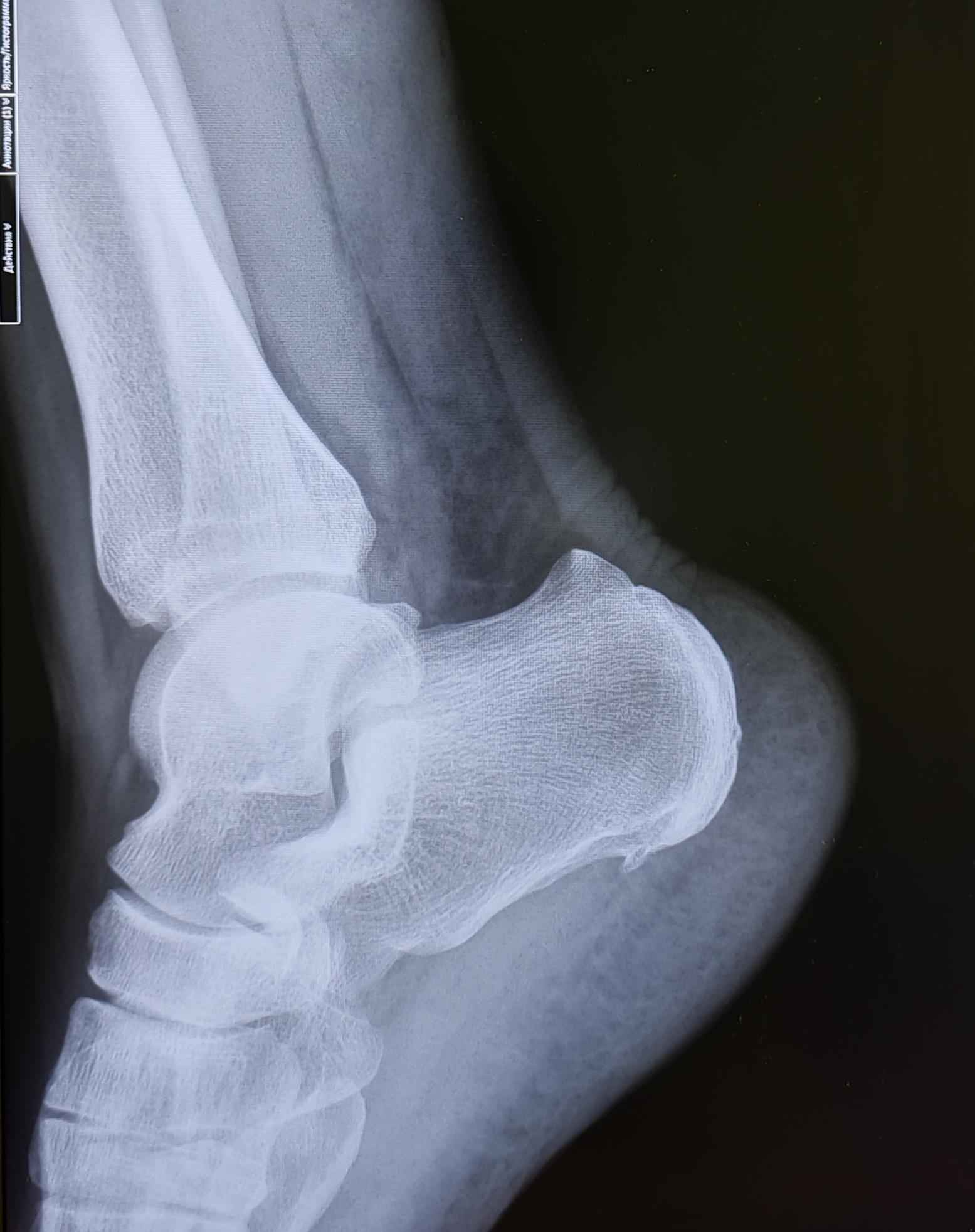
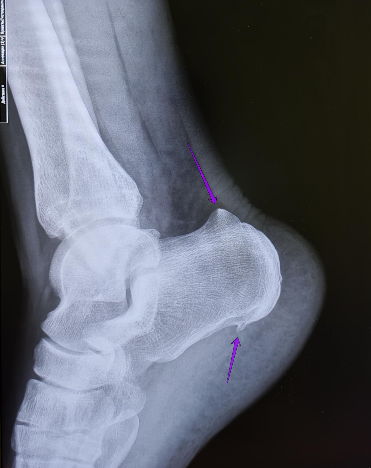
Деформацией Хаглунда
Деформацией Хаглунда считается компенсаторная деформация пяточной кости – в верхней ее части формируется образование костно-хрящевого нароста (экзостоза). При отсутствии воспалительных процессов экзостоз не создает болезненных ощущений, но визуально деформирует пяточную кость.
Описание: на Р-граммах правой и левой пяточных костей-травматических, деструктивных изменений не выявлено, структура костной ткани не изменена. В месте прикрепления подошвенных апоневрозов к буграм пяточных костей-визуализируются костные экзостозы. Верхняя часть бугров пяточных костей увеличена в размерах, имеет треугольную форму на широком основании. Заключение: Двусторонняя деформация Хаглунда. Двусторонние пяточные "шпоры".
При отсутствии длительного анамнеза воспалительного процесса, частых обращений с болевым синдромом, стац. лечения по поводу болевого синдрома, решение выносится на основании ст.65(Хирургические болезни и поражения костей, крупных суставов, хрящей:) г, Б-3:призывник годен к военной службе с незначительными ограничениями.




