Нужна помощь стоматологов и\или юристов
Подруга моя лечила недавно зубы, и пишет недавно, жалуется что зуб болит. Если есть возможность подсказать, что ей делать в этом случае:
Пришла в Клинику номер 2 с вылеченным 47м зубом .(Лечила в клинике номер 1.) После лечения, все было хорошо, зуб никак себя не проявлял. По-истечении года в целях протезирования обратилась в клинику номер 2, в которой 47й зуб был подготовлен к процедуре протезирования и проведены следующие манипуляции:
1.Трапевт А. подготовила каналы зуба
2.протезист Ю. снял слепки под культевую вкладку.
3. В следующий прием протезист Ю. установил культевую вкладкуи снял слепок под временную коронку.
4. В след.визит культевая вкладка на 47й зубе была обточнена и покрыта временной коронкой, а так же сделаны слепки под постоянные коронки.
С временной коронкой я ходила 2 недели, за время которых коронка расцементировалась, и мне пришлось снова посетить клинику номер 2 для ее повторной установки.
5. Последний визит после небольшой примерки и коррекции коронки благополучно закончился установкой постоянной конструкции.
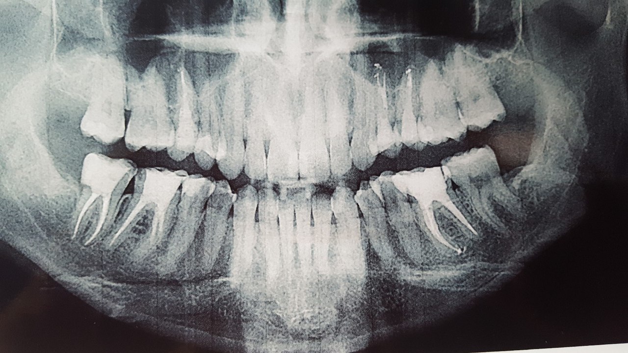
Через месяц протезированный 47й зуб заболел заболел и я обратилась в клинику номер 2. Мне сделали снимок 47го зуба, который показал воспалительный процесс в области верхушек корней. Дабы исключить сомнения, я съездила и сделала компьютерную томографию 47го зуба. КТ показала воспаление не только в области верхушек, но и между корнями зуба.
Протезист Ю.в данный момент. находится в отпуске, меня приняла терапевт А.и сказала, что в данной ситуации зуб придеться удалить, скорее всего...
Сейчас жду консультации у протезимт Ю., которая должна состояться 19.01.
Жевать и надкусывать на сторону больного зуба совершенно невозможно, периодически возникает ноющая боль.
Возникает много вопросов, самый главный из которых: почему перед дорогостоящей процедурой мне не сделали даже обычного снимка зуба??? Неужели воспаление возникло просто так из ниоткуда и развилось через месяц??? Возможно оно было до установки коронки, а когда зуб нагрузили, проявилось??? Почему же опытный врач этого не предусмотрел??
Судя по всему, зуб я потеряю, следовательно, потерял и потраченные на него деньги.
Данная ситуация предполагает хоть какое-то возмещение морального и материального ущерба? И что нужно сделать в случае возможной тяжбы с клиникой?
Комментарии для минусов оставляю.



Стоматология
770 постов2.9K подписчиков
Правила сообщества
Людям без соответствующего образования не ставить диагнозы и не советовать лечение, врачам и мед. работникам соблюдать принципы этики и деонтологии.