ВопросЖ Имплант или Стекловолоконные штифты
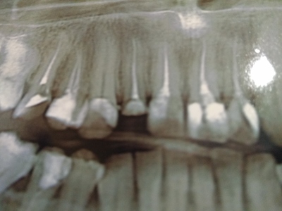
Сломался зуб, почти под самую десну.
Походил по клиникам цены разные. Но везде предлагают ставить штифты и на них коронку. Я человек простой, сразу спрашиваю сколько она простоит, ответ мутный 5-7 лет (я сам понимаю, что точных сроков никто не даст) Но сия процедура ненамного дешевле чем имплант. Соответственно за 20 рублей я просто отодвигаю проблему на 5-7 лет. И к тому же с годами здоровее я уже не буду, а там и другие зубы могут попросить внимания и ласки.
На мои слова о том, что может сразу имплант ? Закатывают глаза "ну если вы так хотите, то можна и так" Но я же блин пришел к спецам. Если зуб был дважды пломбирован и сломался, то корни уже не лучшие.
Я не говорю уже про маркетинг. Типа да у вас еще 3 зуба уже на ладан дышат, и могут сломаться, давайте и им коронки впендюрим. На это есть один ответ "проблемы нужно решать по мере поступления" Мне и про брекеты говорили (в мои скромные 40 лет) А ещё вопрос цены. Предлагается корейская система SNUCONE. Когда я начинаю говорить про деньги, типа "скажите цену - итого, чтобы я знал заранее" а не поэтапно в процессе, когда уже позно остановиться. Мне завели разговор что есть производители получше, которые предпочтительнее но подороже. "Так сразу вы предлагали корейские-плохие" . "нет они хорошие"
В общем. Подскажите люди добрые. Если вы в теме. Прав я, в том, что не надо растягивать удовольствие на много серий. И сразу уже поставить имплант?
вот




Стоматология
768 постов2.9K подписчиков
Правила сообщества
Людям без соответствующего образования не ставить диагнозы и не советовать лечение, врачам и мед. работникам соблюдать принципы этики и деонтологии.