UPD: Комплексный подход в стоматологии
Всем привет!
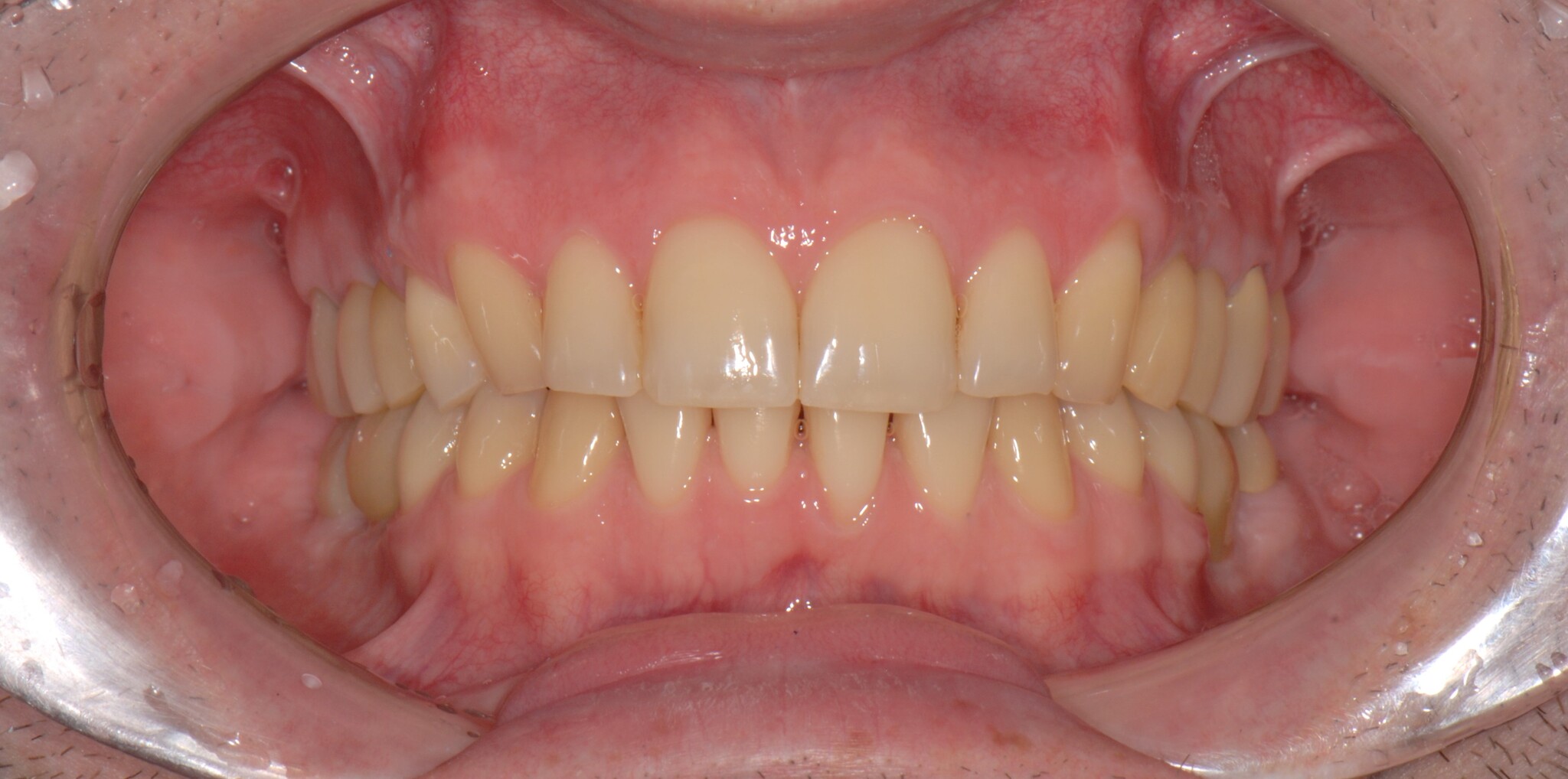
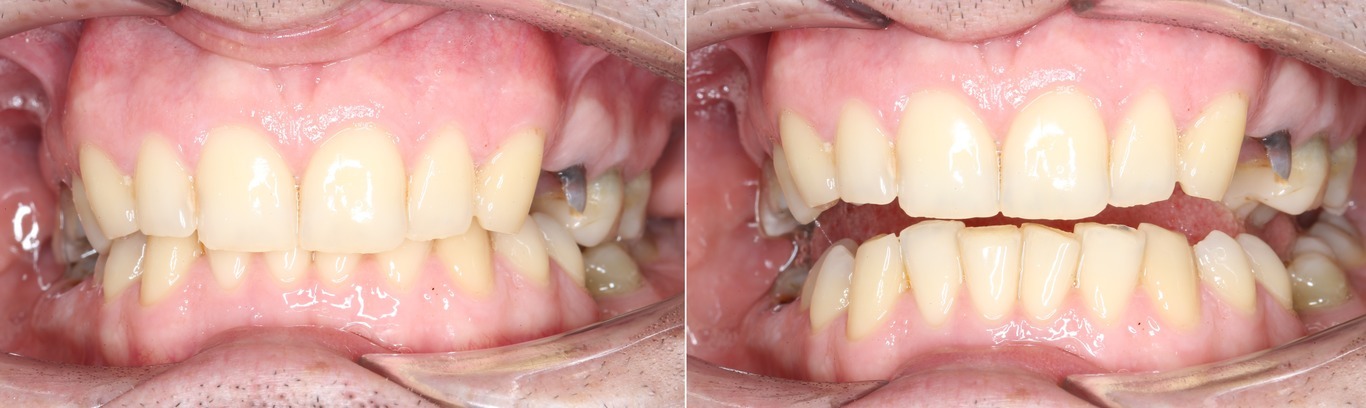
Как я и обещал, делюсь с вами конечным результатом завораживающего стоматологического путешествия, о котором я рассказывал в статье - Комплексный подход в стоматологии
Было:
Стало:
С уважением, Андрей Дашков.
----------------------------------------------------------------------------------------------------------
----------------------------------------------------------------------------------------------------------
К слову, выключите запрет на тег "жесть"! В противном случае, некоторые мои статьи вы не увидите.
----------------------------------------------------------------------------------------------------------
----------------------------------------------------------------------------------------------------------
Мои:
-----------------------------------------------------------------------------------------------------------------------------------------------------------------------
Что еще почитать?
Про имплантацию зубов и костные пластики:
Про зубы мудрости и их удаление:
Про профессиональную гигиену полости рта:
И, конечно:
- Голая правда (статья о формировании стоимости лечения в стоматологической клинике)




